为什么牙医不用开口器特邀牙医【实操病例】集锦{9.22}

新闻资讯2026-04-17 13:41:32








跟着小编脚步不迷路,请注册会员
关注公众号,联系客服邀您进康田正会员群
即可参加每周活动!不可重复进群!
各种积分、赠品福利进群联系客服获取!








      牙医-胡晨【实操病例】   





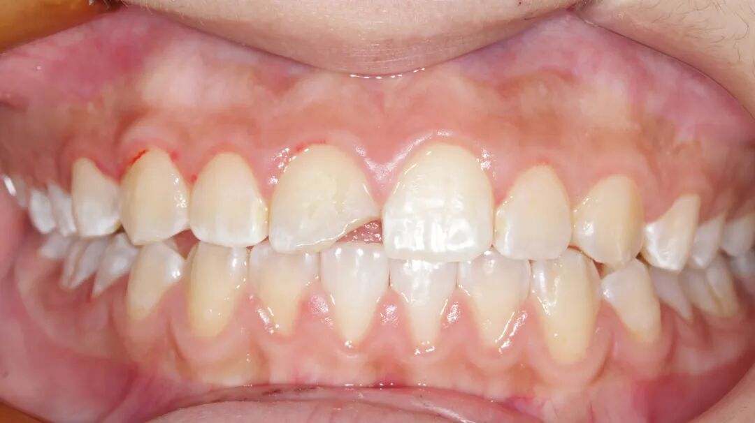
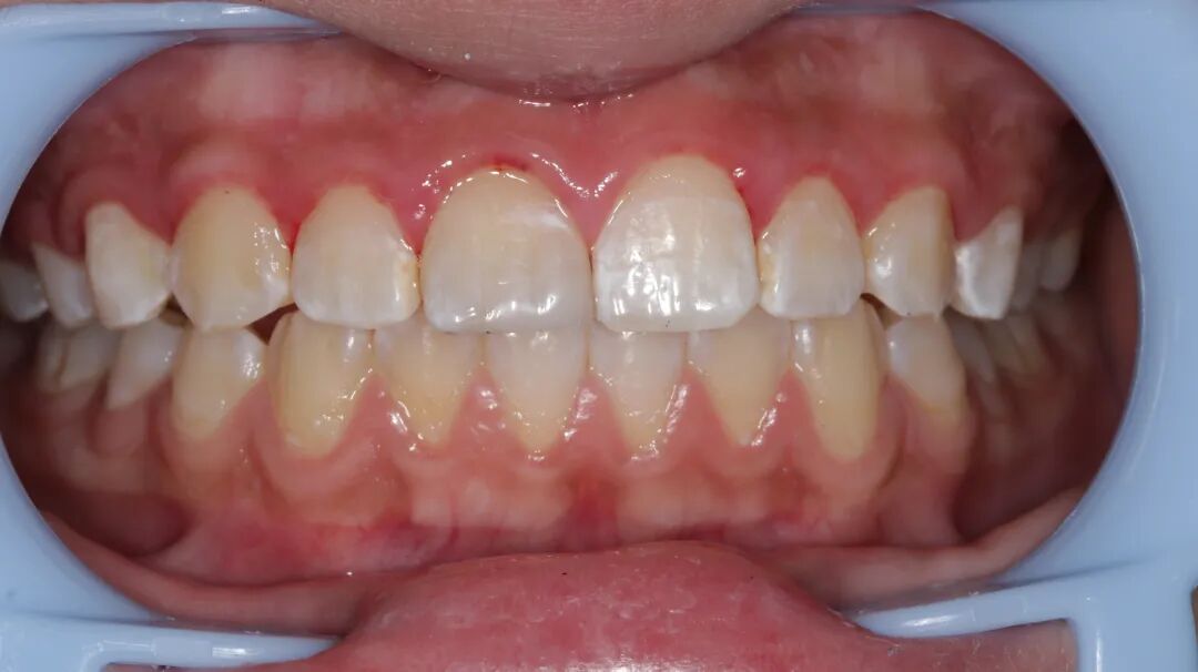
上颌中切牙瓷贴面美学修复

