乳腺cr是什么予她时光 向未来 | 消失的“它”?肝转移灶CR!

新闻资讯2026-04-23 16:23:38

前言

  自抗HER2靶向治疗问世以来,HER2阳性乳腺癌患者的预后发生了巨大的变化。但HER2阳性IV期乳腺癌预后仍然较差,如何延长IV期乳腺癌患者总生存(OS)仍是乳腺癌领域关注的问题。本期“予她时光 向未来”专栏邀请到威海妇幼保健院王显臣为大家分享一例初诊HER2阳性IV期乳腺癌患者诊疗病例,并邀请到滨州医学院附属医院宁方玲和青岛市中心医院慕强就本病例深入剖析。患者初诊为IV期乳腺癌伴骨转移、肝转移,一线和二线接受了曲妥珠单抗联合化疗方案治疗,过程中疗效较好。患者新发颅内转移后,在三线选择了恩美曲妥珠单抗(T-DM1)治疗。T-DM1治疗后患者肝转移灶消失,骨、颅内转移灶控制稳定,并取得了超17个月的无进展生存(PFS)


病例信


1.基本信息

  • 患者,女,38岁(目前),已婚已育,未绝经。2021.03.12因“发现右乳肿物10天”首次就诊。查体可触及右乳10cm*8cm肿物,右侧腋窝肿大淋巴结,约3cm*2cm。ECOG评分0。


2.相关检查及诊断

  • 完善乳腺彩超、钼靶、磁共振检查,结果提示右乳癌。上腹部CT提示肝内多发实性结节,考虑转移。骨扫描提示胸2、胸12、腰1、骶骨多发异常信号,考虑多发骨转移。余检验及检查未见明显异常。

  • 完善右乳肿物穿刺,病理提示:右乳浸润性导管癌(III级);免疫组化提示:ER(-), PR(-), HER2(3+), Ki-67(50%+)。

  • 诊断:右乳癌伴肝转移、骨转移(cT3N1M1 IV期)。


3.晚期治疗

晚期一线(外院治疗,PFS=4个月)

  • 于外院行TXH方案(具体为白蛋白紫杉醇+卡培他滨+曲妥珠单抗)治疗共6周期,同步行唑来膦酸治疗。

  • 2021.07.07 评估乳腺、肝转移、骨转移明显好转。

  • 2021.07.28 肝脏出现新发病灶。

晚期二线(外院治疗,PFS=8个月)

  • 于外院行TNH方案(白蛋白紫杉醇+长春瑞滨+曲妥珠单抗)治疗共8周期,同步行唑来膦酸治疗。

  • 2022.04.15 完善PET/CT检查,提示:乳腺、肝脏、骨转移好转,颅脑左额叶、枕叶新发两个等密度结节。2022.04.21 完善颅脑MRI检查,提示:左额叶、枕叶多发结节,大者约1.8cm*1.4cm。

晚期三线(PFS>17个月)

  • 2022.04.29开始行T-DM1方案治疗。定期复查,肝脏病灶持续缩小;颅内转移灶略缩小,控制稳定;骨转移灶控制稳定。治疗过程中发生≤2级血小板减少,对症给予海曲泊帕升血小板治疗,后血小板恢复正常。

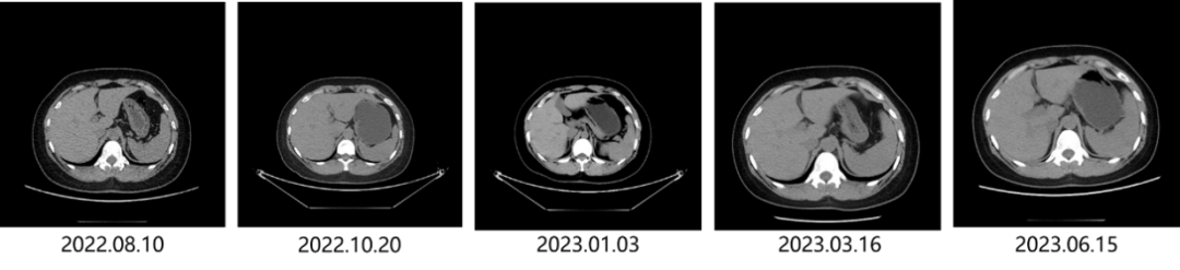
  • 2022.04.29 肝脏超声提示转移灶约3.6cm*2.2cm;2022.06.09 肝脏超声提示转移灶约3.1cm*2.0cm。

