dsa是什么设备【影像中心全景之DR/DSA专栏】人员、设备简介及DR/DSA技术成果展示

新闻资讯2026-04-23 14:29:03

dsa是什么设备【影像中心全景之DR/DSA专栏】人员、设备简介及DR/DSA技术成果展示_https://www.jmylbn.com_新闻资讯_第1张

我院影像中心分CT、MRI和DR、DSA两个片区,是医院重点建设医技科室,承担着全县和全院的放射影像检查与诊疗工作。现DR/DSA室现有职工23人,其中本科学历6人,大专学历5人,主治医师4人,医师3人,技师3人,主管护师2名。大部分技术人员曾到上级医院进修学习,掌握了丰富的工作经验。

先进诊疗设备

dsa是什么设备【影像中心全景之DR/DSA专栏】人员、设备简介及DR/DSA技术成果展示_https://www.jmylbn.com_新闻资讯_第2张

先进诊疗设备:数字化X线摄系统(DR)三台、数字化全景牙科X线机一台、数字化移动DR一台、500MA遥控X线机一台、全数字化乳腺钼靶摄影系统一台、美国GE公司DSA一台。

dsa是什么设备【影像中心全景之DR/DSA专栏】人员、设备简介及DR/DSA技术成果展示_https://www.jmylbn.com_新闻资讯_第3张

美国GE IGS 323i Image Guide System 数字平板血管造影机

dsa是什么设备【影像中心全景之DR/DSA专栏】人员、设备简介及DR/DSA技术成果展示_https://www.jmylbn.com_新闻资讯_第4张

dsa是什么设备【影像中心全景之DR/DSA专栏】人员、设备简介及DR/DSA技术成果展示_https://www.jmylbn.com_新闻资讯_第5张

万东1000DR

dsa是什么设备【影像中心全景之DR/DSA专栏】人员、设备简介及DR/DSA技术成果展示_https://www.jmylbn.com_新闻资讯_第4张

dsa是什么设备【影像中心全景之DR/DSA专栏】人员、设备简介及DR/DSA技术成果展示_https://www.jmylbn.com_新闻资讯_第7张

500毫安遥控X线机

dsa是什么设备【影像中心全景之DR/DSA专栏】人员、设备简介及DR/DSA技术成果展示_https://www.jmylbn.com_新闻资讯_第4张

dsa是什么设备【影像中心全景之DR/DSA专栏】人员、设备简介及DR/DSA技术成果展示_https://www.jmylbn.com_新闻资讯_第9张

联影移动DR

dsa是什么设备【影像中心全景之DR/DSA专栏】人员、设备简介及DR/DSA技术成果展示_https://www.jmylbn.com_新闻资讯_第4张

dsa是什么设备【影像中心全景之DR/DSA专栏】人员、设备简介及DR/DSA技术成果展示_https://www.jmylbn.com_新闻资讯_第11张

万东1000D  DR

dsa是什么设备【影像中心全景之DR/DSA专栏】人员、设备简介及DR/DSA技术成果展示_https://www.jmylbn.com_新闻资讯_第4张

dsa是什么设备【影像中心全景之DR/DSA专栏】人员、设备简介及DR/DSA技术成果展示_https://www.jmylbn.com_新闻资讯_第13张

数字化乳腺钼靶X线机

dsa是什么设备【影像中心全景之DR/DSA专栏】人员、设备简介及DR/DSA技术成果展示_https://www.jmylbn.com_新闻资讯_第4张

dsa是什么设备【影像中心全景之DR/DSA专栏】人员、设备简介及DR/DSA技术成果展示_https://www.jmylbn.com_新闻资讯_第15张

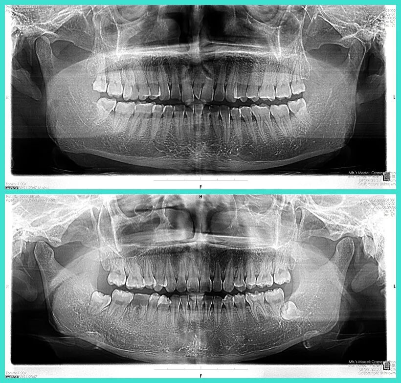
数字化全景牙科X线机

dsa是什么设备【影像中心全景之DR/DSA专栏】人员、设备简介及DR/DSA技术成果展示_https://www.jmylbn.com_新闻资讯_第2张

DR检查及造影检查

dsa是什么设备【影像中心全景之DR/DSA专栏】人员、设备简介及DR/DSA技术成果展示_https://www.jmylbn.com_新闻资讯_第2张

目前常规开展了全身各部位的DR摄影检查,还开展了床旁DR摄影检查、数字化口腔全景摄影、乳腺钼靶摄影,并开展了各项X线造影检查,如胃肠造影,子宫输卵管造影、胆囊造影、T管造影,配合临床开展了吞咽造影检查等。积极配合和满足了临床诊疗需要。

