全血分析5分类是什么详解:吸入性肺炎表现、诊断与检测!│临床必备

新闻资讯2026-04-23 21:25:39
初步研究表明,厌氧菌是社区获得性吸入性的主要病原体。但进一步的研究表明,肺炎链球菌,金黄色葡萄球菌,流感嗜血杆菌和肠杆菌科是最常见的微生物。两项针对急性吸入性肺炎患者的研究,通过采用保护性标本刷采样和厌氧菌培养,并未分离出厌氧菌。 此外,医院获得性吸入性肺炎通常是由引起(包括铜绿假单胞菌),尤其是插管患者。 


吸入是指将口咽或胃内容物吸入下呼吸道,即将异物吸入肺部。根据吸入物的数量、性质,吸入频率及宿主反应的不同,可以将吸入症状分为四类。
 
➤吸入胃酸导致的。 
➤从口腔或咽部吸入物质,引起细菌性吸入性肺炎。
➤吸入油(例如矿物油或植物油)导致外源性类脂性肺炎,是一种罕见的肺炎。
➤吸入异物可能导致急性呼吸道紧急情况,在某些情况下,可能使患者容易患细菌性肺炎。
 
需要注意每个个体的病理生理、临床表现、治疗和并发症均不相同。 
  
吸入性肺炎的诱发因素


几乎所有吸入性肺炎的患者都有以下一种或多种易患疾病。尽管以下疾病也可使患者发生化学性肺炎,但意识改变和牙周疾病的患者更倾向于患细菌性肺炎。
 
任何误吸事件的基本发病机制均涉及吞咽障碍,无论是药物、解剖结构还是神经功能障碍。头颈癌患者被认为是高危人群。
 
1. 与意识改变或意识减弱相关的疾病,包括任何会降低患者的咽反射,对气道的维持能力或二者兼有的疾病,均会增加吸入性肺炎或肺炎的发生风险。相关疾病包括:酗酒、药物过量、癫痫发作、卒中、头部外伤、全身麻醉、颅内肿块。
 
2. 与吸入性肺炎相关的食道疾病包括:吞咽困难(大多数老年患者[平均年龄84岁]已出现口咽吞咽困难)、食管狭窄、食管肿瘤   、食管憩室、气管食管瘘、胃食管反流病
 
3. 神经系统疾病也易引起吸入性肺炎,例如:多发性硬化症、痴呆、帕金森综合症、重症肌无力、假性球麻痹。
 
4. 吸入性肺炎还与使用设备或操作有关,如:鼻胃管 、气管插管、气管切开术、上消化道内镜、支气管镜、胃造口术或幽门后喂养管 。
 
5. 其他相关因素包括:长时间呕吐、长时间卧床、全身虚弱、危重疾病。
 
吸入性肺炎的表现


吸入性肺炎或化学性肺炎的临床表现均从轻度至危重症的变化,危重症有脓毒性休克和/或呼吸衰竭的体征和症状。
 
导致气道保护能力下降的宿主因素和慢性病包括脑血管意外(CVA)、食道疾病史(包括贲门失弛缓症或食管蹼)、疗养院患者和长期饲管喂养(鼻饲管或胃管)。
 
体格检查结果受疾病严重程度、并发症和宿主因素的影响。应对继发于癫痫发作,头部外伤或药物过量所致吸入性肺炎的患者进行体格检查,以寻找相关体征。吸入性肺炎或肺炎患者除了表现出与导致其误吸的潜在疾病相关的体征外,还可能具有的症状包括:
 
➤发热或体温过低
➤呼吸急促
➤心动过速
➤呼吸音减弱
➤肺实质叩诊浊音
➤啰音
➤羊鸣音和胸语音
➤呼吸音减弱
➤胸膜摩擦音
➤意识状态改变
➤低氧血症
➤低血压(脓毒性休克)
 
1. 化学性肺炎
 
化学性肺炎患者在发生吸入后的几分钟到两个小时内可能出现急性发作或症状突然发展,呼吸窘迫和呼吸急促,喘息及咳嗽伴有粉红色泡沫痰。
 
体格检查可能包括呼吸急促、心动过速、发热、啰音、喘息,甚至可能紫绀。
 
2. 细菌性吸入性肺炎
 
细菌性吸入性肺炎与(CAP)的表现相似,并且可能出现非特异性症状,包括头痛、恶心/呕吐、厌食和体重减轻。疾病的发作可能是亚急性的或隐匿的,当厌氧菌是病原体时,会在几天到几周内出现症状。患者可能还有以下表现:
 
➤咳嗽伴脓性痰
➤发热或寒战
➤不适,肌痛
➤呼吸急促,劳力性呼吸困难  
➤胸膜炎胸痛
➤恶臭痰(厌氧菌肺炎线索)
 
