联影磁共振怎么样县妇保院引进联影1.5T超导高端磁共振

新闻资讯2026-04-21 22:42:45
联影磁共振怎么样县妇保院引进联影1.5T超导高端磁共振_https://www.jmylbn.com_新闻资讯_第1张

点击蓝字/关注我们

联影磁共振怎么样县妇保院引进联影1.5T超导高端磁共振_https://www.jmylbn.com_新闻资讯_第2张

联影磁共振怎么样县妇保院引进联影1.5T超导高端磁共振_https://www.jmylbn.com_新闻资讯_第3张

目前我院新区引进了联影uMR580超导高端磁共振。该设备是当前最为成熟的磁共振高端检查设备之一,较常规MR信噪比大幅提升,为众多国内大型医院所使用。我院引进的该款设备,配备压缩感知等最新技术,功能先进齐全。该设备配备了目前联影最先进的功能软件包,能够提供高信噪比的图像,除常规部位的平扫、增强外,还能提供全脊柱成像、神经成像、波普分析、脑功能分析、关节软骨分析、神经纤维连接成像、脂肪肝分析、脑灌注成像等。

联影磁共振怎么样县妇保院引进联影1.5T超导高端磁共振_https://www.jmylbn.com_新闻资讯_第4张
联影磁共振怎么样县妇保院引进联影1.5T超导高端磁共振_https://www.jmylbn.com_新闻资讯_第5张

联影磁共振怎么样县妇保院引进联影1.5T超导高端磁共振_https://www.jmylbn.com_新闻资讯_第6张


—()



磁共振检查没有任何辐射,是临床上最为安全的影像检查和诊断方法之一。可在胎儿、胎盘、人体中枢神经系统、腹部、脊柱、全身各关节等部位开展形态学及功能学检查,能提供高清精准的影像诊断信息。

联影磁共振怎么样县妇保院引进联影1.5T超导高端磁共振_https://www.jmylbn.com_新闻资讯_第7张

我院磁共振开展的部分特色项目有:

联影磁共振怎么样县妇保院引进联影1.5T超导高端磁共振_https://www.jmylbn.com_新闻资讯_第8张

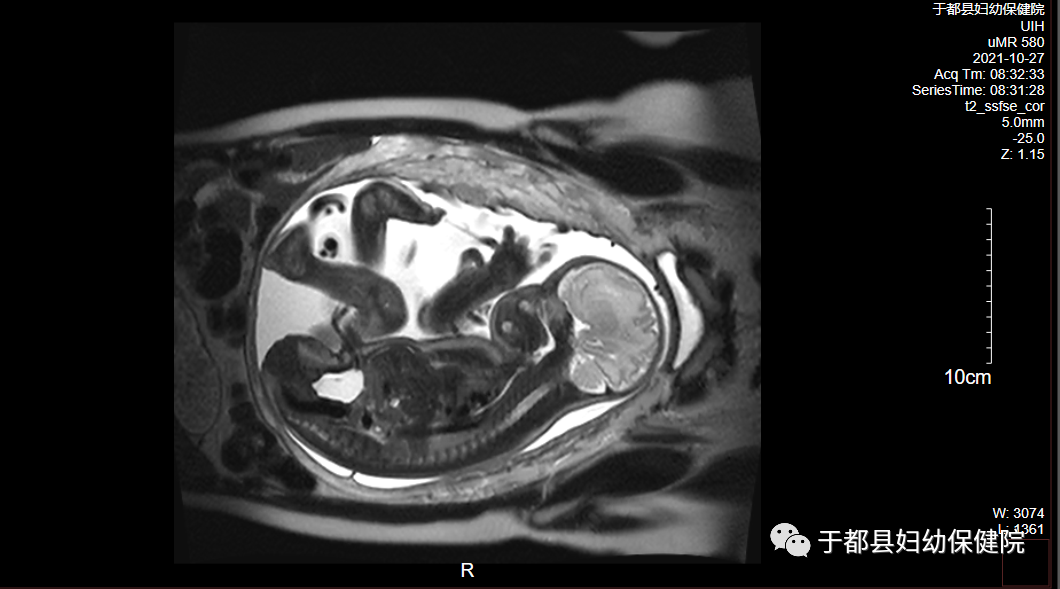
胎儿检查:胎儿磁共振(MR)是除超声检查之外的另一种重要的产前影像学检查方法,产前筛查的重要补充手段。具有良好的软组织及空间分辨率、多平面成像、广阔的视野、无电离辐射损伤等优势。MR不受母体、骨骼及羊水等影响,对胎儿各系统,尤其是中枢神经系统解剖结构及病变的显示明显优于超声;其次MR对胎儿组织的定性较好,可对胎儿病变诊断提供更多的信息。MR与超声检查有互补作用,两者相结合,能提高诊断率。

