磁共振矩阵怎么计算【重磅】新一代智慧型生命感知磁共振——MAGNETOM Vida, 成功落户中大放射并全面投入使用!!!

新闻资讯2026-04-21 20:46:36




MAGNETOM

Vida 3T MR

成功落户中大放射


首台

智慧型

生命感知

磁共振

系统


让磁共振配合患者

服务临床及基础研究




磁共振矩阵怎么计算【重磅】新一代智慧型生命感知磁共振——MAGNETOM Vida, 成功落户中大放射并全面投入使用!!!_https://www.jmylbn.com_新闻资讯_第1张

INTRODUCTION

隆重推出

MAGNETOM Vida 3T MR

基于以人为本的“磁共振配合病人”构想

融合最新的生物技术、智能传感器技术和计算机人工智能技术

革命性制造除磁体、梯度、射频、线圈外的第五大系统——生命矩阵系统

彻底改变磁共振近30年的系统架构,开创磁共振的全新未来



Innovation

磁共振矩阵怎么计算【重磅】新一代智慧型生命感知磁共振——MAGNETOM Vida, 成功落户中大放射并全面投入使用!!!_https://www.jmylbn.com_新闻资讯_第2张


业界综合性能最强


So, what makes it the top?


BioMatrix生命矩阵系统

204通道一体化线圈系统

顶级磁体配高精度匀场系统

智能精准梯度系统

磁共振矩阵怎么计算【重磅】新一代智慧型生命感知磁共振——MAGNETOM Vida, 成功落户中大放射并全面投入使用!!!_https://www.jmylbn.com_新闻资讯_第3张


It's much more than that!


生命感知自由体部成像平台

生命感知自由心脏成像平台

智能全自动扫描平台

智能策略编辑平台

高清功能成像平台

Quiet超静音成像平台

Turbo炫速成像平台

磁共振矩阵怎么计算【重磅】新一代智慧型生命感知磁共振——MAGNETOM Vida, 成功落户中大放射并全面投入使用!!!_https://www.jmylbn.com_新闻资讯_第3张


Embrace human nature at 3T

Foster a new era in precision medicine


我们见证 · 我们拥有 · 我们创造


磁共振矩阵怎么计算【重磅】新一代智慧型生命感知磁共振——MAGNETOM Vida, 成功落户中大放射并全面投入使用!!!_https://www.jmylbn.com_新闻资讯_第1张



BioMatrix生命矩阵系统


      MAGNETOM Vida是业界首台具备生命矩阵系统的磁共振,从病人躺上扫描床,Vida就能直接感受到病人解剖、呼吸、磁场等人体信息,在扫描过程中,无需病人刻意配合,Vida会根据病人状态自动调整扫描,获得更优的检查结果。

磁共振矩阵怎么计算【重磅】新一代智慧型生命感知磁共振——MAGNETOM Vida, 成功落户中大放射并全面投入使用!!!_https://www.jmylbn.com_新闻资讯_第6张
磁共振矩阵怎么计算【重磅】新一代智慧型生命感知磁共振——MAGNETOM Vida, 成功落户中大放射并全面投入使用!!!_https://www.jmylbn.com_新闻资讯_第7张

BioMatrix Sensors

实时感知,传递人体信息



204通道一体化线圈系统


      MAGNETOM Vida配置了一体化生命矩阵线圈系统,具备最大204个系统接收通道数,是目前业界所有磁共振中,支持接收通道最多、线圈成像单元密度最高、线圈自动选择最智能、线圈设计最轻便的的磁共振系统,保证了磁共振使用的便利性及高度可扩展性。

磁共振矩阵怎么计算【重磅】新一代智慧型生命感知磁共振——MAGNETOM Vida, 成功落户中大放射并全面投入使用!!!_https://www.jmylbn.com_新闻资讯_第8张
磁共振矩阵怎么计算【重磅】新一代智慧型生命感知磁共振——MAGNETOM Vida, 成功落户中大放射并全面投入使用!!!_https://www.jmylbn.com_新闻资讯_第9张

BioMatrix Tuners

CoilShim技术和SliceAdjust技术

大幅度提高图像质量,特别是苛刻扫描部位



BioMatrix生命矩阵匀场系统


      MAGNETOM Vida采用的是业界最顶级的磁体,并配有高精度生命矩阵匀场系统,可根据病人状态进行多种匀场。


      此外,配备一阶匀场线圈、高阶匀场线圈,确保磁场均匀度处于最佳状态;配备人体适形匀场系统,自动感知人体磁场信息,提升人体的磁场均匀性;配备数字化靶向匀场及层面匀场技术,根据不同组织脏器,进行针对性靶向匀场,甚至对于脏器每一层面扫描进行单独数字匀场,从而获得脏器的最佳的图像质量。



