VOlusonE什么彩超机孕妈妈的福音——金普妇幼首家引进高端四维彩超-GE-Voluson金标E10

新闻资讯2026-04-23 15:37:46

VOlusonE什么彩超机孕妈妈的福音——金普妇幼首家引进高端四维彩超-GE-Voluson金标E10_https://www.jmylbn.com_新闻资讯_第1张

VOlusonE什么彩超机孕妈妈的福音——金普妇幼首家引进高端四维彩超-GE-Voluson金标E10_https://www.jmylbn.com_新闻资讯_第2张

VOlusonE什么彩超机孕妈妈的福音——金普妇幼首家引进高端四维彩超-GE-Voluson金标E10_https://www.jmylbn.com_新闻资讯_第3张

孕妈妈的福音

金普妇幼首家引进高端四维彩超-GE-Voluson金标E10

VOlusonE什么彩超机孕妈妈的福音——金普妇幼首家引进高端四维彩超-GE-Voluson金标E10_https://www.jmylbn.com_新闻资讯_第4张



VOlusonE什么彩超机孕妈妈的福音——金普妇幼首家引进高端四维彩超-GE-Voluson金标E10_https://www.jmylbn.com_新闻资讯_第5张

GE-Voluson 金标E10



它就是我院最新引进的超高端妇产旗舰机

它是目前大连地区超高端的四维超声设备!

它是胎儿排畸界的王者!
 
 

为满足大家需求,近期,金普妇幼保健院新引进了一台GE-Voluson 金标E10彩色多普勒超声诊断仪,它搭载煊光、煊影、煊流成像技术,能够360°高清立体、超真动态地显示宝宝的实时活动图像;动态呈现胎儿在宫内的发育及活动情况;成熟应用于胎儿早中孕期筛查、容积成像等方面。将为临床提供更超清、更精准、更直观的图像数据,是目前超声诊断系统中功能最强大、最高端的彩超诊断仪之一,堪称:“胎儿排畸新王者”。标志着我院产前及妇科超声诊断技术迈上新的台阶。
 

VOlusonE什么彩超机孕妈妈的福音——金普妇幼首家引进高端四维彩超-GE-Voluson金标E10_https://www.jmylbn.com_新闻资讯_第6张


  GE-Voluson 金标E10彩超的亮点:

1、胎儿及胎儿附属器的异常检查更卓越


用于胎儿颜面部、 中枢系统及脊柱异常的显示, 通过细致的多切面成像分析胎儿的解剖结构及发育状况。

VOlusonE什么彩超机孕妈妈的福音——金普妇幼首家引进高端四维彩超-GE-Voluson金标E10_https://www.jmylbn.com_新闻资讯_第7张



VOlusonE什么彩超机孕妈妈的福音——金普妇幼首家引进高端四维彩超-GE-Voluson金标E10_https://www.jmylbn.com_新闻资讯_第8张

VOlusonE什么彩超机孕妈妈的福音——金普妇幼首家引进高端四维彩超-GE-Voluson金标E10_https://www.jmylbn.com_新闻资讯_第9张


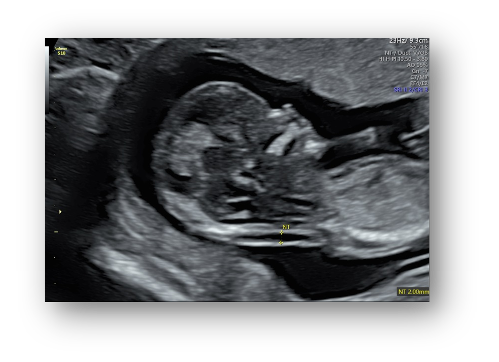
2、煊影成像技术,胎儿排畸检查秒杀过去所有四维彩超系列


借助自动化技术可进行胎儿颈项透明层、颅内透明层的精准测量,

评估早孕期胎儿染色体异常的风险,对中孕期开放性脊柱裂的风险进行预测。

煊流成像技术可真实呈现胎心结构、脐带、血流变化,提升产前检查的诊断质量和效率。


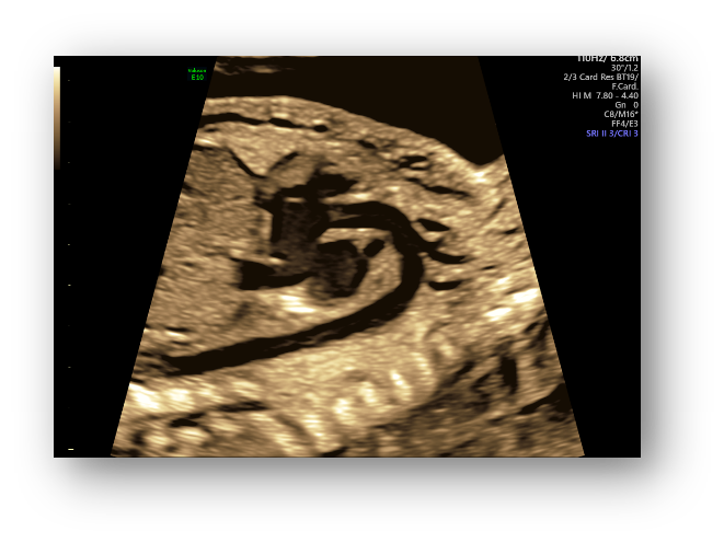
3、画质惊艳堪比IMAX电影效果,全面颠覆传统视觉理念

    煊影成像技术提供更多更精准的图像数据,实现胎儿影像360°超真动态演示,成像立体感强,画质堪比IMAX电影效果,全面颠覆传统视觉理念。

VOlusonE什么彩超机孕妈妈的福音——金普妇幼首家引进高端四维彩超-GE-Voluson金标E10_https://www.jmylbn.com_新闻资讯_第10张


