百胜彩超怎么样【州医先进设备】精准诊断引领精准治疗(十)——介入超声新利器,百胜MyLab 9引领精准医疗

新闻资讯2026-04-21 19:59:19


点击上方蓝字关注我们

百胜彩超怎么样【州医先进设备】精准诊断引领精准治疗(十)——介入超声新利器,百胜MyLab 9引领精准医疗_https://www.jmylbn.com_新闻资讯_第1张

百胜彩超怎么样【州医先进设备】精准诊断引领精准治疗(十)——介入超声新利器,百胜MyLab 9引领精准医疗_https://www.jmylbn.com_新闻资讯_第2张

百胜彩超怎么样【州医先进设备】精准诊断引领精准治疗(十)——介入超声新利器,百胜MyLab 9引领精准医疗_https://www.jmylbn.com_新闻资讯_第3张

“工欲善其事,必先利其器”。先进设备是实现精准医疗、提高治疗效果的关键。通过高精尖端设备的科技手段,医生能够更快速、科学、全面地诊断与治疗病患,甘南州人民医院目前拥有大型百万元以上医疗设备22台(件),10万元以上设备231台(件),部分核心设备处于国际先进水平,为疾病诊断和治疗提供了坚实的技术支持。为增强我州广大群众就医信心,促进医患沟通,推动医疗透明,提高公共健康意识,促进医疗质量持续提升,我院特推出精准诊断引领精准治疗特辑,揭秘医院先进医疗设备,护民安康。

甘南州人民医院超声医学科于2024年6月投入使用先进介入超声彩超仪百胜MyLab 9,让我院超声诊断再添新利器。百胜MyLab 9的临床应用不仅提升了超声诊断的深度和广度,还通过智能化、精准化的技术革新推动诊疗流程优化,最终实现患者获益、医生效率提升和医院综合服务能力的增强,在提升我院诊断能力和支持复杂病例与科研中均具有重要意义。

百胜彩超怎么样【州医先进设备】精准诊断引领精准治疗(十)——介入超声新利器,百胜MyLab 9引领精准医疗_https://www.jmylbn.com_新闻资讯_第4张





超声彩超仪百胜MyLab 9

近年来,我院注重专科人才与团队建设,加大对科室的管理和服务优化及先进医疗设备的投入,使得我院超声医学科步入高质量发展的快车道,实现了诊断治疗一体化,科室服务能力和学科地位得到明显提升。目前开展的介入超声项目有:穿刺活检、置管引流、囊肿硬化诊,年自主完成介入超声手术量300余例,无论从介入范围,还是介入难度,都发展到一个全新高度。积淀了丰富的病例资料,展现了突出的人才优势,不断更新介入超声管理理念,为临床解决了许多重症、急诊、疑难和棘手病例,参与了院内多个介入MDT团队,深受临床重视和广大医生与患者的信任,产生了显著的社会效益。在全州产生了良好辐射影响力,许多患者慕名前来诊治,长期承担基层医院介入超声手术指导和介入超声室的帮扶建设。


百胜彩超怎么样【州医先进设备】精准诊断引领精准治疗(十)——介入超声新利器,百胜MyLab 9引领精准医疗_https://www.jmylbn.com_新闻资讯_第5张

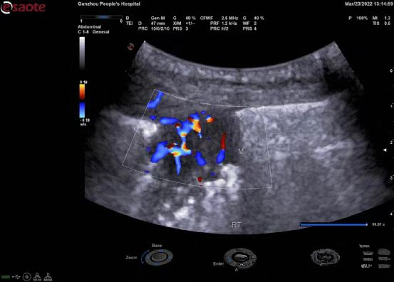
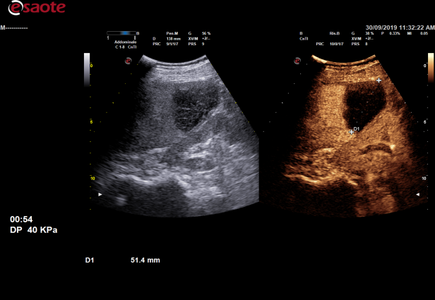
百胜MyLab 9是百胜医疗推出的集临床诊断、介入治疗和科研应用于一体的高端介入彩超仪,可提供更清晰的图像、更丰富的彩色显示和锐利的对比分辨率。在介入超声方面有完善的探头和技术,包括小微凸探头、双平面腔内探头、融合导航成像、造影成像与定量分析、微血管血流成像等方面表现优异,助力介入超声诊疗工作高效、精准开展。

