什么是c型臂术中透视骨科精读 | 股骨近端骨折的转子区域与矢状面力线术中透视技巧

新闻资讯2026-04-23 17:22:54

添加星标,每日推送不错过!

操作方法:公众号主页 右上角三个点 设为星标


在股骨颈骨折和股骨近端骨折的治疗中,术中透视对股骨颈的清晰显影至关重要。


  • 由于成像不充分导致的植入物位置不当和复位不良较为常见,并可能引发早期临床失败。

  • 股骨近端对内翻畸形的耐受性极差,因此应尽一切努力确保充分成像,以发现细微的角度缺陷。

  • 未能在股骨头和颈部正确放置植入物已导致早期失败。股骨头球形区域周围的最佳显影对于避免这些并发症至关重要。


术中成像显示的骨性解剖结构:

• 球形股骨头需要(至少)正侧成像序列,以确保植入物安全放置在软骨下骨内,且不穿透关节面。

因此,若螺钉在所有图像上均位于股骨头内,则视为“安全”。若在任何图像上显示其穿透股骨头,则必须调整螺钉长度或方向。

• 倾斜角(也称颈干角)和前倾角是处理股骨颈、转子间及转子下区域骨折时,临床最相关的角度测量指标。

熟悉解剖角度有助于术中透视定位处理:

◇ 成人股骨颈干角平均为129度±6度,且无性别差异。

◇ 男性股骨颈前倾角平均为7.0度±6.8度。

◇ 女性股骨颈前倾角平均为8.0度±10.0度。

◇ 短外旋肌群(附着于转子间嵴)、髋外展肌群(附着于大转子)及腰大肌(附着于小转子)均会对该区域骨折产生牵拉作用,必须在骨折手术中予以处理。

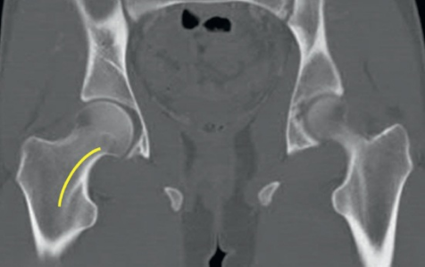
"Calcar"一词源自拉丁语"calcaria",意为刺状突起或类似马刺的突出结构,例如存在于花瓣基部或鸟类翅膀及腿部的此类结构。

股骨距(calcar femorale)是股骨近端内部的一块致密垂直骨板(图1和图2中的黄色线标示部分)。该结构起自股骨干后内侧(小转子下方),向外侧穿过松质骨延伸至大转子。从临床角度看,此处的骨皮质增厚区域有助于抵抗内侧压缩负荷。股骨距的完整性对于区分稳定型与不稳定型骨折模式具有重要临床意义。该区域也是内植入物与骨组织产生最大抗变形力的关键接触部位。

什么是c型臂术中透视骨科精读 | 股骨近端骨折的转子区域与矢状面力线术中透视技巧_https://www.jmylbn.com_新闻资讯_第1张

图1

什么是c型臂术中透视骨科精读 | 股骨近端骨折的转子区域与矢状面力线术中透视技巧_https://www.jmylbn.com_新闻资讯_第2张

图2

术中体位与成像方案

仰卧位与侧卧位存在固有的优缺点,这包括术中透视的优势或局限性。在术前规划体位和影像需求时,必须综合考虑以下因素:

  • 标准或专用骨折手术台上的仰卧位;

  • 射线可透手术台上的仰卧位(自由腿位);

  • 射线可透手术台上的侧卧位(自由腿位);

  • 骨折手术台上的侧卧位;

  • 近端股骨手术的双C臂技术方案。


1、仰卧位(骨折手术床体位)

该体位最便于影像学评估。

采用翻转侧位投照时,股骨干、股骨颈与股骨头可呈线性排列,使术者能清晰识别矢状面上的细微复位不良。此外,该体位可充分显影内植物在股骨颈及股骨头内的置入情况(图3)。

什么是c型臂术中透视骨科精读 | 股骨近端骨折的转子区域与矢状面力线术中透视技巧_https://www.jmylbn.com_新闻资讯_第3张

图3


骨盆及髋关节正位X线检查:


骨盆正位X线片可在手术室内拍摄,用于对比损伤侧与健侧。此外,正位骨盆成像对于采用直接前入路全髋关节置换术治疗股骨颈移位骨折时的股骨前倾角评估具有重要意义。

标准正位骨盆影像应满足以下解剖学特征:

  • 闭孔形态双侧对称;

  • 尾骨尖端约位于耻骨联合正上方1-3厘米处;

  • 脊柱棘突应位于椎体中线位置;

  • 腰椎椎弓根应呈对称结构,但在常规正位影像中,与耻骨联合同框显影时,术中可能难以清晰辨识。上述标准与骨盆入口位/出口位成像存在显著差异(图4)。

什么是c型臂术中透视骨科精读 | 股骨近端骨折的转子区域与矢状面力线术中透视技巧_https://www.jmylbn.com_新闻资讯_第4张

图4

髋关节正位X线片应显示小转子轮廓,多数情况下可清晰显示梨状窝边界(红色标记)(图5)。

什么是c型臂术中透视骨科精读 | 股骨近端骨折的转子区域与矢状面力线术中透视技巧_https://www.jmylbn.com_新闻资讯_第5张

图5


侧位成像技术:


• 标准侧位(与地面平行侧位)

▫ 最适用于观察股骨距区域的复位情况。要实现股骨头内植入物的精准定位可能存在技术难度。

▫ 需与翻转侧位联合使用。该投照角度可能难以准确检测矢状面上的细微畸形(图6)。

什么是c型臂术中透视骨科精读 | 股骨近端骨折的转子区域与矢状面力线术中透视技巧_https://www.jmylbn.com_新闻资讯_第6张

图6

轴侧位:使股骨干、股骨颈和股骨头呈共线对齐,让术者能够观察到矢状面的细微复位不良。此外,植入物在股骨颈和股骨头内的放置情况可清晰显影。此体位最适用于将植入物定位到股骨头内,但股骨距区域显示不佳。应与标准侧位成像结合使用。

什么是c型臂术中透视骨科精读 | 股骨近端骨折的转子区域与矢状面力线术中透视技巧_https://www.jmylbn.com_新闻资讯_第7张

图7


病例示例:股骨颈骨折空心螺钉内固定术


术前透视成像序列显示:患者为稳定性轻度外翻嵌插型股骨颈骨折,伴轻微股骨颈下段粉碎性骨折,矢状面未见台阶征或成角畸形(图8)。

什么是c型臂术中透视骨科精读 | 股骨近端骨折的转子区域与矢状面力线术中透视技巧_https://www.jmylbn.com_新闻资讯_第8张8

术后影像显示空心螺钉固定位置安全,通过宽间距倒置固定模式对骨折端实现有效加压(图9)。

什么是c型臂术中透视骨科精读 | 股骨近端骨折的转子区域与矢状面力线术中透视技巧_https://www.jmylbn.com_新闻资讯_第9张

图9


2、仰卧于可透视的手术床(下肢自由放置)

正位成像技术


精确的正位成像必须考虑患者在射线可透检查台上的体位倾斜(通常需在胸廓和臀部下放置楔形垫或体位垫)(图10与图11)。

什么是c型臂术中透视骨科精读 | 股骨近端骨折的转子区域与矢状面力线术中透视技巧_https://www.jmylbn.com_新闻资讯_第10张

图10

什么是c型臂术中透视骨科精读 | 股骨近端骨折的转子区域与矢状面力线术中透视技巧_https://www.jmylbn.com_新闻资讯_第11张

图11

为更清晰地显示股骨颈及近端股骨结构,可采用多种内外投照体位。这些投照方式有助于识别微小移位骨折线(图12)。需注意:为在骨盆正位情况下获得合适的进针点,可显著内收下肢以辅助定位。

什么是c型臂术中透视骨科精读 | 股骨近端骨折的转子区域与矢状面力线术中透视技巧_https://www.jmylbn.com_新闻资讯_第12张

图12


侧位成像技术


侧位成像技术可采取以下三种体位:(1) 极度翻转侧位,(2) 标准侧位,(3) 半蛙式侧位。在此体位下进行侧位成像可能存在技术难度,需特别注意避免造成不稳定性骨折复位后的移位(图13)。

