气管插管怎么取出口腔诊疗过程中误吸器械的预防及处理

新闻资讯2026-04-21 16:13:59

气管插管怎么取出口腔诊疗过程中误吸器械的预防及处理_https://www.jmylbn.com_新闻资讯_第1张


在口腔诊疗过程中,患者可将异物吞入消化道和吸入呼吸道。由于气道异物阻塞具有发生突然并且情况极其危险的特点,所以应当及时识别和快速处理。在口腔治疗过程中,小异物掉入口腔后部并进入喉腔的可能性较高。对于意识清醒的患者,异物进入喉腔后常因吞咽进入食管或被咳出,因此,异物进入或被吸进气管、支气管、肺或急性气道异物梗阻等意外情况很少发生。此外,临床常见的意外事件是直径较小的物体通过喉部(成人上呼吸道最狭窄部位)进入气道但并不发生呼吸阻塞。在这种情况下,异物继续通过气道(如果患者处于直立坐位,在重力的帮助下)停留到肺支气管主干某个部位或小支气管处。尽管这些病例不会立刻出现危及生命的危险状况,但重要的是在合理时间内迅速启动确保能够取出异物的程序,以免发生肺炎或肺部感染的严重后果。但也有可能异物卡在喉腔并完全阻塞气管,所以所有诊室工作人员都必须熟悉如何处理气道异物梗阻。本文将为大家介绍如何在口腔诊疗过程中处理和预防误吸器械的发生。


主编 〔美〕史丹利·F·马拉米德Stanley F. Malamed
主译 胡开进




误吸器械可能产生的后果


气管插管怎么取出口腔诊疗过程中误吸器械的预防及处理_https://www.jmylbn.com_新闻资讯_第2张

尽管在预防方面做了最大努力,但小的异物如嵌体、银汞合金、钻针、残渣残片都可以进入患者的口咽腔,并被误吸或误咽。现在的总体趋势是在口腔治疗中将患者置于仰卧位或半卧位,这种体位既提高了术者对口腔术野的观察和操作能力,又增加了术者人体工程操作的舒适度,还极大地减少了口腔治疗中最常见的紧急突发事件——晕厥的发生风险。

然而,虽然误吸和误咽可以发生在任何体位,但是仰卧位和半卧位这两种体位增加了发生这些意外的风险。当异物被吞咽后,大多会进入消化道。在吞咽时会厌会封住气管开口,所以吞咽的液体或固体会进入食管而不是气管。食管是消化道中最不易出现梗阻的部分,因为食管是一个折叠收缩的管道,固体、液体在此处受力不易受阻(图1)。异物陷入食管的重要部位是食管近端(误咽的风险明显小于误吸)。90%以上的吞咽异物可成功通过食管并进入胃和肠道,可完全通过消化道而不会发生任何并发症。但并发症的发生与误咽、误吸的异物有关,误咽的异物可造成消化道梗阻、腹膜脓肿、穿孔和腹膜炎。无论异物被误吸入左、右主支气管或支气管,都可造成肺感染、肺脓肿、肺炎和肺部积液。如果误吸入气管导致气道异物梗阻,可致患者死亡或严重的神经系统损伤。


气管插管怎么取出口腔诊疗过程中误吸器械的预防及处理_https://www.jmylbn.com_新闻资讯_第3张

图1  咽部解剖图显示食管、气管和会厌


口腔治疗过程中误吸的预防


气管插管怎么取出口腔诊疗过程中误吸器械的预防及处理_https://www.jmylbn.com_新闻资讯_第4张

橡皮障和口障可有效预防异物误吸和误咽的问题,其他预防方法包括患者体位调整、助手协助、及时强力吸引、气管插管钳和牙线保护。

 橡皮障   橡皮障可以将口腔和气道与操作区域隔离,用于预防异物误咽(图2),但遗憾的是在某些特定的口腔操作(例如牙周或外科手术等)中很难使用皮障。


气管插管怎么取出口腔诊疗过程中误吸器械的预防及处理_https://www.jmylbn.com_新闻资讯_第5张

图2  使用橡皮障有助于防止异物进入气道


 口障   口障即咽幕,将一个约10cm×10cm的纱布块护在口腔后部,可有效预防小颗粒或液体进入气道(图3)。咽幕(帘)特别适用于患者接受镇静(口服、肌内注射、鼻内及静脉注射)和全身麻醉下的口腔治疗,因为此时患者的咽反射几乎受到完全抑制,没有镇静的患者可能不能耐受口障,因为口障干扰吞咽和限制进入口腔的通气量。相反,5cm×5cm的纱布块太小而易于移动,不能作为咽幕保护气道,易被误吸。


