联影ct怎么样科技助力健康丨“全球顶尖超高端”联影天河640层CT启用“满百天”

新闻资讯2026-04-21 22:40:06
联影ct怎么样科技助力健康丨“全球顶尖超高端”联影天河640层CT启用“满百天”_https://www.jmylbn.com_新闻资讯_第1张

近日,我院于2022年2月24日正式落地启用的“目前全球顶尖的超高端CT”——联影天河640层CT已投用“满百天”。该设备广泛应用于中枢神经系统、心血管系统、骨关节及肌肉系统、颈部、胸部、腹部、盆腔等部位疾病的诊断,尤其对脑卒中、心血管疾病、肺小结节、恶性肿瘤等病变的精准诊断有突出价值。


投用后,天河640层CT迅速成为我院主力机型,扫描类型涉及冠脉CTA、冠脉联合多部位CTA、全脑灌注、多部位CTA、多部位增强、急诊大范围扫描、结石成分分析、低剂量肺部体检等。总检查量已累计突破15000个部位,其中冠脉CTA检查已超500人次。


联影ct怎么样科技助力健康丨“全球顶尖超高端”联影天河640层CT启用“满百天”_https://www.jmylbn.com_新闻资讯_第2张


该机融合当今全球CT领域顶尖科技于一身,结合前沿AI人工智能技术的应用,代表了CT设备制造领域最先进的技术水平。


业内最宽:

16厘米探测器

联影ct怎么样科技助力健康丨“全球顶尖超高端”联影天河640层CT启用“满百天”_https://www.jmylbn.com_新闻资讯_第3张

业内最快:

0.25秒/圈机架转速

联影ct怎么样科技助力健康丨“全球顶尖超高端”联影天河640层CT启用“满百天”_https://www.jmylbn.com_新闻资讯_第4张

业内最多:

320排探测器排数

联影ct怎么样科技助力健康丨“全球顶尖超高端”联影天河640层CT启用“满百天”_https://www.jmylbn.com_新闻资讯_第3张

业内最大:

82厘米机架孔径

联影ct怎么样科技助力健康丨“全球顶尖超高端”联影天河640层CT启用“满百天”_https://www.jmylbn.com_新闻资讯_第3张

业内最智能:

天眼定位、一键提取血管


天河640层CT

出色的临床应用领域:


超清图像质量——细微中发现病变

微辐射剂量——解除您的后顾之忧

全速急诊扫描——抢救生命争分夺秒

4D一站式卒中检查——立体直观全脑覆盖

超高速无限制心脏成像——单心动周期成像

能谱CT——肿瘤病变分析、结石成分分析


1

无限制心脏成像

天河640的宽体探测器单圈扫描即可覆盖全心脏,搭配业内最快机架转速和独家AI冠脉追焦技术,可实现单心动周期内无限心率的冠脉成像,不管是对于严重心律不齐、房颤、房扑,还是超高心率等一般CT做不了的心脏检查的情况,天河640都能在单心动周期内获得优质图像。在获得优异图像质量的同时,较常规CT降低了70%-90%的辐射剂量。


联影ct怎么样科技助力健康丨“全球顶尖超高端”联影天河640层CT启用“满百天”_https://www.jmylbn.com_新闻资讯_第7张
联影ct怎么样科技助力健康丨“全球顶尖超高端”联影天河640层CT启用“满百天”_https://www.jmylbn.com_新闻资讯_第8张
联影ct怎么样科技助力健康丨“全球顶尖超高端”联影天河640层CT启用“满百天”_https://www.jmylbn.com_新闻资讯_第9张

图片说明:高心率(90次/分钟)冠状动脉CTA,成像质量同样优秀。


2

4D一站式卒中检查

天河640可实现单圈扫描的全脑覆盖成像。采用宽体采集进行头部平扫、动态CTA及CTP成像,一次检查即可获得全脑平扫图像、动静脉造影图像和灌注图像。结合集成脑灌注分析、4D动静脉动态评估等高级后处理手段,不仅可应用于急诊缺血性脑卒中的影像评估,还可助力脑血管畸形、脑动脉瘤等其他脑血管病的结构和功能评估。


联影ct怎么样科技助力健康丨“全球顶尖超高端”联影天河640层CT启用“满百天”_https://www.jmylbn.com_新闻资讯_第10张
联影ct怎么样科技助力健康丨“全球顶尖超高端”联影天河640层CT启用“满百天”_https://www.jmylbn.com_新闻资讯_第11张
联影ct怎么样科技助力健康丨“全球顶尖超高端”联影天河640层CT启用“满百天”_https://www.jmylbn.com_新闻资讯_第12张

