牙周治疗仪怎么做牙周超声喷砂牙周治疗仪,让您的牙齿更白更亮

新闻资讯2026-04-21 17:51:53
牙周治疗仪怎么做牙周超声喷砂牙周治疗仪,让您的牙齿更白更亮_https://www.jmylbn.com_新闻资讯_第1张

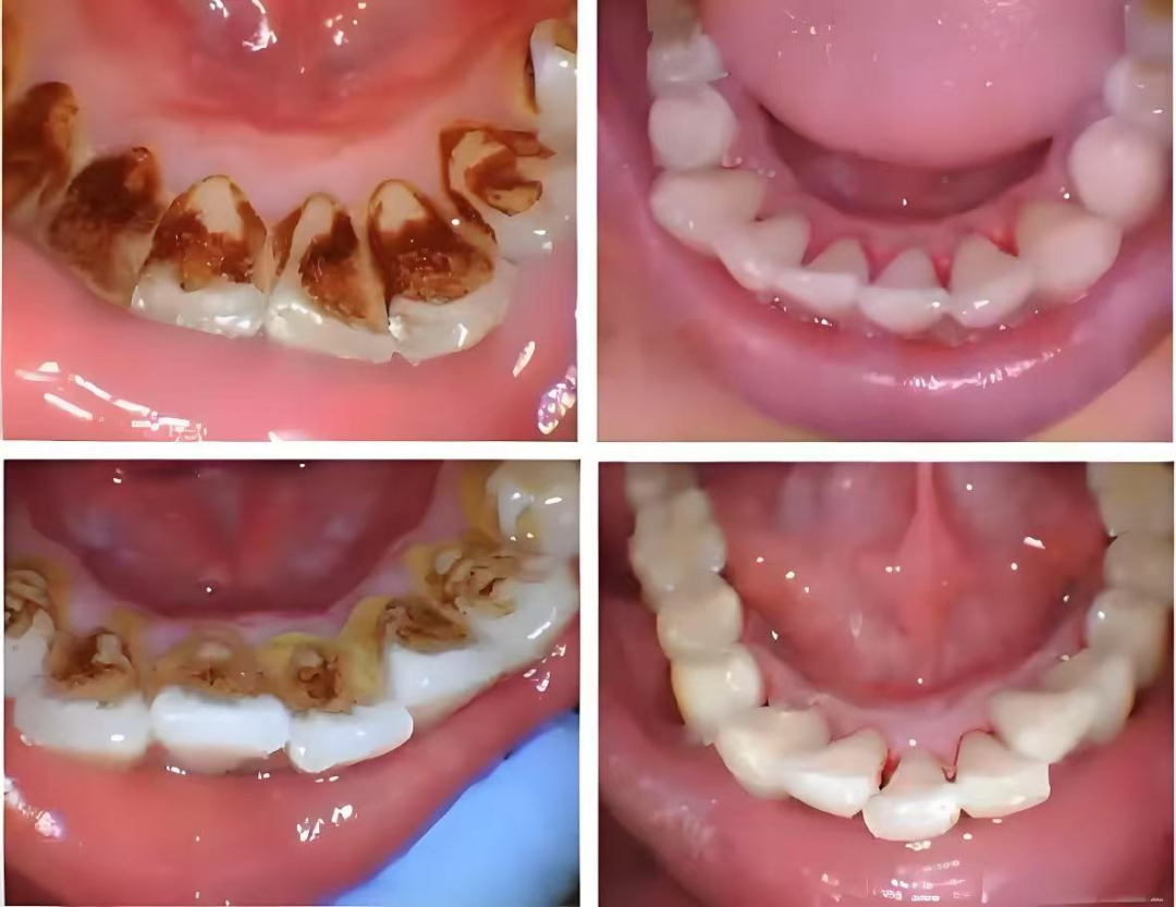
为不断完善学科建设,提升口腔诊疗水平、优化患者就医体验,今年以来,礼县中医医院口腔诊疗中心在院党政班子的关心支持下,引进了超声硼砂牙周治疗仪,这标志着我院在舒适化口腔治疗领域迈上了新台阶。这项技术将广泛应用于正畸托槽周围菌斑的精细化清除、种植体周围炎症预防性维护、儿童乳牙色素沉着等领域,为患者提供更安全、高效、舒适的口腔健康服务。

