聚酯石膏怎么打6岁孩子的尺桡骨双骨折,就给手术了?外固定架外面还打石膏?

新闻资讯2026-04-21 22:44:35
6岁孩子的尺桡骨双骨折,就给手术了?外固定架外面还打石膏?

2021年7月21日,在中华骨科网儿童骨科病例讨论群里,看到了几张图片,是某仁慈医院的一位手外科医生做的手术,被某地器械厂家发在朋友圈里炫耀,有小儿骨科医生看不过去,就发群里请大家评论,引起众多小儿骨科医生的批评。

聚酯石膏怎么打6岁孩子的尺桡骨双骨折,就给手术了?外固定架外面还打石膏?_https://www.jmylbn.com_新闻资讯_第1张

聚酯石膏怎么打6岁孩子的尺桡骨双骨折,就给手术了?外固定架外面还打石膏?_https://www.jmylbn.com_新闻资讯_第2张

聚酯石膏怎么打6岁孩子的尺桡骨双骨折,就给手术了?外固定架外面还打石膏?_https://www.jmylbn.com_新闻资讯_第3张

聚酯石膏怎么打6岁孩子的尺桡骨双骨折,就给手术了?外固定架外面还打石膏?_https://www.jmylbn.com_新闻资讯_第4张

聚酯石膏怎么打6岁孩子的尺桡骨双骨折,就给手术了?外固定架外面还打石膏?_https://www.jmylbn.com_新闻资讯_第5张

聚酯石膏怎么打6岁孩子的尺桡骨双骨折,就给手术了?外固定架外面还打石膏?_https://www.jmylbn.com_新闻资讯_第6张

聚酯石膏怎么打6岁孩子的尺桡骨双骨折,就给手术了?外固定架外面还打石膏?_https://www.jmylbn.com_新闻资讯_第7张


当我看到这个病例的时候,让我想起一个段子:

聚酯石膏怎么打6岁孩子的尺桡骨双骨折,就给手术了?外固定架外面还打石膏?_https://www.jmylbn.com_新闻资讯_第8张

 
我于2021年7月24日写文,质疑了这个手术,当然,我也因为里面指名道姓的写了相关人员的名字和单位,而受到了不可抗拒的批评(半边天的批评)。朋友圈转发者也看过原文了,意识到了自己的失误,术者以及所在医院也看过原文了,对于术者进行了批评,所以删除了原文。第二版修改版发出后,因为新增病例片子中,有患者一两张片子上患者的姓名漏打码了,所以又不得不删除。这是第三版,又新增了其他骨科医生提供的尺桡骨双骨折手法复位石膏或小夹板外固定的病例,希望通过此病例以及其他骨科医生提供的病例,使这个病例的学术价值得以更好的发挥,对更多的骨科医生和患者以及家属的发挥一定的医学教育和科普价值。所以,借此机会,就尺桡骨双骨折,到底如何做,才是更好的选择,以及晒朋友圈的注意事项提一些建议。

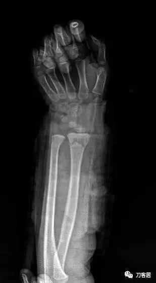
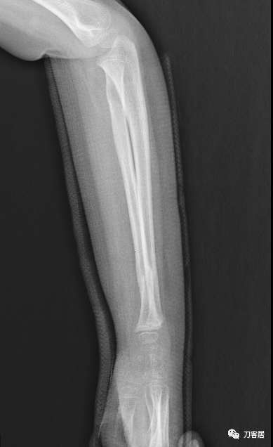
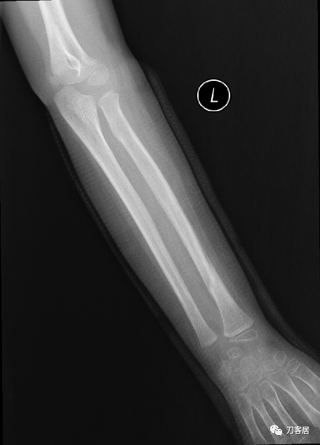
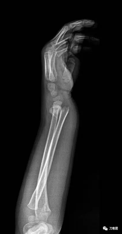
下面是这个6岁孩子,尺桡骨远端双骨折的术前及术后片子和外观照片。
 