智能精准梯度系统


      MAGNETOM Vida全新一代智能精准梯度系统的输出功率是传统3T磁共振的2倍,是目前磁共振业界的顶级性能的梯度系统,梯度场强为*mT/m和梯度切换率为*T/m/s,并可以同时达到,梯度内部配有16个高精度探测器,实时监测梯度的工作状态,确保梯度的性能和输出精度。


      MAGNETOM Vida智能精准梯度系统可完美的配合生命矩阵系统采集的人体信息,自由进行定位和编码,从容应对不同病人的不同状态的苛刻扫描,从而提升系统整体的图像质量及扫描速度。



磁共振矩阵怎么计算【重磅】新一代智慧型生命感知磁共振——MAGNETOM Vida, 成功落户中大放射并全面投入使用!!!_https://www.jmylbn.com_新闻资讯_第1张





生命感知自由体部成像平台


      MAGNETOM Vida磁共振系统可实现全新的生命感知自由体部成像:体部扫描时患者无需佩戴任何呼吸门控装置,全程自由呼吸就可完成扫描;在扫描过程中,Vida能根据病人的呼吸情况,实时控制磁共振信号采集;在BioMatrix生命矩阵系统的协助下,Vida可实现业界最快的动态增强成像——自由动态增强扫描,即:没有传统的增强期相,而是可以重建出指定的任意时间点的增强图像。

磁共振矩阵怎么计算【重磅】新一代智慧型生命感知磁共振——MAGNETOM Vida, 成功落户中大放射并全面投入使用!!!_https://www.jmylbn.com_新闻资讯_第11张

生命感知的自由动态增强

自由呼吸完成扫描,可冻结各个期相肝脏与腹壁运动





生命感知自由心脏成像平台


      MAGNETOM Vida磁共振系统可实现全新的生命感知自由心脏成像:病人进行心脏扫描时,无需配套任何呼吸门控装置,在扫描过程中,磁共振会全程监测病人呼吸以及心电信号,实时控制信号采集;在BioMatrix生命矩阵系统的协助下,Vida可实现业界最快的心脏电影成像,比常规心脏电影成像快10-20倍,可以自由呼吸状态,一个心动周期完成电影采集。

磁共振矩阵怎么计算【重磅】新一代智慧型生命感知磁共振——MAGNETOM Vida, 成功落户中大放射并全面投入使用!!!_https://www.jmylbn.com_新闻资讯_第12张
磁共振矩阵怎么计算【重磅】新一代智慧型生命感知磁共振——MAGNETOM Vida, 成功落户中大放射并全面投入使用!!!_https://www.jmylbn.com_新闻资讯_第13张

生命感知的自由心脏电影

自由呼吸完成扫描,一个心动周期完成电影采集





智能全自动扫描平台


      MAGNETOM Vida上大部分临床扫描只需要一键就能完成,Vida可自动完成扫描解剖部位识别,自动定位,按照序列设置不同自动对目标脏器切层,自动选择最靠近病人扫描部位的线圈单元进行信号采集,根据病人体型自动设置FOV,自动定义扫描的几何参数、时序参数,对于运动部位自动设置饱和带以减小伪影,自动给病人发出语音指令等等。整个过程,无需技术员干预便可自动完成扫描。无论病人的个体差异有多大,扫描摆位有多不同,Vida智能全自动平台都可确保识别的准确性和一致性。

磁共振矩阵怎么计算【重磅】新一代智慧型生命感知磁共振——MAGNETOM Vida, 成功落户中大放射并全面投入使用!!!_https://www.jmylbn.com_新闻资讯_第14张
磁共振矩阵怎么计算【重磅】新一代智慧型生命感知磁共振——MAGNETOM Vida, 成功落户中大放射并全面投入使用!!!_https://www.jmylbn.com_新闻资讯_第15张

BioMatrix Interfaces

Select&GO触屏可简单快速定位

扫描床可作为电动转运床更方便患者转运





智能策略编辑平台


      MAGNETOM Vida磁共振系统,不仅可以在扫描在过程中进行个性化的扫描,而且可以在扫描前为病人拟定更为精准的个性化扫描策略。此外,Vida配备最新的开放式智能策略编辑平台(Dot Cockpit),赋予磁共振与医生和技术员沟通、交互的能力。该平台采用“所思即所得”方式,可以把具有丰富经验的医生的诊断思路和技术员扫描经验直接转换为磁共振的扫描策略,形成针对于每个患者个性化的扫描方案。

