索诺星超声怎么样【一文盘点】市场主流掌上超声

新闻资讯2026-04-21 21:26:15

索诺星超声怎么样【一文盘点】市场主流掌上超声_https://www.jmylbn.com_新闻资讯_第1张

    自18世纪意大利传教士兼生物学家斯帕兰扎尼首次发现超声波到1942年奥地利Dussik率先使用A型超声波探测颅骨,再到1983年世界第一台彩超SSD-800问世,超声技术和设备已经经历200多年的发展。如今的超声设备已是各式各样,台式机、便携式、笔记本式、平板式还有掌上超声。咱们今天就来盘点一下被成为“可视听诊器”的掌上超声。


       2008年,全球第一款掌上超声---GE Vscan在美国上市,这款尺寸只有135mm×73mm×28mm,外观酷似翻盖手机,重量仅为390克的Vscan掌上彩超随后被美国《时代周刊》和《科技新时代》杂志评为“2009年50项最佳发明”和“2010年100项最佳科技成果”,随后便风靡全球并于2011年进入中国。2015年4月,GE则推出了全新一代具有创新性“二合一”探头的Vscan with Dual Probe,将掌上超声的应用范围扩展到浅表检查,满足了从心脏、腹部到浅表的全面应用。

GE VSCAN&Vscan with Dual probe

索诺星超声怎么样【一文盘点】市场主流掌上超声_https://www.jmylbn.com_新闻资讯_第2张
索诺星超声怎么样【一文盘点】市场主流掌上超声_https://www.jmylbn.com_新闻资讯_第3张


      西门子2012年推出了世界首个配备无线探头的Acuson Freestyle超声系统,在超声行业引起很大轰动。它的出现将掌上超声从有线时代进化到无线时代,从此拉开了掌上超声“无线新时代”!

索诺星超声怎么样【一文盘点】市场主流掌上超声_https://www.jmylbn.com_新闻资讯_第4张

图 / 西门子AcusonFreestyle无线超声

       2017年中国科技部将便携掌式超声列为十三五国家重点研发课题,我国国产掌上超声产品也陆陆续续上市。

      掌上超声的出现,可以帮助临床医生将视野拓展到此前未及之处,能够即时了解病人体内健康状况,更加准确的对病人进行分诊分类,进而简化诊疗流程,提高诊疗质量。无论是位于城市的大型医院,还是地处偏远山村基层诊所,均可用其进行临床、体检、急救以及成批灾害事件的疾病/伤害的检测诊断,这对于提高医疗卫生运行效率、服务水平和质量,满足民众多层次、多样化、低成本的医疗卫生需求具有重要意义。随着掌上超声技术的迭代升级,超声影像呈现越来越清晰,诊断也越来越精准。

 

索诺星超声怎么样【一文盘点】市场主流掌上超声_https://www.jmylbn.com_新闻资讯_第5张

图 / 全球和中国医用超声市场规模

     根据有关机构统计数据表明,2019年全球掌上超声销售额约1亿美元,在全球超声销售额的占比不足2%,随着掌上超声技术的进步和应用场景的拓展,2019年至2023年全球掌上超声销售量复合增长率将高达34.7%;在中国市场,2019年掌上超声医学影像设备市场规模为2700万美元,预计2023年将增长至6800万美元年复合增长率达到25.98%。

    这个看似“蓝海”的市场如今其实也已经想当拥挤,接下来咱们就一起来盘点一下掌上超声市场的主要品牌和产品。


GE医疗


     2019年,GE 全新掌上超声Vscan Extend在中国上市,它跟上一代“二合一”双探头Vscan with Dual probe最大的不同就在于它采用了触摸屏设计能实现对人体深部,例如肝脏、肾脏、心脏和膀胱等,以及浅部,如浅表组织、小器官、肌肉骨骼和外周血管等在内的各种检查;另外,还能从GE Marketplace下载更多临床应用,从而具备很多终端设备的测量功能,“可以将其理解为超声界的APP STORE”。这款超声设备的应用范围能覆盖心内、急诊、ICU、全科,甚至是战地救援,便携式设计让它能作为听诊器的替代品——“看得见的听诊器”——在临床上得到广泛应用。