聚酯石膏怎么打6岁孩子的尺桡骨双骨折,就给手术了?外固定架外面还打石膏?_https://www.jmylbn.com_新闻资讯_第9张


聚酯石膏怎么打6岁孩子的尺桡骨双骨折,就给手术了?外固定架外面还打石膏?_https://www.jmylbn.com_新闻资讯_第10张


聚酯石膏怎么打6岁孩子的尺桡骨双骨折,就给手术了?外固定架外面还打石膏?_https://www.jmylbn.com_新闻资讯_第11张


A. 首先,第一条建议是给与骨科医生有关的所有器械厂商的,请不要轻易转发与你有利益关系的医生或者医院的炫耀性内容,除非是学术性的内容。因为你不知道内容是否会引起质疑,一旦引起质疑,再加上有利益关系,会给各方都带来不利。

B. 医生不要轻易发自认为自己做了新奇特手术的炫耀内容,在你可能是新奇特,但在别人眼里,可能就是个常规手术而已,甚至,你的新奇特手术在别人眼里,可能就是违规操作,朋友圈和美篇以及微信公众号宣传翻船的案例太多了。吹牛皮是很容易吹破的,因为现在牛皮的质量大不如前,而且现在很多人吹的力气也比前人大多了。

C.  所有医生,请你发患者的片子的时候,别只知道把自己的名字或者医院的名字打上,宣示自己的版权,更重要的应该是把患者的隐私信息屏蔽掉,保护患者隐私,这是为医者的基本素养。

D. 别太着急炫耀,这个孩子7月19日骨折受伤,20日就已经出现在网上炫耀,而且还是跨区域的,时间也太快了,耐心憋一憋,也许就不想晒了。

我综合各方来源信息,综述性的谈一些针对此手术的意见。
 
1.  这是一个很简单的6岁儿童无移位的尺桡骨远端骨折。没有皮肤损伤,没有移位,没有骨折碎块儿。
 
2.  这个骨折处理起来也很简单,单纯的打石膏托或者中医的小夹板,或者正规的包括腕关节和肘关节的管型石膏外固定4周即可治愈该骨折。实在不行,如果这个孩子比较听话,不太调皮的话,用一本书,一个三角巾悬吊固定4周,都可以治愈该骨折。但是给这个患者用外固定架做了手术,而且桡骨远端的几颗克氏针距离骨折线太近,其中一枚克氏针进入到骨折间隙内。从这个术中图片来看,术者的外固定手术技术也有待于进一步的提高。毕竟术者应该还很年轻。从X线片来看,前臂及手的尺侧有不透光影,应该还使用了外固定石膏绷带托,而且我猜测应该是高分子的石膏绷带托,这个是纯属猜测,不一定是对的,不过如何解释前臂尺侧的不透光影呢?如果真是用了石膏绷带外固定的话,那为啥要做手术呢?外固定架术后就不该再用石膏绷带托辅助了。
 
3.  对于肢体骨折,特别是前臂长骨骨折,双骨折虽然不稳,但更容易手法复位,往往单骨折手法复位比较困难。该病例患儿6岁,尺桡骨双骨折,没有移位,所以根本就不存在需要复位的,直接打石膏外固定即可。孩子年龄越小,塑形能力越强,愈合速度越快,即使是有轻度的畸形骨愈合,在未来的塑形过程中,自然而然的恢复正常的力线和功能。对于该病例,即使是不干预,再过1-2周,只要骨折断端不移位,也能正常愈合而不留任何畸形。
 
那么,尺桡骨骨折切开复位内固定(包括外固定架固定)的手术适应症包括那些呢?过于专业的书籍和文献,什么小儿骨科学,什么英文版的相关书籍,什么创伤骨科学等等专业书籍和文献,我就不查了,就查了一下人民卫生出版社2006年出版的第一版第2次印刷的普通高等教育“十五”国家级规划教材,供8年至及7年制临床医学等专业用的《外科学下册》,第966页写道:
 
在以下情况时考虑手术治疗:
(1)不稳定骨折;
(2)手法复位失败;
(3)受伤时间较短,伤口污染不重的开放骨折;
(4)合并神经、血管、肌腱损伤;
(5)同侧肢体有多发性损伤;
(6)陈旧骨折畸形愈合或交叉愈合,影响功能
 