图片说明:颅脑血管成像及脑卒中灌注成像


3

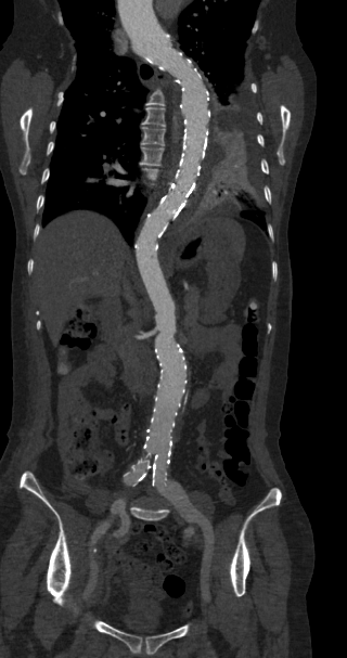
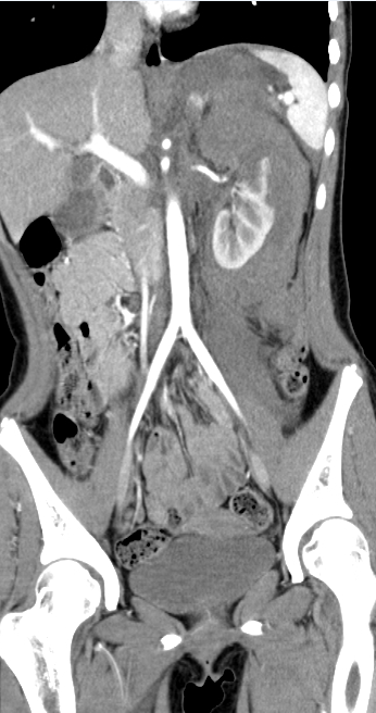
大范围低剂量CTA成像

采用业内最先进液态金属轴承技术的超大热容量球管,结合独有的低千伏、低毫安成像模式,天河640可实现冠脉、主动脉、下肢动脉等全身各部位大范围扫描、微辐射剂量的检查。低千伏扫描模式有效降低辐射剂量、对比剂总量、对比剂浓度、对比剂注射速率,降低肾功能不全受检者增强检查风险、减少对比剂外渗风险、并可大幅度提升增强检查碘对比剂对比度,提升强化效果;同时,系统还可根据不同患者体型和扫描协议自动推荐扫描管电压,在降低患者扫描剂量的同时,优化对比度噪声比。


联影ct怎么样科技助力健康丨“全球顶尖超高端”联影天河640层CT启用“满百天”_https://www.jmylbn.com_新闻资讯_第13张
联影ct怎么样科技助力健康丨“全球顶尖超高端”联影天河640层CT启用“满百天”_https://www.jmylbn.com_新闻资讯_第14张

图片说明:肺动脉+主动脉全程+下肢动脉大范围一次扫描成像。


4

全速急诊方案

针对胸痛、脑出血、外伤、急腹症等多种急诊检查场景,天河640层CT提供全速急诊方案,检查时间最短化,图像评估直观化,为抢救生命争分夺秒。0.25秒/圈的机架转速为业内最快。


联影ct怎么样科技助力健康丨“全球顶尖超高端”联影天河640层CT启用“满百天”_https://www.jmylbn.com_新闻资讯_第15张
联影ct怎么样科技助力健康丨“全球顶尖超高端”联影天河640层CT启用“满百天”_https://www.jmylbn.com_新闻资讯_第16张

图片说明:急诊外伤胸部腹部骨盆扫描时间4.5秒完成。


5

智能化、丰富的图像后处理软件

天河640层CT搭配前沿的AI人工智能技术,一键提取血管,观察病变立体直观。痛风石能谱成像、泌尿系结石成份分析助力临床治疗方案选择。


联影ct怎么样科技助力健康丨“全球顶尖超高端”联影天河640层CT启用“满百天”_https://www.jmylbn.com_新闻资讯_第17张
联影ct怎么样科技助力健康丨“全球顶尖超高端”联影天河640层CT启用“满百天”_https://www.jmylbn.com_新闻资讯_第18张

图片说明:肝脏病变3D成像、痛风石能谱成像


随着320排640层CT在我院的投入使用,标志着区域内医学影像诊断已步入超精细化、超低剂量下的高清成像时代,我院将充分发挥其一流的性能,提高工作效率、提升服务品质,为广大患者提供更加高效、优质、精准的服务。


武汉市普仁医院放射科


我院放射科是武汉市重点专科,是武汉市医学会放射分会常委单位。现有主任医师1名,副主任医师3名,硕士研究生5名。

登记预约电话:027-86366092

登记预约时间:7:30-18:00

CT室24小时咨询电话:027-86360074


往期推荐

Previous recommendation

联影ct怎么样科技助力健康丨“全球顶尖超高端”联影天河640层CT启用“满百天”_https://www.jmylbn.com_新闻资讯_第19张
联影ct怎么样科技助力健康丨“全球顶尖超高端”联影天河640层CT启用“满百天”_https://www.jmylbn.com_新闻资讯_第20张
联影ct怎么样科技助力健康丨“全球顶尖超高端”联影天河640层CT启用“满百天”_https://www.jmylbn.com_新闻资讯_第21张