ct什么牌子的好【喜讯】瑶医医院影像科大型CT设备顺利开机并投入使用

新闻资讯2026-04-23 14:18:11
ct什么牌子的好【喜讯】瑶医医院影像科大型CT设备顺利开机并投入使用_https://www.jmylbn.com_新闻资讯_第1张


瑶医医院再添疾病影像学诊断“利器”


随着现代放射影像数字化图像的发展和应用,影像在疾病的定位、定性方面起到了决定性的作用,为了进一步提升医院整体服务水平给患者提供全面、规范、有效的生命支持和瑶医药特色医疗服务。我院引进美国GE公司生产的Optima CT520昆仑CT它是同等级设备中最新、最先进的CT,同时还引进了华彩 (彩超)Versana Premier及MS-880B自动生化分析仪。




01

Optima CT520昆仑 CT设备

ct什么牌子的好【喜讯】瑶医医院影像科大型CT设备顺利开机并投入使用_https://www.jmylbn.com_新闻资讯_第2张
ct什么牌子的好【喜讯】瑶医医院影像科大型CT设备顺利开机并投入使用_https://www.jmylbn.com_新闻资讯_第3张
ct什么牌子的好【喜讯】瑶医医院影像科大型CT设备顺利开机并投入使用_https://www.jmylbn.com_新闻资讯_第4张

Optima CT520昆仑CT: 是同等级设备中最新、最先进的CT,该设备采用了GE公司最高端的CT创新技术,射线剂量最低,图像最清渐,临床功能最全面,不仅实现了全身各系统微小病灶的早期筛查,还可以实现全身血管性疾病、创伤,各种老年退行性等疾病的清晰显示,为广大患者带来最安全、最精准、最全面的检查服务。

ct什么牌子的好【喜讯】瑶医医院影像科大型CT设备顺利开机并投入使用_https://www.jmylbn.com_新闻资讯_第5张
ct什么牌子的好【喜讯】瑶医医院影像科大型CT设备顺利开机并投入使用_https://www.jmylbn.com_新闻资讯_第4张

CT检查的应用范围几乎涵盖了全身各个系统,特别是对于中枢神经系统、头颈部、呼吸系统、消化系统、泌尿系统和内分泌系统病变的检出和诊断具有突出的优越性。对于心血管系统、生殖系统和骨骼肌肉系统病变具有较高的诊断价值。CT检查所能检出和诊断的病种包括先天性发育异常、炎症性疾病、代谢异常病变、外伤性改变、退行性和变性疾病、良恶性肿瘤以及心血管疾病等。

高清病例展示图:

01

ct什么牌子的好【喜讯】瑶医医院影像科大型CT设备顺利开机并投入使用_https://www.jmylbn.com_新闻资讯_第7张

02

ct什么牌子的好【喜讯】瑶医医院影像科大型CT设备顺利开机并投入使用_https://www.jmylbn.com_新闻资讯_第8张

03

ct什么牌子的好【喜讯】瑶医医院影像科大型CT设备顺利开机并投入使用_https://www.jmylbn.com_新闻资讯_第9张




02

华彩(彩超)Versana Premier设备

ct什么牌子的好【喜讯】瑶医医院影像科大型CT设备顺利开机并投入使用_https://www.jmylbn.com_新闻资讯_第2张
ct什么牌子的好【喜讯】瑶医医院影像科大型CT设备顺利开机并投入使用_https://www.jmylbn.com_新闻资讯_第11张
ct什么牌子的好【喜讯】瑶医医院影像科大型CT设备顺利开机并投入使用_https://www.jmylbn.com_新闻资讯_第12张

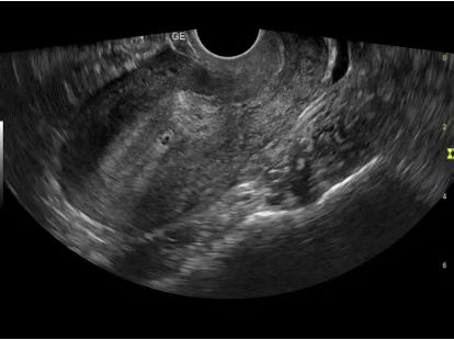
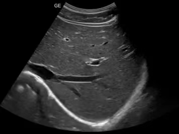
华彩(彩超)Versana Premier:作为一款诞生于GE全球第一大研发中心──中国无锡的应用超声诊断系统,不仅实现了从超声科室到临床领域的全覆盖,而且在超声图像质量和诊断效率上也有新的突破,目前,该系统可支持全身超声检查,腹部、心脏、血管、小器官、妇产、泌尿、肌骨、儿科/新生儿等领域。

