穿刺活检枪怎么用一个真实病例,带您认识肿瘤内科的“神枪手”与经皮肺穿刺活检术

新闻资讯2026-04-21 21:11:42
 


每年11月是全球肺癌关注月,肺癌是最常见的恶性肿瘤,其发病率和死亡率均居全球癌症第一位,早期诊断是改善预后和提高生存率的关键。目前很多常规检查方法都能检出肺部病变,但这一病变究竟是良性还是恶性的?“经皮肺穿刺活检术”(简称“肺穿刺”)便能“一锤定音”。


穿刺活检枪怎么用一个真实病例,带您认识肿瘤内科的“神枪手”与经皮肺穿刺活检术_https://www.jmylbn.com_新闻资讯_第1张


肺穿刺活检是在可疑肿瘤部位取下一小块活体组织,通过病理切片分析等方法来诊断肺癌。听起来简单,但操作起来却极其考验医生的“手艺”,因为在穿刺过程中有些路径很长容易出血,有些靠近胸膜容易气胸,有些路径紧贴膈肌和心脏,稍有不慎就会置患者于危险之中!


穿刺活检枪怎么用一个真实病例,带您认识肿瘤内科的“神枪手”与经皮肺穿刺活检术_https://www.jmylbn.com_新闻资讯_第2张

还好,惠州市中心人民医院肿瘤内科有一群“神枪手”,他们于2021年2月应用经皮肺穿刺活检术确诊肺部良恶性病变,练就了炉火纯青的穿刺技术,目前已成功开展数百例,其中不乏高难度穿刺病例。尽管轻车就熟,肺穿刺团队每开展一例肺穿刺时,依然初心不改、用心对待:组织术前讨论详细评估并推演穿刺路径;术中规范操作,在穿到病灶的同时尽量减少并发症的发生;术后严密监测患者病情,评估可能出现的并发症并及时处理,最大程度地保障患者健康。


该技术开展后有效地缩短了肺癌患者确诊及治疗的时间,在整个肺癌诊治过程中作用显著。通过下文的真实病例分享便可管中窥豹↓↓↓

穿刺活检枪怎么用一个真实病例,带您认识肿瘤内科的“神枪手”与经皮肺穿刺活检术_https://www.jmylbn.com_新闻资讯_第3张


前段时间,一位李阿婆在家人陪伴下,来到惠州市中心人民医院肿瘤内科孙爱华副主任医师门诊复诊。李阿婆既往有乳腺癌病史,在肿瘤内科精心治疗下,病情近年来一直维持稳定。此次复诊检查发现肿瘤标志物CEA(癌胚抗原)有升高,肺部CT发现肺内有一新出现的小结节,直径约1cm大小。孙主任医师拿到检查结果后立即警惕起来,肺内这个小结节是乳腺癌复发后的肺内转移,还是新发的恶性肿瘤-肺癌?


孙主任当即告知李阿婆家属,建议进一步完善经皮肺穿刺活检术以明确病理诊断。因为李阿婆肺内新发的结节就长在心脏旁,直径仅约1cm,穿刺过程中稍有偏差就可能刺破心脏造成不可挽回的后果。患者家属一方面担心穿刺风险,另一方面又想尽快弄清楚病情,通过各种途径咨询省内多个三甲医院,得到的回复出奇的一致:建议行肺穿刺,但穿刺风险极大,穿刺成功机率极小。最后家属信任并选择了市中心人民医院肿瘤内科,决定在此做肺穿刺。


肿瘤内科有专门的经皮肺穿刺活检技术小组,组员个个都是精益求精的“神枪手”,面对李阿婆这一高难度的穿刺病例,他们丝毫不敢马虎。在熊海林主任医师的组织下,欧阳考滨副主任医师、廖豪杰主治医师、袁乐中博士立即展开穿刺前阅片讨论。此次穿刺的技术难点在于:1、肺内结节靠近心脏血管,患者呼吸运动或者心脏搏动都可能碰到穿刺针导致严重并发症;2、肺结节小,需要保证穿刺过程中的精准度,才能得到穿刺组织。


经过小组讨论和推演,最终决定不走寻常路,在确保安全可行的条件下,从体表胸骨心脏旁路进针,循序渐进调整进针深度和角度,反复指导病人配合呼吸运动,不断调试穿刺针角度和深度。终于在紧张有序中成功穿刺,发现肺内有少量出血。为了确保穿刺组织可靠性,继续挑战完成第二针穿刺。整个过程中患者未发生气胸、咯血、心脏损伤等可能危及生命的严重并发症。


最终穿刺病理显示:浸润性腺癌,考虑原发性支气管肺腺癌。李阿婆明确为第二肿瘤,全身评估后确诊为早期肺癌。随后李阿婆转入胸外科行肺叶切除术,得到了最合理和有效的治疗。

 

