联影磁共振怎么样【三级医院创建 • 技术装备提升】再添医学影像“利器”——我院引进联影uMR870 3.0T磁共振

新闻资讯2026-04-21 22:42:22
联影磁共振怎么样【三级医院创建 • 技术装备提升】再添医学影像“利器”——我院引进联影uMR870  3.0T磁共振_https://www.jmylbn.com_新闻资讯_第1张



三级医院创建技术装备提


导语

为推进高水平医院建设,更好地满足广大人民群众的医疗服务需求,近年来,西乡县人民医院坚持以患者为中心,以创建三级医院为抓手,不断加强人才队伍、学科能力建设,在积极开展新技术、新项目的基础上,大力引进先进的医疗设备,使我院医疗诊断水平又迈上了新的台阶。

再添医学影像“利器”

——我院引进联影uMR870  3.0T磁共振


联影磁共振怎么样【三级医院创建 • 技术装备提升】再添医学影像“利器”——我院引进联影uMR870  3.0T磁共振_https://www.jmylbn.com_新闻资讯_第2张

近日,西乡县人民医院率先在全省县级医院中引进高端磁共振设备——联影uMR870  3.0T磁共振该设备可以提供丰富的影像诊断信息,是目前临床上最先进、最重要的辅助检查之一,具备无辐射精准高效及软组织分辨率高等多项优势。显著提升了医院临床诊疗技术水平,大大缩短患者的预约就诊时间,明显改善患者的就诊体验。

联影磁共振怎么样【三级医院创建 • 技术装备提升】再添医学影像“利器”——我院引进联影uMR870  3.0T磁共振_https://www.jmylbn.com_新闻资讯_第3张
联影磁共振怎么样【三级医院创建 • 技术装备提升】再添医学影像“利器”——我院引进联影uMR870  3.0T磁共振_https://www.jmylbn.com_新闻资讯_第4张


科 普 时 间

联影uMR780 3.0T磁共振

联影磁共振怎么样【三级医院创建 • 技术装备提升】再添医学影像“利器”——我院引进联影uMR870  3.0T磁共振_https://www.jmylbn.com_新闻资讯_第2张

“3.0”T 什么意思?

联影磁共振怎么样【三级医院创建 • 技术装备提升】再添医学影像“利器”——我院引进联影uMR870  3.0T磁共振_https://www.jmylbn.com_新闻资讯_第6张

“T”代表特斯拉,是MRI中磁体强度的测量单位。数值越高代表磁场强度越大,MR扫描仪可以从身体捕获的信号更多更强的信号,图像对比度及分辨率会更好。

3.0T磁共振是目前世界上最先进的磁共振系统。

3.0T磁共振与传统CT相比:

联影磁共振怎么样【三级医院创建 • 技术装备提升】再添医学影像“利器”——我院引进联影uMR870  3.0T磁共振_https://www.jmylbn.com_新闻资讯_第6张

①无放射性危害;

②可直接显示人体冠、矢状位及任何层面图像,使病变显示的更全面;

③获得人体组织参数更多,为诊断提供更多的参考信息;

④软组织分辨率更高,对病变细节显示更清晰;

⑤解决了CT扫描的对后颅窝等部位的盲区问题;

⑥无需注射对比剂,即可行血管成像。  

3.0T磁共振与1.5T磁共振相比:

联影磁共振怎么样【三级医院创建 • 技术装备提升】再添医学影像“利器”——我院引进联影uMR870  3.0T磁共振_https://www.jmylbn.com_新闻资讯_第8张

①更高的信噪比,使得图像质量更高,速度更快,显示小病灶的能力更强;

②更好的心血管、骨关节、水成像、类PET扫描等优势;

③更加细腻的DTI成像,更客观的脑功能成像,更实用的FLAIR、SWI成像。

联影uMR870 3.0T磁共振优势:

