粪便常规仪器怎么用一场“大追踪”!引起嗜酸性粒细胞增高的真正原因是……

新闻资讯2026-04-21 21:23:21
粪便常规仪器怎么用一场“大追踪”!引起嗜酸性粒细胞增高的真正原因是……_https://www.jmylbn.com_新闻资讯_第1张
粪便常规仪器怎么用一场“大追踪”!引起嗜酸性粒细胞增高的真正原因是……_https://www.jmylbn.com_新闻资讯_第2张
戳☞拉你进检验交流群,最新资料分享,检验知识传递!

案例经过


9月7日临检班,在审核血常规结果时,发现10号标本嗜酸性粒细胞比率高达22.9%,如图1。


粪便常规仪器怎么用一场“大追踪”!引起嗜酸性粒细胞增高的真正原因是……_https://www.jmylbn.com_新闻资讯_第3张

图1,血常规结果

    

调取其DIFF散点图,如图2。


粪便常规仪器怎么用一场“大追踪”!引起嗜酸性粒细胞增高的真正原因是……_https://www.jmylbn.com_新闻资讯_第4张

图2,WDF散点


仪器数值及散点图形均提示嗜酸性粒细胞增多,查看Q-Flag无红色框框。很大可能是个真性的嗜酸性粒细胞增多。由于复检规则及看过嗜酸性粒细胞假性增多的案例,仪器的真假数值还需显微镜下确认。


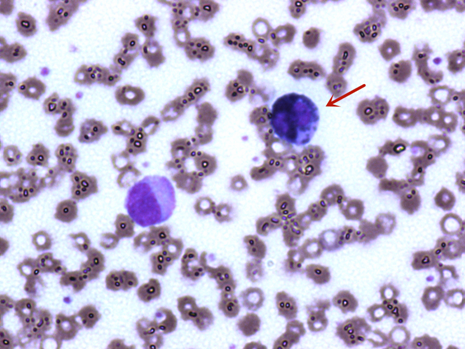
行推片染色镜检,如图3,发现嗜酸性粒细胞增多,手工分类计数达 26%,镜下所见:中性粒细胞 39%,淋巴细胞 28%,单核细胞 7%,嗜酸性粒细胞 26%,结论:嗜酸性粒细胞增多,请排除寄生虫、过敏等因素。


(说明:此次染色时间过长,颜色偏深,导致嗜酸性粒细胞颗粒不呈典型的橘黄色,而是偏向于紫黑色,由于该颗粒并不附着于核上,故与嗜碱性粒细胞容易区分开来。有些形态学比赛会出现此不典型嗜酸性粒细胞,经验丰富的形态学老师相信可一眼认出。)


粪便常规仪器怎么用一场“大追踪”!引起嗜酸性粒细胞增高的真正原因是……_https://www.jmylbn.com_新闻资讯_第5张

低倍镜下


粪便常规仪器怎么用一场“大追踪”!引起嗜酸性粒细胞增高的真正原因是……_https://www.jmylbn.com_新闻资讯_第6张

显微镜电脑拍摄,低倍镜下


粪便常规仪器怎么用一场“大追踪”!引起嗜酸性粒细胞增高的真正原因是……_https://www.jmylbn.com_新闻资讯_第7张

图3,高倍镜下


查看患者信息:男,68岁,临床诊断:高血压病3级(极高危)。


鉴别诊断


结合血常规结果、患者年龄、临床诊断、仪器散点,镜下细胞形态等因素,可以排除慢性髓细胞白血病,BCR-ABL1阳性(CML,BCR-ABL1+)、慢性嗜酸性粒细胞白血病,非特指型(NOS)。


1、CML,BCR-ABL1+:可见于各年龄组,以 20~50岁多见,90%以上患者白血病细胞中特征性的Ph染色体及其分子标志物BCR-ABL1融合基因。白细胞显著增高,程度不一,可达(12~1000)×109/L,中位数约 100×109/L,分类可见各阶段粒细胞,慢性期以中性中、晚幼粒细胞增多为主,原始细胞常<2%,常伴嗜碱性粒细胞和(或)嗜酸性粒细胞增多,单核细胞也可增多,但比例一般<3%。[1]