索诺星超声怎么样【一文盘点】市场主流掌上超声_https://www.jmylbn.com_新闻资讯_第6张

图 /  Vscan EXtend

索诺星超声怎么样【一文盘点】市场主流掌上超声_https://www.jmylbn.com_新闻资讯_第7张
索诺星超声怎么样【一文盘点】市场主流掌上超声_https://www.jmylbn.com_新闻资讯_第8张
索诺星超声怎么样【一文盘点】市场主流掌上超声_https://www.jmylbn.com_新闻资讯_第9张
索诺星超声怎么样【一文盘点】市场主流掌上超声_https://www.jmylbn.com_新闻资讯_第10张
索诺星超声怎么样【一文盘点】市场主流掌上超声_https://www.jmylbn.com_新闻资讯_第11张
索诺星超声怎么样【一文盘点】市场主流掌上超声_https://www.jmylbn.com_新闻资讯_第12张

左右滑动查看更多

    Vscan Air运用无线设计,手机和平板电脑APP支持的掌上无线系统,运用SignalMax技术可提供高强度超声信号,从而实现高质量的谐波成像,医生或者患者通过手机软件即可反映检查结果。安卓系统和iOS系统均可使用尺寸为131mmx64mmx31mm,重量仅205g左右它采用单探头设计,内置两个压电式传感器(piezoelectric transducers)。临床医生可以利用高频线性传感器(linear transducer)进行浅表扫描,或者采用曲面传感器(curved transducer)进行深层扫描,不用更换探头,只需翻转一下即可。


索诺星超声怎么样【一文盘点】市场主流掌上超声_https://www.jmylbn.com_新闻资讯_第13张

图 / Vscan Air(中国暂未上市)


        

西门子医疗

       作为全球领先的医疗解决方案供应商和医疗服务供应商之一西门子医疗,在2012年推出了世界首款无线探头的超声系统AcusonFreestyle,该产品一经推出便轰动世界!它最高可在仪器周边三米范围内稳定工作,并配有可调整图像设置的远程控制按钮。为避免其他设备的干扰,西门子使用其专利技术——8千兆赫超宽射频来传输数据。为了在减少数据传输量的同时又不影响图像质量,无线AcusonFreestyle还采用了合成孔径技术。该技术的运用,使图像中的单个像素一旦传输至仪器控制台后,便可立即聚合成数字图像。

索诺星超声怎么样【一文盘点】市场主流掌上超声_https://www.jmylbn.com_新闻资讯_第14张

图 / 西门子AcusonFreestyle无线超声

 

索诺星超声怎么样【一文盘点】市场主流掌上超声_https://www.jmylbn.com_新闻资讯_第15张

图 / 西门子AcusonFreestyle无线超声探头主要参数 

索诺星超声怎么样【一文盘点】市场主流掌上超声_https://www.jmylbn.com_新闻资讯_第16张

图 / 西门子AcusonFreestyle无线超声图像


飞利浦医疗

      飞利浦便携式超声诊断设备Lumify于2015年年底通过了FDA的审批在美国上市,引起业界轰动。2019年1月,Lumify在中国上市。这款极具创新的Lumify 探头共有三种型号,正是超声的三种基本探头类型——凸阵、线阵、相控阵。不同的探头由于扫面范围不同,可以用于身体不同部位的超声成像。其中:凸阵探头C5-2:用于对腹部、妇产、胆囊和肺部区域检查;线阵探头L12-4:用于肺部、血管、肌肉骨骼、浅表和软组织区域;相控阵探头S4-1:用于腹部、心脏、妇产以及肺部的高分辨率成像


索诺星超声怎么样【一文盘点】市场主流掌上超声_https://www.jmylbn.com_新闻资讯_第17张

图 / Lumify

 

索诺星超声怎么样【一文盘点】市场主流掌上超声_https://www.jmylbn.com_新闻资讯_第18张

图 / Lumify三种探头

      作为飞利浦的首台“迷你”型掌上超声诊断工具,Lumify外形如超声传感器(本身集成了超声传感器和特殊的数据转换电路),可以通过微型USB接口插入智能手机或其它智能终端设备中,并通过终端设备上的一个图像管理的APP进行数据采集——Lumify App可从Google Play上下载,这种APP更可以连接到云端,使数据和成像结果都可以通过飞利浦的HealthSuite数字平台而便捷获取。使用者还可通过飞利浦的定向平台快速更新,以及时获得新功能应用而持续完善自身使用体验。 

