什么达医畅疗·第一期 | 畅医达(Choydar)17小系统血流导向装置治疗大脑中动脉动脉瘤两例

新闻资讯2026-04-23 20:58:06
\
 
什么达医畅疗·第一期 | 畅医达(Choydar)17小系统血流导向装置治疗大脑中动脉动脉瘤两例_https://www.jmylbn.com_新闻资讯_第1张


本期介绍

血流导向装置目前多以27/29微导管输送为主,畅医达经17微导管输送的血流导向装置能否给小血管动脉瘤的治疗带来更多便利与革新?

本期分享中国科学技术大学附属第一医院高歌教授团队使用畅医达经17微导管输送的血流导向装置治疗颅内大脑中动脉瘤两例‍。



什么达医畅疗·第一期 | 畅医达(Choydar)17小系统血流导向装置治疗大脑中动脉动脉瘤两例_https://www.jmylbn.com_新闻资讯_第2张



病例一

什么达医畅疗·第一期 | 畅医达(Choydar)17小系统血流导向装置治疗大脑中动脉动脉瘤两例_https://www.jmylbn.com_新闻资讯_第3张

患者基本信息



  • 患者信息:女性,57岁,检查发现颅内动脉瘤1周。
  • 现病史:患者一周前去体检时行头颅CTA检查发现颅内动脉瘤,无四肢麻木乏力,无明显头痛等其他不适主诉,为进一步治疗,来我院。发病以来,饮食睡眠及大小便正常,体重无明显增减。
  • 既往史:高血压病史10余年,目前口服“氨氯地平”治疗,血压控制尚可;否认“糖尿病、心脏病” 病史,无肝炎、结核病史,无食物、药物过敏史。
  • 专科查体:神志清楚,言语流利,双侧瞳孔等大等圆,直径3mm,对光反射灵敏,四肢肌力肌张力正常,双侧病理征阴性。
  • 检查:心电图,胸部CT等相关术前检查未见明显异常


术前诊断



  • 左侧大脑中动脉M2段动脉瘤

  • 高血压病3级(高危)


头颅CT



什么达医畅疗·第一期 | 畅医达(Choydar)17小系统血流导向装置治疗大脑中动脉动脉瘤两例_https://www.jmylbn.com_新闻资讯_第4张


脑血管造影



什么达医畅疗·第一期 | 畅医达(Choydar)17小系统血流导向装置治疗大脑中动脉动脉瘤两例_https://www.jmylbn.com_新闻资讯_第5张
什么达医畅疗·第一期 | 畅医达(Choydar)17小系统血流导向装置治疗大脑中动脉动脉瘤两例_https://www.jmylbn.com_新闻资讯_第6张
什么达医畅疗·第一期 | 畅医达(Choydar)17小系统血流导向装置治疗大脑中动脉动脉瘤两例_https://www.jmylbn.com_新闻资讯_第7张

左侧大脑中分叉处(上干)动脉瘤,夹层可能性大;瘤体4.3mm×5.1mm,瘤颈5.8mm。
什么达医畅疗·第一期 | 畅医达(Choydar)17小系统血流导向装置治疗大脑中动脉动脉瘤两例_https://www.jmylbn.com_新闻资讯_第8张






什么达医畅疗·第一期 | 畅医达(Choydar)17小系统血流导向装置治疗大脑中动脉动脉瘤两例_https://www.jmylbn.com_新闻资讯_第9张

远近端载瘤动脉直径分别为2.17mm、2.58mm。


术前讨论及手术策略



手术指征:

  • 左侧大脑中动脉动脉瘤,常见破裂动脉瘤位置,瘤体偏向上干,形态不规则,梭型膨大,考虑夹层可能性大;

  • 合并高血压等危险因素;

  • 患者及家属治疗意愿强烈;动脉瘤手术适应症明确。


手术策略:
  • 支架辅助栓塞:可在大脑中M1-M2上干释放普通编织支架,同时辅助弹簧圈填塞,栓塞动脉瘤,动脉瘤考虑夹层可能,首选编织支架,有助于瘤颈修复,但仍存在远期复发率高的风险,甚至动脉瘤不愈合。

  • 血流导向装置治疗术:在上述同样位置释放畅医达(Choydar)FD,由于其金属覆盖率较普通辅助支架高,更加有利于瘤颈处内皮细胞的修复,提高治愈率,动脉瘤远期愈合率高。