磁共振矩阵怎么计算【重磅】新一代智慧型生命感知磁共振——MAGNETOM Vida, 成功落户中大放射并全面投入使用!!!_https://www.jmylbn.com_新闻资讯_第16张

A new user environment

智能策略编辑 Dual-monitor setup





高清功能成像平台


      MAGNETOM Vida对于磁体、梯度、射频及线圈系统的控制精度比传统磁共振提高了整整一个数量级,可以稳定使用多次激发、分段读出等技术,从根本上突破了弥散信号衰减过快导致的弥散图像分辨率无法提高的限制,让弥散图像质量达到常规解剖成像一样水平,而且实现横断位、矢状位和冠状位等多平面的成像。

磁共振矩阵怎么计算【重磅】新一代智慧型生命感知磁共振——MAGNETOM Vida, 成功落户中大放射并全面投入使用!!!_https://www.jmylbn.com_新闻资讯_第17张

全身MR

大范围弥散成像时,Vida独有的生命矩阵层面匀场技术,可对每层弥散扫描进行单独匀场,进一步保证弥散成像质量





Quiet超静音成像平台


      MAGNETOM Vida可以智能和精准控制扫描中磁体、梯度、射频及线圈4大系统的每一个指令和每一次脉冲施加,将磁共振扫描噪声降至最低,其超静音扫描平台是目前业界静音效果最好的3T扫描平台。

磁共振矩阵怎么计算【重磅】新一代智慧型生命感知磁共振——MAGNETOM Vida, 成功落户中大放射并全面投入使用!!!_https://www.jmylbn.com_新闻资讯_第18张

与其他公司的静音技术差异在于:

全方位的静音解决方案,所有序列和部位都可以使用静音;有效的降低70%-99%以上的声压,减少对于患者听觉的影响;静音技术不降低图像质量,不延长检查时间





Turbo炫速成像平台


      MAGNETOM Vida的最先进、智慧Turbo炫速成像平台,融合了磁共振加速技术、临床扫描策略、BioMatrix生命感知以及最新人工智能技术,是目前所有3T磁共振中,加速采集技术最全、扫描速度最快、图像质量最好的快速成像平台。


磁共振矩阵怎么计算【重磅】新一代智慧型生命感知磁共振——MAGNETOM Vida, 成功落户中大放射并全面投入使用!!!_https://www.jmylbn.com_新闻资讯_第1张

Application

核心应用


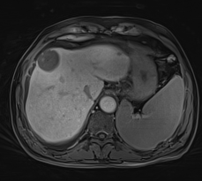
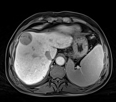
体部成像 --- GRASP动态增强

磁共振矩阵怎么计算【重磅】新一代智慧型生命感知磁共振——MAGNETOM Vida, 成功落户中大放射并全面投入使用!!!_https://www.jmylbn.com_新闻资讯_第20张

自由呼吸,无需屏气

连续扫描,不错过最佳对比

磁共振矩阵怎么计算【重磅】新一代智慧型生命感知磁共振——MAGNETOM Vida, 成功落户中大放射并全面投入使用!!!_https://www.jmylbn.com_新闻资讯_第21张

临床价值





磁共振矩阵怎么计算【重磅】新一代智慧型生命感知磁共振——MAGNETOM Vida, 成功落户中大放射并全面投入使用!!!_https://www.jmylbn.com_新闻资讯_第22张


磁共振矩阵怎么计算【重磅】新一代智慧型生命感知磁共振——MAGNETOM Vida, 成功落户中大放射并全面投入使用!!!_https://www.jmylbn.com_新闻资讯_第23张


磁共振矩阵怎么计算【重磅】新一代智慧型生命感知磁共振——MAGNETOM Vida, 成功落户中大放射并全面投入使用!!!_https://www.jmylbn.com_新闻资讯_第24张
磁共振矩阵怎么计算【重磅】新一代智慧型生命感知磁共振——MAGNETOM Vida, 成功落户中大放射并全面投入使用!!!_https://www.jmylbn.com_新闻资讯_第21张