01


造影谐波成像Ultra-CnTI

通过对发射脉冲频带及能量的精确控制,使脉冲最佳的匹配造影剂微泡的非线性响应,从而获得纯净、丰富的、超强的造影剂回波信号:HFRI 高帧频动脉关注成像-更好的造影动脉相CCPI编码造影成像-利用编码成像原理进行发射和接,提高深部组织的造影穿透力DCTI造影三频段接收技术-提高造影剂检测灵敏度,更少的造影剂用量DP声压精控技术-可最大限度的保护微泡,减少微泡破裂,保证持续的、清晰的造影剂灌注观测,可进一步提高对造影微泡敏感的检测,具有更好的造影延迟相全身应用,尤其高频造影更为显著-腹部、高频、心脏、腔内、术中探头均支持造影功能,具有造影双幅动态显示和一键转换调节功能,造影动态图像连续长时间不间断采集;

百胜彩超怎么样【州医先进设备】精准诊断引领精准治疗(十)——介入超声新利器,百胜MyLab 9引领精准医疗_https://www.jmylbn.com_新闻资讯_第6张

术前诊断

百胜彩超怎么样【州医先进设备】精准诊断引领精准治疗(十)——介入超声新利器,百胜MyLab 9引领精准医疗_https://www.jmylbn.com_新闻资讯_第7张

术后评估

                  

02


双平面腔内探头:

1.凸阵-线阵组合,微凸探头大角度可视范围

2.微凸探头扫查频率:3-13MH,线阵探头扫查频率:3-13MHz

3.穿刺架应用:经会阴前列腺穿刺(有效避免经直肠穿刺所致出血及感染等风险)

4.临床应用:泌尿科、肛肠科、介入科等

5.泌尿科应用:前列腺检查及穿刺活检,放射粒子植入。                   

百胜彩超怎么样【州医先进设备】精准诊断引领精准治疗(十)——介入超声新利器,百胜MyLab 9引领精准医疗_https://www.jmylbn.com_新闻资讯_第8张

百胜彩超怎么样【州医先进设备】精准诊断引领精准治疗(十)——介入超声新利器,百胜MyLab 9引领精准医疗_https://www.jmylbn.com_新闻资讯_第9张

百胜彩超怎么样【州医先进设备】精准诊断引领精准治疗(十)——介入超声新利器,百胜MyLab 9引领精准医疗_https://www.jmylbn.com_新闻资讯_第10张

百胜彩超怎么样【州医先进设备】精准诊断引领精准治疗(十)——介入超声新利器,百胜MyLab 9引领精准医疗_https://www.jmylbn.com_新闻资讯_第11张

双平面探头

 该仪器同时配备小微凸探头,较常规凸阵探头曲率半径更大,操作灵活性更高,可应用于操作空间较小的部位,尤其适用于肋间隙狭窄、颈部短粗等患者的穿刺引导,实现了“小窗口、大视野”的境界。该探头功能全面,支持MicroV、造影成像,是介入应用中独具优势的“利器”。

百胜彩超怎么样【州医先进设备】精准诊断引领精准治疗(十)——介入超声新利器,百胜MyLab 9引领精准医疗_https://www.jmylbn.com_新闻资讯_第12张





小微凸探头显示大视野

        专 家 简 介           

百胜彩超怎么样【州医先进设备】精准诊断引领精准治疗(十)——介入超声新利器,百胜MyLab 9引领精准医疗_https://www.jmylbn.com_新闻资讯_第13张

百胜彩超怎么样【州医先进设备】精准诊断引领精准治疗(十)——介入超声新利器,百胜MyLab 9引领精准医疗_https://www.jmylbn.com_新闻资讯_第14张