联影磁共振怎么样【三级医院创建 • 技术装备提升】再添医学影像“利器”——我院引进联影uMR870  3.0T磁共振_https://www.jmylbn.com_新闻资讯_第8张
联影磁共振怎么样【三级医院创建 • 技术装备提升】再添医学影像“利器”——我院引进联影uMR870  3.0T磁共振_https://www.jmylbn.com_新闻资讯_第10张

联影uMR870 3.0T磁共振系统是业内顶尖科研型磁共振之一,全新的uAIFI类脑平台和业界独有的ACS智能百秒成像技术,可实现超薄快速智能成像细微病变显示没有任何电离辐射,是临床上最为安全的影像检查和诊断方法,软组织分辨率高,可对神经系统、脊柱、腹部、盆腔、关节、乳腺、心脏等全身各部位开展形态学及功能学成像,提供高清、精准的影像诊断信息,具有比1.5T磁共振更大的优势

联影磁共振怎么样【三级医院创建 • 技术装备提升】再添医学影像“利器”——我院引进联影uMR870  3.0T磁共振_https://www.jmylbn.com_新闻资讯_第11张
联影磁共振怎么样【三级医院创建 • 技术装备提升】再添医学影像“利器”——我院引进联影uMR870  3.0T磁共振_https://www.jmylbn.com_新闻资讯_第12张

智能感应

联影磁共振怎么样【三级医院创建 • 技术装备提升】再添医学影像“利器”——我院引进联影uMR870  3.0T磁共振_https://www.jmylbn.com_新闻资讯_第13张

智能定位

联影磁共振怎么样【三级医院创建 • 技术装备提升】再添医学影像“利器”——我院引进联影uMR870  3.0T磁共振_https://www.jmylbn.com_新闻资讯_第14张

智能深度重建



应用领域及适用人群

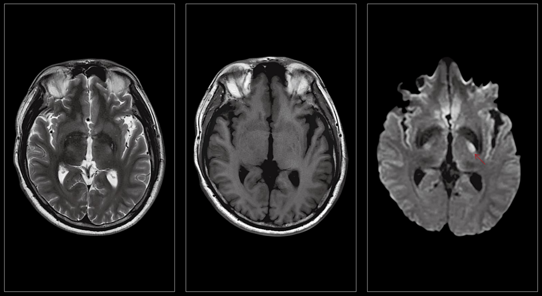
1、神经系统病变

联影磁共振怎么样【三级医院创建 • 技术装备提升】再添医学影像“利器”——我院引进联影uMR870  3.0T磁共振_https://www.jmylbn.com_新闻资讯_第15张

对脑梗塞、脑肿瘤、炎症、先天畸形、外伤、头颈血管壁高分辨率成像及功能成像更清晰,对病变的定位、定性诊断更准确、更及时,可发现早期病变。

联影磁共振怎么样【三级医院创建 • 技术装备提升】再添医学影像“利器”——我院引进联影uMR870  3.0T磁共振_https://www.jmylbn.com_新闻资讯_第16张

急性脑梗塞

联影磁共振怎么样【三级医院创建 • 技术装备提升】再添医学影像“利器”——我院引进联影uMR870  3.0T磁共振_https://www.jmylbn.com_新闻资讯_第17张

头颈部动脉成像


2、心血管系统:

联影磁共振怎么样【三级医院创建 • 技术装备提升】再添医学影像“利器”——我院引进联影uMR870  3.0T磁共振_https://www.jmylbn.com_新闻资讯_第15张

用于血管闭塞、心脏病、心肌病、心包肿瘤、心包积液以及附壁血栓、内膜片的剥离等的诊断;纵膈内的肿物、淋巴结以及胸膜病变等,可以显示肺内团块与较大气管和血管的关系等。


3、腹部器官

联影磁共振怎么样【三级医院创建 • 技术装备提升】再添医学影像“利器”——我院引进联影uMR870  3.0T磁共振_https://www.jmylbn.com_新闻资讯_第15张