性别:女     年龄21岁

主诉:前牙氟斑牙影响美观

现病史:病人因从小有高氟地区生活史,导致全口氟斑牙,现因前牙区氟斑牙呈黄褐色影响美观,要求处理

既往史:既往体健,否认疾病史及药物过敏史

检查:牙龈无红肿,口内卫生良好

治疗方案:铸瓷贴面美学修复



为什么牙医不用开口器特邀牙医【实操病例】集锦{9.22}_https://www.jmylbn.com_新闻资讯_第1张

为什么牙医不用开口器特邀牙医【实操病例】集锦{9.22}_https://www.jmylbn.com_新闻资讯_第2张

为什么牙医不用开口器特邀牙医【实操病例】集锦{9.22}_https://www.jmylbn.com_新闻资讯_第3张

为什么牙医不用开口器特邀牙医【实操病例】集锦{9.22}_https://www.jmylbn.com_新闻资讯_第4张

为什么牙医不用开口器特邀牙医【实操病例】集锦{9.22}_https://www.jmylbn.com_新闻资讯_第5张

为什么牙医不用开口器特邀牙医【实操病例】集锦{9.22}_https://www.jmylbn.com_新闻资讯_第6张

为什么牙医不用开口器特邀牙医【实操病例】集锦{9.22}_https://www.jmylbn.com_新闻资讯_第7张

为什么牙医不用开口器特邀牙医【实操病例】集锦{9.22}_https://www.jmylbn.com_新闻资讯_第8张



     牙医-李子豪【实操病例】   





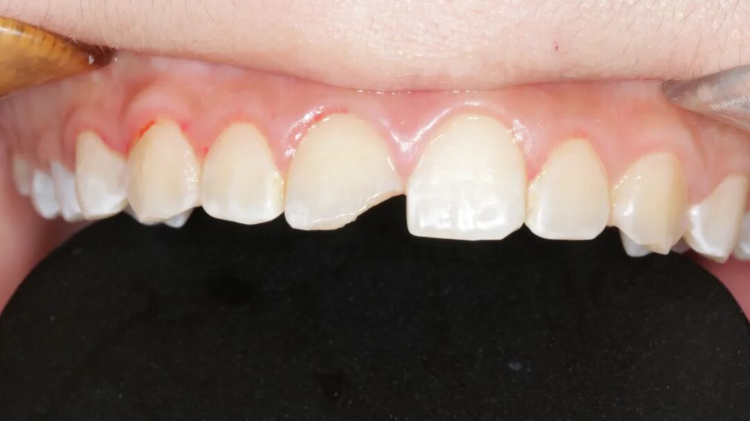
患者女,16岁

主诉:半年前因外伤导致右上1牙体缺损,现暑假期间自觉不美观,今日与家长来我院就诊

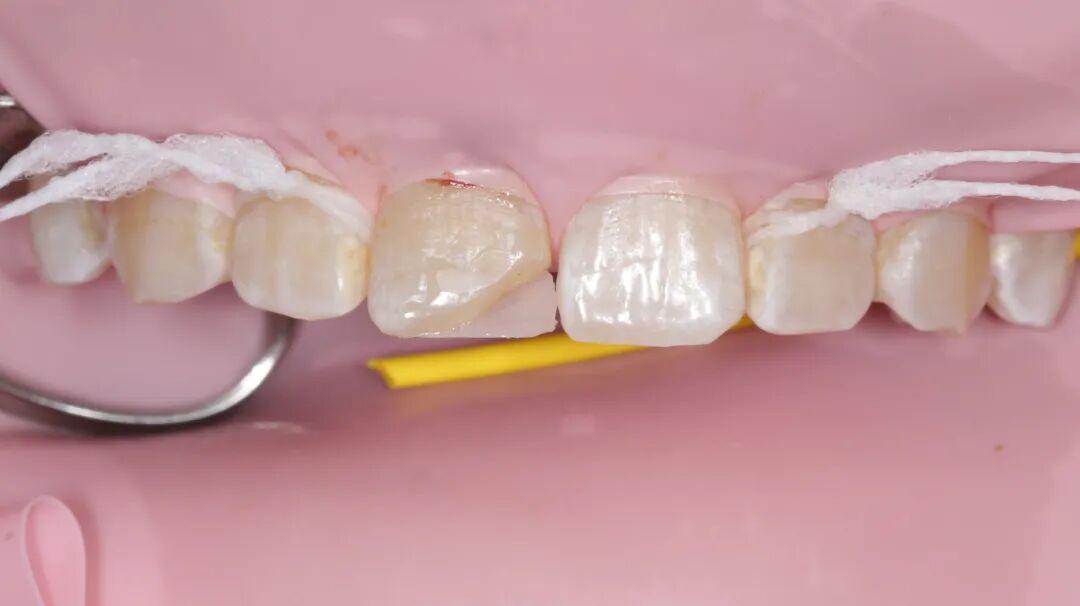
检查:口内右上1近中切角折断,患牙不松动,牙髓活力正常。因患者年龄较小,家长不接受冠修复,沟通后选择树脂修复。取术前观测模型,蜡恢复缺损部位,制作硅橡胶导板。橡皮障夹配合【康田正楔线】障下修整缺损面,【康田正消毒刷】涂布自酸蚀粘接剂,放置导板,流体树脂恢复舌侧基本形态,【康田正豆瓣成形片】恢复邻接形态后唇面常规树脂充填,修型,调合,抛光,康田正邻面抛光条抛光邻面。