什么是c型臂术中透视骨科精读 | 股骨近端骨折的转子区域与矢状面力线术中透视技巧_https://www.jmylbn.com_新闻资讯_第13张

图13

极度翻转侧位透视成像要求术者熟练掌握影像增强器的定位技术。在此体位下,由于影像增强器位于患者上方,术侧髋关节在影像中显示较非术侧更为缩小。这种现象源于术侧距离射线发射源更远所致。明确此影像差异后,即可顺利开展手术操作(图14)。

什么是c型臂术中透视骨科精读 | 股骨近端骨折的转子区域与矢状面力线术中透视技巧_https://www.jmylbn.com_新闻资讯_第14张

图14

标准侧位成像技术在观察股骨近端时可能面临以下挑战:(1) 腹部体积过大;(2) 成像方向性不佳;(3) 对侧大腿体积影响;(4) 手术侧抬升不足(术前在胸廓和髋部下方放置楔形垫或"隆起物")(图15)。

什么是c型臂术中透视骨科精读 | 股骨近端骨折的转子区域与矢状面力线术中透视技巧_https://www.jmylbn.com_新闻资讯_第15张

图15

若骨折复位状态稳定,可采用半蛙式侧位投照法。需注意该方法存在初始体位或骨折复位发生移位的风险。但此侧位投照方式的成像质量优于前述两种方法(图16)。

什么是c型臂术中透视骨科精读 | 股骨近端骨折的转子区域与矢状面力线术中透视技巧_https://www.jmylbn.com_新闻资讯_第16张

图16


3、侧卧位于可透视手术床(下肢自由放置)

作者团队推荐采用该体位进行股骨近端创伤钢板固定术及股骨扩展入路手术(图17与图18)。

什么是c型臂术中透视骨科精读 | 股骨近端骨折的转子区域与矢状面力线术中透视技巧_https://www.jmylbn.com_新闻资讯_第17张

图17

什么是c型臂术中透视骨科精读 | 股骨近端骨折的转子区域与矢状面力线术中透视技巧_https://www.jmylbn.com_新闻资讯_第18张

图18

定位辅助装置有助于实现股骨中立位定位。鉴于其射线可透性和便于微调的特性,作者通常采用多层折叠毯来精确调整股骨与髋关节的定位(图19)。

什么是c型臂术中透视骨科精读 | 股骨近端骨折的转子区域与矢状面力线术中透视技巧_https://www.jmylbn.com_新闻资讯_第19张

图19


正位成像技术


此处可采用标准正位成像技术。通过调整C形臂的偏转组件(图20),可轻松实现与股骨屈曲角度的匹配。

什么是c型臂术中透视骨科精读 | 股骨近端骨折的转子区域与矢状面力线术中透视技巧_https://www.jmylbn.com_新闻资讯_第20张

图20


侧位成像技术


由于对侧髋关节与手术侧影像重叠,可能导致成像判读困难。此外,既存的对侧植入物可能进一步干扰影像学评估。通过仔细比对股骨头尺寸差异(图21与图22),可有效实现鉴别诊断。

什么是c型臂术中透视骨科精读 | 股骨近端骨折的转子区域与矢状面力线术中透视技巧_https://www.jmylbn.com_新闻资讯_第21张

图21

什么是c型臂术中透视骨科精读 | 股骨近端骨折的转子区域与矢状面力线术中透视技巧_https://www.jmylbn.com_新闻资讯_第22张

图22

如下方术中影像所示,最靠近影像增强器(距射线发射源最远)的股骨头显像较小且包含植入物。相反,距离射线发射源最近的股骨头显像尺寸显著增大(图23)。

什么是c型臂术中透视骨科精读 | 股骨近端骨折的转子区域与矢状面力线术中透视技巧_https://www.jmylbn.com_新闻资讯_第23张

图23


4、侧卧位于骨折床

该体位特别适用于以下临床情况:

病态肥胖患者;

伴有显著屈曲畸形的股骨转子下骨折(图24和图25);

在侧卧位患者体位摆放过程中,常被提及的操作难点在于准备及摆放耗时问题。实际上,通过以下技巧可显著优化流程:

