痔疮套扎吻合器怎么用内痔超级微创疗法——经内镜痔上直肠黏膜套扎术

新闻资讯2026-04-21 19:51:50
痔疮套扎吻合器怎么用内痔超级微创疗法——经内镜痔上直肠黏膜套扎术_https://www.jmylbn.com_新闻资讯_第1张

痔是指直肠末端黏膜下及肛门黏膜的静脉丛发生曲张而形成的柔软静脉团。目前对痔的认识主要有肛垫下移学说静脉曲张学说


肛垫是直肠肛门正常解剖的一部分,肛垫的支持结构、血管丛及动静脉吻合发生病理性改变,导致静脉迂曲扩张,静脉的充血性肥大又增加了肛垫的下移、脱垂趋势,久而久之即形成痔,病人出现出血、脱出、疼痛、嵌顿等症状。


内痔分级

2018年,美国结直肠外科医师协会痔管理临床实践指南(ASCRS2018版)把内痔分为以下四个级别

痔疮套扎吻合器怎么用内痔超级微创疗法——经内镜痔上直肠黏膜套扎术_https://www.jmylbn.com_新闻资讯_第2张

这个分级被广泛采用,并指导了很多痔疮患者的治疗。但随着内镜下内痔治疗的开展和普及,通过电子内镜头端的高清晰摄像头,医生可以在内镜下更清楚的观察肛门和痔的症状。并在内镜活检孔道的帮助下,借助各种器械对内痔进行治疗,这极大的推进了内镜下内痔治疗技术的发展。


在不断的操作和积累中,我们看到了不同类型的病例,因为内镜下治疗和肛门镜下治疗的观察角度和操作略有不同,我们初步总结了一些适用于内镜下的内痔分级的概念,提出来和大家沟通交流。


内镜下内痔分级和分期

内镜下内痔治疗的倒镜方法:

借助内镜先端部透明帽的支撑,内镜在直肠壶腹部进行U型反转,这样可对肛门齿状线附近及直肠远端黏膜进行有效的观察。


从内镜下我们观察到,痔的脱出一开始是从肛管相对薄弱的局部出现的,比如肛管的前侧壁。内镜下可看到局部脱出的痔上直肠黏膜呈条状凸起;严重时则可出现环周的脱出,内镜下可观察到痔上直肠黏膜整体松弛。


我们根据痔静脉突起、表面性状及脱出程度等,尝试在内镜下将内痔分级轻、中、重三度。临床分期为活动期和缓解期,活动期内镜下表现为痔黏膜充血水肿明显,表面红色征或血泡征,伴糜烂、溃疡及活动性出血等


痔疮套扎吻合器怎么用内痔超级微创疗法——经内镜痔上直肠黏膜套扎术_https://www.jmylbn.com_新闻资讯_第3张
痔疮套扎吻合器怎么用内痔超级微创疗法——经内镜痔上直肠黏膜套扎术_https://www.jmylbn.com_新闻资讯_第4张

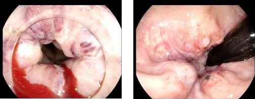
病例1 中度内痔

(局部脱出伴红色征)


痔疮套扎吻合器怎么用内痔超级微创疗法——经内镜痔上直肠黏膜套扎术_https://www.jmylbn.com_新闻资讯_第5张

病例2 重度内痔

(环周脱出伴红色征、糜烂)


痔疮套扎吻合器怎么用内痔超级微创疗法——经内镜痔上直肠黏膜套扎术_https://www.jmylbn.com_新闻资讯_第6张

病例3 重度内痔

(环周脱出伴红色征、血泡征、糜烂、出血)


常规治疗方法

胶圈套扎(RBL)疗法是欧美国家最流行且最有效的治疗痔病方法。痔组织的结扎可导致脱垂黏膜的缺血坏死,进而形成瘢痕固定。包括外科吸入式套扎和内镜下直视套扎等,适用于II、III度内痔的治疗,术后复发率低。常见的并发症有出血、疼痛等。


硬化疗法是将硬化剂注射到痔核,破坏血管内皮产生无菌性炎症,粘膜下组织纤维化进而固定痔组织。包括肛镜下硬化剂注射和透明帽辅助内镜下硬化注射(CAES)等,适用于I-III度内痔的治疗,对Ⅰ度痔的效果更佳,长期复发率高,可导致黏膜溃疡、坏死或罕见的感染并发症等。


