肘关节康复器怎么用“能屈能伸”——创伤后肘关节僵硬,这样治疗效果佳!

新闻资讯2026-04-21 22:49:31

李梦行(化名),男,40岁,1个多月来一直让他苦恼的是:右胳膊肘疼痛,屈伸角度小,手触不着脸,不能完成执筷、洗脸、刷牙、梳头动作,日常生活极不方便。

患者治疗情况


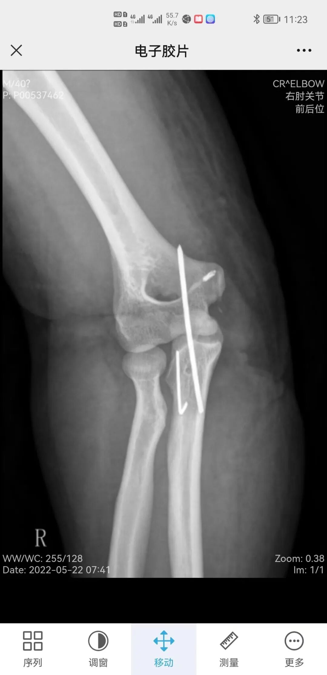
患者慕名来到了龙口市中医医院针灸康复科,姜恒坤主任接诊了他,经过问诊得知原来患者1月前不慎跌倒,右手触地后导致肘关节骨折,做完手术后一直未进行康复治疗,此次来诊时已去除内固定钢针1枚,尚有一枚钢针断端残留骨折处。

肘关节康复器怎么用“能屈能伸”——创伤后肘关节僵硬,这样治疗效果佳!_https://www.jmylbn.com_新闻资讯_第1张
肘关节康复器怎么用“能屈能伸”——创伤后肘关节僵硬,这样治疗效果佳!_https://www.jmylbn.com_新闻资讯_第2张

姜恒坤主任仔细地查看了片子并进行了细致的体格检查:右肘关节有两处长约8cm-10cm的手术切口瘢痕,局部肿胀,鹰嘴后有压痛。肘关节屈伸范围在90-110°之间,活动明显受限。姜恒坤主任立即召集治疗师团队进行了初次康复评定,指出:主要问题为“右肘关节活动受限”。

肘关节康复器怎么用“能屈能伸”——创伤后肘关节僵硬,这样治疗效果佳!_https://www.jmylbn.com_新闻资讯_第3张

患者较年轻,术后骨折处愈合较好,自身康复欲望强烈,期望值高,对于高强度康复训练耐受性强,且积极主动。评估判定短期康复目标为:止痛消肿、改善关节活动度。长期康复目标为:关节活动度正常,回归社会。不足之处,骨折处有内固定断端残留,需注意定期拍片检查,防止游离,造成二次损伤。辩证论治予以口服中药汤剂,局部应用中药封包热敷后,立即给予关节松动技术治疗,治疗后予以作业疗法巩固治疗效果,仅1周时间,患者右肘关节的主动屈伸角度即达到了正常,不再影响日常生活。

治疗前肘关节活动度↓

肘关节康复器怎么用“能屈能伸”——创伤后肘关节僵硬,这样治疗效果佳!_https://www.jmylbn.com_新闻资讯_第4张
肘关节康复器怎么用“能屈能伸”——创伤后肘关节僵硬,这样治疗效果佳!_https://www.jmylbn.com_新闻资讯_第5张
肘关节康复器怎么用“能屈能伸”——创伤后肘关节僵硬,这样治疗效果佳!_https://www.jmylbn.com_新闻资讯_第6张

治疗后肘关节活动度↓

肘关节康复器怎么用“能屈能伸”——创伤后肘关节僵硬,这样治疗效果佳!_https://www.jmylbn.com_新闻资讯_第7张
肘关节康复器怎么用“能屈能伸”——创伤后肘关节僵硬,这样治疗效果佳!_https://www.jmylbn.com_新闻资讯_第8张

