患者拎着胶片袋子寻医问诊,医生拿着片子反复研究,这是医院里再熟悉不过的场景了。但随着“电子胶片”智慧医疗服务的上线,患者再也不用拎着一大袋胶片和报告到处跑了。
近日,家住朱家角的王先生突然出现腰背部疼痛加剧、活动受限等症状,来到中山医院青浦分院骨科就诊。为了进一步确诊病情,他做了一次腰椎磁共振成像检查。与以往就诊经历不同的是,这次张先生并没有去打印胶片,而是直接用手机扫码就查看到了自己的检查结果和影像资料。“腰椎间盘突出好多年了,一直保守治疗,以前去医院拍片都得要片子,一堆片子放在家里没啥用,沾水就看不了了,高温片子就发黄了,又占地方,但扔了又怕复诊时医生要片子对照看。”王先生表示,“现在不用片子了,只要手机扫一下报告单上的二维码就可以看图像了,携带方便、存储方便,外院会诊更方便!”
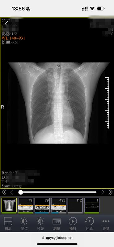
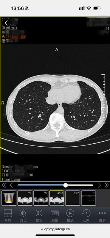
原来,这是中山医院青浦分院为方便百姓就医、优化就诊流程,推出的又一项便民措施——“电子胶片”智慧医疗服务。放射科主任武刚介绍,所谓“电子胶片”,就是患者在中山医院青浦分院做了放射DR、CT、磁共振等检查后,无需再去窗口等待打印传统胶片,用手机、ipad等移动终端扫描报告单上的二维码,检查的影像资料就可以全部在手机上显示,临床医生也可以使用电脑查看影像资料。
电子胶片,不光保存方便,携带方便,医生还能看原始数据。什么叫原始数据?简单地说就是“电子胶片”包含全部图像,支持对图像进行放大缩小、调节明暗等专业操作,能更好地看清病灶,更利于诊断。
“‘电子胶片’是为推进‘便捷就医服务’数字化转型3.0建设,结合智慧医院建设,让患者更好地享受到数字创新带来的便利,‘电子胶片’以数字化服务方式解决传统胶片携带不便的问题。通过‘电子胶片’的分享,让患者自行选择的医疗机构专家医生查看到全量检查数据,做出更精准诊断,减少患者不必要的重复检查,有效提升了患者的就医体验。”中山医院青浦分院信息中心马江华主任介绍。
“电子胶片”获取方法
第一步:打印报告单,微信扫码报告单上的二维码,根据提示进行安全验证查询。
第二步:进入检查界面后点击【影像浏览】


第三步:点击【分享检查】,还能将您的影像报告分享给他人。请注意分享链接的有效时间为12小时。


原标题:《告别“塑料袋+胶片”,中山青浦分院“电子胶片”上线,一起看看它有多强大?》
阅读原文