联影磁共振怎么样县妇保院引进联影1.5T超导高端磁共振_https://www.jmylbn.com_新闻资讯_第9张

联影磁共振怎么样县妇保院引进联影1.5T超导高端磁共振_https://www.jmylbn.com_新闻资讯_第8张

胎盘植入:不受患者体重及胎盘位置的影响,可以更好地观察胎盘、确定胎盘植入程度,有助于临床选择合适的治疗手段。

联影磁共振怎么样县妇保院引进联影1.5T超导高端磁共振_https://www.jmylbn.com_新闻资讯_第8张

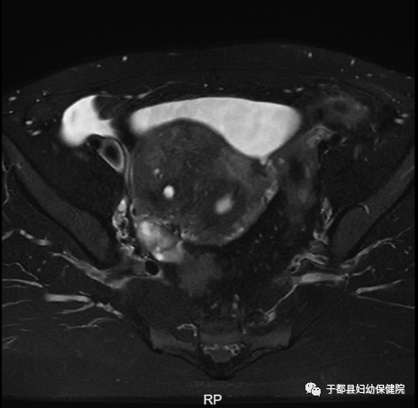
妇科检查:
磁共振(MR)成像无电离辐射、组织分辨率高、能多平面多参数成像,在显示女性盆腔解剖及疾病方面较超声和CT更具准确性和特异性。


子宫肌瘤:
不仅能显示肌瘤的大小、数目,且能清晰显示肌瘤在子宫的位置、与子宫肌层及与邻近器官和组织的关系。


子宫腺肌症:
结合带增厚是腺肌症特征性表现之一,可以准确区分子宫内膜、结合带和外肌层,对病变的显示具有明显优于其他检查。

联影磁共振怎么样县妇保院引进联影1.5T超导高端磁共振_https://www.jmylbn.com_新闻资讯_第12张

联影磁共振怎么样县妇保院引进联影1.5T超导高端磁共振_https://www.jmylbn.com_新闻资讯_第13张

联影磁共振怎么样县妇保院引进联影1.5T超导高端磁共振_https://www.jmylbn.com_新闻资讯_第14张
联影磁共振怎么样县妇保院引进联影1.5T超导高端磁共振_https://www.jmylbn.com_新闻资讯_第8张

子宫切口妊娠:
可清晰显示孕囊与疤痕的关系孕囊大小、孕囊植入情况等。

联影磁共振怎么样县妇保院引进联影1.5T超导高端磁共振_https://www.jmylbn.com_新闻资讯_第8张

宫颈癌:
有助于疾病诊断、分期、疗效评估、疾病复发及治疗后改变。

联影磁共振怎么样县妇保院引进联影1.5T超导高端磁共振_https://www.jmylbn.com_新闻资讯_第8张

子宫内膜癌:
能明确病灶的部位、大小及范围,显示结合带的完整性和连续性、肌层浸润深度及邻近侵犯情况,显示淋巴结转移、盆腔外播散和远处转移,是子宫内膜癌分期最佳的影像学方法。

联影磁共振怎么样县妇保院引进联影1.5T超导高端磁共振_https://www.jmylbn.com_新闻资讯_第8张

卵巢肿瘤、卵巢癌:

有利于肿块的发现、来源的判断及组织成分的确定,从而有助于肿块的定性诊断,另外还能发现腹水、腹腔的种植性转移、淋巴结转移和邻近结构的直接侵犯。

联影磁共振怎么样县妇保院引进联影1.5T超导高端磁共振_https://www.jmylbn.com_新闻资讯_第8张

高危儿、儿童颅脑检查:
  MR的多方位、多参数、多轴倾斜切层对中枢神经系统病变的定位定性诊断极其优越,颅脑MR检查无颅骨伪影,脑灰白质信号对比度高,使得颅脑MR检查明显优于其他检查,如:早产儿、新生儿脑损伤、脑肿瘤、脑发育异常等。

联影磁共振怎么样县妇保院引进联影1.5T超导高端磁共振_https://www.jmylbn.com_新闻资讯_第20张

新区放射科联系电话:0797-6279285

联影磁共振怎么样县妇保院引进联影1.5T超导高端磁共振_https://www.jmylbn.com_新闻资讯_第21张

联影磁共振怎么样县妇保院引进联影1.5T超导高端磁共振_https://www.jmylbn.com_新闻资讯_第22张

联影磁共振怎么样县妇保院引进联影1.5T超导高端磁共振_https://www.jmylbn.com_新闻资讯_第23张

文|兰石福  编辑|温泉  审核|黄学华

联影磁共振怎么样县妇保院引进联影1.5T超导高端磁共振_https://www.jmylbn.com_新闻资讯_第24张