牙科骨凿怎么用想象中的拔牙VS现实中的拔牙

新闻资讯2026-04-21 18:07:15

走进口腔科

躺在牙椅上

她对接下来发生的一切一无所知

直到听见电钻声响起

无数颗钉子拧进骨头里导致浑身发汗、

微微颤颤

“我不敢了,我再也不敢了~”

这是张女士(化姓)

在拔智齿前一晚脑补的画面


牙科骨凿怎么用想象中的拔牙VS现实中的拔牙_https://www.jmylbn.com_新闻资讯_第1张

图源:千图网


结果医生告诉她

拔牙根本不是想象中的这样



怕疼的“嘤嘤小可爱”

舒适化拔牙了解一下!


张女士对拔牙一直有拖延症

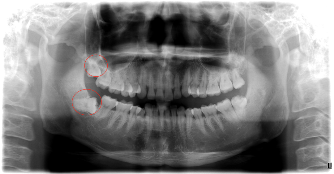
但她是埋伏阻生智齿

日前已经影响到神经

导致面部到颈部大片区域出现神经刺痛

牙科骨凿怎么用想象中的拔牙VS现实中的拔牙_https://www.jmylbn.com_新闻资讯_第2张
牙科骨凿怎么用想象中的拔牙VS现实中的拔牙_https://www.jmylbn.com_新闻资讯_第3张

左右滑动查看更多

水平阻生齿


口腔科柳军副主任医师

充分了解情况后

建议她用全新的拔牙技术——

全麻无痛舒适化拔牙

摒弃了传统的骨凿和敲锤

利用超声骨刀分离牙槽骨、牙体

对血管、神经、牙龈软组织创伤小

手术时间短、创口愈合快、

术后反应轻微……


很快,柳军副主任医师与麻醉师通力合作

张女士在睡梦中

完成了她的“无痛拔牙之旅”

醒来后,她表示:

“一觉醒来牙就拔完了、

不痛,也没机会害怕~”

舒适化拔牙“救”了她



有些智齿建议全麻下拔

不然太遭罪了


拔个牙还要全麻?

是不是有点小题大做?

对身体不会有什么影响吧?

针对大家的种种疑问和担忧

柳军主任解释,

全麻下拔除智齿

患者在整个手术过程中不会感觉到疼痛

术后的肿胀和不适感也会相对较轻

张女士术后仅轻微肿胀

这是因为全麻下手术操作更精准

减少了对周围组织的损伤

从而减轻了术后的肿胀和疼痛



牙科骨凿怎么用想象中的拔牙VS现实中的拔牙_https://www.jmylbn.com_新闻资讯_第4张


特别是对于难拔的智齿,

有些人真的受不了;

亦或者在治疗前就出现

心跳加快、血压异常、

出汗、肌肉紧张的牙科恐惧症,

无痛舒适化拔牙

可以让患者感受到心理和生理上的愉悦、

告别恐惧感,

是更加人性化的医疗服务。


如果您对拔牙也极其抗拒

没关系,可以在口腔医生的指导下

来一个“无痛”舒适化拔牙


牙科骨凿怎么用想象中的拔牙VS现实中的拔牙_https://www.jmylbn.com_新闻资讯_第5张


牙科骨凿怎么用想象中的拔牙VS现实中的拔牙_https://www.jmylbn.com_新闻资讯_第6张

这些情况更适合舒适化拔牙(全麻):


  • 牙科恐惧症患者:全麻可以让他们安静,避免产生心理创伤


  • 复杂的口腔治疗:如多颗牙齿或治疗时间较长时,全麻可以一次手术搞掂


  • 患者强烈要求:有些患者可能难以在局麻下配合治疗,这时候也可考虑全麻


  • 安全考虑:在某些情况下,为了确保治疗的安全性,避免因患者不配合而导致的意外伤害,如口腔黏膜损伤、异物误吞或误吸等,医生可能会建议全麻


需要注意的是,全麻拔牙需要医生对患者进行详细的个体化术前评估后实行,患者和家属也应了解全麻和局麻的利弊,做出适合自己的选择。


牙齿该不该拔?怎么拔?

纠结100回不如来

广东祈福医院口腔科看1回!



本文指导医生


牙科骨凿怎么用想象中的拔牙VS现实中的拔牙_https://www.jmylbn.com_新闻资讯_第7张

柳军

副主任医师 

种植、颌面外科专业


毕业于中山大学口腔医学院,从事口腔医疗工作二十余年。擅长局部及全口牙缺失的种植设计及修复;复杂阻生牙埋伏牙拔除,各种颌面软组织外伤缝合、骨折固定、颌骨囊肿切除;牙体缺损修复、固定桥修复、各类活动义齿的设计修复。



来源:口腔科

编辑:戴敏

审核:柳军 邓恒 鲍丹艳

温馨提示:本文仅作健康教育,不用于任何商业广告目的,且不提供诊疗建议,也不能替代医院的检查和治疗。如有相关疾病,请及时去正规医疗机构就诊,谨遵医嘱。


牙科骨凿怎么用想象中的拔牙VS现实中的拔牙_https://www.jmylbn.com_新闻资讯_第8张

往期精选

    牙科骨凿怎么用想象中的拔牙VS现实中的拔牙_https://www.jmylbn.com_新闻资讯_第9张

    喜欢就点赞、收藏、在看吧~