实例展示



磁共振矩阵怎么计算【重磅】新一代智慧型生命感知磁共振——MAGNETOM Vida, 成功落户中大放射并全面投入使用!!!_https://www.jmylbn.com_新闻资讯_第26张
磁共振矩阵怎么计算【重磅】新一代智慧型生命感知磁共振——MAGNETOM Vida, 成功落户中大放射并全面投入使用!!!_https://www.jmylbn.com_新闻资讯_第27张

肝癌治疗前后对比,GRASP-VIBE动态增强---自由呼吸状态下连续高时间分辨率成像



磁共振矩阵怎么计算【重磅】新一代智慧型生命感知磁共振——MAGNETOM Vida, 成功落户中大放射并全面投入使用!!!_https://www.jmylbn.com_新闻资讯_第28张


磁共振矩阵怎么计算【重磅】新一代智慧型生命感知磁共振——MAGNETOM Vida, 成功落户中大放射并全面投入使用!!!_https://www.jmylbn.com_新闻资讯_第29张



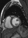
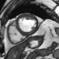
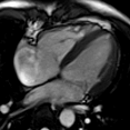
心脏成像 --- 压缩感知电影

磁共振矩阵怎么计算【重磅】新一代智慧型生命感知磁共振——MAGNETOM Vida, 成功落户中大放射并全面投入使用!!!_https://www.jmylbn.com_新闻资讯_第20张

自由呼吸,无需屏气

捕获全心动周期数据

磁共振矩阵怎么计算【重磅】新一代智慧型生命感知磁共振——MAGNETOM Vida, 成功落户中大放射并全面投入使用!!!_https://www.jmylbn.com_新闻资讯_第21张

临床价值

成像速度和图像质量同时提升

定量数据更精准

心脏MR适用人群更广

磁共振矩阵怎么计算【重磅】新一代智慧型生命感知磁共振——MAGNETOM Vida, 成功落户中大放射并全面投入使用!!!_https://www.jmylbn.com_新闻资讯_第21张

实例展示



磁共振矩阵怎么计算【重磅】新一代智慧型生命感知磁共振——MAGNETOM Vida, 成功落户中大放射并全面投入使用!!!_https://www.jmylbn.com_新闻资讯_第33张

压缩感知

磁共振矩阵怎么计算【重磅】新一代智慧型生命感知磁共振——MAGNETOM Vida, 成功落户中大放射并全面投入使用!!!_https://www.jmylbn.com_新闻资讯_第34张

传统实时

磁共振矩阵怎么计算【重磅】新一代智慧型生命感知磁共振——MAGNETOM Vida, 成功落户中大放射并全面投入使用!!!_https://www.jmylbn.com_新闻资讯_第35张

传统分段

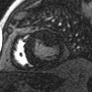
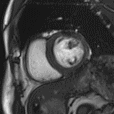
心脏电影---房颤病人图像质量对比



磁共振矩阵怎么计算【重磅】新一代智慧型生命感知磁共振——MAGNETOM Vida, 成功落户中大放射并全面投入使用!!!_https://www.jmylbn.com_新闻资讯_第36张


磁共振矩阵怎么计算【重磅】新一代智慧型生命感知磁共振——MAGNETOM Vida, 成功落户中大放射并全面投入使用!!!_https://www.jmylbn.com_新闻资讯_第37张
磁共振矩阵怎么计算【重磅】新一代智慧型生命感知磁共振——MAGNETOM Vida, 成功落户中大放射并全面投入使用!!!_https://www.jmylbn.com_新闻资讯_第38张
磁共振矩阵怎么计算【重磅】新一代智慧型生命感知磁共振——MAGNETOM Vida, 成功落户中大放射并全面投入使用!!!_https://www.jmylbn.com_新闻资讯_第39张
磁共振矩阵怎么计算【重磅】新一代智慧型生命感知磁共振——MAGNETOM Vida, 成功落户中大放射并全面投入使用!!!_https://www.jmylbn.com_新闻资讯_第40张

感染性心肌疾病—心肌炎合并心肌缺血



颈部成像 --- CoilShim匀场

磁共振矩阵怎么计算【重磅】新一代智慧型生命感知磁共振——MAGNETOM Vida, 成功落户中大放射并全面投入使用!!!_https://www.jmylbn.com_新闻资讯_第20张

线圈匀场提高颈部磁场均匀性

磁共振矩阵怎么计算【重磅】新一代智慧型生命感知磁共振——MAGNETOM Vida, 成功落户中大放射并全面投入使用!!!_https://www.jmylbn.com_新闻资讯_第21张

