上皮细胞用什么染色被覆上皮组织的形态结构与功能及HE染色法

新闻资讯2026-04-23 16:06:05

    上皮组织,简称上皮,由大量形状规则、排列紧密的上皮细胞和极少量细胞外基质组成。上皮细胞具有明显极性,即细胞的不同表面在结构和功能上具有明显差别。其朝向体表或器官腔内的一面称游离面;朝向深层结缔组织的一面称基底面;相邻的连接面称侧面。上皮组织内大多无血管和淋巴管,其营养由深层结缔组织中的血管透过基膜提供。

    覆盖于体表或衬于体内各种管、腔及嚢的内表面者,称被覆上皮根据上皮细胞的排列层数,分为单层上皮和复层上皮。

HE染色法

    苏木精-伊红染色法 ( hematoxylin -eosin staining ) ,简称HE染色法,是石蜡切片技术中常用的一种染色法。苏木精染液呈碱性 ,主要使细胞核内的染色质与胞质内的核酸着紫蓝色 ;伊红染液呈酸性 ,主要使细胞质和细胞外基质着红色 。

注意:

    实验所需人正常上皮组织通常来源于需要进行组织切除术的患者,但必须基于患者对手术及实验方案已经知情和同意,并通过医院伦理委员会批准的前提下,才能使用该患者的组织进行研究。

单层上皮

(一)单层扁平上皮

    单层扁平上皮由一层薄薄的扁平细胞构成。表面观,细胞呈不规则形或多边形,细胞互相嵌合,核扁圆形,位于细胞中央;垂直切面观,细胞核呈椭圆形,细胞质很薄,只有含核的部分略厚。
    衬于心脏、血管和淋巴管腔面的单层扁平上皮称内皮,其表面光滑,有利于血液和淋巴流动和物质交换;而衬于胸膜、腹膜及心包膜腔面的单层扁平上皮称间皮,其表面湿润光滑,可减少器官活动时与胸腹腔壁的摩擦。
上皮细胞用什么染色被覆上皮组织的形态结构与功能及HE染色法_https://www.jmylbn.com_新闻资讯_第1张

(二)单层立方上皮

    单层立方上皮由一层近立方形的细胞组成。从上皮表面观察,每个细胞呈六角形或多角形;由上皮的垂直切面观察,细胞立方形。细胞核圆形、位于细胞中央。

    这种上皮见于肾小管和甲状腺滤泡等处,具有分泌或吸收功能。

     肾小管上皮细胞的形态与功能相适应,为肾小管重吸收提供了场所。

     肾小管上皮细胞可分泌较多的H⁺,进入肾小管腔内与Na⁺进行交换,实现Na⁺的重吸收。而H⁺与肾小管腔内HCO₃⁻合成H₂CO₃,再分解为CO₂和H₂O,CO₂弥散入肾小管上皮细胞内合成新的HCO₃⁻,与Na⁺一起重吸收回血浆。

    肾小管上皮细胞的代谢产物NH₃,与其分泌的H⁺结合生成NH₄⁺,并进一步与强酸盐的负离子结合成酸性的铵盐,随尿排出。

上皮细胞用什么染色被覆上皮组织的形态结构与功能及HE染色法_https://www.jmylbn.com_新闻资讯_第2张
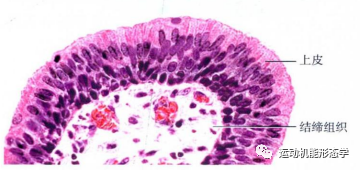
(三)单层柱状上皮

    单层柱状上皮由一层近似立方形的细胞组成。从上皮表面观察,细胞呈六角形或多角形;在垂直切面上,细胞为柱状,核为椭圆形,其长轴与细胞长轴一致,且细胞核更靠近基底部,有利于基地部结缔组织养分的供给。
    此种上皮分布在胃肠、胆囊和子宫等器官,有吸收或分泌功能。
    肠道的单层柱状上皮中,除柱状细胞外,还散在有可分泌黏蛋白杯状细胞。黏蛋白与水结合形成黏液,具有润滑稀释肠道中食糜,减少与肠道上皮摩擦的作用。
    在HE染色中,小肠上皮切面经高浓度乙醇处理后水解,杯状细胞内的黏原颗粒被水解,故切片中常有一白色杯状缺口。
上皮细胞用什么染色被覆上皮组织的形态结构与功能及HE染色法_https://www.jmylbn.com_新闻资讯_第3张

