近日,我院放射科新添置的GE Senographe Pristina数字X线能谱乳腺机正式投入使用,为早期发现和诊断乳腺疾病又增添了一重要的数字医疗装备。
数字X线能谱乳腺机


近年来随着检查手段以及技术的飞跃性发展,各种乳腺疾病的检出率不断提高,其中乳腺癌是中国女性持续高发的恶性肿瘤,并以45—59岁年龄段的女性为发病高峰。根据国家癌症中心最新发布的《中国乳腺癌筛查与早诊早治指南》,对于40岁以上有既往病史或家族遗传史的高风险人群,需要每年进行乳腺X线检查。

传统的乳腺X线检查会对乳腺进行极强的扁平化挤压,令很多女性患者感到恐惧和不适,并影响到检查的接受及配合程度,继而对于检查结果的准确性和乳腺钼靶的普及筛查造成了一定约束。而新添置的GE Senographe Pristina数字X线能谱乳腺机从女性视角出发进行设计,不仅在外观上达到唯美、令人舒适的效果,更开创性地推出自主调节压力的功能,在确保高清成像、高效诊断的同时,改善患者检查体验,消除紧张和恐惧情绪,提高检查者配合度,可以每年定期进行筛查,或者进一步的诊断检查,实现对乳腺疾病早检查、早发现、早治疗的良性循环。

对于医生而言,该机器拥有全新的硬件和智能人机互动平台,配备月神球管、碘化铯功能平板等多项领先工艺,以及灵活摆位、更大升降范围等优化设计,除了进行传统数字乳腺X线摄影(FFDM)检查外,还整合第二代乳腺断层摄影技术(ASiR DBT)、乳腺高清对比增强技术(CESM HD)于一体,实现更低辐射剂量下的高清成像,贯穿疾病筛查、诊断路径,助力临床对于乳腺尤其致密型腺体微小病变的更早期发现和更精准诊疗,让先进的科技惠及广大患者。

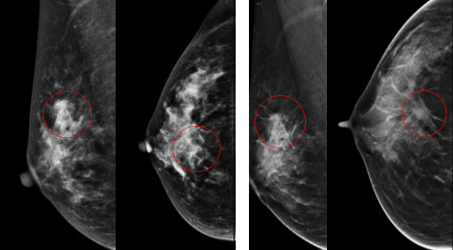
随着技术的发展,乳腺断层摄影技术(ASiR DBT)正在迅速取代传统数字乳腺X线摄影(FFDM)成为主要筛查方法,研究显示乳腺断层摄影技术(DBT)能比传统数字乳腺X线摄影(FFDM)多发现30%的癌症。亚洲女性乳腺腺体多为致密型,容易遮挡病灶而影响诊断,DBT扫描完成后,计算机利用算法把图像重建为平行于探测器且间距为1mm左右的影像,相对于传统的二维乳腺摄影技术,重建后的三维断层影像减少或消除了组织重叠和结构噪声的影响。

(左图)传统数字乳腺X线摄影(FFDM)
(右图)乳腺断层摄影技术(ASiR DBT)
右乳外上象限局限致密影
病理:右乳浸润性导管癌
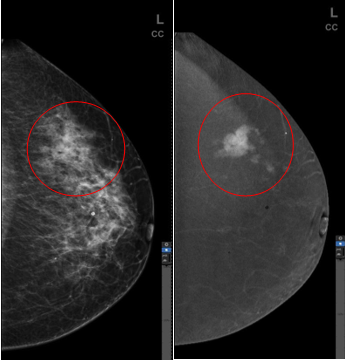
乳腺高清对比增强技术(CESM HD)检查时,患者在乳腺摄影前经静脉注射碘剂,在同一位置,不同的能量下(低能和高能)进行图像采集、减影、融合与重建。生成有效消除背景及腺体组织,仅保留碘剂代谢异常的乳腺病变影像。该技术结合了数字化乳腺摄影与对比剂使用的优点来检测乳腺病变,可实现对实质肿块以及微钙化的显示。临床实践证明CESM不但可显著提高乳腺X线摄影的敏感性,特异性,降低召回率及活检穿刺率,而且敏感性和MRI(核磁共振)一致,利用这项全球独有领先技术,增加了医生在乳腺疾病尤其是乳腺癌筛查及诊断信心,可以更好地为病人服务。
病例一

(左图)传统数字乳腺X线摄影(FFDM)
(右图)乳腺高清对比增强技术(CESM HD)
左乳外象限局限致密影
病理:左乳浸润性导管癌
病例二

(左图)传统数字乳腺X线摄影(FFDM),左乳保乳术后,传统2D图像显示左乳上象限术区结构纠集、扭曲。
(右图)乳腺高清对比增强技术(CESM HD),对比增强后该区域未见明显异常强化,提示术后改变。
我院乳腺诊疗中心自成立以来高速发展,乳腺X线检查数量、质量需求也随之增加,这给了放射科更高的任务和目标。GE Senographe Pristina数字X线能谱乳腺机的投入使用,可为乳腺疾病患者解决更多实际问题,为临床提供更好的优质服务,也将对我院医疗、教学、科研工作起到积极的推进作用。
供稿:胡碧莹、曾成龙
摄影:胡碧莹
责任编辑:孙凯