人民卫生出版社2010年出版的第二版第7次印刷的高等教育“十五”国家级规划教材,供8年制及7年制临床医学等专业用的《外科学下册》,第939页也一字不差的写了上述手术适应症。
 
什么时候首选外固定架呢?同样在这两本医学本科生教材中有明确的要求:
 
人民卫生出版社2006年出版的第一版第2次印刷的普通高等教育“十五”国家级规划教材,供8年制及7年制临床医学等专业用的《外科学下册》,第967页写道:
 
在以下情况时首选外固定架:
(1)尺骨干骨折合并桡骨远端粉碎性骨折;
(2)II度和III度开放骨折及复杂骨折。
 
人民卫生出版社2010年出版的第二版第7次印刷的高等教育“十五”国家级规划教材,供8年制及7年制临床医学等专业用的《外科学下册》,第939页也一字不差的写了上述手术适应症。
 
人民卫生出版社2014年出版的第8版第5次印刷的“十二五”普通高等教育本科国家级规划5年制教材《外科学》第658页,也明确写了前臂双骨折切开复位内固定的手术指征,与8年制教材完全一致。
 
这个病例,6岁的孩子,尺桡骨骨折在同一个平面,且都为小斜行骨折,不是螺旋形,不是粉碎性,不是成角移位性,属于稳定性尺桡骨双骨折,根本就没有任何手术的适应症。

---------------------- 
上海美华医院小儿骨科医生师东良医生提供的英文版书籍(Operative Techniques in Pediatric Orthopaedic Surgery)中的内容见下图,我就不做翻译了。


聚酯石膏怎么打6岁孩子的尺桡骨双骨折,就给手术了?外固定架外面还打石膏?_https://www.jmylbn.com_新闻资讯_第12张


聚酯石膏怎么打6岁孩子的尺桡骨双骨折,就给手术了?外固定架外面还打石膏?_https://www.jmylbn.com_新闻资讯_第13张

--------------------------------
武汉协和医院小儿骨科的洪攀医生提供的三篇文章:

《3种不同方法治疗大龄儿童不稳定尺桡骨远端骨折的对比研究》
https://mp.weixin.qq.com/s/2SmHdXm8U3Hultc5R7pYbg
 
手把手教你如何保守治疗儿童尺桡骨远端骨折
https://mp.weixin.qq.com/s/0Dga0Jpo_dlJJ-IG849Ffw
 
第三篇文章是武汉协和医院小儿骨科洪攀医生自己的原创。
 
小朋友胳膊骨折一定要手术吗?
武汉协和医院小儿骨科 洪攀
 
小朋友骨折后,家属总是很焦急,但是不知道如何找到正确的医疗机构?找到正确的医生?
网络?信息鱼龙混杂,不知道如何鉴别?
大医院?科室太多,不知道哪个科室挂号?专家太多,不晓得谁是专业看小朋友的?
结果,就是太多悲剧...
 
需要手术的没有手术,耽误了治疗!
不该手术的接受了手术,留下了巨大的手术切口,甚至导致医源性的悲剧,骨折不愈合,生长发育异常。

聚酯石膏怎么打6岁孩子的尺桡骨双骨折,就给手术了?外固定架外面还打石膏?_https://www.jmylbn.com_新闻资讯_第14张

(四岁的小朋友尺桡骨骨折,接受的切开钢板内固定!真的需要手术么?需要切开上钢板么?)
 
还有不需要手术的,采取了错误的保守治疗方法,导致治疗失败,最后接受手术治疗。

聚酯石膏怎么打6岁孩子的尺桡骨双骨折,就给手术了?外固定架外面还打石膏?_https://www.jmylbn.com_新闻资讯_第15张

10个月小朋友的尺桡骨骨折,初始位置尚可,外院保守治疗后成角明显加大?

为啥会出现这个问题?