(四)假复层纤毛柱状上皮

    假复层纤毛柱状上皮由柱状细胞、梭形细胞、锥形细胞和杯状细胞组成,其中柱状细胞最多,游离面有大量纤毛。

     分布在呼吸管道等的腔面。

    其上纤毛可节律性定向摆动,把黏液及黏附在上面的尘埃颗粒定向推送至咽部排出。

上皮细胞用什么染色被覆上皮组织的形态结构与功能及HE染色法_https://www.jmylbn.com_新闻资讯_第4张

复层上皮

(一)复层扁平上皮

    复层扁平上皮由多层细胞组成。垂直切面观,浅层细胞扁平,中间数层细胞为多边形,靠近基膜的一层基底层细胞呈矮柱状或立方形,细胞较幼稚,具有旺盛的分裂增殖能力,不断补充表层脱落的细胞。

    多分在口腔、皮肤等处。此种上皮有很强的保护作用,具有耐摩擦和阻止异物侵入等作用,受损伤后有很强的再生修复能力。

    复层扁平上皮的基底面与深层结缔组织的连接处凹凸不平,增加了两者的接触面,既使其连接更加牢固,又保证了上皮组织的营养供应。

   靠近基底部有一明显紫蓝色区域,因其为分化细胞处,其染色体、内质网及核糖体丰富,嗜碱性强。靠近游离部,蓝紫色散在,大部为红色,因其细胞扁平,细胞核较少,细胞质基质区域大。

上皮细胞用什么染色被覆上皮组织的形态结构与功能及HE染色法_https://www.jmylbn.com_新闻资讯_第5张

(二)复层柱状上皮

    复层柱状上皮的表层细胞为柱状,排列整齐,中间几层细胞为多边形,基底层是矮柱状细胞。位于睑结膜、男性尿道等的腔面,具有保护作用。

上皮细胞用什么染色被覆上皮组织的形态结构与功能及HE染色法_https://www.jmylbn.com_新闻资讯_第6张

(三)变移上皮

    变移上皮细胞呈铺路石样,其形态和层数可随所在器官的收缩和扩张状态不同而改变。

    如膀胱空虚时,上皮较厚,细胞层数较多,细胞较高;膀胱充盈时,上皮变薄,细胞层数减少,细胞变扁。

     目前认为,腺性膀胱炎的病因是由于变移上皮在慢性刺激因素如结石、感染等作用下,基底部细胞层增生,进而向黏膜下层出芽性生长,化生为腺上皮,并通过分泌粘液达到自身保护的目的。

上皮细胞用什么染色被覆上皮组织的形态结构与功能及HE染色法_https://www.jmylbn.com_新闻资讯_第7张

参考文献

[1]石玉秀,陈海滨,韩芳.组织学与胚胎学[M].北京:高等教育出版社,2018.1
[2]李继承,曾园山.组织学与胚胎学[M].北京:人民卫生出版社,2018.8
[3]王瑞元,苏全生.运动生理学[M].北京:人民体育出版社,2011
[4]唐宇,徐文姬,郭皖北,谢明,方会龙,陈琛,周君. 人正常上皮细胞的原代培养[J]. 中南大学学报(医学版),2017,42(11):1327-1333.
[5]何思敏. 基于HE染色切片的图像检测分类算法的研究[D].武汉理工大学,2019.
[6]袁光亚. 肿瘤样腺性膀胱炎及文献复习(附10例报告)[J]. 四川医学,2014,35(11):1475-1477.

End

上皮细胞用什么染色被覆上皮组织的形态结构与功能及HE染色法_https://www.jmylbn.com_新闻资讯_第8张