为什么牙医不用开口器特邀牙医【实操病例】集锦{9.22}_https://www.jmylbn.com_新闻资讯_第9张


为什么牙医不用开口器特邀牙医【实操病例】集锦{9.22}_https://www.jmylbn.com_新闻资讯_第10张

◆近中切角折断

为什么牙医不用开口器特邀牙医【实操病例】集锦{9.22}_https://www.jmylbn.com_新闻资讯_第11张

◆橡皮障夹配合楔线完成上障,障下对折断面打磨后【康田正消毒刷】涂布粘结剂,放置硅橡胶背板,流动树脂恢复折断部位舌侧面为什么牙医不用开口器特邀牙医【实操病例】集锦{9.22}_https://www.jmylbn.com_新闻资讯_第12张

康田正豆瓣成形片】恢复近中邻接后常规树脂充填,修型

为什么牙医不用开口器特邀牙医【实操病例】集锦{9.22}_https://www.jmylbn.com_新闻资讯_第13张

◆抛光后效果

为什么牙医不用开口器特邀牙医【实操病例】集锦{9.22}_https://www.jmylbn.com_新闻资讯_第14张

◆术后照

为什么牙医不用开口器特邀牙医【实操病例】集锦{9.22}_https://www.jmylbn.com_新闻资讯_第15张



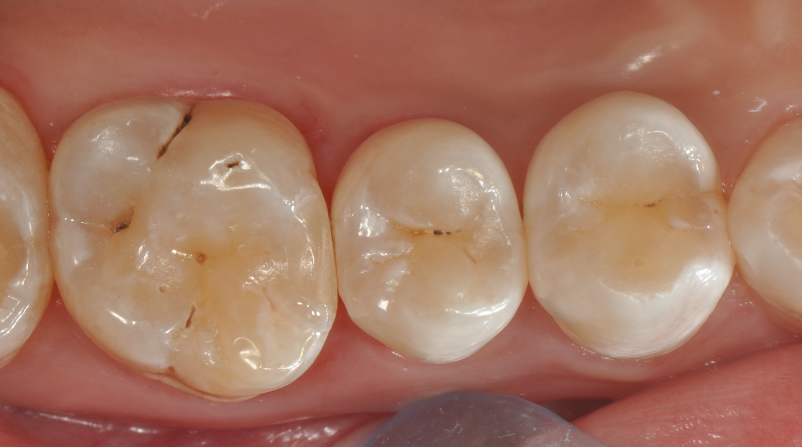
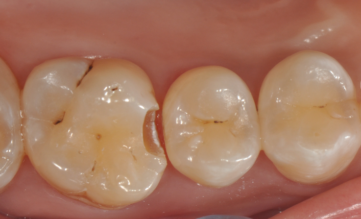
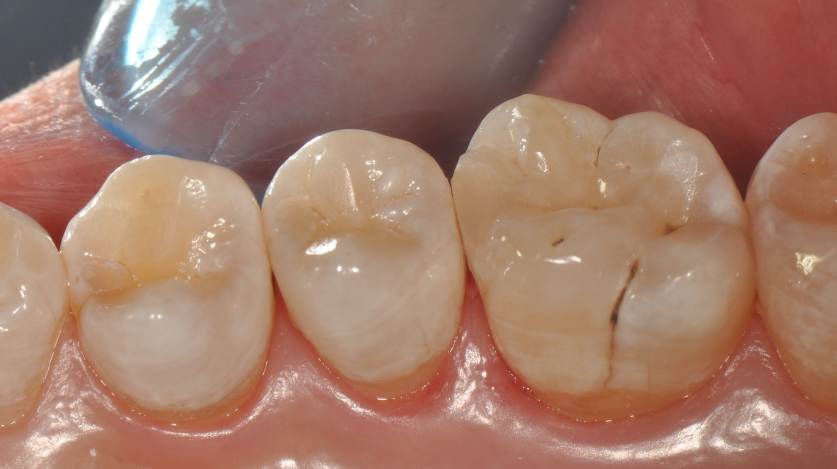
     牙医-马小寒【实操病例】   





