眼底照相机怎么眼底一张照 眼疾早知道——我院眼科引进欧宝超广角眼底照像机

新闻资讯2026-04-21 20:16:26

点击↑省直三院 即可订阅本微信

点击右上角“…”分享并收藏此文

眼底照相机怎么眼底一张照  眼疾早知道——我院眼科引进欧宝超广角眼底照像机_https://www.jmylbn.com_新闻资讯_第1张



  王女士是一家公司的部门主管,近日业务繁忙,连续几日熬夜加班后,出现了视物模糊、变形,严重影响到了工作进度,无奈匆匆赶到医院,挂号、排队,好不容易排到自己,却被告知,要检查眼底、扩瞳,才能明确诊断。

  并且扩瞳需要半个小时左右,检查之后,瞳孔需要4-6个小时才能恢复正常,这其间会视物模糊、怕光。

  “完了,这一天都要搭进去啦!”

  视工作如生命的王女士不听医生的劝阻,果断放弃了检查,“等忙完再来”,就又匆匆离开。

  可是,身体向你发出救信号时你不给ta机会,ta也会有样学样,同样不给你机会!治疗的最佳时期稍纵即逝!


眼底照相机怎么眼底一张照  眼疾早知道——我院眼科引进欧宝超广角眼底照像机_https://www.jmylbn.com_新闻资讯_第2张
眼底照相机怎么眼底一张照  眼疾早知道——我院眼科引进欧宝超广角眼底照像机_https://www.jmylbn.com_新闻资讯_第3张

难道就没有不需要散瞳,又能精准查清眼底的方法吗?

眼底照相机怎么眼底一张照  眼疾早知道——我院眼科引进欧宝超广角眼底照像机_https://www.jmylbn.com_新闻资讯_第4张
眼底照相机怎么眼底一张照  眼疾早知道——我院眼科引进欧宝超广角眼底照像机_https://www.jmylbn.com_新闻资讯_第5张

当然有!

近日,我院东院区眼科引进了欧宝超广角眼底照像机,正式结束了“通过散瞳才能检查眼底”的历史,只需0.4秒即可完成一次全方位的眼底检查,高清、360度无死角,让眼疾一览无余,无处遁形!

眼底照相机怎么眼底一张照  眼疾早知道——我院眼科引进欧宝超广角眼底照像机_https://www.jmylbn.com_新闻资讯_第6张

  那么,这台眼底照相机到底好在哪里呢!我们一起先来了解一下眼底检查的前世今生:

  视网膜,深藏于眼球深处,是我们感知世界的主要途径,但是当视网膜发生病变时,由于眼睛特殊的解剖结构,想要清楚的观察到它的病变部位,却是非常困难的。

眼底照相机怎么眼底一张照  眼疾早知道——我院眼科引进欧宝超广角眼底照像机_https://www.jmylbn.com_新闻资讯_第7张

  1851年,国外的专家发明了第一台眼底镜,是通过物理学和光学的原理来看到眼底,需医生要用单眼趴在患者的脸上,看到的范围小; 

  后来又出现了间接眼底镜,可以双目检查患者眼底,也有立体感,但要想看得更清楚,需要把瞳孔散大,这对部分人群来说,如青光眼患者、对药物过敏的患者来说,存在一定的风险;

  上世际初又发明了眼底照相机,但清晰度较差,另外检查时也需要患者的高度配合,才能取得好的效果;

  而现在,欧宝超广角眼底照像机的诞生,是眼底激光扫描系统的一个飞跃,被认为是检眼镜发明以来,在眼科检查领域重大的进步,医生不仅可以清楚看到患者黄斑、视盘、血管和视网膜等眼底情况,还能根据眼底形态变化来评估眼睛或全身存在什么疾病,尽早发现尽早干预治疗。

眼底照相机怎么眼底一张照  眼疾早知道——我院眼科引进欧宝超广角眼底照像机_https://www.jmylbn.com_新闻资讯_第8张

  并且患者也可以通过照片直观的认识到自己疾病的表现和程度,通过不同时期的眼底照片对比还能反映疾病的变化,从而更好配合医生的治疗。


欧宝超广角眼底照像机的四大特点
眼底照相机怎么眼底一张照  眼疾早知道——我院眼科引进欧宝超广角眼底照像机_https://www.jmylbn.com_新闻资讯_第9张
1
免散瞳,无接触:
眼底照相机怎么眼底一张照  眼疾早知道——我院眼科引进欧宝超广角眼底照像机_https://www.jmylbn.com_新闻资讯_第10张

  免正常瞳孔直径2.5-4mm,而欧堡对瞳孔的要求只有2mm,小于正常眼瞳孔大小,并且对检查室灯光基本无要求,大大提高了检查效率;