气管插管怎么取出口腔诊疗过程中误吸器械的预防及处理_https://www.jmylbn.com_新闻资讯_第6张

图3  咽幕


 椅位   仰卧或半卧位是一种推荐的提高术者对口腔术野的观察和操作能力与预防患者晕厥的方法。但当患者处于这种位置时,必须用舌体顶着腭以防止异物“掉入”时,就变得有害了。此时重力的作用可使物体进入咽腔后部,如果椅旁没有准备好取出异物的器械时,应将头部转向一侧,并采用头低脚高位,即将患者上半身放低,将其身体的下半部(含腿部)置于稍高或倾斜的水平面上(图4)。这一体位利用有利于患者的重力原理可使异物从患者口中掉出。这种体位需要保持到“消失的物体”被咳出(或取出),或者被误吸/误咽,然后将患者置于直立位或站位。


气管插管怎么取出口腔诊疗过程中误吸器械的预防及处理_https://www.jmylbn.com_新闻资讯_第7张

图4  如果发生误咽,应将患者头部转向一侧,并采用头低脚高位,上半身也在椅位上转向与头部同侧


 口腔助手和吸引器   在多数口腔诊室,口腔医师助手都坐在医师对面,当有物体掉入口腔导致误咽的危险时,助手可以借助一个或多个身边的器械将其取出(例如手术镊或止血钳)。如果身旁没有可用的合适器械,可用较粗的强吸负压吸引器将异物从患者口腔中吸出。吸引器可非常容易地吸住异物并及时将其取出。由于口腔常用的吸唾器吸力不大,有时不能将异物有效吸住,因此不能作为常规异物取出器械。如果配有气管插管钳,就更加容易地取出口腔后部异物。

 气管插管钳   气管插管钳(图5)是常规急救箱中推荐的配备器械。该器械的设计有利于方便地从口腔后部和咽腔取出各类大小的异物(图6)。向右弯曲的手柄设计可以使操作者非常舒适地握持,并能用其圆钝的头部抓住异物。而其他器械(例如夹持棉条的口腔镊或止血钳)都没有这种专用设计(图7)。


气管插管怎么取出口腔诊疗过程中误吸器械的预防及处理_https://www.jmylbn.com_新闻资讯_第8张

图5  急救箱中必备的气管插管钳


气管插管怎么取出口腔诊疗过程中误吸器械的预防及处理_https://www.jmylbn.com_新闻资讯_第9张

图6  正确使用气管插管钳


气管插管怎么取出口腔诊疗过程中误吸器械的预防及处理_https://www.jmylbn.com_新闻资讯_第10张

7  止血钳和口腔镊的设计形态不利于取出异物(a为止血钳;b为口腔镊)

 舌钳   舌钳(图8)的锯齿状结构可以牢固夹持并向前牵拉舌体,且不造成医源性损伤。


气管插管怎么取出口腔诊疗过程中误吸器械的预防及处理_https://www.jmylbn.com_新闻资讯_第11张

图8  夹持舌体的舌钳


 牙线   保护使用拴线或牙线保护可帮助患者预防误咽、误吸的发生,并可将咽部或口腔深部的物体拉出。在口腔治疗时,牙线应紧紧拴在放入口内的小物品上,例如橡皮障钳、牙体牙髓器械、棉卷、纱布垫、固定桥等物体(图9~图10)。牙线保护减少了误咽的风险,并避免了患者离开口腔诊室时无意将棉卷遗留在口腔颊部前庭沟的可能。