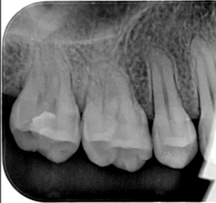
右上6号牙位的近中,可见隐约龋坏




为什么牙医不用开口器特邀牙医【实操病例】集锦{9.22}_https://www.jmylbn.com_新闻资讯_第16张


为什么牙医不用开口器特邀牙医【实操病例】集锦{9.22}_https://www.jmylbn.com_新闻资讯_第17张


为什么牙医不用开口器特邀牙医【实操病例】集锦{9.22}_https://www.jmylbn.com_新闻资讯_第18张


为什么牙医不用开口器特邀牙医【实操病例】集锦{9.22}_https://www.jmylbn.com_新闻资讯_第19张


为什么牙医不用开口器特邀牙医【实操病例】集锦{9.22}_https://www.jmylbn.com_新闻资讯_第20张


为什么牙医不用开口器特邀牙医【实操病例】集锦{9.22}_https://www.jmylbn.com_新闻资讯_第21张

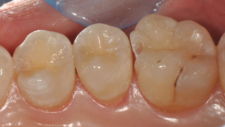
◆去腐完成之后

为什么牙医不用开口器特邀牙医【实操病例】集锦{9.22}_https://www.jmylbn.com_新闻资讯_第22张


为什么牙医不用开口器特邀牙医【实操病例】集锦{9.22}_https://www.jmylbn.com_新闻资讯_第23张

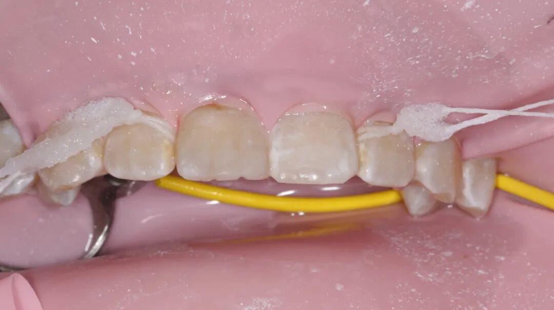
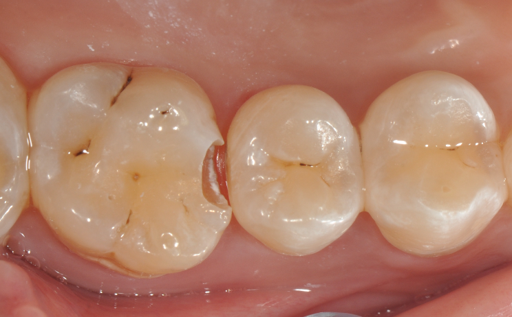
在以树脂充填为前提的案例中,无需过度制作颌面的鸠尾固位型,橡皮障下隔湿,是临床粘结操作技术成功的重要保障。酸蚀剂在使用的时候,需要尽量避免对邻牙的伤害

为什么牙医不用开口器特邀牙医【实操病例】集锦{9.22}_https://www.jmylbn.com_新闻资讯_第24张


为什么牙医不用开口器特邀牙医【实操病例】集锦{9.22}_https://www.jmylbn.com_新闻资讯_第25张


为什么牙医不用开口器特邀牙医【实操病例】集锦{9.22}_https://www.jmylbn.com_新闻资讯_第26张


为什么牙医不用开口器特邀牙医【实操病例】集锦{9.22}_https://www.jmylbn.com_新闻资讯_第27张


为什么牙医不用开口器特邀牙医【实操病例】集锦{9.22}_https://www.jmylbn.com_新闻资讯_第28张

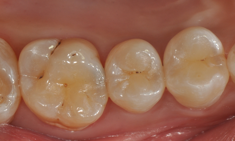
◆该成形片能更好的将龈缘区域的边缘封闭性做的更好。尤其是在邻面区域,涂布第六代粘结剂,固化粘结剂之后,配合高填料流体树脂和后牙专用树脂进行该洞形的充填。

