电刀怎么洗我以为只要洗个牙,医生你怎么还拿起了手术刀?

新闻资讯2026-04-21 18:51:08

电刀怎么洗我以为只要洗个牙,医生你怎么还拿起了手术刀?_https://www.jmylbn.com_新闻资讯_第1张

上回说到,不少人因为牙结石堆积严重,由单纯的牙龈炎症发展成牙周炎,因此要花费上千元来完成进阶版的洁牙——龈下刮治。


如果你的牙周炎已经发展到比较严重的阶段了,甚至连龈下刮治也解决不了问题了,怎么办?


电刀怎么洗我以为只要洗个牙,医生你怎么还拿起了手术刀?_https://www.jmylbn.com_新闻资讯_第2张


这种时候,医生可能会建议你挨一刀——行牙周手术,例如把没法消退的增生牙龈切除掉,又或者把牙龈翻开来刮治。


电刀怎么洗我以为只要洗个牙,医生你怎么还拿起了手术刀?_https://www.jmylbn.com_新闻资讯_第3张


很多人总是谈手术色变,其实不用太紧张,牙周手术通常在诊室就能完成,还会配合一定的麻醉,你可以把它当做是进一步的牙周治疗。







常见的牙周手术有哪些?


牙龈切除术

牙龈切除术是通过手术刀、电刀或者激光切除因牙周炎或药物影响而增生肥大的牙龈组织、后牙某些部位的假性牙周袋,以及一些妨碍进食、口腔卫生清洁的瘤样增生物。


通常情况下,医生会通过洁治、刮治等牙周基础治疗进行控制,若增生的牙龈仍然无法消退,才会通过牙龈切除术来治疗。


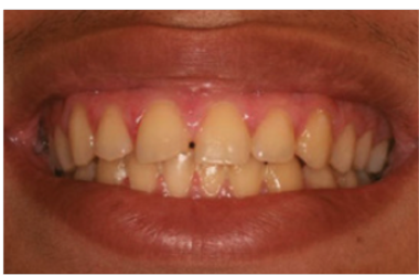
电刀怎么洗我以为只要洗个牙,医生你怎么还拿起了手术刀?_https://www.jmylbn.com_新闻资讯_第4张

治疗前

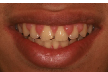
电刀怎么洗我以为只要洗个牙,医生你怎么还拿起了手术刀?_https://www.jmylbn.com_新闻资讯_第5张

治疗后



电刀和激光都有止血功能,因此这种手术出血量较小,愈合时间也不会过长,大家也不必过度抗拒。




牙周翻瓣术

简单地说,就是把牙龈切开翻开,使得医生可以在直视下清理牙齿表面及周围的感染物质,必要时还要修整一下形态不规则的牙槽骨,使其恢复正常的外形,让牙周达到健康状态。


电刀怎么洗我以为只要洗个牙,医生你怎么还拿起了手术刀?_https://www.jmylbn.com_新闻资讯_第6张


这种适合完成洁治、刮治等基础治疗后,炎症仍然控制不佳的患者。




牙周再生手术

牙周再生手术可以说是治疗牙周炎的秘密武器


众所周知,牙周炎往往会引起牙槽骨不同程度的吸收破坏,当发生不规则的骨吸收时,容易在牙齿周围形成较深的骨坑。


面对这种情况,医生会利用再生材料填充“骨坑”,再用一层生物膜放在牙龈和牙根面之间,诱导患者自己的骨头和牙周组织生长,慢慢地填上这个坑,恢复原来的结构和功能。


电刀怎么洗我以为只要洗个牙,医生你怎么还拿起了手术刀?_https://www.jmylbn.com_新闻资讯_第7张


再生手术所耗费的时间较长,往往需要3-6个月供新骨头形成、生长。


电刀怎么洗我以为只要洗个牙,医生你怎么还拿起了手术刀?_https://www.jmylbn.com_新闻资讯_第8张

再生手术前后








牙周治疗不要怕 医患配合最重要!



牙周病导致的牙齿松动,成为了牙齿脱落重要的原因之一,如果能在前期介入治疗,及时地完成牙周基础治疗和手术治疗,可能就不会造成这样的后果。


随着医疗技术的发展,在麻醉、舒适化的辅助下,牙周手术并没有那么疼、也没有想象中的那么可怕,大多数在门诊手术室就可以完成,结束即可离开。


所以,千万不要谈“手术”色变,毕竟再贵的种植牙,也不如健康的天然牙好使,如果有机会,就需要患者和医生共同努力,把牙留住!


电刀怎么洗我以为只要洗个牙,医生你怎么还拿起了手术刀?_https://www.jmylbn.com_新闻资讯_第9张


牙周病的治疗是一项系统工程,无论是前期的基础治疗,还是各种牙周手术,除了需要医生制定周密的治疗计划外,还要患者的密切配合。否则,再精湛的治疗技术都会付诸东流。


电刀怎么洗我以为只要洗个牙,医生你怎么还拿起了手术刀?_https://www.jmylbn.com_新闻资讯_第10张





内容提供:潘云萍

深圳市口腔医院口腔内科医学中心牙周黏膜科  主治医师

擅长牙龈炎及牙周炎等疾病诊治,包括牙周基础治疗、制定系统性治疗计划以及牙周再生手术等治疗


电刀怎么洗我以为只要洗个牙,医生你怎么还拿起了手术刀?_https://www.jmylbn.com_新闻资讯_第11张




牙周黏膜科

电刀怎么洗我以为只要洗个牙,医生你怎么还拿起了手术刀?_https://www.jmylbn.com_新闻资讯_第12张


牙周黏膜科是深圳市首个专门从事牙周病诊断治疗的专业化科室,拥有国内知名专家、博士硕士组成的牙周专科医师队伍和经过培训的口腔卫生保健员的医护团队。全部经过高等院校学习及专业临床技术培训,拥有丰富的临床经验。本科室全面引进国内外新理念,是集医疗、教学、科研、预防为一体的专业科室。


科室配有牙科综合治疗台15台,具有一流的牙周治疗器械、先进设备和治疗技能,注重舒适化治疗(牙周超声波治疗仪、龈上龈下喷砂机、激光治疗仪、Florida 牙周电子压力探针、高频电刀、超声骨刀等)。


科室主要承担业务范围:

1. 各种类型牙周疾病的诊断与系统治疗;

2. 口腔卫生保健指导;

3. 牙周健康的长期维护治疗;

4. 开展以保牙、维护功能、兼顾美观为目的的病因治疗;

5. 牙冠延长术、翻瓣术、截根术、牙半切术、分牙术、位点保存术、膜龈手术等常规牙周手术及引导牙周组织再生术等各种手术治疗;

6. 与种植修复、正畸等多学科联合治疗。



- END -

编辑:刘晴丽

审核:方良、杨会林

图片来源于网络,版权归原作者所有

电刀怎么洗我以为只要洗个牙,医生你怎么还拿起了手术刀?_https://www.jmylbn.com_新闻资讯_第13张