  • 与家属沟通后家属要求行血流导向治疗术,入组畅医达(Choydar)FD治疗颅内动脉瘤的临床研究。


术前药物准备:
什么达医畅疗·第一期 | 畅医达(Choydar)17小系统血流导向装置治疗大脑中动脉动脉瘤两例_https://www.jmylbn.com_新闻资讯_第10张
根据基因监测结果,术前个性化服用拜阿司匹林肠溶片100mg,po. qd. 替格瑞洛片 90mg,po. bid;服药5天。

器械准备



  • 通路建立:NeuronMAX 80cm 长鞘;6F 中间导管 Navien 115cm

  • 支架及输送系统选择:瘤颈宽,畅医达(Choydar)血流导向装置,2.5×20mm,畅医达(Accessway)17微导管输送系统,穹隆技术保护分支血管瘤颈处推密,降低复发率。 

  • 弹簧圈:stryker ;EV3;加奇

  • 微导丝:synchro 2       

  • 弹簧圈微导管:Echelon 10        


手术过程



什么达医畅疗·第一期 | 畅医达(Choydar)17小系统血流导向装置治疗大脑中动脉动脉瘤两例_https://www.jmylbn.com_新闻资讯_第11张
什么达医畅疗·第一期 | 畅医达(Choydar)17小系统血流导向装置治疗大脑中动脉动脉瘤两例_https://www.jmylbn.com_新闻资讯_第12张
什么达医畅疗·第一期 | 畅医达(Choydar)17小系统血流导向装置治疗大脑中动脉动脉瘤两例_https://www.jmylbn.com_新闻资讯_第13张

超选MCA上干血管,将Accessway支架微导管置入载瘤动脉远端。



什么达医畅疗·第一期 | 畅医达(Choydar)17小系统血流导向装置治疗大脑中动脉动脉瘤两例_https://www.jmylbn.com_新闻资讯_第14张

什么达医畅疗·第一期 | 畅医达(Choydar)17小系统血流导向装置治疗大脑中动脉动脉瘤两例_https://www.jmylbn.com_新闻资讯_第15张
调整畅医达(Choydar)FD(2.5×20mm)至合适位置,瘤体内填入少量弹簧圈后支架半释放。

什么达医畅疗·第一期 | 畅医达(Choydar)17小系统血流导向装置治疗大脑中动脉动脉瘤两例_https://www.jmylbn.com_新闻资讯_第16张






什么达医畅疗·第一期 | 畅医达(Choydar)17小系统血流导向装置治疗大脑中动脉动脉瘤两例_https://www.jmylbn.com_新闻资讯_第17张
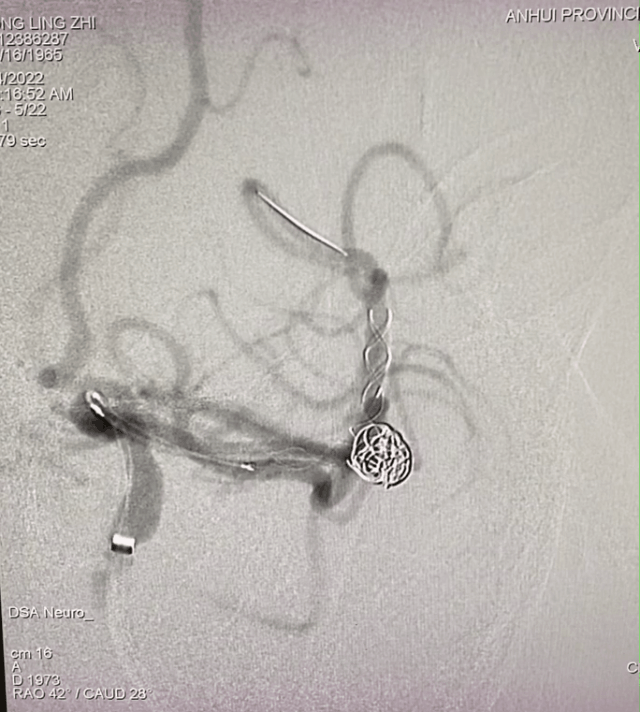
畅医达(Choydar)血流导向装置完全释放。