气管插管怎么取出口腔诊疗过程中误吸器械的预防及处理_https://www.jmylbn.com_新闻资讯_第12张

图9 牙线系在纱布条上便于快速取出


气管插管怎么取出口腔诊疗过程中误吸器械的预防及处理_https://www.jmylbn.com_新闻资讯_第13张

图10  系好牙线的棉卷


发生误吸的处理策略


气管插管怎么取出口腔诊疗过程中误吸器械的预防及处理_https://www.jmylbn.com_新闻资讯_第14张
当异物进入患者的口咽部而患者正处于仰卧或半卧位时,不要让患者站立或坐直,而是将诊疗椅调节到一个更加倾斜的位置(即头低脚高位),并让助手拿取气管插管管钳。将患者置于头低脚高位可借助重力作用使异物移动到口腔更前的部位而更容易被看到,以便于医师用气管插管钳将异物取出。
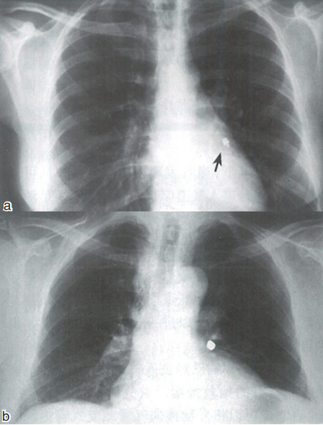
 X线确认异物位置   如果不能看到异物(可能已经误咽),应当进行X线检查,确定异物的位置。在没有完成X线检查之前,不能让患者离开诊室。如果临床症状和体征不能明确异物是进入消化道或气道,医师应当护送(如果可行)患者到附近医院的急诊科或影像科,影像科医师常建议给患者拍胸部前后位及侧位片(图11)或腹部平片。如果X线检查能见到异物,当然希望是在腹部X线片上(例如食管或胃里),而不是在胸片上(例如支气管内)。无论何种情况,只要异物被认定在消化道或气道,必须寻求相关专业医师帮助(例如消化科、胸外科或麻醉科医师)。一般是由相关专业医师直接进行后续处理。但如果影像科医师不能明确异物位置或存在其他有关异物定位及并发症方面的问题,应当立即请相关专业医师会诊。通常情况下,患者表现出的症状和体征可以帮助确定异物是进入气道(气管、支气管)还是消化道,异物误吸后的突发症状和体征,包括突然发作的咳嗽、呛咳、哮鸣音和气短。90%以上的患者在异物误吸后1小时内有以上症状和体征。但也有少数患者在异物误吸后6小时才出现明显的症状和体征。根据病情的严重程度,1/3的患者可立刻出现窒息现象,体征可以进一步发展到发绀,并出现严重缺氧的相关症状。

气管插管怎么取出口腔诊疗过程中误吸器械的预防及处理_https://www.jmylbn.com_新闻资讯_第15张
图11 影像学检查(a为胸部前后位片,黑色箭头所指为橡皮抛光杯;b为金属冠误患者左肺部)

 紧急抢救及预后   如果推测异物已经进入气道,就必须立刻实施提前制定好的抢救预案。首先不能让患者坐或站立(直立位可以将异物推向气管或支气管更深的部位),必须将患者的身体保持头低脚高位并向左侧侧卧。通常患者会自发咳嗽,医师应鼓励患者咳嗽,从而促进异物排出。正常的咳嗽反射力量足够强,很多情况下都可以将误吸的异物咳出。当患者停止咳嗽并诉说异物已被吞咽,仍然不能让患者离开诊室,直到内科医师或X线检查确定异物不在呼吸道内方可离开。如果在X线检查前看到了异物排出,也可让患者离开诊室。
此外,在患者离开诊室前,应适当地向相关专家(例如呼吸科)咨询并讨论预防、诊断和处理后期潜在的并发症。如果没有发现异物,医师应当陪患者到附近医院的急诊科寻求更加精准的诊断和处理。



新书简介

气管插管怎么取出口腔诊疗过程中误吸器械的预防及处理_https://www.jmylbn.com_新闻资讯_第16张

气管插管怎么取出口腔诊疗过程中误吸器械的预防及处理_https://www.jmylbn.com_新闻资讯_第17张


本文选自〔美〕史丹利·F·马拉米德(Stanley F. Malamed)主编、胡开进主译,人民卫生出版社出版的《口腔诊室急救》一书。本书一改其他有关急救指导用书以病种分类的传统模式,而是以患者为中心,将临床症状作为分类标准,更贴近临床实用,浅显易懂,旨在通过对口腔治疗中常见的临床症状进行详细的总结叙述,使广大口腔临床工作者能够较快地掌握口腔急救的相关知识,具有很强的实用性和指导性。

购买请联系:010-59787592、010-59787584


★转载请获出版社许可


气管插管怎么取出口腔诊疗过程中误吸器械的预防及处理_https://www.jmylbn.com_新闻资讯_第18张

气管插管怎么取出口腔诊疗过程中误吸器械的预防及处理_https://www.jmylbn.com_新闻资讯_第19张


本期编辑:CMT小米

监制:CMT飘飘

商务合作:刘先生 13521808316



气管插管怎么取出口腔诊疗过程中误吸器械的预防及处理_https://www.jmylbn.com_新闻资讯_第20张

『口腔科普小今 是《中国医学论坛报·今日口腔》面向大众开设的口腔健康教育平台。在这里有一位靠谱的“小今医生”,希望用说白话、接地气的方式轻松愉快地传播普及口腔医学专业知识,提供权威、准确、实用的口腔健康信息。点击关注我们,有眼光!

“发现口腔人的精彩,满足口腔人的需要!

——《中国医学论坛报·今日口腔》