缝线怎么吸收手把手教学:用不可吸收缝线固定小儿锁骨远端

新闻资讯2026-04-21 22:06:12
本文未经授权禁止转

缝线怎么吸收手把手教学:用不可吸收缝线固定小儿锁骨远端_https://www.jmylbn.com_新闻资讯_第1张

▲长按识别二维码优惠报名


告  

远端锁骨骨折很少见,占儿童锁骨骨折<5% 。尽管由于骨膜较厚以及儿童具有快速愈合和重塑的潜力,大多数锁骨骨折采用非手术治疗,但部分移位骨折可能受益于手术干预。有利于手术的因素包括粉碎、移位和缩短。传统上,使用钢板和螺钉结构来减少和治疗这些损伤。然而,据报道,中轴骨折的钢板移除率高达42%,例如,因为在儿科人群中突出和疼痛. 由于这些原因,根据骨折类型,可能会选择避免植入物突出的替代固定方法。


已经在成人中描述了替代固定方法。例如,对于某些骨折模式,已经描述了具有缝合张力带的缝合锚结构。克氏针(K-wire)固定模式在临床后期可移除针,已用于成人和儿童的远远端锁骨骨折、我们描述了一种重型、不可吸收的缝合结构,用于治疗一名15岁男孩的远侧锁骨远端骨折。患者在术后3个月和1年就诊时肩部功能完全恢复,没有报告残疾。


01
案例报告


我们描述了一种用于15岁男孩远端锁骨远端骨折的重型、不可吸收缝合修复技术。他在打长曲棍球时摔倒在左肩上后受伤。内侧节段向后和向下移位大约1轴宽(图1、2和3a )。由于骨折模式类似于RockwoodIV型肩锁关节分离,因此需要手术固定。此外,由于患者接近骨骼成熟,移位程度和较差的重塑潜力也有利于固定。由于锁骨远端骨折的碎片尺寸小且植入物移除率高,我们推荐使用不可吸收缝合线修复。



缝线怎么吸收手把手教学:用不可吸收缝线固定小儿锁骨远端_https://www.jmylbn.com_新闻资讯_第2张

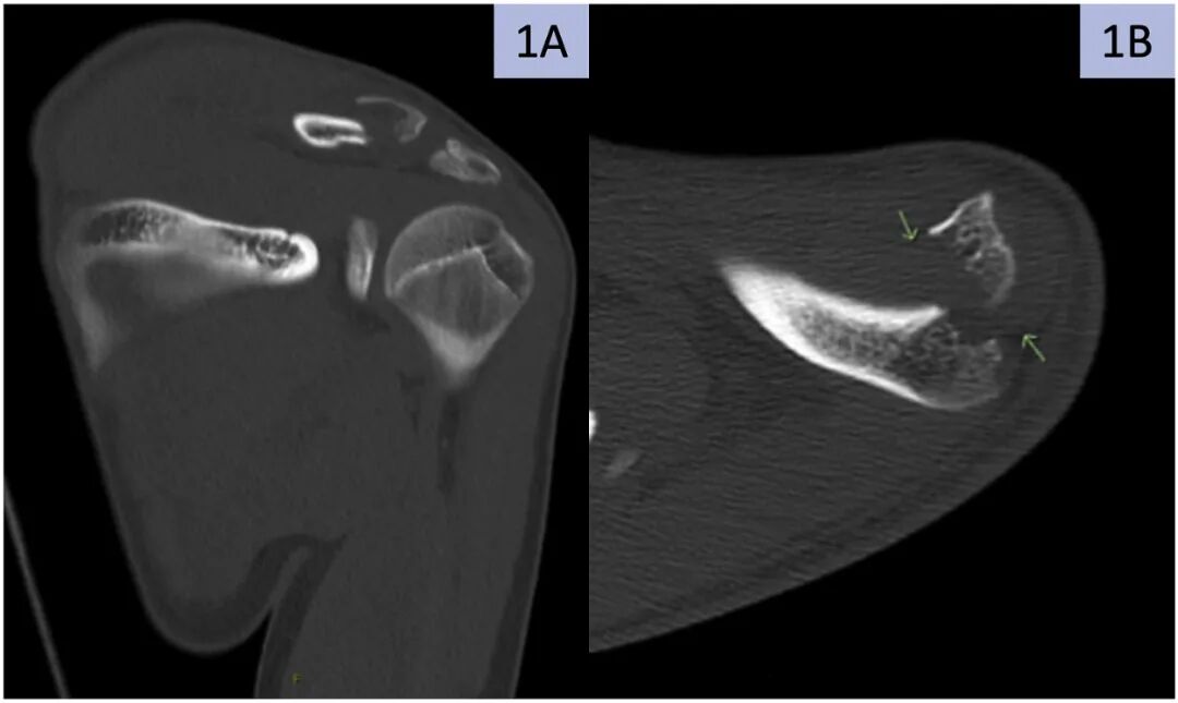
图1。一名15岁男孩跌倒时左侧锁骨远端骨折(箭头)。A)冠状和B)轴向计算机断层扫描。