什么达医畅疗·第一期 | 畅医达(Choydar)17小系统血流导向装置治疗大脑中动脉动脉瘤两例_https://www.jmylbn.com_新闻资讯_第18张
什么达医畅疗·第一期 | 畅医达(Choydar)17小系统血流导向装置治疗大脑中动脉动脉瘤两例_https://www.jmylbn.com_新闻资讯_第19张
什么达医畅疗·第一期 | 畅医达(Choydar)17小系统血流导向装置治疗大脑中动脉动脉瘤两例_https://www.jmylbn.com_新闻资讯_第13张
术后即刻造影提示载瘤动脉通畅,支架打开充分,贴壁良好,瘤体内造影剂滞留明显。


病例二

什么达医畅疗·第一期 | 畅医达(Choydar)17小系统血流导向装置治疗大脑中动脉动脉瘤两例_https://www.jmylbn.com_新闻资讯_第3张

患者基本信息



  • 患者病史:患者男性,52岁;因“头痛检查发现颅内动脉瘤10天”入院,无明显恶心呕吐,无四肢麻木乏力等不适,入我科进一步治疗。

  • 既往史:高血压病史3年,目前口服“缬沙坦”治疗,血压控制尚可;否认“糖尿病、心脏病” 病史,无肝炎、结核病史,无食物、药物过敏史。

  • 专科查体: 神志清楚,言语流利,双侧瞳孔等大等圆,直径3mm,对光反射灵敏,四肢肌力肌张力正常,双侧病理征阴性。

  • 检查:心电图,胸部CT等相关术前检查未见明显异常。


术前诊断



右侧大脑中M1段夹层动脉瘤;高血压病(中危)。

脑血管造影



什么达医畅疗·第一期 | 畅医达(Choydar)17小系统血流导向装置治疗大脑中动脉动脉瘤两例_https://www.jmylbn.com_新闻资讯_第22张
DSA:右侧大脑中动脉瘤,形态不规则,夹层可能,瘤体可见分支血管,4.5mm×3.2mm,瘤颈5.8mm;远近端载瘤动脉直径分别为2.71mm、2.93mm。

术前讨论及手术策略



手术指征:

  • 右侧大脑中M1段夹层动脉瘤,瘤体远端可见一分支血管,瘤体形态不规则,有出血或梗塞风险;

  • 合并高血压等危险因素;

  • 患者及家属治疗意愿强烈;动脉瘤手术适应症明确。


手术策略:

  • 支架辅助栓塞:该病例系右侧大脑中M1段夹层动脉瘤,首选编织支架进行血管壁修复,由于远端有分支血管,尽量避免行瘤体内弹簧圈栓塞;若用普通编织支架,金属覆盖率稍低,远期动脉瘤可能治疗效果差,需辅助瘤体内疏松填塞弹簧圈,但影响远端分支血供可能性大,术后有脑梗死风险。

  • 血流导向装置治疗术:其具有较高的金属覆盖率,有利于内皮细胞沿着网丝爬行,更有利于修复血管壁,促进动脉瘤的愈合,不影响分支血管,同时无需再次瘤体内填塞弹簧圈,简化手术难度,降低远端分支堵塞造成的脑梗死风险。

  • 与家属沟通后家属要求行血流导向治疗术,入组畅医达(Choydar)FD治疗颅内动脉瘤的临床研究。


器械及药物准备



器械准备:

  • 8F短鞘及NeuronMAX 90cm 长鞘

  • Synchro-14 200cm导丝

  • 6F颅内支持导管 115cm

  • 畅医达(Choydar)血流导向装置(3.0×20mm)及其Accessway17微导管输送系统


药物准备:

   术前个性化服用拜阿司匹林肠溶片100mg,po. qd. 氯吡格雷 75mg,po. qd;服药5天。


手术过程



什么达医畅疗·第一期 | 畅医达(Choydar)17小系统血流导向装置治疗大脑中动脉动脉瘤两例_https://www.jmylbn.com_新闻资讯_第23张


畅医达(Choydar)FD输送到位,调整合适位置后逐渐释放‍。


工作位角度

什么达医畅疗·第一期 | 畅医达(Choydar)17小系统血流导向装置治疗大脑中动脉动脉瘤两例_https://www.jmylbn.com_新闻资讯_第24张