飞依诺

     飞依诺成立于2010年,总部位于苏州,是数字化彩超设备和医疗信息化解决方案提供者,是专业从事高端数字化彩色超声诊断仪及其相关技术研发、生产与销售的高新技术企业。作为中国本土超声品牌的后起之秀,他们发布的全球首款IPX7防水级别掌上彩超VINNO Q系列顺利通过NMPA认证(原CFDA认证),且该产品已于2019年底取得欧盟CE认证。

      目前飞依诺掌上彩超VINNO Q系列共有三种探头型号,分别是凸阵、线阵、相控阵,(线阵:59.2*183*27mm;凸阵:59.2*186.9*27mm 相控阵:59.2*186.5*27mm),全系重量低于 350g,全系探头具备卓越的Xcen探头技术采用进口晶体材料,压电转换效率提高85%并依托于海量信息的智能平台,使图像穿透力和分辨力得到大大提高,且利于肥胖病人及深部组织的超声检查和诊断,穿透深度高达38cm,完美解决穿透力的问题。

     同时它“简约而不简单”,它是少有的采用自动优化Vspeckle斑点噪声抑制、二维声束偏转技术、梯形成像技术、全景成像技术、 中位线穿刺引导技术、穿刺针增强技术、左室心内膜自动描记Auto EF等众多高级功能的掌上超声!可实现腹部、妇产科、浅表组织、小器官、外周血管、泌尿科、ICU、麻醉科、急诊、介入等全身应用。

    成熟的超声技术、智能、简约的合理化设计,使之成为手掌式超声家族的佼佼者!

索诺星超声怎么样【一文盘点】市场主流掌上超声_https://www.jmylbn.com_新闻资讯_第19张

图 / VINNO Q

 

图 / VINNO Q详细介绍

 

上海电气.康达

    2019年 上海电气入股上海康达医疗器械集团股份有限公司,彰显了国资制造业产业巨头进入医疗领域的坚定决心,第二年便推出其首款掌上超声iM10(掌睿),注册型号分为iM10C-5, iM10C-3, iM10C-1, iM10L-5, iM10L-3,iM10L-1,整机非常小巧,重量248克,它采用GPU架构及逐点发射聚焦技术,显著提升图像处理能力,提高图像质量。并可随心连接显示终端,手机、平板电脑、笔记本电脑、台式电脑、电视等。    


索诺星超声怎么样【一文盘点】市场主流掌上超声_https://www.jmylbn.com_新闻资讯_第20张

图 / iM10 

    iM10支持二维码扫描新建病人信息来更高效快捷的输入病人信息帮助医生减少输入时间,并且更加准确与全面。针对不同部位个性化参数预设,专机专用,无需重复调节参数,初学者也轻松上手。同时它内涵丰富,具备PW自动测量与评估功能、IMT自动测量与评估功能、脂肪自动测量与评估功能、穿刺针针尖增强功能等高级功能,堪称“掌超界的杠把子”!

PW自动测量及评估功能

索诺星超声怎么样【一文盘点】市场主流掌上超声_https://www.jmylbn.com_新闻资讯_第21张
索诺星超声怎么样【一文盘点】市场主流掌上超声_https://www.jmylbn.com_新闻资讯_第22张


       同时借助智能手机应用和互联网技术,iM10系列掌上超声很好地具备了远程互助等功能,实现基层医疗机构与大型医院之间、普通用户与行业专家之间无缝实时合作交流、资源共享,使分级诊疗更为便利。

图 /iM10详细介绍

 

深圳普博科技有限公司

     深圳市普博科技有限公司成立于2007年7月,是一家集研发、生产、销售为一体的高端医疗器械的国家高新技术企业,公司专著于手术室、ICU、超声等医疗设备及系统集成方案。公司已获得ISO13485国际质量体系认证并入选中国医学装备协会认定的“优秀国产医疗设备产品遴选名单”的国产优秀品牌,产品在国内数百家大型三甲医院及广大医疗机构使用,并远销国外近百个国家和地区。 

索诺星超声怎么样【一文盘点】市场主流掌上超声_https://www.jmylbn.com_新闻资讯_第23张

图 / 深圳普博

      这款 被誉为“临床医生口袋中的视诊助手” 的普博PR363无线掌上超声,整机只有190克,采用的是Type-C接口,充电跟有线数据传输支持正反盲插,传输速度可达10GBit/s,探头采用可插拔声头设计,支持线阵、凸阵,微凸、高频线阵及腔内,同时支持5G,图像在掌超市场非常优异,可谓“无线可视,智能细致”!
索诺星超声怎么样【一文盘点】市场主流掌上超声_https://www.jmylbn.com_新闻资讯_第24张