技术要点:将患者转运推车调整至与骨折手术台等高。① 首先使患者在推车上保持标准侧卧位;② 维持侧卧位状态下将患者整体平移至骨折手术台。

什么是c型臂术中透视骨科精读 | 股骨近端骨折的转子区域与矢状面力线术中透视技巧_https://www.jmylbn.com_新闻资讯_第24张

图24

什么是c型臂术中透视骨科精读 | 股骨近端骨折的转子区域与矢状面力线术中透视技巧_https://www.jmylbn.com_新闻资讯_第25张

图25


正位成像技术


在此体位下,标准床旁正位成像操作简便。通过调整C形臂透视机的角度或偏转,可在股骨屈曲后确保成像的精确性。


侧位成像技术


该技术可根据C型臂相对于患者的倾斜角度进行调节,以实现对股骨距和矢状位对线的可视化评估(图26)。

什么是c型臂术中透视骨科精读 | 股骨近端骨折的转子区域与矢状面力线术中透视技巧_https://www.jmylbn.com_新闻资讯_第26张

图26

该体位的显著优势在于可清晰观察股骨头颈区域内固定装置的头部组件,这可能是所有体位中对该区域的最佳显像视角(图27与图28)。

什么是c型臂术中透视骨科精读 | 股骨近端骨折的转子区域与矢状面力线术中透视技巧_https://www.jmylbn.com_新闻资讯_第27张

图27

什么是c型臂术中透视骨科精读 | 股骨近端骨折的转子区域与矢状面力线术中透视技巧_https://www.jmylbn.com_新闻资讯_第28张

图28


5、双c臂技术在股骨近端手术中的应用

在部分股骨近端手术中可采用双C臂辅助操作;

股骨颈骨折空心螺钉内固定术;

短型头髓内钉植入术;

滑动髋螺钉结构(图29)。

什么是c型臂术中透视骨科精读 | 股骨近端骨折的转子区域与矢状面力线术中透视技巧_https://www.jmylbn.com_新闻资讯_第29张

图29


标准正位和侧位成像技术


标准正位和侧位成像技术按照前文所述方法实施(仰卧位骨折手术床体位)。

皮肤消毒前需完成术前影像学评估,以确保成像质量符合要求。在此种设备配置下,除轻微成像参数调整外,任何影像修正操作均可能难以实现(图30)。 

什么是c型臂术中透视骨科精读 | 股骨近端骨折的转子区域与矢状面力线术中透视技巧_https://www.jmylbn.com_新闻资讯_第30张

图30

在手术过程中或结束时,可调整侧位视角以确保植入物安全置入,同时恢复精确的股骨距可视化与矢状面力线校正。该技术可能缩短手术时间,但需注意的是,患者术前准备阶段将耗费额外时间(图31)。

什么是c型臂术中透视骨科精读 | 股骨近端骨折的转子区域与矢状面力线术中透视技巧_https://www.jmylbn.com_新闻资讯_第31张

图31

参考文献:

1.https://surgeryreference.aofoundation.org/orthopedic-trauma/adult-trauma/proximal-femur/further-reading/intraoperative-imaging-of-the-proximal-femur#cases:《Illustrated Tips and Tricks for Intraoperative Imaging in Fracture Surgery》。以上内容公开发行的书刊、互联网公开信息平台,相关知识产权及版权均归属原始创作者或合法权利方所有。仅对上述材料进行翻译、整理、编辑加工及分享,供交流学习、参考之用。请以原文为准,中文仅供参考。


  END


扫码添加


骨科小助手


加入学术交流群

什么是c型臂术中透视骨科精读 | 股骨近端骨折的转子区域与矢状面力线术中透视技巧_https://www.jmylbn.com_新闻资讯_第32张
什么是c型臂术中透视骨科精读 | 股骨近端骨折的转子区域与矢状面力线术中透视技巧_https://www.jmylbn.com_新闻资讯_第33张


骨今中外征稿邀请

征稿主题丰富多样,投稿一经采用即可获取丰厚稿酬及多种权益。详情请点击:骨今中外征稿啦!稿费丰厚

声明:本文信息不能以任何方式取代专业的医疗指导,也不应被视为诊疗建议,仅供医学专业人士阅读参考,不代表骨今中外平台观点,希望大家理性判断,有针对性地应用。如有侵权请联系删除。