牙周治疗仪怎么做牙周牙周健康与治疗 --瑞丽市人民医院口腔科

新闻资讯2026-04-21 17:51:34
牙周治疗仪怎么做牙周牙周健康与治疗 --瑞丽市人民医院口腔科_https://www.jmylbn.com_新闻资讯_第1张

点击上方蓝字关注我们

牙周治疗仪怎么做牙周牙周健康与治疗 --瑞丽市人民医院口腔科_https://www.jmylbn.com_新闻资讯_第2张

牙周病是伴随人类最古老和最常见的疾病之一,至今其患病率在我国仍高居不下,已成为成年人牙齿丧失的最主要原因。中华口腔医学会2018—2020年连续三年学术主题均概括为“口腔健康,牙周护航”,就是凸显牙周健康的重要性,更是强调口腔各学科的工作都要关注牙周健康,强调牙周治疗和维护的积极配合,才能保证整体口腔组织的健康和综合治疗的持久稳定。

牙周病列表

年龄

牙周病患病率

平均缺牙

12-35

69%

3

35-44

97.2%

5

44-66

98%

12

67-74

99.4%

16


牙周医师专业小组

段红艳,口腔副主任医师,从事口腔工作35年,对舒适化牙周治疗有独特见解。

董静,主治医师,从事口腔工作10年,2015年于云南省第一人民医院牙周专业进修半年。

吴小燕,主治医师,从事口腔工作10年,2019年于云南省第一人民医院牙周专业进修半年。

尤举常,住院医治,从事口腔工作11年,2017年于云南省口腔医院牙周专业进修半年。

董君荣, 住院医师, 从事口腔工作3, 毕业于昆明医科大学。


先进超声牙周治疗仪



牙周治疗仪怎么做牙周牙周健康与治疗 --瑞丽市人民医院口腔科_https://www.jmylbn.com_新闻资讯_第3张

工作尖

牙周治疗仪怎么做牙周牙周健康与治疗 --瑞丽市人民医院口腔科_https://www.jmylbn.com_新闻资讯_第4张

   EMS700牙周治疗仪

牙周治疗仪怎么做牙周牙周健康与治疗 --瑞丽市人民医院口腔科_https://www.jmylbn.com_新闻资讯_第5张

 PT5牙周治疗仪 

牙周治疗仪怎么做牙周牙周健康与治疗 --瑞丽市人民医院口腔科_https://www.jmylbn.com_新闻资讯_第6张

PT3牙周治疗仪 





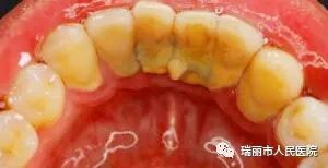
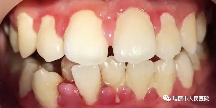
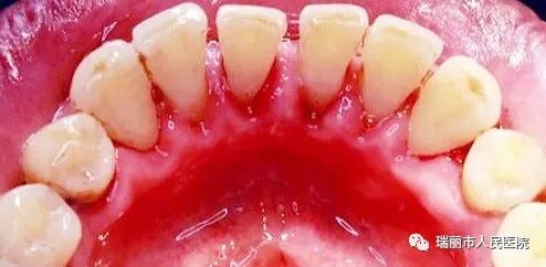
治疗效果








治疗前                                  治疗后


牙周治疗仪怎么做牙周牙周健康与治疗 --瑞丽市人民医院口腔科_https://www.jmylbn.com_新闻资讯_第7张

牙周治疗仪怎么做牙周牙周健康与治疗 --瑞丽市人民医院口腔科_https://www.jmylbn.com_新闻资讯_第8张



牙周治疗仪怎么做牙周牙周健康与治疗 --瑞丽市人民医院口腔科_https://www.jmylbn.com_新闻资讯_第9张

牙周治疗仪怎么做牙周牙周健康与治疗 --瑞丽市人民医院口腔科_https://www.jmylbn.com_新闻资讯_第10张



牙周治疗仪怎么做牙周牙周健康与治疗 --瑞丽市人民医院口腔科_https://www.jmylbn.com_新闻资讯_第11张

牙周治疗仪怎么做牙周牙周健康与治疗 --瑞丽市人民医院口腔科_https://www.jmylbn.com_新闻资讯_第12张



牙周治疗仪怎么做牙周牙周健康与治疗 --瑞丽市人民医院口腔科_https://www.jmylbn.com_新闻资讯_第13张

牙周治疗仪怎么做牙周牙周健康与治疗 --瑞丽市人民医院口腔科_https://www.jmylbn.com_新闻资讯_第14张



瑞丽市人民医院口腔科始终以人民的口腔为基本,持续的外出进修学习,同时引进更多先进设备不断地提高新技术,始终把人民的口腔放在第一位,我们的目标只有一个,那就是让更多的人有一口健康的牙齿。


文图:口腔科 董静

编辑:张蓉

审核:杨源川 王英 

                                                      

医院宣传片请在wifi下观看





牙周治疗仪怎么做牙周牙周健康与治疗 --瑞丽市人民医院口腔科_https://www.jmylbn.com_新闻资讯_第15张


牙周治疗仪怎么做牙周牙周健康与治疗 --瑞丽市人民医院口腔科_https://www.jmylbn.com_新闻资讯_第16张

牙周治疗仪怎么做牙周牙周健康与治疗 --瑞丽市人民医院口腔科_https://www.jmylbn.com_新闻资讯_第17张

牙周治疗仪怎么做牙周牙周健康与治疗 --瑞丽市人民医院口腔科_https://www.jmylbn.com_新闻资讯_第16张


联系方式



咨询电话:0692-6667199

牙周治疗仪怎么做牙周牙周健康与治疗 --瑞丽市人民医院口腔科_https://www.jmylbn.com_新闻资讯_第19张

牙周治疗仪怎么做牙周牙周健康与治疗 --瑞丽市人民医院口腔科_https://www.jmylbn.com_新闻资讯_第20张

地址:瑞丽市人民路17号

专家专科门诊预约就诊流程:患者可提前到门诊导诊台预约或电话预约:

18183692875(早上:8:00-11:30,下午:14:30-18:00)0692-6667199(中午:11:30-14:30,晚上:18:00-次日8:00)。