吻合器痔固定术(PPH)是采用一个环形吻合器切除直肠下端黏膜及黏膜下层组织,在切除的同时对近远端黏膜进行吻合,使脱垂的内痔及黏膜被向上悬吊和牵拉,回复到正常的解剖位置。适用于环状脱垂的III、IV度内痔,可出现独有的严重并发症,如直肠阴道瘘、吻合口出血及狭窄等。


治疗方案选择

痔疮套扎吻合器怎么用内痔超级微创疗法——经内镜痔上直肠黏膜套扎术_https://www.jmylbn.com_新闻资讯_第7张




理想的痔病治疗方案

从多方获益多角度看来,能够消除症状,保持肛门结构和功能的完整性,修复肛垫、不破坏或损伤痔组织,以及切实提高生活质量(包括无痛化术后体验)的治疗方案才可以算得上是一种较为理想的治疗方案。



经内镜

痔上直肠黏膜套扎术


令狐恩强教授最近提出了基于保持人体解剖结构和功能的完整性、达到祛除疾病目的的超级微创新理念。


结合前人广泛的操作经验,针对内痔合并脱出的情况,在吻合器痔固定术(PPH)和痔胶圈套扎术的基础上,我们尝试设计了经内镜痔上直肠黏膜套扎的治疗方法。


该方法套扎后可即刻将脱出的痔向上牵拉,随后套扎的粘膜缺血坏死并脱落,局部组织瘢痕化可形成持久牵拉作用。套扎的部位是痔上的直肠黏膜,而非在痔核上套扎,保持了肛门结构和功能的完整性,修复肛垫,不破坏或损伤痔组织,减少了吻合器痔固定术和痔胶圈套扎术所致的相关并发症。



适应症和禁忌症

适应症:

经内镜痔上直肠黏膜套扎术适用于内痔并脱出和(或)出血等症状,包括II、III度内痔及混合痔的内痔部分。混合痔的内痔部分经套扎后,其提吊作用使肛垫上移,外痔脱出也得到不同程度的改善。


禁忌症:

(1)有严重的心、肝、肾疾患及凝血功能障碍;

(2)有盆腔放疗史;

(3)严重免疫功能缺陷;

(4)直肠及肛管有严重感染或炎性病变;

 


术前准备

患者在术前签署知情同意书,完善血常规、凝血功能等相关检查,肠道准备同肠镜检查。选择与所使用内窥镜相匹配的多环套扎器,将套筒安装在内镜头端,尽量往前推紧,使其牢固嵌套,以确保器械正常使用。



治疗方法

可正镜或在直肠壶腹部进行U型反转,对准肛直线上缘直肠黏膜保持负压吸引,应避免吸入痔组织,黏膜进入套筒直到观察到全屏“粉色或红色征”,顺时针转动套扎器手柄,直至感知套扎环被成功触发。松开内镜的负压吸引,并送入气体,然后推进内镜少许,使被套扎的黏膜从套筒中出来。根据手术需要,可重复以上步骤继续套扎。对于内痔的局部脱出,可在痔上直肠黏膜进行橡皮圈套扎2-3个套扎环,对于内痔的环周脱出,可在痔上直肠黏膜环周套扎4-6个套扎环。


痔疮套扎吻合器怎么用内痔超级微创疗法——经内镜痔上直肠黏膜套扎术_https://www.jmylbn.com_新闻资讯_第8张

套扎部位

(肛直线上方直肠黏膜)


痔疮套扎吻合器怎么用内痔超级微创疗法——经内镜痔上直肠黏膜套扎术_https://www.jmylbn.com_新闻资讯_第9张

套扎后肛门外观即刻改变



治疗要点

1、安装套扎器后内镜视野受到一定的影响,应将肛管及直肠粘膜冲洗吸引干净后再安装套扎器,以获得良好视野;


2、强调在肛直线以上的直肠黏膜套扎,避免吸入痔组织;避免在同一水平或相邻部位多点套扎,因张力过大而导致组织损伤和胶圈滑脱等情况发生;


3、套扎治疗后可即刻将脱出的痔向上牵拉,患者松弛的肛门得以收紧,肠镜检查过程中注入的气体会导致部分患者腹胀等,可用肠镜抽气或置入肛管辅助排气;