为什么牙医不用开口器特邀牙医【实操病例】集锦{9.22}_https://www.jmylbn.com_新闻资讯_第29张


为什么牙医不用开口器特邀牙医【实操病例】集锦{9.22}_https://www.jmylbn.com_新闻资讯_第30张


为什么牙医不用开口器特邀牙医【实操病例】集锦{9.22}_https://www.jmylbn.com_新闻资讯_第31张

◆术后即刻照,如果邻面边缘出现悬突,可以使用12#手术刀去除,再配合抛光条抛光

为什么牙医不用开口器特邀牙医【实操病例】集锦{9.22}_https://www.jmylbn.com_新闻资讯_第32张


为什么牙医不用开口器特邀牙医【实操病例】集锦{9.22}_https://www.jmylbn.com_新闻资讯_第33张


为什么牙医不用开口器特邀牙医【实操病例】集锦{9.22}_https://www.jmylbn.com_新闻资讯_第34张


为什么牙医不用开口器特邀牙医【实操病例】集锦{9.22}_https://www.jmylbn.com_新闻资讯_第35张

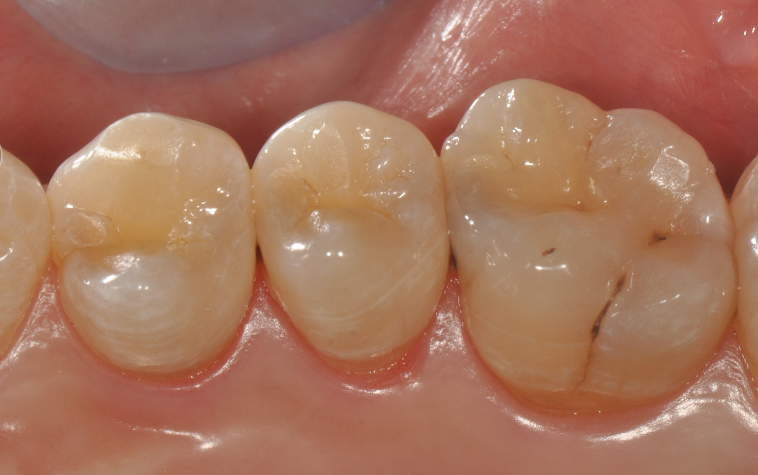
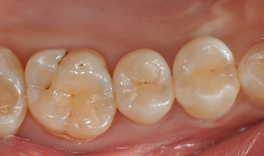
◆术后撤离橡皮障后口内照片,术后1周复查,我们修正了边缘嵴的斜度及邻面轴线上的多余材料;复查是很重要的,能够发现第一次操作的时候遗留的不足,并且再次修正,保障了充填体的寿命。该案例也得益于改善了的成形片,修正了以往的成形片邻面龈缘区域材料残留形成过多的悬突材料,避免了术后龈乳头炎的发生!





为什么牙医不用开口器特邀牙医【实操病例】集锦{9.22}_https://www.jmylbn.com_新闻资讯_第36张


产品详情

 牙科用毛刷 

经济型一次性使用,可以根据需要调整刷头的角度

可用于沾取酸蚀剂、粘结剂、洞衬、氟保护漆、止血剂、窝沟封闭剂等,可节省药剂的使用量。不同大小型号的毛刷方便选择,使用起来方便快捷,环保材质符合医用要求

产品规格:杆长10cm;毛头直径2.0mm(大号)、1.5mm(中  号)、1.0mm(小号)

 牙科开口器 

包胶开口器,由C形连接杆和两侧的牵开器构成,具有良好的强度和韧性

在口腔治疗时,撑开口腔,能保持一定的开口度

 成形片(树脂III型) 

透明材质不影响树脂固化修复操作更加得心应手

本产品为一次性使用产品,请注意更换

规格型号:大号、小号



◆ END ◆




往期精选


特邀牙医【实操病例】集锦{2022.9.15}

特邀牙医【实操病例】集锦{2022.9.8}

降低种植牙费用,国家医保局规定价格调控终端价为4500元

为什么牙医不用开口器特邀牙医【实操病例】集锦{9.22}_https://www.jmylbn.com_新闻资讯_第37张为什么牙医不用开口器特邀牙医【实操病例】集锦{9.22}_https://www.jmylbn.com_新闻资讯_第38张