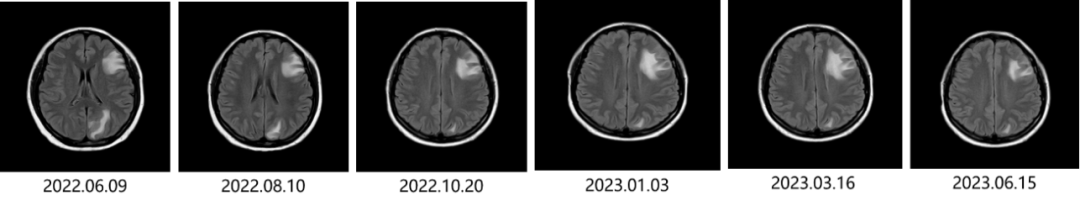
  • 2023.06.15 患者颅内病灶稳定,肝脏转移灶消失,骨转移灶稳定。

乳腺cr是什么予她时光 向未来 | 消失的“它”?肝转移灶CR!_https://www.jmylbn.com_新闻资讯_第1张

图1 T-DM1治疗肝转移灶变化

乳腺cr是什么予她时光 向未来 | 消失的“它”?肝转移灶CR!_https://www.jmylbn.com_新闻资讯_第2张

图2 T-DM1治疗颅内转移灶变化


4. 患者诊疗过程


乳腺cr是什么予她时光 向未来 | 消失的“它”?肝转移灶CR!_https://www.jmylbn.com_新闻资讯_第3张

图3 患者诊疗过程


问题思考:

Q1:结合病例,请您谈一谈初诊IV期HER2阳性乳腺癌治疗决策?


Q2:请您谈谈肝转移患者在T-DM1治疗中获益显著的原因?


Q3:请您结合相关临床研究谈谈HER2阳性颅内转移患者治疗选择?


圆桌派讨论


专家简介

乳腺cr是什么予她时光 向未来 | 消失的“它”?肝转移灶CR!_https://www.jmylbn.com_新闻资讯_第4张

宁方玲

  • 滨州医学院附属医院肿瘤科主任,主任医师,硕士生导师

  • 韩国加图力大学访问学者

  • 山东省医师协会肿瘤精准医疗分会副主任委员

  • 山东省医师协会肿瘤多学科治疗分会副主任委员

  • 山东省医师协会肿瘤放疗医师分会副主任委员

  • 山东省抗癌协会肿瘤免疫与免疫治疗学分会副主任委员

  • 山东省抗癌协会癌症康复分会副主任委员

  • 山东省临床肿瘤学会患者教育专家委员会副主任委员

  • 山东省抗癌协会小细胞肺癌分会副主任委员

  • 滨州市医学会肿瘤放射治疗专业委员会主任委员

  • 滨州市抗癌协会副理事长


乳腺cr是什么予她时光 向未来 | 消失的“它”?肝转移灶CR!_https://www.jmylbn.com_新闻资讯_第5张

慕强

  • 青岛市中心医院乳腺外一科副主任

  • 肿瘤学博士、副主任医师

  • 青岛市抗癌协会乳腺癌专业委员会副主任委员

  • 青岛市医学会医学美学与美容学专科分会委员

  • 山东省抗癌协会癌症康复分会委员会委员


Q1:结合病例,请您谈一谈初诊IV期HER2阳性乳腺癌治疗决策?


乳腺cr是什么予她时光 向未来 | 消失的“它”?肝转移灶CR!_https://www.jmylbn.com_新闻资讯_第6张

宁方玲

  在中国,新发乳腺癌患者中2.4%为IV期乳腺癌,而IV期乳腺癌预后较差,5年OS率仅为25%1,2。IV期乳腺癌治疗目标是延长OS,控制肿瘤负荷,减少肿瘤相关症状和并发症,提高生活质量3。目前对于HER2阳性的IV期乳腺癌来说,持续的抗HER2靶向治疗是提高患OS率、延长患者OS基础4