4、可在痔上直肠黏膜套扎的基础上联合内痔硬化剂注射治疗,由于先行痔上直肠黏膜套扎,将脱出的痔向上提拉,在注射治疗时可减少该部位硬化剂的用量;


5、传统RBL治疗术后有少数患者会感到明显疼痛,这可能与套扎位置不适合或低于齿状线所致;痔上直肠黏膜套扎是在肛直线上缘的直肠黏膜进行的,该处躯体神经缺乏,则不会引起患者的疼痛。


6、出血是传统RBL治疗术后的常见并发症,与套扎痔核后引起的溃疡有关;而痔上直肠黏膜套扎后形成的溃疡修复更快,出血的情况罕见;


7、对于内痔合并脱出严重的患者,一次套扎治疗难以获得满意效果,可重复多次治疗;一般套扎环在1周左右脱落,2-4周创面黏膜基本愈合,理想的套扎间隔时间为4周;


8、对于直肠及肛管有严重感染或炎性病变者,应积极控制感染后再行套扎治疗;


9、术后肛周感染是一个威胁生命的并发症,排尿障碍、疼痛加重或治疗后发热可能是肛周感染的初始症状,需对患者进行紧急评估。


写在最后

目前痔疮的治疗方法众多,内镜下的治疗方法各异,比如欧美国家多选择内痔套扎技术,而国内多选择内痔硬化技术等。我们针对内痔合并脱出的情况,综合吻合器痔固定术(PPH)和痔胶圈套扎术,设计了经内镜痔上直肠黏膜套扎的治疗方法,初期显现出较好的临床效果,进一步减少了痔治疗相关的并发症。本研究尚存在一定的局限性,比如研究的样本量较少,未将该方法与其他痔疮治疗方法进行对比,有必要设计一个严格的随机对照试验进一步评估,从而为该方法的临床开展提供更多的证据。


痔疮套扎吻合器怎么用内痔超级微创疗法——经内镜痔上直肠黏膜套扎术_https://www.jmylbn.com_新闻资讯_第10张

黄秀江

消化内科主任医师


黔东南苗族侗族自治州人民医院内镜中心主任

贵州省医学会消化内镜学分会副主任委员

贵州省中西医结合学会消化专业委员会副主任委员

中国非公立医疗机构协会消化内镜专业委员会委员

贵州省黔东南州消化病及消化内镜医学质量控制委员会主任委员

贵州省黔东南州医学会消化内镜学分会主任委员




痔疮套扎吻合器怎么用内痔超级微创疗法——经内镜痔上直肠黏膜套扎术_https://www.jmylbn.com_新闻资讯_第11张

得了痔疮实在是太难了,还好,医生有《指南》


来都来了,做完肠镜,把痔疮也扎了吧!


【ESGE最新指南】2019年胆总管结石的内镜治疗指南


五分钟看完胃肠道支架释放雷区,这十个坑请绕行


【名家之作】内镜逆行性阑尾炎治疗


内镜下贲门松弛紧缩术治疗胃食管反流病92例的疗效观察


2018版非静脉曲张性上消化道出血的最新修改共识


【同步大会讲座】梁永昌教授:胆道支架概论


痔疮套扎吻合器怎么用内痔超级微创疗法——经内镜痔上直肠黏膜套扎术_https://www.jmylbn.com_新闻资讯_第12张

声         明

本文已获授权,感谢黄秀江主任对内镜新知的支持!

本文仅做知识分享用,不用于其他商业用途。对本文有兴趣,引用时请列明出处;

本文的著作权属于原著作者本人。EndoNews内镜新知作为知识的分享者,只为了让更多读者学习到这些宝贵的知识;如有妨碍作者版权,请及时联系我们;

痔疮套扎吻合器怎么用内痔超级微创疗法——经内镜痔上直肠黏膜套扎术_https://www.jmylbn.com_新闻资讯_第13张


痔疮套扎吻合器怎么用内痔超级微创疗法——经内镜痔上直肠黏膜套扎术_https://www.jmylbn.com_新闻资讯_第14张
痔疮套扎吻合器怎么用内痔超级微创疗法——经内镜痔上直肠黏膜套扎术_https://www.jmylbn.com_新闻资讯_第15张

EndoNews 内镜新知

靠谱的内镜知识传播者


欢迎提供各类知识线索,专栏约稿,学术活动!

联络微信:meybefly