abp在医学是什么意思慢性咳嗽治疗1年仍无效?背后竟是这个病在“作怪”?

新闻资讯2026-04-23 13:54:13

原创 乙酰半胱氨酸 医学界呼吸频道 收录于合集 #呼吸病例 66个

*仅供医学专业人士阅读参考

内附实战病例,边学边看

咳嗽是种正常的生理反应,是种呼吸道常见的症状。受到炎症的影响,或异物的影响,或者是刺激性气体的影响,都会出现咳嗽的症状,临床上遇见慢性咳嗽患者,你会想到这种疾病吗?

病例摘要

患者,男,55岁,主因间断咳嗽1年余,加重伴气短、喘息2月入院。

患者1年余前“搬运陈旧木柴”后出现咳嗽,大部分为干咳,咳嗽剧烈,偶有咳痰,色白质粘,伴拉丝现象,就诊于当地诊所,予以静脉滴注及口服药物(具体不详)等治疗,患者症状稍减轻;后患者症状时重时轻,反复于当地诊所诊疗,期间曾静脉滴注“地塞米松”(具体剂量及疗程不详),症状可缓解;2月前无明显诱因上次症状再次加重,伴明显气短、喘息,活动后及遇冷空气后尤著,夜间不能平卧,日常活动明显受限,现就诊于我科门诊,查胸部CT提示双肺支气管壁稍增厚伴右肺下叶少许炎症,血常规示血嗜酸性粒细胞升高。

既往慢性鼻炎病史3年,表现为鼻塞,未系统诊治;吸烟史30余年,每日约10支,已戒烟1年;偶有饮酒;无粉尘、有害气体等接触史。

查体:呼吸28次/分,双肺呼吸音粗,呼气相延长,可闻及弥漫性哮鸣音及少许湿性啰音,余查体未见明显异常。

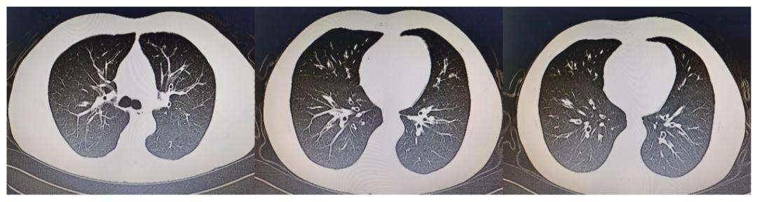
门诊胸部CT:

abp在医学是什么意思慢性咳嗽治疗1年仍无效?背后竟是这个病在“作怪”?_https://www.jmylbn.com_新闻资讯_第1张图1

双肺多发支气管壁增厚,部分管腔内黏液充盈,考虑支气管炎。右肺下叶后基底段散在微小结节。

辅助检查:pH值:7.38,氧分压:64.40mmHg,二氧化碳分压:43.70mmHg,白细胞计数(WBC)5.36×109/L,嗜酸细胞(EO):12.30% ↑,嗜酸细胞(EO):0.66×109/L↑,免疫球蛋白E(IgE):892.00IU/ml↑,1次痰涂片:酵母样孢子:少量,假菌丝:少量。痰细胞学检查:油镜下全片分类计数100个细胞(非上皮细胞):中性粒细胞60%,淋巴细胞1%,单核巨噬细胞5%,嗜酸性粒细胞34%。痰细菌培养:酵母菌属 菌量+;痰真菌培养:培养2天无致病菌生长。C反应蛋白(CRP),降钙素原(PCT),血沉,流感病毒、呼吸道病原体谱、1-3-β-D葡聚糖、2次痰抗酸染色未见异常。

▎思考:

患者病史1年余,诱发因素“搬运陈旧木柴”,既往静点“地塞米松”症状缓解,血嗜酸性粒细胞及IgE升高,血中性粒细胞、CRP、PCT、血沉正常,胸部CT示双肺多发支气管壁增厚,部分管腔内黏液充盈。

结合患者病史、临床表现及检查结果,需鉴别哮喘、慢性阻塞性肺疾病、变态反应性支气管肺曲霉病、过敏性肺炎等肺部疾病。

入院暂给予吸入布地奈德、酚麻美敏、左氧氟沙星等治疗。

进一步完善肺灌洗液细胞学检查:分类计数100个非上皮细胞:中性粒细胞50%,单核巨噬细胞4%,嗜酸性粒细胞46%。可见成片嗜酸性粒细胞,纤毛柱状上皮细胞占有核细胞的百分比约为5%。肺泡灌洗液:曲霉菌免疫学试验:0.400ug/L。1次(支气管镜)痰细菌鉴定:黄曲霉 1 CFU(菌落形成单位);1次(支气管镜)痰细菌鉴定:黄曲霉 2 CFU(菌落形成单位)。痰真菌培养、肺泡灌洗液细菌及真菌、2次免疫球蛋白、风湿三项(类风湿因子、抗链球菌溶血素O、C反应蛋白)、血管炎筛查、抗核抗体无异常。

▎诊断思路:

患者有哮喘发作样症状、血清总免疫球蛋白E(TIgE)水平、外周血嗜酸粒细胞升高、影像学表现有支气管壁增厚及大量粘液栓、支气管镜吸痰培养为黄曲霉,考虑为变态反应性肺曲霉病(ABPA),疾病分型为支气管扩张型ABPA(ABPA-B),1月5日调整药物:停用吸入布地奈德、酚麻美敏、左氧氟沙星,予以口服甲泼尼龙32mg 1次/日(1-05至1-19(共两周)),后改为16mg 4~6周。

然后根据病情试行减量,一般每2周减4~8mg,建议采用隔日给药方法。伊曲康唑0.2g 2次/日(依据变应性支气管肺曲霉病诊治专家共识 中华医学会呼吸病学分会哮喘学组(发布时间:2017-09)。后患者出院服药,嘱规律服药定期门诊复查调整激素剂量。

变态反应性支气管肺曲霉病

变态反应性支气管肺曲霉病(ABPA)是由曲霉菌抗原寄生于支气管内引起的过敏性反应,常合并支气管囊性纤维化或哮喘,临床表现为支气管扩张、难以控制的哮喘,其主要致病菌包括烟曲霉菌、黄曲霉菌、土曲霉菌等。该病相对少见,临床上常被误诊或漏诊;早期诊断、及时给予全身糖皮质激素(简称激素)治疗,可控制病情,防止不可逆性肺部损害的发生。

临床表现有哪些?

ABPA主要表现为咳嗽、咳痰、喘息,还可见低热、消瘦、乏力、胸痛、咯血等,少数患者可以没有明显症状,临床缺乏特异性。咳棕褐色黏冻样痰栓为其特征性表现。急性加重时出现上述症状加重,缓解期可消失或明显减轻。体格检查时肺部可闻及湿啰音或哮鸣音。病程晚期患者可出现杵状指和发绀。

影像学主要表现为肺部浸润影或实变影,其特点为一过性、反复性、游走性。肺浸润呈均质性斑片状、片状或点片状,部位不定,可累及单侧或双侧,可出现黏液嵌塞、支气管扩张、小叶中心性结节、树芽征等。

诊断3步走

结合我国的疾病分布特点和临床实际情况,诊断标准如下:

诊断ABPA须具备第1项、第2项和第3项中的至少2条。

1

相关疾病

(1)哮喘。

(2)其他:支气管扩张症、慢阻肺、肺囊性纤维化等。

2

必需条件

(1)烟曲霉特异性IgE水平升高,或烟曲毒皮试速发反应阳性。

(2)血清总IgE水平升高(>1000U/ml)。

3

其他条件

(1)血嗜酸粒细胞计数>0.5×109个/L。

(2)影像学与ABPA一致的肺部阴影。

(3)血清烟曲霉特异IgG抗体或沉淀素阳性。

根据临床表现、血清学和影像学检查,ABPA的自然病程可分为I~V期。I期:新发的、活动性ABPA;Ⅱ期:临床和血清学缓解期;Ⅲ期:复发性活动性ABPA;IV期:慢性激素依赖性哮喘;V期:进行性炎症和气道扩张引起的纤维-空洞病变,可导致进展性呼吸衰竭和死亡。ABPA的病程不一定按照上述顺序演变;在患者就诊时,也难以预料是否会进入缓解期,是否会复发,抑或持续进展。一般认为早期诊断和治疗可降低未来疾病进展的风险。

治疗

对于Ⅰ期和Ⅲ期患者,通常使用的发尼松起始剂量为0.5mg/kg,1次/d,2周;继以0.25mg/kg,1次/d,4~6周。然后根据病情试行减量,一般每2周减5~10mg,建议采用隔日给药方法。治疗时间依据疾病严重程度不同而有所差异,总疗程通常在6个月以上。对于IV期患者,可能需要长期口服小剂量激素维持治疗

预后

ABPA如能早期诊断并规范治疗,病情可缓解并长期控制,预后较好。即使大多数V期患者,其病情也可以稳定数年,但肺功能受损严重[第一秒用力呼气容积(FEV1)<0.8L]的患者预后较差。ABPA远期并发症包括严重气流受限、肺不张、侵袭性肺曲霉病及肺纤维化。

小结:

ABPA因无特异性临床表现,缺乏特异性的诊断方法,误诊、漏诊率非常高,临床早期诊断、及时给予全身糖皮质激素对疾病发展及预后至关重要。

更多呼吸实战病例?

快来“医生站APP”瞧一瞧��

参考文献:

[1]楼滨,徐珍,范剑.血清曲霉菌特异性IgE检测在变态反应性支气管肺曲霉病诊断中的应用[J].国际检验医学杂志,2017,38(19):2733-2735.

[2]中华医学会呼吸病学分会哮喘学组.变应性支气管肺曲霉病诊治专家共识[J].中华医学杂志,2017,97(34):2650-2656.

本文首发:医学界呼吸频道

本文作者:乙酰半胱氨酸

审核专家:孙丹雄

责任编辑:戴戴 彭建萍

版权申明

本文原创 转载请联系授权

- End -

阅读原文