  该患者初诊即为IV期乳腺癌伴肝转移和骨转移,在外院接受TXH一线治疗,虽然原发灶和转移灶明显好转,但治疗4个月后肝脏新发转移灶。其实与曲妥珠单抗仅抑制HER2同源二聚体相比,曲帕双靶可从药物机制上形成互补,通过抑制同源二聚体和异源二聚体形成,从源头阻断HER2下游信号通路传导,可以起到更强的抗肿瘤作用5。CLEOPATRA研究结果显示,曲帕双靶联合化疗方案可使患者中位PFS曲妥珠单抗联合化疗方案治疗下的12.4个月延长至18.7个月,中位OS从40.8个月延长至57.1个月6。随后PUFFIN研究作为CLEOPATRA在中国的桥接研究,再次验证了曲帕双靶方案在中国患者中具有同样的疗效与安全性7。以上研究结果奠定了曲帕双靶在HER2阳性晚期乳腺癌中的一线治疗地位,也使曲帕双靶联合化疗成为国内外指南均推荐的HER2阳性晚期乳腺癌的标准治疗方案。该患者在外院接受一线曲妥珠单抗联合化疗PFS维持了4个月,如果联用帕妥珠单抗,患者疗效获益可能更加显著。


  该患者肝脏新发转移病灶后,在外院接受了TNH二线治疗,虽然乳腺原发灶和肝、骨转移灶好转,但治疗8个月新发颅内转移。尽管GBG-26研究结果提示,曲妥珠单抗进展后继续使用曲妥珠单抗并更换化疗药物可延长患者PFSOS8。但根据中国临床肿瘤学会(CSCO)指南推荐,在曲妥珠单抗治疗失败后,二线推荐选择吡咯替尼联合卡培他滨或T-DM1。EMILIA研究表明,T-DM1可显著延长曲妥珠单抗治疗失败的HER2阳性晚期乳腺癌PFSOS其亚组分析结果显示,T-DM1治疗基线期存在颅内转移患者OS26.0个月9,10。并且一项荟萃分析显示,T-DM1与吡咯替尼+卡培他滨相比,≥3级不良反应发生率更低,安全性上更具优势,利于患者坚持长期靶向治疗11


  本病例患者尽管在二线并未接受T-DM1治疗,但综合考虑疗效与安全性,临床医师给予T-DM1三线治疗也是合理的选择,且在T-DM1治疗后取得了较好的疗效并维持了超17个月的PFS

Q2:请您谈谈肝转移患者在T-DM1治疗中获益显著的原因?


乳腺cr是什么予她时光 向未来 | 消失的“它”?肝转移灶CR!_https://www.jmylbn.com_新闻资讯_第7张

慕强

  T-DM1作为乳腺癌领域首个抗体缀合药物(ADC),是由曲妥珠单抗和强效的毒素小分子DM1(美坦辛衍生物)通过硫醚连接体缀合而成12。T-DM1因其特殊的药物结构,保留了曲妥珠单抗作用,可以阻断HER2下游信号传导,同时诱导抗体依赖细胞介导的细胞毒性作用(ADCC),抑制HER2阳性乳腺癌细胞中HER2胞外域的脱落12。DM1则能够有效抑制微管蛋白聚合,进而阻滞细胞有丝分裂,导致细胞凋亡12


  既往研究表明,大分子单抗治疗有效且持续超过1年的患者进展后接受T-DM1治疗的获益更高13。同时相关体外研究显示,T-DM1的ADCC效应可能强于曲妥珠单抗,其对靶细胞毒性作用更强14。本病例患者在曲妥珠单抗治疗期间,原发灶、骨转移灶和肝转移灶均好转,并维持了共12个月的治疗时间,为后续T-DM1治疗后肝转移灶消失提供了基础。其实根据EMILIA研究结果,曲妥珠单抗治疗失败患者在二线接受T-DM1疗效获益显著9。该患者在新发颅内转移前仅为骨、肝转移,EMILIA研究和TH3RESA研究的二次分析结果显示,在转移器官≤2个且ECOG为0的患者中,T-DM1治疗的PFS率和OS率更高15。但2021年6月T-DM1在国内获批晚期适应症,当时药物可及性较差,因此该患者未能在前线接受T-DM1治疗。不过今年T-DM1正式进入医保,极大地提高了药物可及性,相信未来会有越来越多的HER2阳性晚期乳腺癌患者能够从前线治疗中获益。

Q3:请您结合相关临床研究谈谈HER2阳性颅内转移患者治疗选择?