该患者白细胞总数正常,镜下形态以分叶核粒细胞居多,故暂可排除CML。


2、NOS:是一种极为罕见的嗜酸性前体细胞克隆性增生,导致外周血、骨髓及周围组织嗜酸性粒细胞持续增多的骨髓增殖性肿瘤。本病可见于任何年龄,但以中、青年为多,男性多于女性,白细胞明显增高,可达(50~200)×109/L,以嗜酸性粒细胞为主,可达 20%~90%,绝对值≥ 1.5×109/L,分类以成熟型嗜酸性粒细胞为主,可有少量嗜酸性中幼或早幼粒细胞。


嗜酸性粒细胞有不同程度的形态异常,常表现为细胞大小不一,嗜酸颗粒少而粗大,分布不均,胞质中有空泡,核分叶过多或不分叶等。原始细胞一般不增多。常有贫血及血小板减少。[2]


该患者年龄为老年,本案例嗜酸性粒细胞虽染色不佳,但细胞大小较为均一且未见空泡,故暂可排除NOS。


镜下分类与仪器结果基本吻合,审核结果后,自己还是略有一丝疑惑,到底会是什么疾病呢?于是,前往临检窗口调取粪便全自动分析仪结果、镜下图形。如图4,均为正常。


(说明:图形中黄色小框提示为脂肪球。不同的有形成分,仪器会有不同的颜色小框提示。)


粪便常规仪器怎么用一场“大追踪”!引起嗜酸性粒细胞增高的真正原因是……_https://www.jmylbn.com_新闻资讯_第8张

图4


由于担心仪器并未检出虫卵,自己再将粪便分析仪镜下所拍摄的每一张图形进行查看、调焦(类似我们显微镜的细调螺旋),也未发现虫卵踪迹。询问窗口同事,得知标本已被医疗垃圾收取人员收走,自己也没办法进行复检涂片。


既然没有找到寄生虫卵,那会不会是过敏呢?这么高的嗜酸性粒细胞比率,患者一定有症状的吧。


马上与临床医生进行沟通,患者是否有皮肤潮红、过敏、或输液后过敏等皮肤症状?临床表示否定。


猜想相继被否定,线索也逐个被切断,这么高的嗜酸一定是有问题的!可我却找不到一点头绪,真相到底在哪……


想起之前的案例分析,既要注重局部的变化,也要放眼全局综合分析。于是开始收集、查阅患者所有检查及病历、医嘱汇总。


病例特点


1、患者老年男性,起病缓,病程短,因眩晕1月入院。既往史:高血压病史 10年,最高血压 180/100mmHg,未规律监测血压及抗高血压治疗。2020年7月在外院诊断:肝占位性病变、肝炎后肝硬化、慢性乙型肝炎病毒、原发性高血压、冠状动脉粥样硬化性心脏病、单纯性肾囊肿。


2、患者缘于5天前出现眩晕,呈阵发性,与位置改变无关,偶有头痛,无手颤抖,肢体乏力,进行性加重,左侧尤明显,无鼻塞、流涕,无咳嗽、咳痰,无胸痛、心悸、呼吸困难,无腹痛、腹胀。精神、食欲、睡眠好,无烦躁,睡眠障碍,无畏寒、发热,小便正常,便秘。


3、体格检查:体温 36.4℃,脉搏 85次/分,呼吸 18次/分,血压 138/80mmHg。神志清楚,计算力、定向力、理解力正常,眼球活动自如,无眼震,口角无歪斜,伸舌居中,鼻唇沟无变浅,颈软,无抵抗,心律齐,未闻及病理性杂音,腹平软,肠鸣音正常,肢体肌力V级,肌张力正常,生理反射存在,病理反射未引出。


