dr在彩超什么意思一文搞懂X线、CT、MR、彩超检查的区别

新闻资讯2026-04-23 14:24:18

X线、CT、MR、彩超。

 

这篇文章中,我们从以下几个角度来简单了解一下这几种设备:

每种检查的原理是什么?

每种检查的优点和缺点分别是什么?

每种检查的常规应用场景有哪些?

每种检查用的设备是什么样子?

每种检查得到的图像是什么?

 

超声

原理

超声的原理是用超声波穿透人体,当声波遇到人体组织时会产生反射波,通过计算反射波成像;


应用

主要用于腹部、妇科、心脏等的检查;

优点

多方向观察,实时成像;


缺点

超声受气体干扰大,对于肠道等含气体较多的器官,超声诊断准确率会降低,所以一般肠道检查使用肠镜;


超声设备举例

dr在彩超什么意思一文搞懂X线、CT、MR、彩超检查的区别_https://www.jmylbn.com_新闻资讯_第1张

dr在彩超什么意思一文搞懂X线、CT、MR、彩超检查的区别_https://www.jmylbn.com_新闻资讯_第2张

 

超声图像举例


dr在彩超什么意思一文搞懂X线、CT、MR、彩超检查的区别_https://www.jmylbn.com_新闻资讯_第3张


dr在彩超什么意思一文搞懂X线、CT、MR、彩超检查的区别_https://www.jmylbn.com_新闻资讯_第4张

 

X线检查

X线检查把面包压扁看


原理简介

人体内部组织的密度不同,所以射线穿过身体时有些地方能穿透,有些地方不能穿透。比如肺被穿透后,在X线片上就是黒的,因为它没有阻挡,胶片能够全部曝光,所以呈现出来是黑的。而骨骼不容易穿透,显示出来就是白的。

应用

主要看密度,擅长骨折、肺脏病变

优点

作用广、快捷、检查费用低;


缺点

受制于深浅组织的影像相互重叠和隐藏,有时需要多次多角度拍片才能看清楚;


常见X线检查设备举例(类型较多)

悬吊DR


dr在彩超什么意思一文搞懂X线、CT、MR、彩超检查的区别_https://www.jmylbn.com_新闻资讯_第5张


双立柱DR

dr在彩超什么意思一文搞懂X线、CT、MR、彩超检查的区别_https://www.jmylbn.com_新闻资讯_第6张

移动DR 

dr在彩超什么意思一文搞懂X线、CT、MR、彩超检查的区别_https://www.jmylbn.com_新闻资讯_第7张

 

胃肠设备

dr在彩超什么意思一文搞懂X线、CT、MR、彩超检查的区别_https://www.jmylbn.com_新闻资讯_第8张


乳腺机

dr在彩超什么意思一文搞懂X线、CT、MR、彩超检查的区别_https://www.jmylbn.com_新闻资讯_第9张 

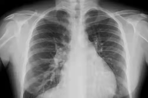
影像举例

 

dr在彩超什么意思一文搞懂X线、CT、MR、彩超检查的区别_https://www.jmylbn.com_新闻资讯_第10张


胸片能够显现我们的肺、心脏、纵膈、气管,这么多器官都在一张片子上,所有器官的影像前后压缩,变成了一张平片。所以,X线片是很多器官重叠在一起。

但是,如果肺部显示有阴影,是肺结核?肺炎?还是肿瘤?X线是不能辨别的。

为了补X线的不足CT检查技术就应运而生!


CT

CT像把面包切片看分层拍摄的X线


原理简介

CT检查相当于把人体切成一定间距的小段,间距可以是0.25cm、0.5cm、1cm等等,切完以后可以在图像上看到一段横切面的状态。不同的切面呈现不一样的脏器,通过扫描把人体各个部位的器官和结构拉开,使我们可以看得非常清晰。

应用

擅长神经系统、心脏大血管疾病


优点

可以断层看,经后期处理可以显示更多信息;


缺点

辐射剂量高;