腹部良、恶性肿瘤的诊断与鉴别诊断,可以进行脂肪定量成像、磁敏感成像、腹部大血管高分辨率成像。

联影磁共振怎么样【三级医院创建 • 技术装备提升】再添医学影像“利器”——我院引进联影uMR870  3.0T磁共振_https://www.jmylbn.com_新闻资讯_第20张

十二指肠壶腹部占位


4、盆腔脏器

联影磁共振怎么样【三级医院创建 • 技术装备提升】再添医学影像“利器”——我院引进联影uMR870  3.0T磁共振_https://www.jmylbn.com_新闻资讯_第15张

子宫肌瘤、子宫其它肿瘤、卵巢肿瘤,盆腔内包块的定性定位,直肠、前列腺和膀胱的肿物等。


5、骨与关节:

联影磁共振怎么样【三级医院创建 • 技术装备提升】再添医学影像“利器”——我院引进联影uMR870  3.0T磁共振_https://www.jmylbn.com_新闻资讯_第15张

骨内感染、肿瘤、外伤的诊断与病变范围,尤其对一些细微的改变如骨挫伤等有较大价值,关节内软骨、韧带、半月板、滑膜、滑液囊等病变及骨髓病变有较高诊断价值。

联影磁共振怎么样【三级医院创建 • 技术装备提升】再添医学影像“利器”——我院引进联影uMR870  3.0T磁共振_https://www.jmylbn.com_新闻资讯_第23张

骨关节成像


6、全身软组织病变:

联影磁共振怎么样【三级医院创建 • 技术装备提升】再添医学影像“利器”——我院引进联影uMR870  3.0T磁共振_https://www.jmylbn.com_新闻资讯_第15张

无论来源于神经、血管、淋巴管、肌肉、结缔组织的肿瘤、感染、变性病变等,皆可做出较为准确的定位、定性的诊断。

联影磁共振怎么样【三级医院创建 • 技术装备提升】再添医学影像“利器”——我院引进联影uMR870  3.0T磁共振_https://www.jmylbn.com_新闻资讯_第25张

肾上腺常规成像

联影磁共振怎么样【三级医院创建 • 技术装备提升】再添医学影像“利器”——我院引进联影uMR870  3.0T磁共振_https://www.jmylbn.com_新闻资讯_第26张

乳腺常规动态增强

联影磁共振怎么样【三级医院创建 • 技术装备提升】再添医学影像“利器”——我院引进联影uMR870  3.0T磁共振_https://www.jmylbn.com_新闻资讯_第2张




联影磁共振怎么样【三级医院创建 • 技术装备提升】再添医学影像“利器”——我院引进联影uMR870  3.0T磁共振_https://www.jmylbn.com_新闻资讯_第2张

禁忌症及注意事项

具备以下一项或多项情况的患者建议接受磁共振检查:

1、体内有电子植入物者,如带有心脏起搏器神经刺激器胰岛素泵人工耳蜗等;

2、体内有金属异物者,如子弹,碎弹片或铁砂粒等、骨折手术后固定钢板钢钉镙丝人工假肢或关节阴茎假体助听器中耳移植物眼内金属异物义眼活动假牙牙托头面部有植入物等

3、做颈、胸、腰、腹、髋等部位磁共振检查的病人,应先除去有铁钩铁扣拉链的衣裤、内衣、化纤织物、皮带等金属或者含有金属杂质的物品及装饰物品,应身穿纯棉质料的衣裤进行检查为宜;

4、腹部检查患者检查前三天禁服含金属离子类药物,检查前 12小时空腹禁食水摄入

5、危重病人需要使用生命支持系统者轮椅病床等金属材质辅助设施严禁进入。

6、怀孕期者幽闭恐惧症者癫痫患者精神疾病患者,根据病人情况接受磁共振检查;有各种手术史,特别是器官移植心肾手术史的患者需于检查前特别声明,以策安全。

联影磁共振怎么样【三级医院创建 • 技术装备提升】再添医学影像“利器”——我院引进联影uMR870  3.0T磁共振_https://www.jmylbn.com_新闻资讯_第2张