患者对康复治疗的效果表示满意,同时还打趣说道:是不是我再早一点康复,日常生活早就自由了。

肘关节创伤知识

人的肘关节包含肱尺、肱桡、近端尺桡三个关节,三个关节在一个关节囊中,具有高度一致性,对创伤非常敏感,时至今日的医学对于肘部创伤的治疗仍是难点,即使成功做了手术,术后也容易并发关节功能障碍。我们敬爱的周恩来总理就是肘关节创伤的受害者,遗留了关节屈伸受限的后遗症。

一般来说,损伤程度越重,钢钉、石膏等内外固定制动时间越长,愈后越差。术前、术后、康复训练时的疼痛会引起患者的不适和恐惧,导致康复训练的依从性下降,影响康复进程。关节内的血肿机化,周围软组织粘连,会增加异位骨化的发生几率,引起新的肿痛和活动受限。

     如此,肘关节创伤后及时采取行而有效地康复就显得尤为重要。康复治疗方案建议由手术医师和康复治疗师共同确定。治疗中要根据患者的个体状况及需求不断地进行调整。

 肘关节骨折术后

康复训练方法

第一阶段:炎症保护期(0-2周)

1、控制患肢肿胀和疼痛:局部冷敷并适当抬高患肢休息。

2、未受累关节的主动活动:手指关节、腕关节、肩关节积极进行用力抓握、伸展、分指、屈伸、内收外展等主动活动,进行肌肉的等长收缩训练。

3、肘关节活动度训练:在治疗师指导下,行减重情况下的主动助力屈伸训练及前臂旋转训练。

注意:需在安全活动范围内进行。避免疼痛,避免暴力屈伸活动。

第二阶段:纤维形成期(第2-8周)

1、活动度训练:在抗重力情况下进行主动、助力屈伸和轻柔的被动活动度训练,强调多次重复。

2、轻微量的ADL活动:鼓励患者使用患侧手完成轻度的日常生活活动,如:吃饭、梳洗、接电话、走路时摆臂等。

注意:及时调整活动角度和运动量,避免发生肿胀或疼痛加剧。不做肘关节的抗阻运动。

第三阶段:骨折愈合期(第8-24周)

1、活动度练习:继续此前的锻炼,争取达到关节的全范围活动。

2、力量及耐力训练:利用哑铃、弹力带、沙袋等进行渐进性的抗阻训练。

3、恢复日常生活活动的训练:鼓励用患手完成日常生活、工作、娱乐活动。

    注意定期复查X线片,如可疑存在骨不连、关节僵硬、神经压迫、异位骨化等情况,应及时诊疗。

肘关节康复器怎么用“能屈能伸”——创伤后肘关节僵硬,这样治疗效果佳!_https://www.jmylbn.com_新闻资讯_第9张

龙口市中医医院针灸康复科是以脑血管疾病康复治疗及各种疼痛性疾病康复治疗为专长,集合脊柱、骨关节相关性疾病特效治疗为一体的特色专科。科室是烟台市中医药适宜技术针刀培训基地、山东省儿童青少年近视小儿推拿防控县级基地、齐鲁中医药优势专科集群建设单位、山东省县域中医药龙头专科、第一批全国中医整脊联盟常务理事单位。现有医护人员38人,其中,副高级职称3名,中级职称4名。硕士研究生3名。

目前开展业务包括:针对脑血管病人开展康复评定,按疾病急性期,恢复期,后遗症期不同,开展PT,OT,ST等治疗;针对疼痛病人开展神经阻滞等特效治疗;针对脊柱、关节疾病开展中药薰药、小针刀治疗、医用三氧注射治疗、骶管注射、侧隐窝注射等。配合中医中药,针灸,理疗等康复措施,极大提高临床治疗效果。尤其在吞咽功能障碍康复方面治疗和针对脊柱侧弯、椎管狭窄等脊柱病变的四维牵引治疗是我科特色,治疗效果稳定,远期预后良好。

门诊电话:8549678

病区电话:8549746

肘关节康复器怎么用“能屈能伸”——创伤后肘关节僵硬,这样治疗效果佳!_https://www.jmylbn.com_新闻资讯_第10张
投稿:针灸康复科