CT设备举例

 

dr在彩超什么意思一文搞懂X线、CT、MR、彩超检查的区别_https://www.jmylbn.com_新闻资讯_第11张


dr在彩超什么意思一文搞懂X线、CT、MR、彩超检查的区别_https://www.jmylbn.com_新闻资讯_第12张


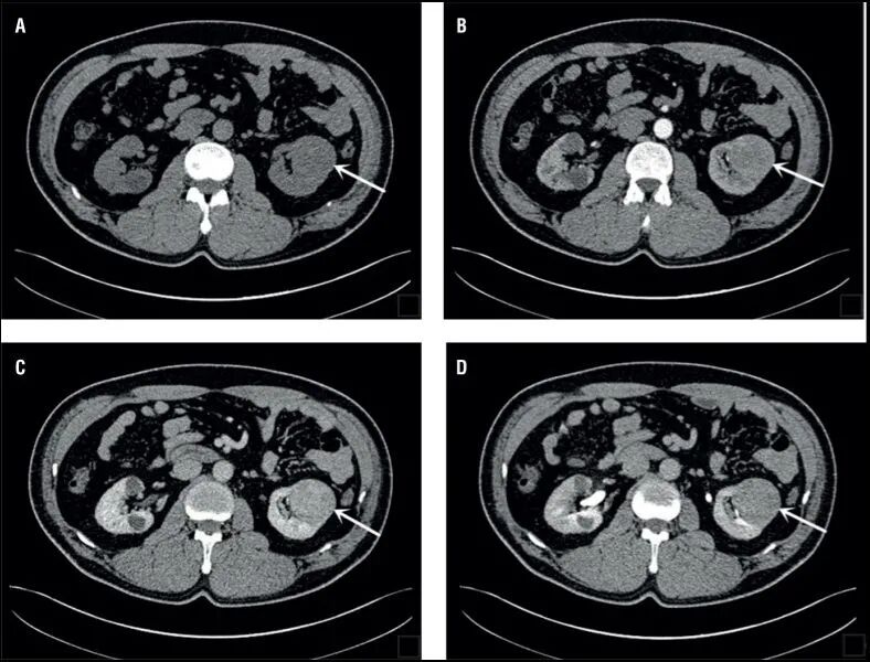
CT图像举例

 

dr在彩超什么意思一文搞懂X线、CT、MR、彩超检查的区别_https://www.jmylbn.com_新闻资讯_第13张


dr在彩超什么意思一文搞懂X线、CT、MR、彩超检查的区别_https://www.jmylbn.com_新闻资讯_第14张


但是,X线和CT都有一个缺点:对软组织密度相差不大的地方难以区分!

 

于是,就发明了核磁共振!


核磁共振MRI


原理简介

MRI的工作原理是共振人体的氢离子产生共振来产生图像。我们人体有很多H2O,也就是水!所以,有水的地方氢离子多,反之则少,也就是说有水的地方核磁共振做得清楚,没水的地方就做得不清楚。因此人们也戏称它是摇一摇再看的检查。


应用

擅长检查软组织


优点

辐射很小,没有骨性伪影,能多方面、多参数成像,有高度的软组织分辨能力;


缺点

检查时间长,费用相对高;


磁共振设备举例


dr在彩超什么意思一文搞懂X线、CT、MR、彩超检查的区别_https://www.jmylbn.com_新闻资讯_第15张

磁共振图像举例


dr在彩超什么意思一文搞懂X线、CT、MR、彩超检查的区别_https://www.jmylbn.com_新闻资讯_第16张


骨骼和钙化的地方水最少,所以如果你骨折了,说要拍个X线片是可以的,做个CT检查也可以。但要是做核磁共振扫描,那我劝你还是别做了,因为核磁共振看不清楚。但是,骨骼边上的那些肌肉,关节的软组织、韧带等本来CT检査是看不清楚的,核磁共振扫描却一览无遗。肌肉拉伤了,核磁共振能分辨哪根肌腱受损,损伤到什么程度。

除了肌肉、韧带含水较多以外,脑的含水量也很大,所以脑部做核磁扫描也非常清楚。


常规检查中设备的选择

胸部:粗看X线,细看CT

外伤骨头:粗看X线,细看CT

颈椎腰椎:最佳选核磁,次选CT

心脏:排冠心病用CT,看心功能用超声

dr在彩超什么意思一文搞懂X线、CT、MR、彩超检查的区别_https://www.jmylbn.com_新闻资讯_第17张

在医院做检查时,有时医生先让你做CT,然后再让你去做核磁共振,不是他没有想法或者是盲目地检,因为的确有些部位做核做核磁共振更好,有些部位做CT更清晰,而有些部位做X片就可以了。


检查中的辐射危害对比

做检查,看有没有危害是第一位的,首先我们对比一下,看看哪些检查有辐射?


检查类型

是否有辐射

备注

彩超

孕妇检查的主要手段

X线检查(DR、胃肠等)


CT检查


磁共振检查(MRI)



彩超是孕妇诊断的主要方式;

出于优生优育的角度,对于备孕的男女在备孕前三个月内要避免放射检查;

儿童由于机体免疫功能尚未发育,也要减少不必要的放射体检;


看了这篇文章,您有所了解了吗