图 / PR363无线掌上超声

索诺星超声怎么样【一文盘点】市场主流掌上超声_https://www.jmylbn.com_新闻资讯_第25张

图 / PR363专业级超声影像系统

 

广州索诺星

      广州索诺星科技有限公司是一家专业的医疗设备研发、制造、销售公司,致力于把最新、最尖端的科学技术转化为实用型、普及型的医疗设备。公司科研实力雄厚,产品开发能力强。拥有多项发明、实用新型和外观专利,以及软件著作权等知识产权。先后承担了广东省产学研科技计划和广州市创新基金科技计划,另有4个产品先后被认定为广东省高新技术产品,2015年被广东省科技厅等部门认定为高新技术企业,先后获得ISO、CE、FDA等认证。公司为中国超声医学装备协会理事单位,已在行业内具有较高的知名度,产品畅销全球80多个国家。

索诺星超声怎么样【一文盘点】市场主流掌上超声_https://www.jmylbn.com_新闻资讯_第26张

图 / 双探头无线掌上超声

   索诺星双探头掌上超声这个在掌超市场可谓一枝独秀”,整机重量220克,探头尺寸156*60*20mm,支持心脏、腹部、浅表成像,支持无线充电兼容ISO、安卓、Windows等系统设备,使用非常方便。

    索诺星智能无线掌上超声是当今市场上种类最齐全的:线阵、凸阵、双探头、腔内、黑白无线探头等,可以全面满足从私人诊所到基层医疗再到三级医院临床科室、全科医生、远程医疗等众多的应用场景!

索诺星超声怎么样【一文盘点】市场主流掌上超声_https://www.jmylbn.com_新闻资讯_第27张

图 / 种类齐全的无线掌上超声 

索诺星超声怎么样【一文盘点】市场主流掌上超声_https://www.jmylbn.com_新闻资讯_第28张

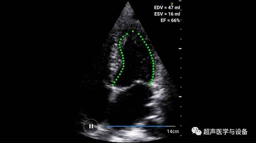
图 / 急诊救治

图 / 媲美高端便携式超声的图像质量


市场繁荣

     目前掌超市场品牌众多,除了上面列举的以外,还有成都思多科、朗昇、武汉中旗、祥生医疗、Butterfly 等等,就不一一列举了。


索诺星超声怎么样【一文盘点】市场主流掌上超声_https://www.jmylbn.com_新闻资讯_第29张

图 / Butterfly掌上超声


结束语

    目前掌上超声市场规模不是很大,但是如今市场上的品牌和产品已经数不胜数;超声的小型化、智能化,无疑已经成为超声发展的一个主流方向之一,随着技术的发展和应用场景的扩展,相信未来超声将逐步走出影像科,走进更多医疗机构,走进更多临床科室,甚至走进千家万户,我们将拭目以待!


声 明:
1)超声医学与设备是一家专注于超声全领域知识分享的新媒体,欢迎广大超声医生,设备厂商及医工医技老师积极投稿(邮箱:csyxyshb@126.com)
2)本公众号发布的文章坚持原创,部分素材来源网络或书籍,均会注明来源,版权归原作者所有,如有侵权,请您告知(布丁:18637132535微信同号),我们会第一时间更正、删除
3)本公众号部分转载内容会提前联系转载平台及作者,并注明来源,如有异议,请联系(布丁:18637132535微信同号)
4)其他媒体和公众号转发,请务必标注来源:微信公众:超声医学与设备,ID:USmedicineEquipment


索诺星超声怎么样【一文盘点】市场主流掌上超声_https://www.jmylbn.com_新闻资讯_第30张

索诺星超声怎么样【一文盘点】市场主流掌上超声_https://www.jmylbn.com_新闻资讯_第31张

索诺星超声怎么样【一文盘点】市场主流掌上超声_https://www.jmylbn.com_新闻资讯_第32张
  扫二维码关注
《超声医学与设备》
  专注于超声全领域知识分享
索诺星超声怎么样【一文盘点】市场主流掌上超声_https://www.jmylbn.com_新闻资讯_第33张