聚酯石膏怎么打6岁孩子的尺桡骨双骨折,就给手术了?外固定架外面还打石膏?_https://www.jmylbn.com_新闻资讯_第16张

(小年龄儿童的手臂很短,一个塑形不好的石膏托有可能起反作用)

聚酯石膏怎么打6岁孩子的尺桡骨双骨折,就给手术了?外固定架外面还打石膏?_https://www.jmylbn.com_新闻资讯_第17张

(小年龄的儿童前臂骨折保守治疗正确的管型石膏固定)

Ø  什么是管型石膏?
管型石膏:是将石膏条带置于伤肢屈伸两侧再用石膏带包缠固定肢体的方法,多用于四肢骨折复位数日稳定后。分为前臂、长臂、短腿、长腿管型石膏。目前常用材料:传统石膏;聚酯纤维石膏(我院小儿骨科多使用聚酯纤维石膏)。

聚酯石膏怎么打6岁孩子的尺桡骨双骨折,就给手术了?外固定架外面还打石膏?_https://www.jmylbn.com_新闻资讯_第18张

桡骨远端骨折,石膏托固定后1周复查,位置可,肿胀消退改为管型石膏。

聚酯石膏怎么打6岁孩子的尺桡骨双骨折,就给手术了?外固定架外面还打石膏?_https://www.jmylbn.com_新闻资讯_第19张


聚酯石膏怎么打6岁孩子的尺桡骨双骨折,就给手术了?外固定架外面还打石膏?_https://www.jmylbn.com_新闻资讯_第20张

受伤后4周,骨折愈合良好

聚酯石膏怎么打6岁孩子的尺桡骨双骨折,就给手术了?外固定架外面还打石膏?_https://www.jmylbn.com_新闻资讯_第21张

一个漂亮的管型石膏,大一些的孩子不需要固定肘关节,方便活动,可以遇水,不影响洗澡。

聚酯石膏怎么打6岁孩子的尺桡骨双骨折,就给手术了?外固定架外面还打石膏?_https://www.jmylbn.com_新闻资讯_第22张

(同样的桡骨远端骨折,外院切开钢板内固定后导致的桡骨畸形发育,腕关节失稳)

建议小朋友(不是按照体型,是按照年龄和是否存在骨骺线)骨折,找专业的小儿骨科医生咨询。
------------------------
2021年7月22日晚,上海美华医院儿童骨科的师东良医生,给我提供了一例他处理的严重移位尺桡骨双骨折病例,经过手法复位,石膏外固定治愈。这个病例,其他医院建议要做手术。实际上,这样的病例,在现实中有太多太多,因为手法复位,石膏外固定治疗骨折,这是骨科医生的基本功。

下面为师东良医生提供的病例:

超声引导下闭合手法复位石膏外固定治疗7岁患儿尺桡骨远端移位双骨折。

男,7岁,左前臂远端桡尺骨双骨折,术前X光片见图1,行超声引导下闭合复位石膏外固定术,康复训练,6周拆石膏,随访2.5月的效果。术后2.5X光片见图23。功能上仅前臂旋后较健侧减小15°,继续加强康复训练中。家长满意,评价见图4


聚酯石膏怎么打6岁孩子的尺桡骨双骨折,就给手术了?外固定架外面还打石膏?_https://www.jmylbn.com_新闻资讯_第23张

1. 超声引导下闭合复位石膏外固定术左尺桡骨双骨折

 

聚酯石膏怎么打6岁孩子的尺桡骨双骨折,就给手术了?外固定架外面还打石膏?_https://www.jmylbn.com_新闻资讯_第24张

2. 超声引导下闭合复位石膏外固定术后2.5月左前臂正位X光片

 

聚酯石膏怎么打6岁孩子的尺桡骨双骨折,就给手术了?外固定架外面还打石膏?_https://www.jmylbn.com_新闻资讯_第25张

3. 超声引导下闭合复位石膏外固定术后2.5月左前臂侧位X光片

  

聚酯石膏怎么打6岁孩子的尺桡骨双骨折,就给手术了?外固定架外面还打石膏?_https://www.jmylbn.com_新闻资讯_第26张

4. 评价原文


-----------------------------------

在下肢轴向牵引器微创内固定1群里引起尺桡骨远端骨折的讨论,更多医生提供了手法复位,小夹板或者石膏外固定治疗的病例,记录如下:



————— 2021-07-24 —————


刘世峰--东莞八院骨科 10:39


手法复位,越来越少人去做了,花时间,又要负责任的随诊。我分享一个我的一双桡骨远端骨折病例。中青年男性。功能恢复不错。


聚酯石膏怎么打6岁孩子的尺桡骨双骨折,就给手术了?外固定架外面还打石膏?_https://www.jmylbn.com_新闻资讯_第27张


聚酯石膏怎么打6岁孩子的尺桡骨双骨折,就给手术了?外固定架外面还打石膏?_https://www.jmylbn.com_新闻资讯_第28张


黎明 10:40


[强][强][强]中青年大多数让做手术了


王志刚(滨州医学院附属医院) 10:43


@刘世峰 [强][强][强]