乳腺cr是什么予她时光 向未来 | 消失的“它”?肝转移灶CR!_https://www.jmylbn.com_新闻资讯_第8张

宁方玲

  晚期乳腺癌颅内转移发生率呈上升趋势,主要原因是乳腺癌全身治疗效果提高,患者OS延长;另外,颅脑MRI检查的应用也有助于发现更多的无症状颅内转移患者。通常情况下,三阴性和HER2阳性乳腺癌的颅内转移风险相对较高16


  目前颅内转移治疗主要分为稳定性颅内转移治疗和活动性颅内转移治疗。对于活动性颅内转移患者,要更早地进行局部治疗控制,再给予后续系统治疗;对于稳定性颅内转移,一般不需要过早介入放疗等局部治疗,可以优先考虑应用药物治疗控制。根据CSCO指南,乳腺癌颅内转移总体治疗原则是在评估全身情况的前提下,优先考虑针对颅内转移灶的手术和/或放疗,同时合理考虑全身治疗。基于LANDSCAPE研究以及后续的HER2CLIMB研究,目前对于颅内转移灶数量有限且无症状的HER2阳性患者,可优先考虑抗HER2靶向治疗,同时适当延迟放疗介入,可推迟放疗有关不良反应出现17,18

乳腺cr是什么予她时光 向未来 | 消失的“它”?肝转移灶CR!_https://www.jmylbn.com_新闻资讯_第7张

慕强

  血脑屏障(BBB)的存在使药物不易达到颅内,导致乳腺癌颅内转移药物治疗效果并不理想。目前仍无有效控制颅内疾病的标准系统治疗方法,但近些年来针对这一临床需求的相关研究有所增加16


  PERMEATE研究结果证明,吡咯替尼+卡培他滨方案对颅内外转移灶均有效,但该研究只是一项II期研究,样本量相对不足,还需要大样本量的III期试验验证19。HER2CLIMB研究是一项III期随机对照试验,入组了291例(47.5%)在基线存在颅内转移患者,其研究结果证明了图卡替尼+曲妥珠单抗+卡培他滨可显著延长颅内转移患者的OS18。既往研究认为,大分子药物不易透过BBB,对颅内转移患者疗效有限,但EMILIA研究结果改变了这一观点20。EMILIA研究颅内转移亚组分析显示,T-DM1治疗患者OS26.0个月,显著优于拉帕替尼+卡培他滨方案的12.9个月10。本病例患者在发生颅内转移接受T-DM1治疗后,颅内病灶控制稳定,颅外病灶疗效显著,并获得了超17个月的PFS,这一可观疗效也从侧面印证了T-DM1在颅内转移治疗中的潜力。


  目前,ADC联合酪氨酸激酶抑制剂(TKI)治疗乳腺癌颅内转移的相关研究也在如火如荼地展开。多项初期研究结果显示,T-DM1联合TKI对颅内病灶具有活性。关于评估图卡替尼+T-DM1疗效与安全性的HER2CLIMB-02研究也正在进行中,该研究共纳入了460例患者,并允许存在稳定性颅内转移。结合图卡替尼和T-DM1在颅内转移患者中的疗效,期待该研究结果可为HER2阳性乳腺癌颅内转移患者带来新的治疗选择。

病例提供者


乳腺cr是什么予她时光 向未来 | 消失的“它”?肝转移灶CR!_https://www.jmylbn.com_新闻资讯_第10张

王显臣

  • 威海市妇幼保健院乳腺外科主治医师

  • 山东省中医药学会乳腺专业委员会委员

  • 山东省健康促进与教育学会乳腺专业委员会委员

  • 威海市中西医结合学会乳腺甲状腺外科专业委员


本期调研


参考文献:

1. Fan L, Strasser-Weippl K, Li JJ, et al. Breast cancer in China. Lancet Oncol. 2014;15(7):e279-289.

2. Cardoso F, Spence D, Mertz S, et al. Global analysis of advanced/metastatic breast cancer: Decade report (2005-2015). Breast. 2018;39:131-138.

3. Ma L, Mi Y, Cui S, et al. Role of locoregional surgery in patients with de novo stage IV breast cancer: analysis of real-world data from China. Sci Rep. 2020;10:18132.

4. Loibl S, Poortmans P, Morrow M, Denkert C, Curigliano G. Breast cancer. The Lancet. 2021;397(10286):1750-1769.

5. Baselga J, Swain SM. Novel anticancer targets: revisiting ERBB2 and discovering ERBB3. Nat Rev Cancer. 2009;9(7):463-475.

