体检dr是什么意思体检单上的 DR、CT、MR,到底有啥区别?

新闻资讯2026-04-23 21:09:23
体检dr是什么意思体检单上的 DR、CT、MR,到底有啥区别?_https://www.jmylbn.com_新闻资讯_第1张
体检dr是什么意思体检单上的 DR、CT、MR,到底有啥区别?_https://www.jmylbn.com_新闻资讯_第2张

体检dr是什么意思体检单上的 DR、CT、MR,到底有啥区别?_https://www.jmylbn.com_新闻资讯_第3张

每次拿到体检报告,看到“DR”“CT”“MR”这些名词,是不是总觉得眼花缭乱、似懂非懂?


它们好像都和“拍片子”有关,但到底哪里不一样?为什么有时候医生让我做CT,有时候又建议做MR?今天咱们就一次讲明白,让体检再也不迷糊!

来源:潮州第一健康



DR:最常用的“第一道检查”

Top health medical



你可以把它理解成“高级版X光”

📷利用X射线穿透人体,因为骨骼、肌肉、脂肪等组织密度不同,对X射线的吸收也不一样,就在底片或探测器上形成黑白影像。

体检dr是什么意思体检单上的 DR、CT、MR,到底有啥区别?_https://www.jmylbn.com_新闻资讯_第4张

它最适合看什么?


🔍骨折、关节脱位

🔍肺炎、肺结核等肺部问题

🔍脊柱形态、骨质增生

🔍体内金属异物、节育环位置


体检dr是什么意思体检单上的 DR、CT、MR,到底有啥区别?_https://www.jmylbn.com_新闻资讯_第5张


优点:速度快、辐射剂量低、价格亲民


⚠️注意

· 它是二维图像,前后组织会重叠,有时候需要多角度拍摄。

· 检查前需去除拍摄部位的金属物品(如项链、带金属扣的内衣等),以免干扰影像。

· 孕妇或备孕女性务必提前告知医生,评估必要性并做好防护。



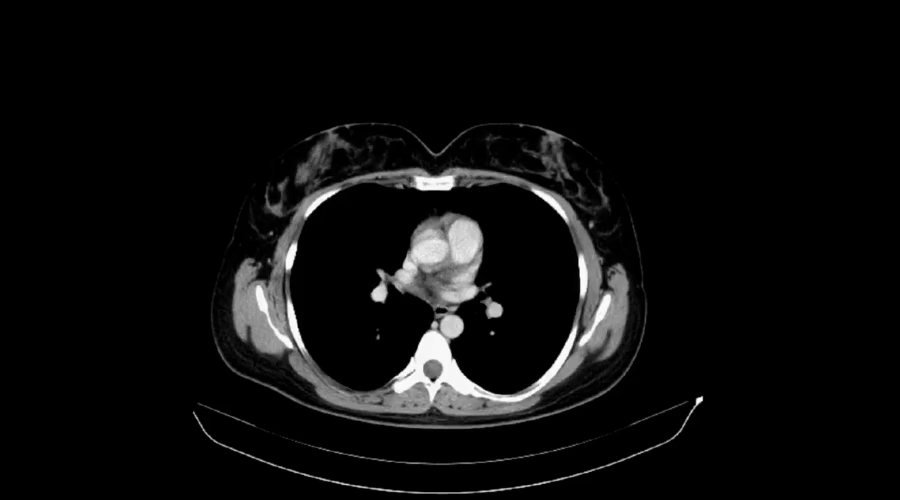
CT:看得更清晰的“分层扫描”

Top health medical


CT的学名是“计算机断层扫描”。


🖥️简单说,就是让人躺进一个“大圆环”里,用X射线对人体进行一层一层的扫描,再由电脑合成横断面图像,就像把一根黄瓜切成薄片,每一片都能看清。


体检dr是什么意思体检单上的 DR、CT、MR,到底有啥区别?_https://www.jmylbn.com_新闻资讯_第6张


它比DR强在哪?


🔍能区分非常接近的器官和组织(比如大脑中的灰质和白质)

🔍非常适合看出血、肿瘤、血管病变(如脑出血、肺结节、主动脉夹层)

🔍可进行三维重建,立体观察复杂结构(如颌面骨骼)


体检dr是什么意思体检单上的 DR、CT、MR,到底有啥区别?_https://www.jmylbn.com_新闻资讯_第7张


优点:分辨率高、扫描快、对急诊尤其重要


⚠️注意

· 辐射剂量高于DR,但一次常规体检CT的辐射在安全范围内。

· 如需做“增强CT”(注射造影剂),需提前告知医生有无碘过敏史、肾功能是否正常、是否患有甲亢等。

· 检查时需配合指令短暂屏气,身体保持不动,以获得清晰图像。



MR:无辐射的“软组织高手”

Top health medical



磁共振(MR)成像——


🧲它不利用X射线,而是用一个强大的磁场,让人体中的水分子(氢原子)排列发生变化,再接收它们恢复原状时发出的信号来成像


体检dr是什么意思体检单上的 DR、CT、MR,到底有啥区别?_https://www.jmylbn.com_新闻资讯_第8张


它的看家本领是什么?


🔍神经系统最佳拍档:大脑、脊髓、神经根看得一清二楚

🔍关节软组织专家:半月板损伤、韧带撕裂、肩袖损伤

🔍腹部盆腔细节王者:肝、胆、胰、脾、子宫、前列腺等器官的早期病变


体检dr是什么意思体检单上的 DR、CT、MR,到底有啥区别?_https://www.jmylbn.com_新闻资讯_第9张


优点:无辐射、软组织对比度极高、可多平面成像


⚠️注意

· 检查时间较长(一般15-30分钟),需在狭长空间内保持静止,有幽闭恐惧症者需提前告知

· 体内有某些金属植入物者可能严禁或需严格评估,如心脏起搏器、部分动脉瘤夹、某些人工耳蜗、金属假肢等。务必在检查前进行严格的安全筛查

· 检查前必须去除所有金属物品,包括手机、手表、钥匙、皮带、含金属的文胸、假牙、助听器等。



体检时该怎么选?

Top health medical



🤔看到这里你可能要问:“那我体检到底该选哪个?”


其实,这主要取决于您的“体检目的”、“检查需求” 以及 “预算考量”。


体检dr是什么意思体检单上的 DR、CT、MR,到底有啥区别?_https://www.jmylbn.com_新闻资讯_第10张

(*可点击表格放大查看)


拿到体检报告后,影像科医生和客服医生会结合所有结果,为您提供专业的解读与后续随访建议。 


您可以根据初始需求选择检查的“广度”与“深度”,而我们将用专业确保检查的“精度”与“价值”


体检dr是什么意思体检单上的 DR、CT、MR,到底有啥区别?_https://www.jmylbn.com_新闻资讯_第11张


体检dr是什么意思体检单上的 DR、CT、MR,到底有啥区别?_https://www.jmylbn.com_新闻资讯_第12张