牙周治疗仪怎么做牙周超声喷砂牙周治疗仪,让您的牙齿更白更亮_https://www.jmylbn.com_新闻资讯_第2张
牙周治疗仪怎么做牙周超声喷砂牙周治疗仪,让您的牙齿更白更亮_https://www.jmylbn.com_新闻资讯_第3张



牙周治疗仪怎么做牙周超声喷砂牙周治疗仪,让您的牙齿更白更亮_https://www.jmylbn.com_新闻资讯_第4张

超声喷砂牙周治疗仪是集现代超声技术与喷砂特殊清洁功效于一体的先进口腔治疗设备。该设备利用高频超声产生的震动,能够精准、高效地去除牙齿表面及牙周袋内的牙菌斑、牙结石等顽固沉积物。同时,喷砂的加入起到了辅助清洁和抗菌的作用,它能够在治疗过程中释放出具有抑菌效果的成分,减少口腔内有害细菌的滋生,降低炎症发生的风险。

超声喷砂牙周治疗仪配备了多种精细的工作尖,可根据不同的治疗需求和患者口腔状况进行灵活选择,确保治疗的精准性和舒适性。其操作界面简洁明了,医生能够轻松、准确地控制各项参数,如超声功率、砂喷射量等,从而为患者提供针对性的治疗。

牙周治疗仪怎么做牙周超声喷砂牙周治疗仪,让您的牙齿更白更亮_https://www.jmylbn.com_新闻资讯_第2张
牙周治疗仪怎么做牙周超声喷砂牙周治疗仪,让您的牙齿更白更亮_https://www.jmylbn.com_新闻资讯_第6张
牙周治疗仪怎么做牙周超声喷砂牙周治疗仪,让您的牙齿更白更亮_https://www.jmylbn.com_新闻资讯_第7张
牙周治疗仪怎么做牙周超声喷砂牙周治疗仪,让您的牙齿更白更亮_https://www.jmylbn.com_新闻资讯_第8张
牙周治疗仪怎么做牙周超声喷砂牙周治疗仪,让您的牙齿更白更亮_https://www.jmylbn.com_新闻资讯_第9张

牙周治疗仪怎么做牙周超声喷砂牙周治疗仪,让您的牙齿更白更亮_https://www.jmylbn.com_新闻资讯_第4张

牙周治疗仪怎么做牙周超声喷砂牙周治疗仪,让您的牙齿更白更亮_https://www.jmylbn.com_新闻资讯_第11张

适用范围   

牙周治疗仪怎么做牙周超声喷砂牙周治疗仪,让您的牙齿更白更亮_https://www.jmylbn.com_新闻资讯_第12张

1.牙周疾病治疗。对于患有牙龈炎、牙周炎等常见牙周疾病的患者,超声喷砂牙周治疗仪能够深入牙周袋,彻底清除牙菌斑和牙结石,有效控制炎症,促进牙周组织的愈合和恢复。相较于传统治疗方法,大大减少了治疗过程中的不适感和治疗时间,提高了患者对治疗的依从性。

2.牙齿美容修复前期准备。在进行牙齿美白、烤瓷牙、种植牙等美容修复治疗前,使用该设备对牙齿进行全面清洁,能够去除牙齿表面的色素沉着和微小杂质,为后续的修复治疗打下良好的基础,提升修复效果的持久性和美观性。

3.日常口腔保健。对于注重口腔健康的人群,超声喷砂牙周治疗仪可作为定期口腔清洁的有效工具。通过定期使用该设备进行清洁,可以预防牙菌斑和牙结石的形成,保持口腔的清洁和卫生,维护牙齿和牙周组织的健康,预防口腔疾病的发生。