眼底照相机怎么眼底一张照  眼疾早知道——我院眼科引进欧宝超广角眼底照像机_https://www.jmylbn.com_新闻资讯_第11张

眼底照相机怎么眼底一张照  眼疾早知道——我院眼科引进欧宝超广角眼底照像机_https://www.jmylbn.com_新闻资讯_第9张
2
成像快,省时间:
眼底照相机怎么眼底一张照  眼疾早知道——我院眼科引进欧宝超广角眼底照像机_https://www.jmylbn.com_新闻资讯_第13张

  成在0.4秒内完成眼底照相。不需要受检者特殊配合,从儿童到成人均适合;

眼底照相机怎么眼底一张照  眼疾早知道——我院眼科引进欧宝超广角眼底照像机_https://www.jmylbn.com_新闻资讯_第14张

眼底照相机怎么眼底一张照  眼疾早知道——我院眼科引进欧宝超广角眼底照像机_https://www.jmylbn.com_新闻资讯_第9张
3
超大范围:
眼底照相机怎么眼底一张照  眼疾早知道——我院眼科引进欧宝超广角眼底照像机_https://www.jmylbn.com_新闻资讯_第10张

  超眼底成像范围以200°占据绝对优势,能够覆盖眼底82%的视网膜。加上眼位引导功能,拍照范围可达220°~240°。3D模式可以立体观察眼底;

眼底照相机怎么眼底一张照  眼疾早知道——我院眼科引进欧宝超广角眼底照像机_https://www.jmylbn.com_新闻资讯_第17张

眼底照相机怎么眼底一张照  眼疾早知道——我院眼科引进欧宝超广角眼底照像机_https://www.jmylbn.com_新闻资讯_第9张
4
多通道,观察不同层次:
眼底照相机怎么眼底一张照  眼疾早知道——我院眼科引进欧宝超广角眼底照像机_https://www.jmylbn.com_新闻资讯_第13张

  多欧堡使用绿激光进行视网膜扫描,红激光进行深层视网膜和脉络膜的扫描,进行分层疾病观察。

眼底照相机怎么眼底一张照  眼疾早知道——我院眼科引进欧宝超广角眼底照像机_https://www.jmylbn.com_新闻资讯_第20张

  省时、准确、快捷、无创!说的就是它啦 !


什么人需要查眼底?多长时间查一次?

  1、有高血压、高血脂、糖尿病、风湿免疫类疾病的患者:每年查一次,发生糖尿病视网膜病变者应缩短检查间隔时间;

  2、近视人群(特别是大于600度的高度近视):至少每年检查一次眼底;

  3、青光眼或有眼底病家族史的人群每年检查一次;

  4、当视力突然下降、视物模糊或变形时,及时检查;

  5、有妊高症的准妈妈或普通孕妇,都可以在怀孕期间将眼底检查做为必查项目;

  6、另外眼科医生更强烈建议健康人群,将眼底全视网膜眼底照相做为一个常规的体检项目,每年进行一次,为自己建立一个眼底健康档案。


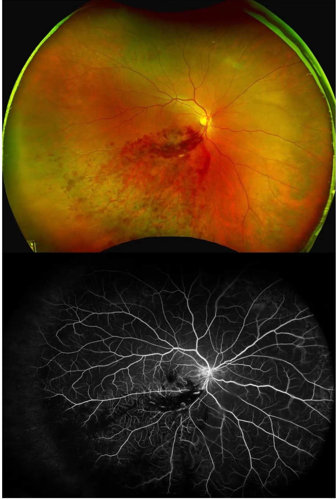
部分眼底病病病变图片

眼底照相机怎么眼底一张照  眼疾早知道——我院眼科引进欧宝超广角眼底照像机_https://www.jmylbn.com_新闻资讯_第21张

视网膜脱离

眼底照相机怎么眼底一张照  眼疾早知道——我院眼科引进欧宝超广角眼底照像机_https://www.jmylbn.com_新闻资讯_第22张

视网膜分支静脉阻塞

眼底照相机怎么眼底一张照  眼疾早知道——我院眼科引进欧宝超广角眼底照像机_https://www.jmylbn.com_新闻资讯_第23张

星状玻璃体变性

眼底照相机怎么眼底一张照  眼疾早知道——我院眼科引进欧宝超广角眼底照像机_https://www.jmylbn.com_新闻资讯_第24张

糖尿病视网膜眼底改变


  视界越大,世界越大!

  已经有许多靓照的你,是不是还不知道自己的眼底长什么样子吧?是时候给自己的眼底也留一张美照了!

  约起来吧!


文/李艳红(眼科)

编辑/冀慧丽 审核/陈爱云


眼底照相机怎么眼底一张照  眼疾早知道——我院眼科引进欧宝超广角眼底照像机_https://www.jmylbn.com_新闻资讯_第25张