穿刺活检枪怎么用一个真实病例,带您认识肿瘤内科的“神枪手”与经皮肺穿刺活检术_https://www.jmylbn.com_新闻资讯_第4张

熊海林主任医师组织下,穿刺小组在为患者做经皮肺穿刺活检(非本文中病例)


穿刺活检枪怎么用一个真实病例,带您认识肿瘤内科的“神枪手”与经皮肺穿刺活检术_https://www.jmylbn.com_新闻资讯_第5张

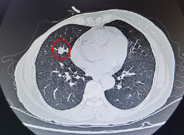
本例患者肺部CT图片提示靠近心脏处有一孤立的肺结节(如图所示)


穿刺活检枪怎么用一个真实病例,带您认识肿瘤内科的“神枪手”与经皮肺穿刺活检术_https://www.jmylbn.com_新闻资讯_第6张

穿刺针紧贴心脏,一击中靶!

 

穿刺活检枪怎么用一个真实病例,带您认识肿瘤内科的“神枪手”与经皮肺穿刺活检术_https://www.jmylbn.com_新闻资讯_第7张

病理结果回报:肺浸润性腺癌。


肿瘤内科肺穿刺小组成员介绍:

熊海林

穿刺活检枪怎么用一个真实病例,带您认识肿瘤内科的“神枪手”与经皮肺穿刺活检术_https://www.jmylbn.com_新闻资讯_第8张


惠州市中心人民医院肿瘤内科副主任

主任医师,硕士生导师

惠州市抗癌协会秘书长

惠州市癌症防治中心副主任

惠州市医学会肿瘤学分会副主任委员

惠州市医师协会肿瘤科医师分会副主任委员

广东省医学会肿瘤学分会委员

广东省医师协会肿瘤内科医师分会常务委员

广东省医学会肿瘤内科分会青委会副主任委员

第三届南粤好医生

意大利 Sassari-大学医院肿瘤中心研修

南方医科大学博士在读


专业方向:肺癌的靶向和免疫等综合治疗


技术持长:肺穿刺活检、体腔热灌注、输液港植入术


科研方向:肿瘤患者的呼吸睡眠


欧阳考滨 

穿刺活检枪怎么用一个真实病例,带您认识肿瘤内科的“神枪手”与经皮肺穿刺活检术_https://www.jmylbn.com_新闻资讯_第9张

 

惠州市中心人民医院肿瘤内科,副主任医师

惠州市癌症防治中心 办公室秘书

亚太原发性肝癌专家协会(APPLE) 委员

广东省肝脏病协会微创分会委员

 

廖豪杰

穿刺活检枪怎么用一个真实病例,带您认识肿瘤内科的“神枪手”与经皮肺穿刺活检术_https://www.jmylbn.com_新闻资讯_第10张


惠州市中心人民医院肿瘤内科主治医师

广东省肝脏病学会微创治疗专委会委员

广东省基层医药学会肝癌防治专委会委员

广东省医学教育协会肿瘤诊疗技术转化专业委员会委员

惠州市抗癌协会委员

 

袁乐中

穿刺活检枪怎么用一个真实病例,带您认识肿瘤内科的“神枪手”与经皮肺穿刺活检术_https://www.jmylbn.com_新闻资讯_第11张


医学博士

惠州市中心人民医院肿瘤内科主治医师

广东省医学教育协会肿瘤学专业委员会   

惠州市抗癌协会委员

惠州市医学会肿瘤学分会委员

惠州市中心人民医院中心实验、肿瘤研究所 秘书   

(本文原创,转载请注明出处。)

供稿/供图:肿瘤内科 郭晓红 王晓珊

责编:社会工作部 周婷婷


就医须知

尊敬的患者及家属:

为保障您的安全,降低新冠肺炎传播风险,来我院就诊请您配合做好以下工作。

1.看病请提前预约挂号(通过医院微信公众号、支付宝生活号、官网或电话预约2288198、2288199)。

2.按预约时间提前20分钟到候诊区或检查前台报到。

3.进入院区佩戴口罩,配合测体温,并出示粤康码、行程卡。

4.患者及陪人请在看病或检查前填写 “健康申报卡”,就诊时出示给预检分诊的工作人员或接诊医生查看。

主编:曾   宁

编辑:钟一夫

穿刺活检枪怎么用一个真实病例,带您认识肿瘤内科的“神枪手”与经皮肺穿刺活检术_https://www.jmylbn.com_新闻资讯_第12张
 
穿刺活检枪怎么用一个真实病例,带您认识肿瘤内科的“神枪手”与经皮肺穿刺活检术_https://www.jmylbn.com_新闻资讯_第13张
穿刺活检枪怎么用一个真实病例,带您认识肿瘤内科的“神枪手”与经皮肺穿刺活检术_https://www.jmylbn.com_新闻资讯_第14张