为什么牙医不用开口器5岁女童拔牙大出血,牙医遇到这种情况如何紧急处理?

新闻资讯2026-04-17 13:41:06

为什么牙医不用开口器5岁女童拔牙大出血,牙医遇到这种情况如何紧急处理?_https://www.jmylbn.com_新闻资讯_第1张


5岁半的小女孩琪琪(化名),在幼儿园和小朋友玩耍时脸颊被打,一颗大牙松动。家长带她到医院治疗,没想到“拔牙后创面当即出血不止,呈喷射状涌出”。被送进ICU病房后,琪琪一直未能醒过来。(南国早报报道)


事情经过

5月8日,在幼儿园里,周女士的女儿琪琪的脸颊被同班的一个男孩子打了两下,导致牙齿松动,嘴角出血。9日下午,他们带孩子到附近一个诊所,医生开了三天的药。(躲过一劫),但是出血并没停止。


从5月10日开始,早上和午睡起床,琪琪嘴巴里都会出血,漱口就会停止出血。连续几天都如此。


5月13日下午4时40分左右,周女士带琪琪离开幼儿园来到医院口腔科治疗。

为什么牙医不用开口器5岁女童拔牙大出血,牙医遇到这种情况如何紧急处理?_https://www.jmylbn.com_新闻资讯_第2张

图源 南国早报

“牙齿拔下来的那一刻,血开闸一样喷涌出来,一直塞纱布也止不住血。我急得连说快救救我女儿,孩子被抱去了抢救室。”周女士说。


经过一个多小时的抢救,血止住了,但孩子休克了。


“在急救室止血以后,医生怀疑孩子有血管瘤。”周女士说,5月14日凌晨1时许,琪琪被转院继续接受治疗。在做了相关检查后,进入了ICU,一直没能醒过来。


“拔一颗牙,我女儿丢了命,实在想不到。我认为医院方面存在失误。”周女士说。


对于家属的质疑,5月29日,出事院方给记者发来了书面答复。


医院表明,当天给琪琪拔牙的医生是有国家口腔执业医师资格证书和执业证书的。


周女士带着琪琪来口腔科就诊的时候,医生也是按照规定询问了琪琪的病史、就诊前的相关情况。


在琪琪拔牙之后,血液立马喷射了出来,医生发现止血无效之后立马抱着孩子去抢救室抢救,一切操作都非常符合规范,没有半点失误的地方


医院还推测,琪琪之所以会出现这么严重的情况,是因为患有血管瘤,或者可能与她自身存在的某些先天性出血性疾病有关系。



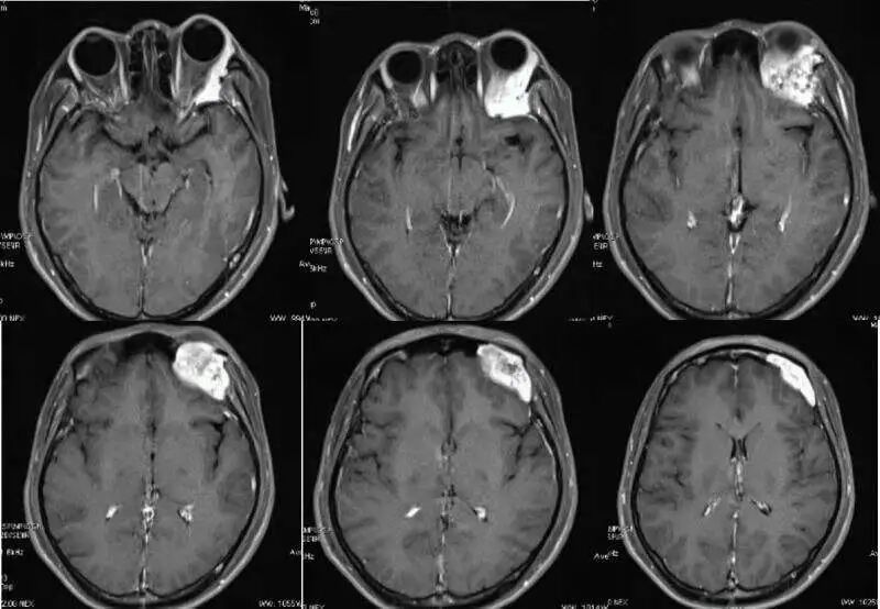
关于颅骨血管瘤

颌骨中央性血管瘤是一种少见的以异常血管增殖为特征的先天性良性肿瘤。源于血管内皮细胞的异常增生,是血管畸形或类瘤肿块,并非真性肿瘤。占颌面部软组织血管瘤的3%~4.1%,多见于10~19岁年龄段,约2/3发生于下颌骨,男∶女比例约为1∶2。早期无明显症状和体征,后期可出现牙齿松动移位、咬合错乱、牙龈反复出血(夜间加重)、面部膨隆、局部麻木或疼痛。