牙周治疗仪怎么做牙周超声喷砂牙周治疗仪,让您的牙齿更白更亮_https://www.jmylbn.com_新闻资讯_第2张
牙周治疗仪怎么做牙周超声喷砂牙周治疗仪,让您的牙齿更白更亮_https://www.jmylbn.com_新闻资讯_第14张

牙周治疗仪怎么做牙周超声喷砂牙周治疗仪,让您的牙齿更白更亮_https://www.jmylbn.com_新闻资讯_第4张

超声喷砂牙周治疗仪的引进,对牙周疾病的治疗具有重要的意义,未来,我们将不断提升医护人员的诊疗服务能力,并充分发挥该设备的优势,以更加专业、贴心的口腔诊疗服务,为广大患者提供优质的口腔健康需求。

牙周治疗仪怎么做牙周超声喷砂牙周治疗仪,让您的牙齿更白更亮_https://www.jmylbn.com_新闻资讯_第11张

     科室简介    

牙周治疗仪怎么做牙周超声喷砂牙周治疗仪,让您的牙齿更白更亮_https://www.jmylbn.com_新闻资讯_第12张

礼县中医医院口腔诊疗中心位于礼县中医医院住院楼1楼西侧,全科医务人员始终秉承“患者第一、服务至上”的理念,以高尚的医德、精湛的技术、饱满的热情,服务于广大人民群众。科室有CBCT、牙科种植机、超声骨刀、压力蒸汽灭菌器、超声波清洗器、医用清洗器,喷砂牙周治疗仪、数字化口腔扫描仪、根管预备机、光固化灯等先进设备。科室有现有专业技术人员12人。其中:医师7人,护理人员5人。多名医师曾赴联勤保障部队第987医院口腔科、天水市中西结合医医院口腔科、甘肃省人民医院口腔科等知名三甲医院进修学习口腔诊疗工作,在口腔种植、正畸、修复、牙周、儿童口腔等领域各有专长,可为患者提供精准、有效的预防、诊断、治疗及修复等口腔健康服务。并与联勤保障部队第987医院口腔科、成都安玉牙种植医院(原华西牙种植医院)深度合作,邀请专家坐诊、会诊,开展教学,指导临床工作及解决疑难复杂病例,为人民群众的口腔健康保驾护航。

牙周治疗仪怎么做牙周超声喷砂牙周治疗仪,让您的牙齿更白更亮_https://www.jmylbn.com_新闻资讯_第2张
牙周治疗仪怎么做牙周超声喷砂牙周治疗仪,让您的牙齿更白更亮_https://www.jmylbn.com_新闻资讯_第19张

牙周治疗仪怎么做牙周超声喷砂牙周治疗仪,让您的牙齿更白更亮_https://www.jmylbn.com_新闻资讯_第4张

预约电话:

赵大夫:18293926565

王大夫:13195805080

科室电话:0939-4453605

坐诊地点:礼县中医医院住院楼1楼西侧口腔诊疗中心。

牙周治疗仪怎么做牙周超声喷砂牙周治疗仪,让您的牙齿更白更亮_https://www.jmylbn.com_新闻资讯_第1张
牙周治疗仪怎么做牙周超声喷砂牙周治疗仪,让您的牙齿更白更亮_https://www.jmylbn.com_新闻资讯_第22张

监制:蒙新会 赵喜文        

审核:商军安

校审:王航佑      

编辑:白玉泉 朱彤

供稿:口腔科

牙周治疗仪怎么做牙周超声喷砂牙周治疗仪,让您的牙齿更白更亮_https://www.jmylbn.com_新闻资讯_第23张

国家二级甲等中医医院

甘肃•人民医院优势学科医联体

人民医院优势学科耳鼻咽喉头颈外科医联体

甘肃省中医院医疗集团成员单位

甘肃妇产科、儿科专科联盟单位

兰州大学第二医院妇科专科联盟单位

兰州大学第一医院医疗联盟单位

天水市第一人民医院胸痛中心联盟单位

陇南市第一人民医院医疗联合体

牙周治疗仪怎么做牙周超声喷砂牙周治疗仪,让您的牙齿更白更亮_https://www.jmylbn.com_新闻资讯_第24张