高清病例展示图:

ct什么牌子的好【喜讯】瑶医医院影像科大型CT设备顺利开机并投入使用_https://www.jmylbn.com_新闻资讯_第13张

◆ 腔内探头子宫图像 ◆

ct什么牌子的好【喜讯】瑶医医院影像科大型CT设备顺利开机并投入使用_https://www.jmylbn.com_新闻资讯_第14张

◆ 肝脏图像 ◆



03

MS-880B美康盛德 全自动生化分析仪

ct什么牌子的好【喜讯】瑶医医院影像科大型CT设备顺利开机并投入使用_https://www.jmylbn.com_新闻资讯_第2张
ct什么牌子的好【喜讯】瑶医医院影像科大型CT设备顺利开机并投入使用_https://www.jmylbn.com_新闻资讯_第16张
ct什么牌子的好【喜讯】瑶医医院影像科大型CT设备顺利开机并投入使用_https://www.jmylbn.com_新闻资讯_第4张

MS-880B是美康盛德最新生产的一款全自动生化分析仪,拥有灵活的采样和操作功能,与其他机型相比,技术性能更加完美。它采用了医学设备领域的高超制造技术,最新配备了可防止试剂交叉污染,降低反应液体积等先进完善的功能。具有精准的分析能力:每小时800项测试的高效率分析;持急诊优先检测功能;可同时在线测定 88个项目。可以灵活而迅速地满足任何分析需求。丰富多彩的功能,以保障可靠性。为临床提供高质量,高效率的检测结果。

目前开展的项目有: 三大常规、各种体液常规检验;肝功、肾功、血糖、血脂、甲功、肿瘤标志物、性激素等各种临床化学检验;各型肝炎病毒、HIV抗体、梅毒、电解质、类风湿、抗“0”、甲胎蛋白等免疫学检验;凝血四项、D二聚体、血流变、血沉、心肌酶谱、血气分析等。



ct什么牌子的好【喜讯】瑶医医院影像科大型CT设备顺利开机并投入使用_https://www.jmylbn.com_新闻资讯_第18张

为了进一步推广我院CT、彩超、生化分析仪在医疗临床的应用,大力弘扬瑶医传统文化。充分发挥瑶医药防病治病的独特优势同时做到确保诊疗结果精准无误,我院联合广西国际壮医医院专家和来宾市中医医院专家进行诊断。特推行惠民的CT检查,优惠如下:

ct什么牌子的好【喜讯】瑶医医院影像科大型CT设备顺利开机并投入使用_https://www.jmylbn.com_新闻资讯_第19张
ct什么牌子的好【喜讯】瑶医医院影像科大型CT设备顺利开机并投入使用_https://www.jmylbn.com_新闻资讯_第20张

惠民CT检查

ct什么牌子的好【喜讯】瑶医医院影像科大型CT设备顺利开机并投入使用_https://www.jmylbn.com_新闻资讯_第21张
ct什么牌子的好【喜讯】瑶医医院影像科大型CT设备顺利开机并投入使用_https://www.jmylbn.com_新闻资讯_第22张
ct什么牌子的好【喜讯】瑶医医院影像科大型CT设备顺利开机并投入使用_https://www.jmylbn.com_新闻资讯_第21张


◆ CT平扫:167.2元

(97.2+50+20含胶片) X线计算机体层(CT)平扫 +  (使用螺旋扫描加收)  + (单次多层扫描加收);   


◆ CT增强:191.5元

(121.5+50+20)X线计算机体层(CT)增强 +  (使用螺旋扫描加收) + (单次多层扫描加收);


CT平扫+增强:167.2+191.5=358.7元


◆ 三维重建:63元


◆ 骨三维重建:162元



瑶医医院特色重点科室

全国基层名老中(瑶)医传承工作室、瑶医妇科、瑶医针灸推拿科、瑶医脑病科、瑶医皮肤科、瑶医骨伤科、瑶医风湿痹症科、瑶医肿瘤专科、瑶医糖尿病专科、瑶医油针专科等。

ct什么牌子的好【喜讯】瑶医医院影像科大型CT设备顺利开机并投入使用_https://www.jmylbn.com_新闻资讯_第24张


ct什么牌子的好【喜讯】瑶医医院影像科大型CT设备顺利开机并投入使用_https://www.jmylbn.com_新闻资讯_第25张

望广大群众相互转告,有就医需求的患者欢迎到我院咨询就诊!


ct什么牌子的好【喜讯】瑶医医院影像科大型CT设备顺利开机并投入使用_https://www.jmylbn.com_新闻资讯_第26张

金秀瑶族自治县瑶医医院

健康咨询:0772-6353208

广西金秀瑶族自治县桐木镇梧桐大道37号



-END-


图文来源 | 医务科

图文编辑 | 周玉斌

图文审核 | 计彩华



ct什么牌子的好【喜讯】瑶医医院影像科大型CT设备顺利开机并投入使用_https://www.jmylbn.com_新闻资讯_第27张
ct什么牌子的好【喜讯】瑶医医院影像科大型CT设备顺利开机并投入使用_https://www.jmylbn.com_新闻资讯_第28张