临床价值

提高脂肪抑制均匀性

提高DWI图像质量

提高颈部高级应用图像质量

磁共振矩阵怎么计算【重磅】新一代智慧型生命感知磁共振——MAGNETOM Vida, 成功落户中大放射并全面投入使用!!!_https://www.jmylbn.com_新闻资讯_第21张

实例展示



磁共振矩阵怎么计算【重磅】新一代智慧型生命感知磁共振——MAGNETOM Vida, 成功落户中大放射并全面投入使用!!!_https://www.jmylbn.com_新闻资讯_第44张


磁共振矩阵怎么计算【重磅】新一代智慧型生命感知磁共振——MAGNETOM Vida, 成功落户中大放射并全面投入使用!!!_https://www.jmylbn.com_新闻资讯_第45张


磁共振矩阵怎么计算【重磅】新一代智慧型生命感知磁共振——MAGNETOM Vida, 成功落户中大放射并全面投入使用!!!_https://www.jmylbn.com_新闻资讯_第46张


磁共振矩阵怎么计算【重磅】新一代智慧型生命感知磁共振——MAGNETOM Vida, 成功落户中大放射并全面投入使用!!!_https://www.jmylbn.com_新闻资讯_第47张
磁共振矩阵怎么计算【重磅】新一代智慧型生命感知磁共振——MAGNETOM Vida, 成功落户中大放射并全面投入使用!!!_https://www.jmylbn.com_新闻资讯_第48张

腮腺腺样囊性癌GRASP-VIBE动态增强图像


磁共振矩阵怎么计算【重磅】新一代智慧型生命感知磁共振——MAGNETOM Vida, 成功落户中大放射并全面投入使用!!!_https://www.jmylbn.com_新闻资讯_第1张

OUR OWN

我们的Vida

磁共振矩阵怎么计算【重磅】新一代智慧型生命感知磁共振——MAGNETOM Vida, 成功落户中大放射并全面投入使用!!!_https://www.jmylbn.com_新闻资讯_第50张

验收千万级快递

早先已配备好专门的磁共振检查室

磁共振矩阵怎么计算【重磅】新一代智慧型生命感知磁共振——MAGNETOM Vida, 成功落户中大放射并全面投入使用!!!_https://www.jmylbn.com_新闻资讯_第51张

装机成功


磁共振矩阵怎么计算【重磅】新一代智慧型生命感知磁共振——MAGNETOM Vida, 成功落户中大放射并全面投入使用!!!_https://www.jmylbn.com_新闻资讯_第52张

真 · 高端大气上档次 😍😍😍


磁共振矩阵怎么计算【重磅】新一代智慧型生命感知磁共振——MAGNETOM Vida, 成功落户中大放射并全面投入使用!!!_https://www.jmylbn.com_新闻资讯_第53张
磁共振矩阵怎么计算【重磅】新一代智慧型生命感知磁共振——MAGNETOM Vida, 成功落户中大放射并全面投入使用!!!_https://www.jmylbn.com_新闻资讯_第54张

学习、攻关小组

诊断医生、技师与西门子科学家一起研讨Vida操作细节


      此后,在科主任居胜红教授推动下,放射科团队和西门子科研团队还进行了长达3小时线上会议,为深入挖掘Vida临床和科研价值打下坚实基础!


磁共振矩阵怎么计算【重磅】新一代智慧型生命感知磁共振——MAGNETOM Vida, 成功落户中大放射并全面投入使用!!!_https://www.jmylbn.com_新闻资讯_第1张

Expectation

回顾与展望



磁共振矩阵怎么计算【重磅】新一代智慧型生命感知磁共振——MAGNETOM Vida, 成功落户中大放射并全面投入使用!!!_https://www.jmylbn.com_新闻资讯_第56张

东南大学附属中大医院放射科始终秉承“厚德、精业、敦行、至善”的精神,坚持“医教研协同、创新发展”的理念,保持“上下齐心、锐意进取”的态度,近年来临床、科研实力节节攀高。



磁共振矩阵怎么计算【重磅】新一代智慧型生命感知磁共振——MAGNETOM Vida, 成功落户中大放射并全面投入使用!!!_https://www.jmylbn.com_新闻资讯_第21张

东南大学附属中大医院放射科作为江苏省内唯一的影像学科国家临床重点专科,拥有江苏省分子影像与功能影像学重点实验室,拥有磁共振6台,CT机8台,实验室用7.0T Micro-MRI以及高端PACS等。


东南大学附属中大医院放射科具备一支高学历、结构合理、富有活力的学术梯队,学科人才层次超高!现本部诊断组博士62%,年轻医师博士占83%,硕士及以上约占90%!