解放军第一医院李国海 10:44


@刘世峰 [强][强][强]。第一步。先复位,根据复位情况决定


刘世峰--东莞八院骨科 10:48


再分享一个我们这博惠医院的一小孩手法复位病例


刘世峰--东莞八院骨科 10:48


聚酯石膏怎么打6岁孩子的尺桡骨双骨折,就给手术了?外固定架外面还打石膏?_https://www.jmylbn.com_新闻资讯_第29张


聚酯石膏怎么打6岁孩子的尺桡骨双骨折,就给手术了?外固定架外面还打石膏?_https://www.jmylbn.com_新闻资讯_第30张


聚酯石膏怎么打6岁孩子的尺桡骨双骨折,就给手术了?外固定架外面还打石膏?_https://www.jmylbn.com_新闻资讯_第31张


解放军第一医院李国海 10:49


@刘世峰 这个也可以接受


刘世峰--东莞八院骨科 10:49


@解放军第一医院 李国海 李主任说的是!我觉得这病例复位好


解放军第一医院李国海 10:51



普宁市康达医院骨科-刘心万 10:51


@刘世峰 [强][强][强]


洮河刀客 10:52


@刘世峰--东莞八院骨科 不过你的这个外固定夹板固定的范围不够,应该包括肘关节和腕关节到掌指关节部,否则无法控制前壁旋转。


西域愚人 10:54


@刘世峰 👍


解放军第一医院李国海 10:55


@西京骨科马真胜 可以的。马主任。夹板固定理念和石膏不一样


西域愚人 10:55


@西京骨科马真胜 小夹板固定允许这样的。


刘世峰--东莞八院骨科 10:55


@西京骨科马真胜 马教授说的是,打个过肘U型石膏会好点。不过这医院是中医为传统,夹板。他们每天调整的


普宁市康达医院骨科-刘心万 10:55


早期固定夹板优于石膏


王志刚(滨州医学院附属医院) 10:56


按时随访好,保守大部分功能恢复良好


普宁市康达医院骨科-刘心万 10:56


桡骨远端需要手术的不多,巴尔通骨折例外


聚酯石膏怎么打6岁孩子的尺桡骨双骨折,就给手术了?外固定架外面还打石膏?_https://www.jmylbn.com_新闻资讯_第32张

刘世峰--东莞八院骨科 10:57


@美德瑞关节中心——刘心万 刘主任,夹板弹性调整固定[呲牙]


王志刚(滨州医学院附属医院) 10:57


只要能按时调整好,小夹板也很好


普宁市康达医院骨科-刘心万 10:57


聚酯石膏怎么打6岁孩子的尺桡骨双骨折,就给手术了?外固定架外面还打石膏?_https://www.jmylbn.com_新闻资讯_第33张


聚酯石膏怎么打6岁孩子的尺桡骨双骨折,就给手术了?外固定架外面还打石膏?_https://www.jmylbn.com_新闻资讯_第34张


聚酯石膏怎么打6岁孩子的尺桡骨双骨折,就给手术了?外固定架外面还打石膏?_https://www.jmylbn.com_新闻资讯_第35张


聚酯石膏怎么打6岁孩子的尺桡骨双骨折,就给手术了?外固定架外面还打石膏?_https://www.jmylbn.com_新闻资讯_第36张


聚酯石膏怎么打6岁孩子的尺桡骨双骨折,就给手术了?外固定架外面还打石膏?_https://www.jmylbn.com_新闻资讯_第37张


很久没有做桡骨远端了,基本都是手法复位


聚酯石膏怎么打6岁孩子的尺桡骨双骨折,就给手术了?外固定架外面还打石膏?_https://www.jmylbn.com_新闻资讯_第38张


聚酯石膏怎么打6岁孩子的尺桡骨双骨折,就给手术了?外固定架外面还打石膏?_https://www.jmylbn.com_新闻资讯_第39张


聚酯石膏怎么打6岁孩子的尺桡骨双骨折,就给手术了?外固定架外面还打石膏?_https://www.jmylbn.com_新闻资讯_第37张


普宁市康达医院骨科-刘心万 10:58


@刘世峰 广东风格喜欢夹板一些,石膏不利于观察,而且调整不方便


王志刚(滨州医学院附属医院) 10:58


@美德瑞关节中心——刘心万 [强][强][强]