什么达医畅疗·第一期 | 畅医达(Choydar)17小系统血流导向装置治疗大脑中动脉动脉瘤两例_https://www.jmylbn.com_新闻资讯_第25张
什么达医畅疗·第一期 | 畅医达(Choydar)17小系统血流导向装置治疗大脑中动脉动脉瘤两例_https://www.jmylbn.com_新闻资讯_第26张
什么达医畅疗·第一期 | 畅医达(Choydar)17小系统血流导向装置治疗大脑中动脉动脉瘤两例_https://www.jmylbn.com_新闻资讯_第13张
术后正侧位造影片提示颅内血管显影良好,支架打开充分,瘤颈处推密,贴壁良好,动脉瘤内造影剂滞留明显。

什么达医畅疗·第一期 | 畅医达(Choydar)17小系统血流导向装置治疗大脑中动脉动脉瘤两例_https://www.jmylbn.com_新闻资讯_第2张


总结

  • 对于此类位置较远血管较细的大脑中动脉动脉瘤,尤其是夹层动脉瘤,治疗主要是进行血管壁修复,因此首选置入17小系统FD。FD金属覆盖率较普通辅助支架高,因此对于血管壁的修复效果较好,动脉瘤远期愈合率高,同时简化操作流程,降低手术操作难度。

  • 畅医达(Choydar)3mm以下血流导向装置可经其Accessway17微导管输送系统释放,通过性好,输送难度低,径向支撑力高,支架打开贴壁效果好,头端封闭结构减少对血管壁的损伤,是用于远端血管动脉瘤治疗的最佳选择。‍



什么达医畅疗·第一期 | 畅医达(Choydar)17小系统血流导向装置治疗大脑中动脉动脉瘤两例_https://www.jmylbn.com_新闻资讯_第2张



术者简介

什么达医畅疗·第一期 | 畅医达(Choydar)17小系统血流导向装置治疗大脑中动脉动脉瘤两例_https://www.jmylbn.com_新闻资讯_第3张

医院介绍








中国科学技术大学附属第一医院(安徽省立医院)神经外科为国家临床重点建设专科、首批国家卫健委能力建设和继续教育神经外科进修与培训基地、安徽省神经外科质量控制中心挂靠单位。神经外科脑血管病亚专科在高歌教授带领下锐意进取,目前脑血管病年手术量2000余例,手术数量和质量省内领先、国内先进水平,使安徽人民脑血管疾病不出省就能享受到国内高水平的治疗。科室常规开展各种脑脊髓血管病的治疗,如颅内动脉瘤、血管畸形、颈内动脉海绵窦瘘、硬脑/脊膜动静脉瘘、颈动脉狭窄的支架成型和颈动脉内膜剥脱术、颅内外血管搭桥术、静脉窦血栓取栓、颅内外动脉慢闭开通、岩下窦采血等,作为区域脑血管病治疗中心,获评国家卫健委脑防委“示范高级卒中中心”、“中国卒中中心培训基地”,同时也是“安徽省脑卒中诊疗管理指导中心”挂靠单位,亚专科发挥脑血管病区域中心的辐射作用,带动省内和周边区域脑血管病诊疗工作的快速发展。



什么达医畅疗·第一期 | 畅医达(Choydar)17小系统血流导向装置治疗大脑中动脉动脉瘤两例_https://www.jmylbn.com_新闻资讯_第31张


高歌教授团队



什么达医畅疗·第一期 | 畅医达(Choydar)17小系统血流导向装置治疗大脑中动脉动脉瘤两例_https://www.jmylbn.com_新闻资讯_第32张
什么达医畅疗·第一期 | 畅医达(Choydar)17小系统血流导向装置治疗大脑中动脉动脉瘤两例_https://www.jmylbn.com_新闻资讯_第33张

高歌,医学博士,主任医师,硕士研究生导师,中国科学技术大学附属第一医院(安徽省立医院)神经外科脑血管病亚专科主任。专业特长为脑血管病的介入手术和显微外科治疗,熟练开展多种复杂脑脊髓血管病的外科治疗工作,是同时掌握脑血管病显微外科手术和介入手术的复合型人才,手术并发症低,治愈率高,每年脑血管病手术治疗量约1000例。