东南大学医学院副院长、东南大学附属中大医院放射科行政主任居胜红教授,作为国家杰出青年基金获得者、国家“万人计划”科技创新领军人才、国家一流(双万)医学影像专业带头人、科技部重点领域创新团队带头人,在腹部及神经影像领域造诣颇深,斩获包括国家科技进步二等奖、教育部科技进步一等奖、江苏省科技进步二等奖等在内的多项奖项,从事临床影像诊断工作并开展临床研究近30年,主持完成多项影像诊断新技术,近3年发表SCI论文50余篇,连续两次被Radiology以“Science to Practice”为题专题述评。


磁共振矩阵怎么计算【重磅】新一代智慧型生命感知磁共振——MAGNETOM Vida, 成功落户中大放射并全面投入使用!!!_https://www.jmylbn.com_新闻资讯_第21张

二〇一九年度中大放射光荣榜

东南大学附属中大医院放射科位居最新复旦版中国医院排行榜专科综合排行榜第八位、专科声誉排行榜第九位


东南大学医学影像学专业成功入选国家级一流本科专业建设点


居胜红教授荣膺国家“万人计划”科技创新领军人才


居胜红教授团队荣获科技部重点领域创新团队、江苏省六大人才高峰创新团队


居胜红教授团队获得江苏医学科技奖一等奖、江苏省科学技术奖二等奖和中华医学科技奖三等奖各一项,获得国家自然科学基金(青年基金)和江苏省自然科学基金(青年基金)各一项,SCI收录论文8篇


放射科年度大数据

居胜红工作站13家,新增6家;

成立中大放射联盟,辐射全国11省56家医院;

启动新加坡国立大学医学短期访学项目(12人);

邀请国内外专家24人次来科内讲座,其中国外专家8人;

成功举办第五届中大英文读片比赛、第二届规培生微课竞赛;

东南大学附属中大医院医学影像科微信公众号总关注人数 4.6万余人;

成功开办在线住培讲课46期,点播量13.5万余次,掌医课堂关注人数达8262人,点播量突破12.8万;

进修生45人,较去年增加150%; 在培研究生共37人、规培生共23人,结业研究生、规培生24人,通过率100%。

磁共振矩阵怎么计算【重磅】新一代智慧型生命感知磁共振——MAGNETOM Vida, 成功落户中大放射并全面投入使用!!!_https://www.jmylbn.com_新闻资讯_第21张

      MAGNETOM Vida的引进,是对中大放射临床和科研的有力推动,中大放射在科主任居胜红教授的领导下,也势必物尽其用,全面发挥其在体部、心脏及颈部的独到优势,最大化拓展其在全身各部位的临床和科研应用价值!2020年,中大放射在医教研各方面也必将稳步发展并寻求自我突破!


磁共振矩阵怎么计算【重磅】新一代智慧型生命感知磁共振——MAGNETOM Vida, 成功落户中大放射并全面投入使用!!!_https://www.jmylbn.com_新闻资讯_第1张

特别预告

西门子Vida云课堂


      为了让更多国内影像同道了解Vida的性能,居胜红教授团队将携手西门子MR临床市场部打造云课堂,以简短+多期的形式分享Vida使用体会、扫描操作经验以及MR相关技术临床应用等,敬请期待!

磁共振矩阵怎么计算【重磅】新一代智慧型生命感知磁共振——MAGNETOM Vida, 成功落户中大放射并全面投入使用!!!_https://www.jmylbn.com_新闻资讯_第61张


-    我们热衷分享 追求共同进步    -


磁共振矩阵怎么计算【重磅】新一代智慧型生命感知磁共振——MAGNETOM Vida, 成功落户中大放射并全面投入使用!!!_https://www.jmylbn.com_新闻资讯_第1张

编辑 | 王焱钧

审核 | 王远成

配合 | 西门子磁共振事业部

部分图文源自Siemens Healthineers官网


磁共振矩阵怎么计算【重磅】新一代智慧型生命感知磁共振——MAGNETOM Vida, 成功落户中大放射并全面投入使用!!!_https://www.jmylbn.com_新闻资讯_第63张

“在看”我吗?

磁共振矩阵怎么计算【重磅】新一代智慧型生命感知磁共振——MAGNETOM Vida, 成功落户中大放射并全面投入使用!!!_https://www.jmylbn.com_新闻资讯_第64张