张涛庆阳市红十字会骨科医院 10:59


聚酯石膏怎么打6岁孩子的尺桡骨双骨折,就给手术了?外固定架外面还打石膏?_https://www.jmylbn.com_新闻资讯_第41张


聚酯石膏怎么打6岁孩子的尺桡骨双骨折,就给手术了?外固定架外面还打石膏?_https://www.jmylbn.com_新闻资讯_第42张


解放军第一医院李国海 10:59


@美德瑞关节中心——刘心万 [强][强][强]漂亮


洮河刀客 10:59


@解放军第一医院 李国海 @张耀武 新疆自治区中医医院 学习了。


普宁市康达医院骨科-刘心万 10:59


@王志刚 滨州医学院附属医院 桡骨远端真正需要手术的不多


张涛庆阳市红十字会骨科医院 10:59


我也发一个,石膏固定


刘世峰--东莞八院骨科 11:00


@美德瑞关节中心——刘心万 佛山精髓,…佛山无影脚[捂脸]


张涛庆阳市红十字会骨科医院 11:00


感觉夹板麻烦,需要每天观察松紧度,

石膏方便


洛阳正骨医院手法正骨研究治疗中心 11:01


聚酯石膏怎么打6岁孩子的尺桡骨双骨折,就给手术了?外固定架外面还打石膏?_https://www.jmylbn.com_新闻资讯_第43张


普宁市康达医院骨科-刘心万 11:01


@刘世峰 中医这块广东还是发扬的不错


张涛庆阳市红十字会骨科医院 11:02


@解放军第一医院 李国海 [握手]


普宁市康达医院骨科-刘心万 11:02


@洛阳正骨医院 薛继强 薛主任这个片子位置不是很好,后面又调整了


普宁市康达医院骨科-刘心万 11:02


掌倾不够


洛阳正骨医院手法正骨研究治疗中心 11:02


@美德瑞关节中心——刘心万 刘主任这夹板也太袖珍了吧?成人的用完了?


解放军第一医院李国海 11:03


@张涛庆阳市骨科医院 现在在哪里?


普宁市康达医院骨科-刘心万 11:04


@洛阳正骨医院 薛继强 这是临时固定的夹板


黎明 11:06


@美德瑞关节中心——刘心万 @张涛庆阳市骨科医院 漂亮[强][强][强]


刘世峰--东莞八院骨科 11:08


夹板固定呢,多数会外敷中药。每天更换,消肿止痛效果好


刘世峰--东莞八院骨科 11:09


我一天门诊,多的时候开六十付中药膏, 虽然我是西医[捂脸]


普宁市康达医院骨科-刘心万 11:09


@刘世峰 是的,黄药水效果不错,另外单独的蜂蜜纱条也可以


西域愚人 11:11


@西京骨科马真胜 马主任,您谦虚了[呲牙]


解放军第一医院李国海 11:12


这种上板的我遇到好几个


聚酯石膏怎么打6岁孩子的尺桡骨双骨折,就给手术了?外固定架外面还打石膏?_https://www.jmylbn.com_新闻资讯_第44张


西域愚人 11:13


@美德瑞关节中心——刘心万 刘主任,博学多知👍


西域愚人 11:14


@解放军第一医院 李国海 @刘世峰 小夹板固定的病人最怕病人不来复诊[偷笑]


张涛庆阳市红十字会骨科医院 11:15


各位老师看看这个病人男50岁,伤后1周,


聚酯石膏怎么打6岁孩子的尺桡骨双骨折,就给手术了?外固定架外面还打石膏?_https://www.jmylbn.com_新闻资讯_第45张


聚酯石膏怎么打6岁孩子的尺桡骨双骨折,就给手术了?外固定架外面还打石膏?_https://www.jmylbn.com_新闻资讯_第46张


聚酯石膏怎么打6岁孩子的尺桡骨双骨折,就给手术了?外固定架外面还打石膏?_https://www.jmylbn.com_新闻资讯_第47张


聚酯石膏怎么打6岁孩子的尺桡骨双骨折,就给手术了?外固定架外面还打石膏?_https://www.jmylbn.com_新闻资讯_第48张


普宁市康达医院骨科-刘心万 11:16


@张耀武 新疆自治区中医医院 您过奖了,在广东学习了很多内地没见过的知识


解放军第一医院李国海 11:16


@张涛庆阳市骨科医院 你这个年龄多大?