6. Swain SM, Miles D, Kim SB, et al. Pertuzumab, trastuzumab, and docetaxel for HER2-positive metastatic breast cancer (CLEOPATRA): end-of-study results from a double-blind, randomised, placebo-controlled, phase 3 study. Lancet Oncol. 2020;21(4):519-530.

7. Xu B, Li W, Zhang Q, et al. Pertuzumab, trastuzumab, and docetaxel for Chinese patients with previously untreated HER2-positive locally recurrent or metastatic breast cancer (PUFFIN): final analysis of a phase III, randomized, double-blind, placebo-controlled study. Breast Cancer Res Treat. 2023;197(3):503-513.

8. von Minckwitz G, du Bois A, Schmidt M, et al. Trastuzumab beyond progression in human epidermal growth factor receptor 2-positive advanced breast cancer: a german breast group 26/breast international group 03-05 study. J Clin Oncol. 2009;27(12):1999-2006.

9. Diéras V, Miles D, Verma S, et al. Trastuzumab emtansine versus capecitabine plus lapatinib in patients with previously treated HER2-positive advanced breast cancer (EMILIA): a descriptive analysis of final overall survival results from a randomised, open-label, phase 3 trial. Lancet Oncol. 2017;18(6):732-742.

10. Krop IE, Lin NU, Blackwell K, et al. Trastuzumab emtansine (T-DM1) versus lapatinib plus capecitabine in patients with HER2-positive metastatic breast cancer and central nervous system metastases: a retrospective, exploratory analysis in EMILIA. Ann Oncol. 2015;26(1):113-119.

11. Liao H, Huang W, Liu Y, Pei W, Li H. Efficacy and Safety of Pyrotinib Versus T-DM1 in HER2+ Metastatic Breast Cancer Patients Pre-Treated With Trastuzumab and a Taxane: A Bayesian Network Meta-Analysis. Front Oncol. 2021;11:608781.

12. LoRusso PM, Weiss D, Guardino E, Girish S, Sliwkowski MX. Trastuzumab emtansine: a unique antibody-drug conjugate in development for human epidermal growth factor receptor 2-positive cancer. Clin Cancer Res. 2011;17(20):6437-6447.

13. Moinard-Butot F, Saint-Martin C, Pflumio C, et al. Efficacy of trastuzumab emtansine (T-DM1) and lapatinib after dual HER2 inhibition with trastuzumab and pertuzumab in patient with metastatic breast cancer: Retrospective data from a French multicenter real-life cohort. Breast. 2022;63:54-60.

14. Junttila TT, Li G, Parsons K, Phillips GL, Sliwkowski MX. Trastuzumab-DM1 (T-DM1) retains all the mechanisms of action of trastuzumab and efficiently inhibits growth of lapatinib insensitive breast cancer. Breast Cancer Res Treat. 2011;128(2):347-356.

15. Hopkins AM, Rowland A, Logan JM, Sorich MJ. Primary predictors of survival outcomes for HER2-positive advanced breast cancer patients initiating ado-trastuzumab emtansine. Breast. 2019;46:90-94.

16. Wang Y, Ye F, Liang Y, Yang Q. Breast cancer brain metastasis: insight into molecular mechanisms and therapeutic strategies. Br J Cancer. 2021;125(8):1056-1067.

17. Bachelot T, Romieu G, Campone M, et al. Lapatinib plus capecitabine in patients with previously untreated brain metastases from HER2-positive metastatic breast cancer (LANDSCAPE): a single-group phase 2 study. Lancet Oncol. 2013;14(1):64-71.

18. Curigliano G, Mueller V, Borges V, et al. Tucatinib versus placebo added to trastuzumab and capecitabine for patients with pretreated HER2+ metastatic breast cancer with and without brain metastases (HER2CLIMB): final overall survival analysis. Ann Oncol. 2022;33(3):321-329.

19. Yan M, Ouyang Q, Sun T, et al. Pyrotinib plus capecitabine for patients with human epidermal growth factor receptor 2-positive breast cancer and brain metastases (PERMEATE): a multicentre, single-arm, two-cohort, phase 2 trial. Lancet Oncol. 2022;23(3):353-361.

20. Yang X, Ren H, Xu Y, Peng X, Yu W, Shen Z. Combination of radiotherapy and targeted therapy for HER2-positive breast cancer brain metastases. Eur J Med Res. 2023;28:27.