bv唾液酸酶阴性什么意思你问我答111:阴道分泌物检查中细菌性阴道炎(BV)时唾液酸苷酶一定阳性吗?

新闻资讯2026-04-23 14:05:11




bv唾液酸酶阴性什么意思你问我答111:阴道分泌物检查中细菌性阴道炎(BV)时唾液酸苷酶一定阳性吗?_https://www.jmylbn.com_新闻资讯_第1张

bv唾液酸酶阴性什么意思你问我答111:阴道分泌物检查中细菌性阴道炎(BV)时唾液酸苷酶一定阳性吗?_https://www.jmylbn.com_新闻资讯_第1张
写在前面:
  在进行阴道分泌物检查(白带常规)时,我们都知道,当出现唾液酸苷酶阳性的时候,需要注意是否有细菌性阴道炎(BV)的可能,那么今天的问题就来了,是不是细菌性阴道炎(BV)时,唾液酸苷酶一定是阳性的呢?

bv唾液酸酶阴性什么意思你问我答111:阴道分泌物检查中细菌性阴道炎(BV)时唾液酸苷酶一定阳性吗?_https://www.jmylbn.com_新闻资讯_第3张
PART01:什么是细菌性阴道炎(BV)
★细菌性阴道病(BV)是阴道内乳杆菌减少或消失、兼性厌氧菌及厌氧菌增多导致的常见阴道感染性疾病之一,具有临床表现不典型、复发率高的特点。
★目前导致 BV 的微生物改变原因尚不明确,并且 BV 是否由单一性的传播病原体引起也尚无定论,常见的病原体包括兼性厌氧菌(阴道加德纳菌)、厌氧菌(普雷沃菌、动弯杆菌、拟杆菌、阴道阿托普菌)以及解脲脲原体、人型支原体等。
★BV的临床表现常不典型,阴道黏膜多无炎症改变,10%~40%的BV患者无临床症状。有症状者主要表现为阴道分泌物增多,有鱼腥臭味,性交后加重,可伴有轻度外阴瘙痒或烧灼感。并且其复发率较高,BV的初始治愈率为70%~90%。BV治疗后1个月的复发率为20%,治疗后3个月的复发率可达40%,治疗后12个月的复发率可高达60%。
★BV的诊断目前主要根据Amsel临床诊断标准及革兰染色诊断标准。本实验室使用的是Nugent评分诊断标准,Nugent评分4~6 分为BV 中间态,≥7分诊断为BV。

bv唾液酸酶阴性什么意思你问我答111:阴道分泌物检查中细菌性阴道炎(BV)时唾液酸苷酶一定阳性吗?_https://www.jmylbn.com_新闻资讯_第4张

bv唾液酸酶阴性什么意思你问我答111:阴道分泌物检查中细菌性阴道炎(BV)时唾液酸苷酶一定阳性吗?_https://www.jmylbn.com_新闻资讯_第3张
PART02:干化学中的唾液酸苷酶是怎么回事?
★唾液酸苷酶水解5-溴-4-氯-3-吲哚神经氨酸盐,释放出溴吲哚基遇重氮盐起反应呈红色或黄色,呈色深度与唾液酸苷酶活性成正比。
★唾液酸苷酶是一种酶蛋白,起到水解作用,普雷沃菌、拟杆菌及部分加德纳菌具有此酶的活性,其干化学中唾液酸苷酶阳性指示细菌性阴道炎的病原菌(BV)入侵和繁殖,唾液酸苷酶是细菌性阴道病(BV)致病菌分泌的特异性活酶。
★唾液酸苷酶≥7U/L为阳性。
★唾液酸苷酶检测容易受到干扰,如标本采样不符合试剂盒标本采样要求(24小时内有过性交、盆浴、阴道灌洗、雌激素使用者、孕期等)时不建议采用唾液酸苷酶检测。
★对于BV的诊断提示的酶还有一种叫脯氨酸氨基肽酶,脯氨酸氧基肽酶也是阴道致病菌分泌的一种特异性酶,尤其是在细菌性阴道炎中,加德纳氏和厌氧菌分泌的最多,阳性的程度与致病菌的数量呈正相关,脯氨酸氨基肽酶与唾液酸苷酶相比,有更高的特异性和阳性预测值,唾液酸苷酶与脯氨酸氨基肽酶与相比,有更高的敏感性和阴性预测值,唾液酸苷酶阳性提示细菌性阴道炎可能性大,如果脯氨酸氨基肽酶检查阳性,提示细菌性阴道炎可能,其两则是相辅相成互相补充的,因此,有的试剂厂家将两种酶都放在一个板子上进行检测,以提高对BV诊断的提示意义。
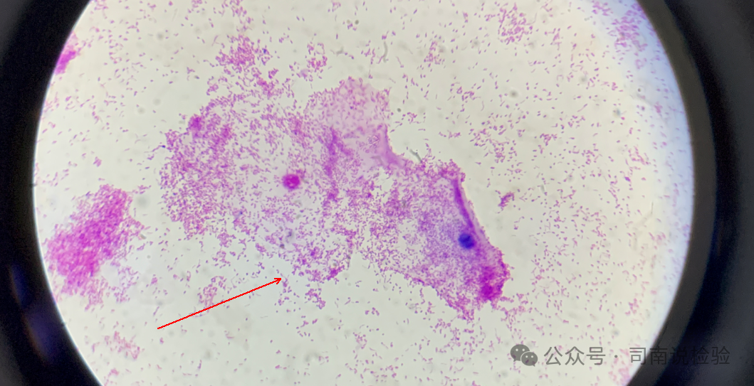
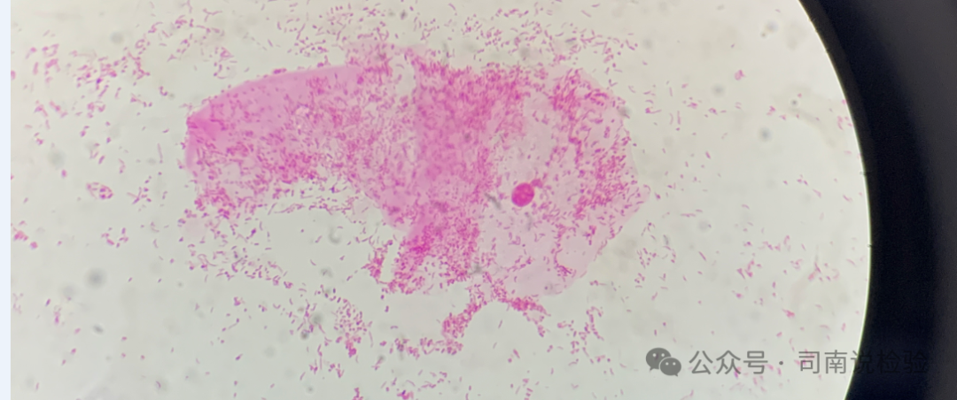
★不是所有的加德纳菌都会产生唾液酸苷酶,也就是说不是所有的加德纳菌感染的患者唾液酸苷酶都会表现出阳性结果,因此在临床实践工作中需要注意干化学要与显微镜检查相配合(或者唾液酸苷酶与脯氨酸氨基肽酶相配合),以显微镜下看到的菌群为主要判断及作为报告回报的依据(细菌性阴道病诊治指南2021修订版的意见上指出,革兰染色Nugent评分标准才是BV诊断的实验室“金标准”)。