为什么牙医不用开口器5岁女童拔牙大出血,牙医遇到这种情况如何紧急处理?_https://www.jmylbn.com_新闻资讯_第3张

图源网络


颌骨中央性血管瘤的确诊主要依靠病理学诊断,若血管瘤一旦破裂,容易引起大出血,故临床上严禁活检。颌骨中央性血管瘤的危险性在于因外伤或拔牙导致大出血,严重时引起失血性休克,甚至死亡。故紧急止血是应对该病导致大出血的关键。急救处理主要有填塞、压迫止血;颈外动脉结扎;输血补充血容量,纠正休克;必要时行气管切开,术后再行填塞、压迫止血;急诊行颌骨及肿瘤切除术等。



确诊这类疾病后,如何紧急处理?


如果患者因类似症状到门诊就诊,而病因尚不明确,医生在详细询问病史后,应高度警惕这类疾病的可能,必要时可行X线摄影、血管造影或CT等进一步检查,并做好一切急救准备。


1.做好急救物品管理

门诊口腔科应配置急救车,准备血管扩充剂、升压药等急救药品,常规配备血压计、给氧装置、吸引器、开口器、舌钳、气管导管、气管切开包、应急照明灯等急救用物,保证急教物品“四定”、“三及时”,即定品种数量、定点放置、定人保管、定期检查维修,及时检查、及时消毒、及时补充,使其随时处于应急状态。


2.保持呼吸道通畅,防止窒息

患者发生大出血时,护士应立即协助患者取平卧位,头偏向一侧,指导患者吐出口腔内积血或用吸引器吸出口腔内的血液和血凝块,防止血块堵塞气道,同时给予氧气吸入,配合医生采取有效的止血措施。


3.严密观察病情变化,防治休克

立即测量生命体征,观察患者的血压、脉搏、呼吸、意识变化、肢端温度和皮肤颜色,冬天注意给予适当的保温,同时快速建立静脉通道,及时补充血容量,进行抗休克治疗。对于失血较多的患者,应建立两条静脉通道,以保证输液、输血及血管活性药物的应用。


4.做好心理护理

对于这类疾病,很多患者在来医院就诊前,已经辗转多时未得到明确诊断,导致患者出现焦虑、紧张和烦躁情绪,而在检查过程中出现急性出血,加重了患者恐惧不安的心理。这就需要轻声安慰患者的同时,沉着冷静熟练而有条不紊地开展抢救工作,从而缓和患者的不良情绪,减轻其心理压力,更好地配合治疗。

为什么牙医不用开口器5岁女童拔牙大出血,牙医遇到这种情况如何紧急处理?_https://www.jmylbn.com_新闻资讯_第4张


版权说明:本图文内容及图片来源于网络爱牙库整理编辑感谢原作者分享,转载仅做分享,不做商用,本账号不对上述摘录的完整性、准确性和真实性负责。如有任何关于内容和图片的版权问题,请及时与我们联系,我们将第一时间进行删除处理。



为什么牙医不用开口器5岁女童拔牙大出血,牙医遇到这种情况如何紧急处理?_https://www.jmylbn.com_新闻资讯_第5张

广

点击下方图片,尽享优惠

为什么牙医不用开口器5岁女童拔牙大出血,牙医遇到这种情况如何紧急处理?_https://www.jmylbn.com_新闻资讯_第6张

为什么牙医不用开口器5岁女童拔牙大出血,牙医遇到这种情况如何紧急处理?_https://www.jmylbn.com_新闻资讯_第7张

  点【在看+评论】,上墙哦为什么牙医不用开口器5岁女童拔牙大出血,牙医遇到这种情况如何紧急处理?_https://www.jmylbn.com_新闻资讯_第8张