 李全琳,甘肃省妇幼保健院(甘肃省中心医院)中级职称,2012年本科毕业于兰州大学医学影像与核医学专业,2018年取得硕士学位,从事妇产及儿科超声诊断工作13年,曾在深圳市儿童医院及浙大一附院进修学习,主要擅长妇产及儿科常见病及疑难病相关超声诊断,发表SCI论文两篇,国家级核心期刊2篇,参与完成科研项目5项,一项科研获得甘肃省科技进步奖二等,两项分别获得甘肃医学科技奖一、二等荣誉。

百胜彩超怎么样【州医先进设备】精准诊断引领精准治疗(十)——介入超声新利器,百胜MyLab 9引领精准医疗_https://www.jmylbn.com_新闻资讯_第15张

百胜彩超怎么样【州医先进设备】精准诊断引领精准治疗(十)——介入超声新利器,百胜MyLab 9引领精准医疗_https://www.jmylbn.com_新闻资讯_第16张

       

 卓玛,超声科主任,高级职称,本科毕业于西北民族大学。系甘肃省超声医学工程学会常务理事,先后在兰州大学第二医院、联勤保障部队第940医院、甘肃省人民医院、天津医科大学总医院进修学习。从事腹部、妇科、产科、浅表器官、心脏及外周血管彩超、经颅多普勒;率领科室开展新项目、新技术,先后发表医学论文6余篇,2015年完成州级科研课题,荣获甘南州科技进步二等奖,2016荣获甘肃省万名医师支农优秀医师,2017年荣获甘肃省基层优秀超声医师,2019年荣获甘肃省第二个“中国医师节”优秀医师。

百胜彩超怎么样【州医先进设备】精准诊断引领精准治疗(十)——介入超声新利器,百胜MyLab 9引领精准医疗_https://www.jmylbn.com_新闻资讯_第17张

百胜彩超怎么样【州医先进设备】精准诊断引领精准治疗(十)——介入超声新利器,百胜MyLab 9引领精准医疗_https://www.jmylbn.com_新闻资讯_第18张


 王海岩,中共党员,中级职称,本科学历,毕业于甘肃中医药大学,先后在甘肃省人民医院进修学习。从事胎儿系统筛查、NT、浅表器官、腹部、心脏、外周血管、泌尿系统疾病的超声诊断及介入治疗。

百胜彩超怎么样【州医先进设备】精准诊断引领精准治疗(十)——介入超声新利器,百胜MyLab 9引领精准医疗_https://www.jmylbn.com_新闻资讯_第19张

百胜彩超怎么样【州医先进设备】精准诊断引领精准治疗(十)——介入超声新利器,百胜MyLab 9引领精准医疗_https://www.jmylbn.com_新闻资讯_第20张


 杨晓云,中共党员,中级职称,本科学历,毕业于宁夏医科大学,先后在浙江大学附属第一人民医院、甘肃省人民医院进修学习。从事妇科、产科、浅表器官、心脏、外周血管、泌尿系统疾病的超声诊断及介入治疗。


百胜彩超怎么样【州医先进设备】精准诊断引领精准治疗(十)——介入超声新利器,百胜MyLab 9引领精准医疗_https://www.jmylbn.com_新闻资讯_第21张

   审  核:王学平

   责  编:王志强
   编  辑:何   梅 
   供  稿:超声科

百胜彩超怎么样【州医先进设备】精准诊断引领精准治疗(十)——介入超声新利器,百胜MyLab 9引领精准医疗_https://www.jmylbn.com_新闻资讯_第22张


百胜彩超怎么样【州医先进设备】精准诊断引领精准治疗(十)——介入超声新利器,百胜MyLab 9引领精准医疗_https://www.jmylbn.com_新闻资讯_第23张

百胜彩超怎么样【州医先进设备】精准诊断引领精准治疗(十)——介入超声新利器,百胜MyLab 9引领精准医疗_https://www.jmylbn.com_新闻资讯_第24张

扫描关注甘南藏族自治州人民医院了解更多动态