bv唾液酸酶阴性什么意思你问我答111:阴道分泌物检查中细菌性阴道炎(BV)时唾液酸苷酶一定阳性吗?_https://www.jmylbn.com_新闻资讯_第6张

bv唾液酸酶阴性什么意思你问我答111:阴道分泌物检查中细菌性阴道炎(BV)时唾液酸苷酶一定阳性吗?_https://www.jmylbn.com_新闻资讯_第3张
PART03:BV时,唾液酸苷酶一定是阳性的呢
★答案是肯定的:不是
★首先BV的病原体不是一种,可能是阴道加德纳菌,也可能是普雷沃菌,也可能是动弯杆菌等等,虽然加德纳菌为主要,但其也不是一定由这个菌引起。
★其次即使是加德纳菌也不是所有的都能产生唾液酸苷酶,不产唾液酸苷酶的加德纳菌有可能处于相对较低的活性状态,对阴道微生态影响较小,在形态上,不产唾液酸苷酶的加德纳菌没有特别的辨识度。这些不产生唾液酸苷酶的加德纳菌就不会引起唾液酸苷酶的阳性反应。
★再次是看唾液酸苷酶的反应中,其≥7U/L为阳性,且受到标本的很大影响,这里有一个与唾液酸苷酶类似的酶(脯氨酸氨基肽酶),两者相辅相成可提高BV的检出(这个需要查看试剂说明书中看看是否为两者连用)。
★最后看一下笔者所在实验室的一个近几个月的统计,近几个月回报为BV(包括BV中间型)的标本为732例(占总数的18.74%,其中BV为163例,占比为4.17%),而唾液酸苷酶阳性的标本数为155例(占总数的3.97%),是不是比想象中差的很多。
★因此,我们知道,BV患者中不是所有的标本都会引起唾液酸苷酶阳性,也不是所有加德纳菌感染的BV患者其标本唾液酸苷酶都是阳性。

bv唾液酸酶阴性什么意思你问我答111:阴道分泌物检查中细菌性阴道炎(BV)时唾液酸苷酶一定阳性吗?_https://www.jmylbn.com_新闻资讯_第8张

bv唾液酸酶阴性什么意思你问我答111:阴道分泌物检查中细菌性阴道炎(BV)时唾液酸苷酶一定阳性吗?_https://www.jmylbn.com_新闻资讯_第9张
司南说:对于唾液酸苷酶阳性的标本需要注意是否为BV患者,但不是所有BV患者都是由阴道加德纳菌引起,不是所有由阴道加德纳菌感染的BV患者其唾液酸苷酶都是阳性的,具体问题具体分析,不要固化思想才是,其他就不多说了,老话继续,对于检验而言细节决定成败,检以求真,验以正德!
说明:由于笔者知识储备有限、经验有限,本文主要是整理以往的资料与实际应用中的经验,仅供交流、学习与分享使用,原版版权归原作者所用,内容不作为临床诊疗依据,如有错误请私信笔者,非商业用途,仅供专业人士参考与交流,如有侵权请与笔者联系进行删除操作,谢谢!
参考文献:
1.细菌性阴道病诊治指南(2021修订版)
2.尚红主编.全国临床检验操作操作规范(第四版)
3.硕世诊断阴道分泌物检测试剂说明书
bv唾液酸酶阴性什么意思你问我答111:阴道分泌物检查中细菌性阴道炎(BV)时唾液酸苷酶一定阳性吗?_https://www.jmylbn.com_新闻资讯_第1张

bv唾液酸酶阴性什么意思你问我答111:阴道分泌物检查中细菌性阴道炎(BV)时唾液酸苷酶一定阳性吗?_https://www.jmylbn.com_新闻资讯_第1张