联影磁共振怎么样【三级医院创建 • 技术装备提升】再添医学影像“利器”——我院引进联影uMR870  3.0T磁共振_https://www.jmylbn.com_新闻资讯_第2张

我院为新设备——联影uMR870  3.0T磁共振配置了全新的检查室,室内配备了LED背景墙及立体音响系统,患者进入检查室时,清静安谧的景致映入眼帘、耳旁环绕轻快悠扬的音乐,有助于患者放松心情、缓解紧张,更加舒适地配合检查,贴心为广大病患服务。

联影磁共振怎么样【三级医院创建 • 技术装备提升】再添医学影像“利器”——我院引进联影uMR870  3.0T磁共振_https://www.jmylbn.com_新闻资讯_第31张
联影磁共振怎么样【三级医院创建 • 技术装备提升】再添医学影像“利器”——我院引进联影uMR870  3.0T磁共振_https://www.jmylbn.com_新闻资讯_第32张


联影磁共振怎么样【三级医院创建 • 技术装备提升】再添医学影像“利器”——我院引进联影uMR870  3.0T磁共振_https://www.jmylbn.com_新闻资讯_第2张


地址:

西乡县人民医院新院区

门诊一楼影像中心


咨询电话:

0916-6324311




联影磁共振怎么样【三级医院创建 • 技术装备提升】再添医学影像“利器”——我院引进联影uMR870  3.0T磁共振_https://www.jmylbn.com_新闻资讯_第34张

往期回顾

1、【三级医院创建 • 技术装备提升】数字胃肠检查,让胃肠疾病无处隐藏——我院引进多功能数字透视摄影系统

2、【三级医院创建 • 装备提升】西乡县人民医院引进“读心神探”——飞利浦EPIQ CVx彩色超声诊断系统

3、【三级医院创建 • 装备提升】治疗眩晕有“神器”——西乡县人民医院引进国内先进眩晕诊疗系统

4、【三级医院创建•技术装备提升】显微镜下胃肠镜检查,让早癌无处可逃——我院引进奥林巴斯290电子消化道内镜诊疗系统

5、【三级医院创建•技术装备提升】助力疾病精准诊断——我院引进高端基因检测平台DP-TOF384飞行时间核酸质谱检测系统

6、【三级医院创建 • 技术装备提升】我院引进全球顶尖CT“重器”——原装进口德国西门子双源CT

7、【公告】 西乡县人民医院新院区妇产科、新生儿科病区开诊啦!

8、趁热打 “贴”!西乡县人民医院成人三伏贴、儿童三伏贴开始预约啦!


联影磁共振怎么样【三级医院创建 • 技术装备提升】再添医学影像“利器”——我院引进联影uMR870  3.0T磁共振_https://www.jmylbn.com_新闻资讯_第35张

来       源:宣传科

编       辑:李翔虹

责       编:田   芳

审       核:肖   勇

联影磁共振怎么样【三级医院创建 • 技术装备提升】再添医学影像“利器”——我院引进联影uMR870  3.0T磁共振_https://www.jmylbn.com_新闻资讯_第36张
联影磁共振怎么样【三级医院创建 • 技术装备提升】再添医学影像“利器”——我院引进联影uMR870  3.0T磁共振_https://www.jmylbn.com_新闻资讯_第37张

西乡人民医院微信公众号

联影磁共振怎么样【三级医院创建 • 技术装备提升】再添医学影像“利器”——我院引进联影uMR870  3.0T磁共振_https://www.jmylbn.com_新闻资讯_第38张

西乡人民医院视频号

联影磁共振怎么样【三级医院创建 • 技术装备提升】再添医学影像“利器”——我院引进联影uMR870  3.0T磁共振_https://www.jmylbn.com_新闻资讯_第39张

扫二维码关注我们

觉得好看,请点这里👇