什么是病理蜡块晚期肿瘤诊断利器 —— 病理科细胞蜡块技术

新闻资讯2026-04-23 19:34:40
什么是病理蜡块晚期肿瘤诊断利器 —— 病理科细胞蜡块技术_https://www.jmylbn.com_新闻资讯_第1张

病理科与临床各学科之间存在着广泛而密切的联系,比如肿瘤的良恶性判断、是原发还是转移等,临床都需借助病理学这个“金标准”来达到明确诊断疾病的目的。


什么是病理蜡块晚期肿瘤诊断利器 —— 病理科细胞蜡块技术_https://www.jmylbn.com_新闻资讯_第2张


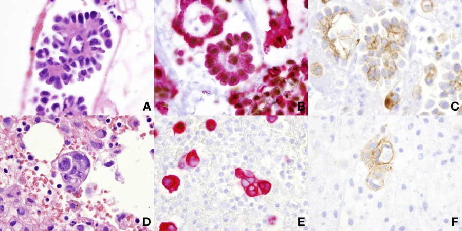
近日,一名77岁的男性患者因胸闷到我院就诊,经X光检查显示其左侧胸腔积液。但仅凭该项检查,临床医生无法对病情作进一步判断。由于该患者胸腔中含有大量积液,肺组织被胸水挤压萎缩,影像学检查无法观察肺部有无占位。在这种情况下,临床为患者进行了胸腔穿刺,送检500ml血性胸水做病理检查,以明确病因。


什么是病理蜡块晚期肿瘤诊断利器 —— 病理科细胞蜡块技术_https://www.jmylbn.com_新闻资讯_第3张


病理科在接收到患者的胸水标本之后,首先做了胸水涂片的细胞学检查,初步报告怀疑为恶性细胞。为了明确诊断,在与临床医生和患者沟通后,病理科将剩余的胸水标本制作成细胞蜡块,通过细胞蜡块技术明确诊断病人的病情为“腺癌,高度可疑来源于肺”。这位患者在没有满意影像学资料的情况下获得了明确的病理诊断,为患者的下一步治疗提供了强有力的支撑。


什么是病理蜡块晚期肿瘤诊断利器 —— 病理科细胞蜡块技术_https://www.jmylbn.com_新闻资讯_第4张


近年来,细胞蜡块技术作为病理诊断的辅助手段,其重要性日益凸显。该手段结合免疫组化、分子病理等技术的应用,使细胞学标本现在也可以做出与组织学标本一样的精确诊断。

对于伴有胸、腹腔积液的晚期肿瘤患者,若其无法耐受活体穿刺检查,细胞蜡块将是患者能够确诊疾病的有效方法。相对于活体穿刺检查,细胞蜡块取材于胸、腹腔积液,风险更小、并发症少,标本更容易获得,同时结合免疫组化检查结果,对部分肿瘤疾病的原发部位同样可以做出准确的预测,对指导临床治疗方面也有着极其重要的意义。


什么是病理蜡块晚期肿瘤诊断利器 —— 病理科细胞蜡块技术_https://www.jmylbn.com_新闻资讯_第5张


细胞蜡块技术克服了传统细胞学检查中存在的一些缺陷,对疾病的诊断起着十分积极的作用。经过我院病理科不断地学习和探索,目前该项技术已在临床得到了广泛应用,对我院精准细胞学诊断提供了更加强有力的保障!



病理科简介

病理科主要任务是在医疗过程中承担病理诊断工作,包括通过活体组织检查、脱落和细针穿刺细胞学检查以及尸体剖检,为临床提供明确的病理诊断,确定疾病的性质,查明死亡原因。潜江市中心医院病理科拥有先进的病理设备和强大的人才梯队,现有15名工作人员,医生8名,技术员7名,其中硕士研究生3名,可展下列诊疗技术:

1、活体组织检查:所有手术标本,包括身体各部位的穿刺组织标本、脏器标本、骨骼标本以及纤维胃镜、肠镜、支气管镜、喉镜的活体标本,均可进行活体组织检查。现在我科每天做病理检查,每周一至六均发病理报告,常规病检时间由原来的1~5天缩短为3天。全部病理资料采用计算机病理图文管理系统管理并打印病理报告,其中有近1/2的报告为图文病理报告。

2、细胞学检查:包括宫颈液基细胞学检查(TCT)、痰涂片、胸腹水及尿液涂片、各种组织穿刺涂片等。可以协助大规模肿瘤的普查,例如:子宫颈癌阴道涂片检查、人乳头状瘤病毒(HPV)核酸检测杂交捕获技术的开展,可早期预测宫颈的病变,为临床治疗提供准确的依据

3、术中冰冻切片检查:通过使用冰冻切片的方法,可在30~40分钟内发出初步病理报告。主要用于手术进行过程中的快速诊断参考,为临床手术治疗提供及时可靠的依据。

4、免疫组织化学检查:有80余种免疫组化检查项目,包括各种上皮性标记物、间叶性标记物、细胞增殖性标记物、癌基因蛋白等。用于疾病的诊断和鉴别诊断,以及判断某些恶性肿瘤的转归和预后。

5、特殊染色检查:有10余种特染检查,如网状纤维染色、Masson染色、PAS、AB及抗酸染色等,用于的疾病的诊断和鉴别诊断。

科室咨询电话:0728-6298045

专家简介

什么是病理蜡块晚期肿瘤诊断利器 —— 病理科细胞蜡块技术_https://www.jmylbn.com_新闻资讯_第6张
周先荣 副主任医师

简介九三学社社员,潜江市中心医院病理科主任,副主任医师,毕业于同济医科大学医学系。湖北省抗癌协会肿瘤病理专业第三、四届委员,湖北省病理科质量控制中心专家组委员,武汉市医学会第十一届病理学分会委员,荆州市病理学会第一至四届委员,潜江市医学会医疗事故技术鉴定专家库成员。多次赴同济医科大学同济医院病理科、北医三院病理科、武汉协和医院病理科进修学习,撰写的多篇论文先后在《诊断病理学杂志》、《中华小儿外科杂志》、《实用妇产科杂志》等发表。从事临床病理工作近30年,具有丰富的病理诊断经验,尤其擅长肿瘤病理诊断。


文字/黎三艳、吴梓玄

制作/吴梓玄

编审/郑妮

审核/陈飞


潜江市中心医院24小时咨询电话:0728-6242026

什么是病理蜡块晚期肿瘤诊断利器 —— 病理科细胞蜡块技术_https://www.jmylbn.com_新闻资讯_第7张

打造高质量三级甲等综合医院

什么是病理蜡块晚期肿瘤诊断利器 —— 病理科细胞蜡块技术_https://www.jmylbn.com_新闻资讯_第8张

什么是病理蜡块晚期肿瘤诊断利器 —— 病理科细胞蜡块技术_https://www.jmylbn.com_新闻资讯_第9张

按住二维码3秒,“识别”即可预约挂号


关注潜江市中心医院




什么是病理蜡块晚期肿瘤诊断利器 —— 病理科细胞蜡块技术_https://www.jmylbn.com_新闻资讯_第10张




微信服务号




什么是病理蜡块晚期肿瘤诊断利器 —— 病理科细胞蜡块技术_https://www.jmylbn.com_新闻资讯_第11张




微信订阅号




什么是病理蜡块晚期肿瘤诊断利器 —— 病理科细胞蜡块技术_https://www.jmylbn.com_新闻资讯_第12张




抖音号