中国医师协会介入医师分会青年委员

中国医师协会欧美同学会脑血管病分会常务委员

安徽省医学会神经外科分会脑血管病外科学组副组长

安徽省医师协会神经介入分会常务委员

海医会神经外科分会脑血管病学组委员

中国老年医学会神经医学分会委员

美国凤凰城Barrow 神经研究所访问学者

什么达医畅疗·第一期 | 畅医达(Choydar)17小系统血流导向装置治疗大脑中动脉动脉瘤两例_https://www.jmylbn.com_新闻资讯_第34张



什么达医畅疗·第一期 | 畅医达(Choydar)17小系统血流导向装置治疗大脑中动脉动脉瘤两例_https://www.jmylbn.com_新闻资讯_第35张






朱浩,在读博士,硕士毕业于浙江大学,2014年在复旦大学附属华山医院培训两年,目前为中国科大附属第一医院神经外科脑血管病亚专科主治医师,科室技术骨干,专业擅长脑血管疾病的显微外科及介入治疗,在全省血管技能比赛中获得一等奖,发表过多篇论文‍。



关于畅医达






  • 江苏畅医达医疗科技有限公司涉及神经介入、神经调控两大治疗方向,覆盖出血性脑卒中、缺血性脑卒中,外周神经刺激、深部脑神经刺激、皮层感知深脑刺激等多个疾病领域,是国内唯一在神经科学赛道全线规划布局的公司。

  • 在神经介入领域,畅医达医疗具备行业唯一的手工编织和高端机械编织双重能力。先后启动了血流导向装置和编织辅助支架的临床研究,即将启动缺血性脑卒中临床试验,和第三个出血性脑卒中重量级临床研究-瘤内扰流器械临床试验。

  • 在神经调控领域,国内首款经皮外周神经刺激系统(PNS)将为中国千万疼痛病患提供新的安全有效的疗法。畅医达医疗不仅具备国际前沿的无线DBS研发技术,同时在神经调控智能双向交互领域、脑-机接口技术等方面有着显著的研究成果,代表着中国的神经调控技术将进入全新的提速时代。

什么达医畅疗·第一期 | 畅医达(Choydar)17小系统血流导向装置治疗大脑中动脉动脉瘤两例_https://www.jmylbn.com_新闻资讯_第36张
什么达医畅疗·第一期 | 畅医达(Choydar)17小系统血流导向装置治疗大脑中动脉动脉瘤两例_https://www.jmylbn.com_新闻资讯_第37张
什么达医畅疗·第一期 | 畅医达(Choydar)17小系统血流导向装置治疗大脑中动脉动脉瘤两例_https://www.jmylbn.com_新闻资讯_第38张

扫二维码|关注我们

商务邮箱|CEDHealthcare@neulive.cn

什么达医畅疗·第一期 | 畅医达(Choydar)17小系统血流导向装置治疗大脑中动脉动脉瘤两例_https://www.jmylbn.com_新闻资讯_第39张


什么达医畅疗·第一期 | 畅医达(Choydar)17小系统血流导向装置治疗大脑中动脉动脉瘤两例_https://www.jmylbn.com_新闻资讯_第40张

声明:脑医汇旗下神外资讯、神介资讯、脑医咨询所发表内容之知识产权为脑医汇及主办方、原作者等相关权利人所有。未经许可,禁止进行转载、摘编、复制、裁切、录制等。经许可授权使用,亦须注明来源。欢迎转发、分享。
投稿/会议发布,请联系400-888-2526转3
什么达医畅疗·第一期 | 畅医达(Choydar)17小系统血流导向装置治疗大脑中动脉动脉瘤两例_https://www.jmylbn.com_新闻资讯_第41张

脑医汇App(原神介资讯App短视频”功能全新上线,碎片化时间学习内容,长按识别二维码或点击“阅读原文抢先体验!

什么达医畅疗·第一期 | 畅医达(Choydar)17小系统血流导向装置治疗大脑中动脉动脉瘤两例_https://www.jmylbn.com_新闻资讯_第42张

点分享

什么达医畅疗·第一期 | 畅医达(Choydar)17小系统血流导向装置治疗大脑中动脉动脉瘤两例_https://www.jmylbn.com_新闻资讯_第43张

点点赞

什么达医畅疗·第一期 | 畅医达(Choydar)17小系统血流导向装置治疗大脑中动脉动脉瘤两例_https://www.jmylbn.com_新闻资讯_第44张

点在看