在医院获得性吸入性肺炎中,当病原体为需氧菌时,咳嗽和呼吸急促的症状可能比CAP更严重。出现发热和寒战。
 
大量呕吐后出现化学性肺炎的患者,可能有与精神状态变化一致的病史,包括癫痫发作、酗酒、药物过量和/或头部外伤。
 
体格检查中,发现可能包括牙周疾病(主要为牙龈炎)、口臭、发热、支气管呼吸音和实变区域啰音。
 
吸入性肺炎的诊断


当患者具有危险因素和影像学提示吸入性肺炎浸润时,临床医生必须考虑吸入性肺炎的诊断。胸片渗出位置取决于抽吸发生时患者的位置。
 
患者的临床表现可指导实验室检查。相对于无并发症的患者,有脓毒症或脓毒性休克体征或症状的患者需要更进一步的实验室检查。
 
1. 鉴别诊断
 
当对疑似吸入性肺炎的患者进行评估时,应考虑坏死性肺炎、支气管胸膜瘘、肺癌、、真菌病和过敏性肺炎。在儿童中,应考虑细支气管炎、喉气管支气管炎、会厌炎、哮喘、反应性气道疾病、呼吸窘迫综合征和异物。此外,需要对以下情况进行评估:
 
➤急性呼吸窘迫综合征 
➤结核
➤支气管炎
➤慢性阻塞性肺疾病和肺气肿
➤成人会厌炎
➤肺炎,和脓肿
➤肺炎,免疫功能低下
➤支原体肺炎
➤病毒性肺炎
➤脓毒性休克
 
2. 动脉血气和混合静脉血气分析
 
动脉血气(ABG)分析用于评估氧合和pH值。ABG分析可确定患有化学性肺炎(二氧化碳分压正常或较低)的患者急性低氧血症。乳酸水平可被用作严重脓毒症或脓毒性休克的早期标志。
 
任何怀疑有脓毒性休克的患者均应进行混合静脉血气检测。混合静脉血氧饱和度降低可以看作脓毒性休克的标志。
 
3. 基础代谢检查
 
电解质,血尿素氮(BUN)和肌酐水平可用于评估患者对静脉补液的需要。这对于出现发热、呕吐或腹泻等体液可能大量流失的患者尤其重要。
 
血清BUN和肌酐水平也可用于评估肾功能,以适当服用抗生素。此外,还可用于评估脓毒症或脓毒性休克患者的肾损伤。
 
4. 全血细胞计数(CBC)
 
在由厌氧菌引起的细菌性肺炎患者中, CBC计数可观察白细胞(WBC)计数升高,中性粒细胞增多、贫血和血小板增多。化学性肺炎患者也可能出现WBC计数升高和中性粒细胞升高。
 
5. 痰革兰氏染色与培养
 
尽管痰培养物和革兰氏染色对最初的诊断或治疗没有帮助,但是痰革兰氏染色和显微镜检查通常可发现由厌氧菌引起的细菌性肺炎患者存在多种细菌(例如球菌,杆菌,球杆菌和梭形菌)。在医院内细菌性吸入性肺炎中,痰培养可能有助于检测革兰氏阴性菌。
 
如果主要病原体为厌氧菌,痰培养的结果可能无法分离生物。
 
6. 血培养
 
血液细菌培养用作对菌血症的基本筛查。对于并不复杂的肺炎(无脓毒症或脓毒性休克症状的患者),血培养收率低,对于初始的管理和治疗不是必需的。
 
7. 胸部X射线检测
 
吸入性肺炎的影像学取决于吸入发生时患者的位置。因右主支气管直径更大且更陡直 ,所以右下肺是最常见的浸润部位。站立时发生抽吸的患者可出现双下肺浸润。左侧卧位的患者更可能出现左侧浸润(见图1)。右上叶更可能是俯卧位吸气的酗酒者。
 
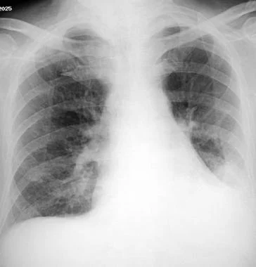
全血分析5分类是什么详解:吸入性肺炎表现、诊断与检测!│临床必备_https://www.jmylbn.com_新闻资讯_第1张
图1 患者过量使用苯二氮卓类药物,左肺显示吸入性肺炎。吸入发生时,患者可能位于左侧
 
出现胸腔积液可能表明需行胸腔穿刺术以评估脓胸的可能。
 
(1)化学性肺炎
 
化学性肺炎患者的胸片特征是一个或两个下叶存在浸润,主要是肺泡型,或弥漫性类似肺水肿的表现。任何大叶体积缩少均表明为支气管阻塞(例如,被吸入的食物颗粒或其他异物阻塞)。
 