辅助检查


CT所示:头颅CT平扫未见异常;考虑右肺中叶及左肺上叶少许感染;肝右叶占位性病变。


粪便常规仪器怎么用一场“大追踪”!引起嗜酸性粒细胞增高的真正原因是……_https://www.jmylbn.com_新闻资讯_第9张


尿常规:正常。


粪便常规仪器怎么用一场“大追踪”!引起嗜酸性粒细胞增高的真正原因是……_https://www.jmylbn.com_新闻资讯_第10张


凝血五项:D-D二聚体升高。


粪便常规仪器怎么用一场“大追踪”!引起嗜酸性粒细胞增高的真正原因是……_https://www.jmylbn.com_新闻资讯_第11张


甲状腺功能三项:正常。肌钙蛋白T:稍微升高。


粪便常规仪器怎么用一场“大追踪”!引起嗜酸性粒细胞增高的真正原因是……_https://www.jmylbn.com_新闻资讯_第12张


乙肝六项:1、4、5阳性,前S1阳性。


粪便常规仪器怎么用一场“大追踪”!引起嗜酸性粒细胞增高的真正原因是……_https://www.jmylbn.com_新闻资讯_第13张


乙肝病毒DNA:正常。


粪便常规仪器怎么用一场“大追踪”!引起嗜酸性粒细胞增高的真正原因是……_https://www.jmylbn.com_新闻资讯_第14张


生化结果:ALT 46U/L,AST 42U/L,TBA 19.4umol/L,LDH 276U/L,HBDH 196U/L,血糖(随机)7.38mmol/L,LDL-C 3.93mmol/L,APOB 1.23g/L,LP(a)536mg/L,HCY 16.14umol/L。


粪便常规仪器怎么用一场“大追踪”!引起嗜酸性粒细胞增高的真正原因是……_https://www.jmylbn.com_新闻资讯_第15张


医嘱信息


进入医生工作站,查询患者医嘱,如图5,有两个药物引起了自己的注意:磷酸川穹嗪、苯磺酸氨氯地平片。另外两个药物:恩替卡韦为抗病毒药物,盐酸倍他司汀用于脑血管疾病,如脑梗塞、脑供血不足等。


粪便常规仪器怎么用一场“大追踪”!引起嗜酸性粒细胞增高的真正原因是……_https://www.jmylbn.com_新闻资讯_第16张

图5


适应症


磷酸川穹嗪:心血管疾病,如高血压等;呼吸系统疾病,如肺心病等;改善缺血性脑血管病,如脑供血不足等;其它,如眩晕症,慢性肾功能衰竭等。


苯磺酸氨氯地平片:高血压;冠心病,如慢性稳定性心绞痛。


不良反应


磷酸川穹嗪:偶见胃部不适、口干、嗜睡等。偶可见过敏反应。


苯磺酸氨氯地平片:在安慰剂对照的临床治疗高血压或心绞痛的试验中,最常见的副作用是头痛、水肿、疲劳、嗜睡、恶心、腹痛、潮红、心悸和眩晕。过敏反应罕见,包括瘙痒症、皮疹、血管源性水肿和多形红斑。


粪便常规仪器怎么用一场“大追踪”!引起嗜酸性粒细胞增高的真正原因是……_https://www.jmylbn.com_新闻资讯_第17张

 

案例分析


同时,翻阅案例文献,发现一篇《一例由药物引起嗜酸性粒细胞增高的困惑》中的药物:美洛西林钠,其说明书提及了不良反应:少数病例可出现血清氨基转移酶、碱性磷酸酶升高及嗜酸性粒细胞一过性增多。


莫非这次自己也遇到了药物引起的嗜酸性粒细胞增高?鉴于磷酸川穹嗪和苯磺酸氨氯地平片为普通常用的药物,过敏反应一般较少发生,但也不能排除患者有个体因素。


而同事怀疑生化结果中的总胆汁酸(TBA)升高或许是突破口,可能有肝吸虫卵,由于肝吸虫寄生于肝胆管,其导致的胆管堵塞,使得胆汁分泌减少,血清中的TBA升高。


到底是药物还是虫卵呢?联系临床医生告知,患者只要再做一个大便常规,排除虫卵,有可能要考虑药物因素。


临床采纳建议,隔日开出医嘱。神奇的是,这一次,粪便自动分析仪依旧是正常结果,如图6。


粪便常规仪器怎么用一场“大追踪”!引起嗜酸性粒细胞增高的真正原因是……_https://www.jmylbn.com_新闻资讯_第18张

图6


但这一次,自己告诉窗口同事,此患者的标本需镜检排除,吸取混匀后的标本,滴加10%KOH溶液,搜寻了一些时间,同事果然找到了肝吸虫卵!如图7。


粪便常规仪器怎么用一场“大追踪”!引起嗜酸性粒细胞增高的真正原因是……_https://www.jmylbn.com_新闻资讯_第19张

图7


(说明:镜检找卵壳厚的虫卵时,记得是卵壳厚的,推荐使用滴加10%KOH溶液,去“味”除杂质,轻松显虫卵。具体可参考文章《杂质太多不好辨认?教你一招轻松显虫卵!》)


至此,患者嗜酸性粒细胞比率高达 22.9%的真相终于水落石头,原来是肝吸虫卵在捣乱!