4、9大胎儿核心部位独立成像       

 

E10独有的表面模式、血管模式、组织血管透明模式等智能诊断模式,对胎儿的体表、内脏、血管、骨骼等9大核心部位独立成像,全面弥补传统系统四维彩超在检测范畴及精准度的局限性。

VOlusonE什么彩超机孕妈妈的福音——金普妇幼首家引进高端四维彩超-GE-Voluson金标E10_https://www.jmylbn.com_新闻资讯_第11张

VOlusonE什么彩超机孕妈妈的福音——金普妇幼首家引进高端四维彩超-GE-Voluson金标E10_https://www.jmylbn.com_新闻资讯_第12张

VOlusonE什么彩超机孕妈妈的福音——金普妇幼首家引进高端四维彩超-GE-Voluson金标E10_https://www.jmylbn.com_新闻资讯_第13张



5、新增多项检测部位


   独有的心脏STIC技术开创了对胎儿心脏实时4维检查的新领域,同时,新增如:小脑蚓部、侧脑室、鼻骨等多项检测部位。

VOlusonE什么彩超机孕妈妈的福音——金普妇幼首家引进高端四维彩超-GE-Voluson金标E10_https://www.jmylbn.com_新闻资讯_第14张




VOlusonE什么彩超机孕妈妈的福音——金普妇幼首家引进高端四维彩超-GE-Voluson金标E10_https://www.jmylbn.com_新闻资讯_第15张

SonoNT™/SonoIT 

颈项透明层/颅内透明层的厚度测量

FMF认证


VOlusonE什么彩超机孕妈妈的福音——金普妇幼首家引进高端四维彩超-GE-Voluson金标E10_https://www.jmylbn.com_新闻资讯_第16张

SonoCNS

自动识别4个标准切面:

     正中矢状面,经丘脑平面,经小脑平面,经侧脑室平面

自动测量6组生物指标:

      BPD 双顶径,HC 头围,CM 后颅窝池,Cereb. 小脑横径,Vp 侧脑室后脚,OFD 枕额径


6、胎儿心脏检测评估领域的技术领导者


   孕中期胎儿心脏一直是产前筛查工作中的重难项目,所以胎心检查对于超声图像质量及辅助的诊断工具要求非常高。E10具备一整套领先的胎心成像技术,支持从胎儿心脏结构到心功能的全面分析,是胎儿心脏检测评估领域的技术领导。Voluson E10优异的图像分辨率,能更快地展现胎心结构和功能,双平面成像技术可实时观察胎心结构和血流变化,帮助临床医生及时作出准确诊断。

VOlusonE什么彩超机孕妈妈的福音——金普妇幼首家引进高端四维彩超-GE-Voluson金标E10_https://www.jmylbn.com_新闻资讯_第17张

VOlusonE什么彩超机孕妈妈的福音——金普妇幼首家引进高端四维彩超-GE-Voluson金标E10_https://www.jmylbn.com_新闻资讯_第18张

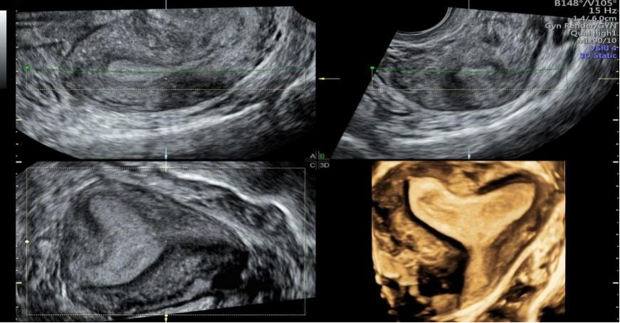
7、 妇科疾病精准诊断的强大助力


    更精准的图像能够对子宫畸形及宫腔病变、输卵管、卵巢、卵泡等进行全面评估;盆底三维四维超声有着多平面成像的优势。

VOlusonE什么彩超机孕妈妈的福音——金普妇幼首家引进高端四维彩超-GE-Voluson金标E10_https://www.jmylbn.com_新闻资讯_第19张


8、出色人体工程学设计,产前筛查更安全


GE-E10高端四维彩超,采用出色的人体工程学设计,不存在射线、光波和电磁波等方面的辐射,对人体的健康没有任何影响,可以让广大的准妈妈更加安心的孕育健康、聪明的宝宝。

VOlusonE什么彩超机孕妈妈的福音——金普妇幼首家引进高端四维彩超-GE-Voluson金标E10_https://www.jmylbn.com_新闻资讯_第20张



优秀的医师队伍,新设备的投入使用,新技术日益完善,与临床不断融合发展,我们妇幼人将以精湛的技术,提供优质贴心的服务,力争用专业技术在产前胎儿筛查、妇科疾病的等诊断中发挥更大作用,我们将继续努力工作,砥砺前行,为广大人民群众的健康保驾护航。



——  END  ——

VOlusonE什么彩超机孕妈妈的福音——金普妇幼首家引进高端四维彩超-GE-Voluson金标E10_https://www.jmylbn.com_新闻资讯_第21张


供稿:超声科

编辑:信息科

审核:医院办公室

大连金普新区妇幼保健院