(2)细菌性肺炎
 
厌氧性细菌性肺炎患者的胸部影像学通常显示浸润,有或无空洞。透明的浸润物提示为坏死性肺炎。浸润周围的气液平面表明存在肺脓肿。肋膈角变钝是肺炎旁胸膜积液的征象。
 
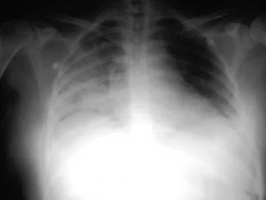
全血分析5分类是什么详解:吸入性肺炎表现、诊断与检测!│临床必备_https://www.jmylbn.com_新闻资讯_第2张
图2 患者男,84岁,吸入性肺炎。后前位X线片显示左下叶不透明影
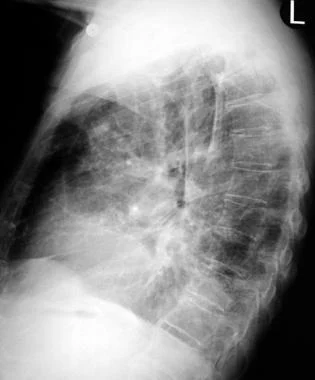
  全血分析5分类是什么详解:吸入性肺炎表现、诊断与检测!│临床必备_https://www.jmylbn.com_新闻资讯_第3张
图3 上述(图2)患者的侧位胸片
 
全血分析5分类是什么详解:吸入性肺炎表现、诊断与检测!│临床必备_https://www.jmylbn.com_新闻资讯_第4张
图4 右肺大面积吸入性肺炎患者胸片
 
8. 超声检查
 
超声检查有助于检测胸腔积液。
 
9. CT扫描
 
对疑似吸入性肺炎患者的评估,不需要进行CT扫描。CT可能有助于进一步表征胸腔积液和脓胸,并检测浸润和空洞病变内的坏死。CT扫描可以更好区分患处,并用于鉴别肺部异常和胸膜异常。
 
10. 支气管镜
 
对化学性肺炎患者仅当怀疑吸入异物或食物时,才建议进行支气管镜检查。使用带有保护刷和保护导管的支气管镜取样,尤其在与定量培养技术结合使用时,可能有助于指导抗生素的治疗。此步骤对排除有肺脓肿存在阻塞性肿瘤很重要。但是,支气管镜检查对社区获得性吸入性肺炎的治疗无用。
 
11. 肺动脉导管
 
化学性肺炎患者放置肺动脉导管可有助于区分心源性和非心源性肺水肿。血流动力学监测导管可适当指导液体管理。
 
12. 胸腔穿刺术
 
通过胸腔穿刺术分析标本,可有助于确定引起胸腔积液的根本原因,及缓解胸膜积液引起的症状。操作前后,应进行胸部X线片检查以了解胸腔穿刺术的并发症。
 
13. 机械通气
 
严重的化学性肺炎引起的急性呼吸窘迫综合征及因吸入性肺炎导致呼吸不足的患者可能需要机械通气。
 
14. 胸管放置
 
放置胸管可用于引流复杂的胸腔积液或脓胸。
 
吸入性肺炎的院前管理


院前护理应注意稳定患者的气道、呼吸和循环。对于呕吐的患者,上呼吸道的抽吸可能去除大量抽吸物或潜在抽吸物。对任何气道无法得到保护的患者均应考虑插管。
 
其他措施包括:

➤补充氧气
➤心脏监测和脉搏血氧饱和度监测
➤放置静脉导管和静脉输液  
 
住院管理


吸入性肺炎(包括化学性肺炎和细菌性肺炎)的患者需要住院治疗的原因有很多,包括疾病的严重程度,宿主因素以及吸入性肺炎的病程和预后。
 
严重血流动力学受损和/或持续呼吸窘迫的患者应入住重症监护病房(ICU)。气管插管患者,以及有重症脓毒症或脓毒性休克体征或症状的患者,必须转入ICU。呼吸稳定和血流动力学状态稳定的患者可以在普通病房进行治疗。
 
并发症


吸入性肺炎的并发症包括急性呼吸衰竭,急性呼吸窘迫综合征(ARDS)和细菌性肺炎。细菌性肺炎的并发症包括肺炎旁胸腔积液、脓胸、肺脓肿和二重感染。支气管胸膜瘘也是一种并发症。
 
吸入性肺炎可迅速发展为呼吸衰竭。
 
医脉通编译整理自:Aspiration Pneumonitis and Pneumonia-medscape-Aug 15, 2018





医脉通是专业的在线医生平台,“感知世界医学脉搏,助力中国临床决策”是平台的使命。医脉通旗下拥有「临床指南」「用药参考」「医学文献王」「医知源」「e研通」「e脉播」等系列产品,全面满足医学工作者临床决策、获取新知及提升科研效率等方面的需求。


本平台旨在为医疗卫生专业人士传递更多医学信息。本平台发布的内容,不能以任何方式取代专业的医疗指导,也不应被视为诊疗建议。如该等信息被用于了解医学信息以外的目的,本平台不承担相关责任。本平台对发布的内容,并不代表同意其描述和观点。若涉及版权问题,烦请权利人与我们联系,我们将尽快处理。