dsa是什么设备【影像中心全景之DR/DSA专栏】人员、设备简介及DR/DSA技术成果展示_https://www.jmylbn.com_新闻资讯_第18张

乳腺钼靶片:乳腺肿块、钙化

dsa是什么设备【影像中心全景之DR/DSA专栏】人员、设备简介及DR/DSA技术成果展示_https://www.jmylbn.com_新闻资讯_第4张

dsa是什么设备【影像中心全景之DR/DSA专栏】人员、设备简介及DR/DSA技术成果展示_https://www.jmylbn.com_新闻资讯_第20张

乳腺钼靶片:乳腺恶性钙化

dsa是什么设备【影像中心全景之DR/DSA专栏】人员、设备简介及DR/DSA技术成果展示_https://www.jmylbn.com_新闻资讯_第4张

dsa是什么设备【影像中心全景之DR/DSA专栏】人员、设备简介及DR/DSA技术成果展示_https://www.jmylbn.com_新闻资讯_第22张

数字化口腔全景片

子宫输卵管造影

dsa是什么设备【影像中心全景之DR/DSA专栏】人员、设备简介及DR/DSA技术成果展示_https://www.jmylbn.com_新闻资讯_第23张

dsa是什么设备【影像中心全景之DR/DSA专栏】人员、设备简介及DR/DSA技术成果展示_https://www.jmylbn.com_新闻资讯_第24张

上消化道造影 食道癌

dsa是什么设备【影像中心全景之DR/DSA专栏】人员、设备简介及DR/DSA技术成果展示_https://www.jmylbn.com_新闻资讯_第2张

DSA介入诊疗项目

dsa是什么设备【影像中心全景之DR/DSA专栏】人员、设备简介及DR/DSA技术成果展示_https://www.jmylbn.com_新闻资讯_第2张

通过进修学习及请上级医师现场指导,特别是在北大人民医院专家的帮扶下,开展了DSA引导下的部分介入诊疗项目,如肿瘤的介入治疗、出血性疾病的介入治疗等诊疗项目。还配合临床开展了心脏、神经、外周等介入诊疗项目。

dsa是什么设备【影像中心全景之DR/DSA专栏】人员、设备简介及DR/DSA技术成果展示_https://www.jmylbn.com_新闻资讯_第27张

医生正在做介入手术

dsa是什么设备【影像中心全景之DR/DSA专栏】人员、设备简介及DR/DSA技术成果展示_https://www.jmylbn.com_新闻资讯_第4张

dsa是什么设备【影像中心全景之DR/DSA专栏】人员、设备简介及DR/DSA技术成果展示_https://www.jmylbn.com_新闻资讯_第29张

肝脏肿瘤介入治疗模拟图
dsa是什么设备【影像中心全景之DR/DSA专栏】人员、设备简介及DR/DSA技术成果展示_https://www.jmylbn.com_新闻资讯_第4张

dsa是什么设备【影像中心全景之DR/DSA专栏】人员、设备简介及DR/DSA技术成果展示_https://www.jmylbn.com_新闻资讯_第31张

子宫动脉栓塞介入治疗模拟图
dsa是什么设备【影像中心全景之DR/DSA专栏】人员、设备简介及DR/DSA技术成果展示_https://www.jmylbn.com_新闻资讯_第4张

dsa是什么设备【影像中心全景之DR/DSA专栏】人员、设备简介及DR/DSA技术成果展示_https://www.jmylbn.com_新闻资讯_第33张

血管狭窄支架介入治疗模拟图
dsa是什么设备【影像中心全景之DR/DSA专栏】人员、设备简介及DR/DSA技术成果展示_https://www.jmylbn.com_新闻资讯_第4张

dsa是什么设备【影像中心全景之DR/DSA专栏】人员、设备简介及DR/DSA技术成果展示_https://www.jmylbn.com_新闻资讯_第35张

主动脉瘤支架介入治疗模拟图
dsa是什么设备【影像中心全景之DR/DSA专栏】人员、设备简介及DR/DSA技术成果展示_https://www.jmylbn.com_新闻资讯_第4张

dsa是什么设备【影像中心全景之DR/DSA专栏】人员、设备简介及DR/DSA技术成果展示_https://www.jmylbn.com_新闻资讯_第37张

肝脏肿瘤染色

dsa是什么设备【影像中心全景之DR/DSA专栏】人员、设备简介及DR/DSA技术成果展示_https://www.jmylbn.com_新闻资讯_第2张

供稿:林明华
编辑:李启俊
审核:易城辉、丁来贵

dsa是什么设备【影像中心全景之DR/DSA专栏】人员、设备简介及DR/DSA技术成果展示_https://www.jmylbn.com_新闻资讯_第39张

dsa是什么设备【影像中心全景之DR/DSA专栏】人员、设备简介及DR/DSA技术成果展示_https://www.jmylbn.com_新闻资讯_第40张

dsa是什么设备【影像中心全景之DR/DSA专栏】人员、设备简介及DR/DSA技术成果展示_https://www.jmylbn.com_新闻资讯_第41张

dsa是什么设备【影像中心全景之DR/DSA专栏】人员、设备简介及DR/DSA技术成果展示_https://www.jmylbn.com_新闻资讯_第42张