案例小结


1、该患者的虫卵排出量非常少,以致于粪便全自动仪器两次均未检出。也说明了,在目前自动化高度普及的实验室,手工的显微镜镜检仍然是“金标准”。


2、回顾分析:患者曾于5月1日住院,当时生化TBA 21.8umol/L,嗜酸性粒细胞比率 6.2%,到9月7日时生化TBA 19.4umol/L,嗜酸性粒细胞比率 22.9%,猜测患者5月份就已经感染了肝吸虫,只是处于一种潜伏似的感染,虫卵排出量一直非常少,粪便自动分析仪未检见,但血象、生化结果却反映出了问题。


3、事后想想,如果这一次患者的血常规嗜酸性粒细胞增高幅度不这么剧烈,我们是不是又会再一次放走虫卵?在审核报告时,对于有疑问的结果,一定要深究,并结合患者其它检查、医嘱等,综合分析,从多个维度尽可能的全面的还原事情的真相。


4、检验与临床沟通的重要性:由于检验人员面对的只是一份标本,看不到患者体貌特征、临床症状等,面对有异常结果的报告,需及时向临床咨询,并学会从临床的角度出发,进行分析问题,或许这就是临床思维吧。


5、除了生化的TBA是细节之外,病历中记载的信息:便秘,也是一个非常非常微小的细节。由于患者便秘,虫卵无法排出,致使重复感染,进而导致本次的嗜酸性粒细胞如此之高。


6、本案例嗜酸性粒细胞增高不考虑某些内分泌疾病原因在于,该患者辅助检查中甲状腺功能正常。


7、本案例中患者嗜酸性粒细胞增高不考虑药物因素引起:患者所使用的两种药物虽可导致过敏,但概率为偶见或罕见,且通过与临床医生沟通排除了患者过敏症状。


总结


大胆猜想,小心求证,既要注重局部指标的变化,也要放眼全局综合分析,做好一个检验师应尽职责。


参考文献:

[1]夏薇,陈婷梅.临床血液学检验技术[M].北京:人民卫生出版社,2015:295-296

[2]夏薇,陈婷梅.临床血液学检验技术[M].北京:人民卫生出版社,2015:302


作者丨徐奕胜 何六六 彭思琪 李荣伟
转载已获授权,版权归原作者所有

粪便常规仪器怎么用一场“大追踪”!引起嗜酸性粒细胞增高的真正原因是……_https://www.jmylbn.com_新闻资讯_第17张

粪便常规仪器怎么用一场“大追踪”!引起嗜酸性粒细胞增高的真正原因是……_https://www.jmylbn.com_新闻资讯_第21张
粪便常规仪器怎么用一场“大追踪”!引起嗜酸性粒细胞增高的真正原因是……_https://www.jmylbn.com_新闻资讯_第22张
粪便常规仪器怎么用一场“大追踪”!引起嗜酸性粒细胞增高的真正原因是……_https://www.jmylbn.com_新闻资讯_第23张

有件重要的事和你说

最近微信文章不再按时间顺序排列
这可能让你无法及时看到我们的文章

为了以后我们能每天07:00见面
我想邀请你

将医护多检验学霸设为“星标”
或经常为文章点“在看”

不见不散哦!

粪便常规仪器怎么用一场“大追踪”!引起嗜酸性粒细胞增高的真正原因是……_https://www.jmylbn.com_新闻资讯_第24张粪便常规仪器怎么用一场“大追踪”!引起嗜酸性粒细胞增高的真正原因是……_https://www.jmylbn.com_新闻资讯_第25张
粪便常规仪器怎么用一场“大追踪”!引起嗜酸性粒细胞增高的真正原因是……_https://www.jmylbn.com_新闻资讯_第26张
点击 「赞」 + 「在看」 
让更多人看到吧 粪便常规仪器怎么用一场“大追踪”!引起嗜酸性粒细胞增高的真正原因是……_https://www.jmylbn.com_新闻资讯_第27张