张涛庆阳市红十字会骨科医院 11:17


病人拒绝手术,我也不想做。这个病历,现在这样石膏固定可否,男50岁。


刘世峰--东莞八院骨科 11:17


@张耀武 新疆自治区中医医院 石膏也要消肿后及时更换,尤其是桡骨远端


解放军第一医院李国海 11:18


@张涛庆阳市骨科医院 我认为。不行。这个有手术指征


黎明 11:19


桡骨短缩明显,关节面复位不好,才五十岁,手术好一点


张涛庆阳市红十字会骨科医院 11:23


@解放军第一医院 李国海 

@王浩~息县人民医院 

明白


王志刚(滨州医学院附属医院) 12:43


@张涛庆阳市骨科医院 这个需要手术,背侧塌陷,掌倾角小,下尺桡也会有问题。


--------------------------------

海军总医院骨科侯黎升教授于2021年7月25日私信发给我他曾经处理过的几个病例:

  

这是侯黎升教授2020年5月份处理的一个患者。疫情期间,左腕部摔伤后4周才来就诊。来诊时左腕部呈旋前掌屈畸形,下尺桡关节脱位,尺骨茎突向背侧隆起,骨折部位压痛已经不明显。X片提示桡骨远端粉碎骨折波及关节面,不除外掌侧Barton骨折块,桡骨关节面短缩,下尺桡关节脱位。主被动前臂旋后动作不能。即使开放手术难度亦很大,难保效果。采取局麻下手法复位,将原有骨折块掰断,按Smith骨折进行手法复位,背伸尺偏位固定。术后CT证实骨折对位基本理想,桡骨短缩纠正。同时见到患者未累及关节面的粉碎骨折,掌侧确有Barton骨折块,同时见到有骨缺损。可以预见的是,开放复位难以实施有效内固定。能通过手法复位达到此程度确属不易。希望石膏能起到有效固定不发生移位...同时可疑舟状骨骨折,希望通过石膏固定达到愈合...前辈们流传下来的复位基本功确有必要掌握..


聚酯石膏怎么打6岁孩子的尺桡骨双骨折,就给手术了?外固定架外面还打石膏?_https://www.jmylbn.com_新闻资讯_第49张


聚酯石膏怎么打6岁孩子的尺桡骨双骨折,就给手术了?外固定架外面还打石膏?_https://www.jmylbn.com_新闻资讯_第50张


聚酯石膏怎么打6岁孩子的尺桡骨双骨折,就给手术了?外固定架外面还打石膏?_https://www.jmylbn.com_新闻资讯_第51张


聚酯石膏怎么打6岁孩子的尺桡骨双骨折,就给手术了?外固定架外面还打石膏?_https://www.jmylbn.com_新闻资讯_第52张


聚酯石膏怎么打6岁孩子的尺桡骨双骨折,就给手术了?外固定架外面还打石膏?_https://www.jmylbn.com_新闻资讯_第53张

上面这个病例是高天君主任提供给侯黎升教授的,当时高主任没在北京,然后交给侯黎升教授来处理。

 

下面这个病例依旧是侯黎升教授处理,据侯黎升教授回忆说:“下面是第二个病例,是急诊外伤的一个桡骨远端骨折。也是俩家医院建议手术。后来高主任让我尝试先手法复位,他也没在北京,复位的也还可以”