缝线怎么吸收手把手教学:用不可吸收缝线固定小儿锁骨远端_https://www.jmylbn.com_新闻资讯_第3张

图2。一名15岁男孩左锁骨远端远端骨折的3D重建图,显示A)前视图、B)后视图和C)轴向视图。



缝线怎么吸收手把手教学:用不可吸收缝线固定小儿锁骨远端_https://www.jmylbn.com_新闻资讯_第4张

图3。左锁骨远端远端骨折的缝合固定术中前后位透视图,显示A)切口前的术前图像,B)缝合线通道,以及C)前后位和D)腋窝复位视图。



02
手术步骤



患者被置于沙滩椅位置。在骨折部位的中心做一个4到5厘米的横向纵向切口。通过透视确认切口的位置,并通过术前成像从肩锁关节测量。通过皮下组织和颈阔肌仔细解剖以避免锁骨感觉神经分支后,在斜方肌和三角肌之间形成间隔,确定骨折的内侧边界。内侧轴的骨折端向后卡在斜方肌组织内。



在骨折端的提取和锐器清创后,使用骨膜提升器和Freer提升器将内侧骨干固定到外侧骨折块上。一个尖头复位钳保持初步固定。骨折键入,并通过双平面透视确认减少。使用2毫米克氏针在骨折部位内侧约1.5厘米处(1个前部和1个后部)形成2个上孔。对外侧片段重复此步骤,并注意避免侵犯肩锁关节。



两条2号FiberWire缝合线(Arthrex,Naples,FL,USA)通过这些孔穿过骨折部位,形成8字形结构,并通过透视确认(图3 )。术中复位图像如图4所示。该地点被灌溉,然后分层关闭。



缝线怎么吸收手把手教学:用不可吸收缝线固定小儿锁骨远端_https://www.jmylbn.com_新闻资讯_第5张

图 4 远端锁骨骨折缝合修复术中照片。

星号显示横向片段。白色箭头显示在内侧和外侧碎片中钻孔的位置。两条单独的重缝合线穿过骨头,形成一个八字形结构。


03
总结


手术后


手术后,将手臂置于吊带中6周以避免潜在的移位,并允许肩摆。手术后6周开始进行温和而渐进的活动范围程序。术后3个月,完全愈合(图5),患者表现出完全的力量,正常的轮廓和对侧肢体的平等运动(前屈180,伸展45,外旋和内旋100°和20° 手臂分别外展至90°,内旋至T6)。在1年的随访中,患者肩部功能极佳,Marx肩部评分为1分,满分20分,18分,手臂、肩部和手部残疾(QuickDASH)评分为0分(表明没有残疾)。



缝线怎么吸收手把手教学:用不可吸收缝线固定小儿锁骨远端_https://www.jmylbn.com_新闻资讯_第6张

图5。远端锁骨骨折缝合固定3个月后拍摄的X光片。A)前后位和B)头侧倾斜视图。注意这个时间间隔的完整骨结合。

讨论


在本病例报告中,我们提供了一种简单且资源较少的方法来治疗老年儿科患者的远侧锁骨远端骨折,避免了可能需要第二次手术移除的植入物突出和疼痛的风险。我们的患者在手术后3个月完全恢复功能,放射学愈合。

在分类方面,这种骨折模式被描述为类似于RockwoodIV 型肩锁关节分离或Nenopoulos 2B型锁骨骨折(横向、移位)。两种骨折类型通常都通过手术治疗,尤其是为了达到令人满意的美容效果。所呈现的骨折已在3例儿科病例报告中进行了描述。其他作者已通过克氏针固定或仅通过闭合复位非手术治疗此类损伤. 在每一种情况下,内侧轴都向后移位并卡在斜方肌内,导致肩部轮廓改变和畸形。

总结


重型不可吸收缝合结构可为儿科人群的远侧锁骨远端骨折提供令人满意的结果,而无需进行翻修手术来移除植入物。



参考文献SureshK. Nayar, T. Peter Li, Frederick Mun, Jonathon M. Lentz, R. Jay Lee,

DistalClavicle Fixation with Nonabsorbable Suture in a Pediatric Patient: ACase Report,

JSESReviews, Reports, and Techniques,

2022,

ISSN2666-6391,


本文仅代表作者个人观点,不代表骨今中外官方立场。希望大家理性判断,有针对性地应用。

投稿邮箱:gujinzw@163.com

投稿电话:18031593501(微信同)
缝线怎么吸收手把手教学:用不可吸收缝线固定小儿锁骨远端_https://www.jmylbn.com_新闻资讯_第7张
  • 锁骨远端骨折:这样处理更丝滑~

  • 荐读:还在用钩状钢板治疗锁骨远端骨折?新方法了解一下!

  • 荐读:改良关节镜技术治疗锁骨远端骨折及重建喙锁韧带

  • 荐读:多枚骨圆针治疗不稳定型锁骨远端骨折

  • 荐读:锁骨远端骨折分型及并发症

缝线怎么吸收手把手教学:用不可吸收缝线固定小儿锁骨远端_https://www.jmylbn.com_新闻资讯_第8张

缝线怎么吸收手把手教学:用不可吸收缝线固定小儿锁骨远端_https://www.jmylbn.com_新闻资讯_第9张
点分享
缝线怎么吸收手把手教学:用不可吸收缝线固定小儿锁骨远端_https://www.jmylbn.com_新闻资讯_第10张
点点赞
缝线怎么吸收手把手教学:用不可吸收缝线固定小儿锁骨远端_https://www.jmylbn.com_新闻资讯_第11张
点在看