聚酯石膏怎么打6岁孩子的尺桡骨双骨折,就给手术了?外固定架外面还打石膏?_https://www.jmylbn.com_新闻资讯_第54张


聚酯石膏怎么打6岁孩子的尺桡骨双骨折,就给手术了?外固定架外面还打石膏?_https://www.jmylbn.com_新闻资讯_第55张


聚酯石膏怎么打6岁孩子的尺桡骨双骨折,就给手术了?外固定架外面还打石膏?_https://www.jmylbn.com_新闻资讯_第56张


聚酯石膏怎么打6岁孩子的尺桡骨双骨折,就给手术了?外固定架外面还打石膏?_https://www.jmylbn.com_新闻资讯_第57张


------------------------------

鄱阳县人民医院叶强医生7月25日晚上提供的病例


聚酯石膏怎么打6岁孩子的尺桡骨双骨折,就给手术了?外固定架外面还打石膏?_https://www.jmylbn.com_新闻资讯_第58张


聚酯石膏怎么打6岁孩子的尺桡骨双骨折,就给手术了?外固定架外面还打石膏?_https://www.jmylbn.com_新闻资讯_第59张


聚酯石膏怎么打6岁孩子的尺桡骨双骨折,就给手术了?外固定架外面还打石膏?_https://www.jmylbn.com_新闻资讯_第60张


---------------------------

戴功夫医生7月26日晚上提供两例使用中医小夹板治疗的尺桡骨双骨折病例


病例1. 患儿男, 6岁 前图1-4片子是伤后1小时,图5-6是伤后半个月,图7-8是伤后5个月。


聚酯石膏怎么打6岁孩子的尺桡骨双骨折,就给手术了?外固定架外面还打石膏?_https://www.jmylbn.com_新闻资讯_第61张

图1. 伤后1小时手法复位前。


聚酯石膏怎么打6岁孩子的尺桡骨双骨折,就给手术了?外固定架外面还打石膏?_https://www.jmylbn.com_新闻资讯_第62张

图2. 伤后1小时手法复位前。


聚酯石膏怎么打6岁孩子的尺桡骨双骨折,就给手术了?外固定架外面还打石膏?_https://www.jmylbn.com_新闻资讯_第63张

图3. 伤后1小时手法复位小夹板外固定后。


聚酯石膏怎么打6岁孩子的尺桡骨双骨折,就给手术了?外固定架外面还打石膏?_https://www.jmylbn.com_新闻资讯_第64张

图4. 伤后1小时,小夹板外固定后。


聚酯石膏怎么打6岁孩子的尺桡骨双骨折,就给手术了?外固定架外面还打石膏?_https://www.jmylbn.com_新闻资讯_第65张

图5. 伤后半个月复查。


聚酯石膏怎么打6岁孩子的尺桡骨双骨折,就给手术了?外固定架外面还打石膏?_https://www.jmylbn.com_新闻资讯_第66张

图6. 伤后半个月复查。


聚酯石膏怎么打6岁孩子的尺桡骨双骨折,就给手术了?外固定架外面还打石膏?_https://www.jmylbn.com_新闻资讯_第67张

图7. 伤后5个月复查。


聚酯石膏怎么打6岁孩子的尺桡骨双骨折,就给手术了?外固定架外面还打石膏?_https://www.jmylbn.com_新闻资讯_第68张

图8. 伤后5个月复查。


病例2. 没有提供具体患者性别和年龄,为尺桡骨中段双骨折。


聚酯石膏怎么打6岁孩子的尺桡骨双骨折,就给手术了?外固定架外面还打石膏?_https://www.jmylbn.com_新闻资讯_第69张

图1. 骨折后,复位前。尺桡骨正位片。


聚酯石膏怎么打6岁孩子的尺桡骨双骨折,就给手术了?外固定架外面还打石膏?_https://www.jmylbn.com_新闻资讯_第70张

图2. 骨折后,复位前,尺桡骨侧位片。


聚酯石膏怎么打6岁孩子的尺桡骨双骨折,就给手术了?外固定架外面还打石膏?_https://www.jmylbn.com_新闻资讯_第71张

图3. 手法复位后小夹板外固定,尺桡骨侧位片。 


聚酯石膏怎么打6岁孩子的尺桡骨双骨折,就给手术了?外固定架外面还打石膏?_https://www.jmylbn.com_新闻资讯_第72张

图4. 手法复位后,小夹板外固定,尺桡骨正位片。


聚酯石膏怎么打6岁孩子的尺桡骨双骨折,就给手术了?外固定架外面还打石膏?_https://www.jmylbn.com_新闻资讯_第73张

图5. 骨折愈合后尺桡骨正位片,虽有残余畸形,但功能良好。


聚酯石膏怎么打6岁孩子的尺桡骨双骨折,就给手术了?外固定架外面还打石膏?_https://www.jmylbn.com_新闻资讯_第74张

图6. 骨愈合后尺桡骨侧位片。功能良好。