桡动脉鞘怎么读桡胜一筹丨牛猛教授团队:应用Brite Tip RADIANZ长鞘经桡动脉入路治疗脾动脉瘤一例

新闻资讯2026-04-21 16:00:53
桡动脉鞘怎么读桡胜一筹丨牛猛教授团队:应用Brite Tip RADIANZ长鞘经桡动脉入路治疗脾动脉瘤一例_https://www.jmylbn.com_新闻资讯_第1张
桡动脉鞘怎么读桡胜一筹丨牛猛教授团队:应用Brite Tip RADIANZ长鞘经桡动脉入路治疗脾动脉瘤一例_https://www.jmylbn.com_新闻资讯_第2张


当外周介入的探索遭遇技术壁垒,当传统入路的局限桎梏临床进阶,一根薄壁大腔、能够稳定精准抵达目标血管的经桡长鞘,正撕开创新突破的新维度。


为了更好的展示外周介入经桡精彩病例,血管资讯特别推出“桡胜一筹——Cordis 外周介入经桡创新病例汇”,以 “桡” 为钥,解锁外周介入的创新路径;以病例为证,镌刻器械革新与临床智慧的碰撞火花。本专栏旨在通过病例分享、分析与讨论,助力医师积累经验、拓展思路,用技术突破定义外周介入的新高度,用精准诊疗书写患者获益的新篇章。本期专栏为大家带来应用Brite Tip RADIANZ长鞘经桡动脉入路治疗脾动脉瘤一例。相比桡动脉,经远桡动脉入路在患者体感、伤口处理、减少并发症等方面更具优势。病例由中国医科大学附属盛京医院介入科牛猛教授团队完成,欢迎阅读分享,共同交流学习。


桡动脉鞘怎么读桡胜一筹丨牛猛教授团队:应用Brite Tip RADIANZ长鞘经桡动脉入路治疗脾动脉瘤一例_https://www.jmylbn.com_新闻资讯_第3张


桡动脉鞘怎么读桡胜一筹丨牛猛教授团队:应用Brite Tip RADIANZ长鞘经桡动脉入路治疗脾动脉瘤一例_https://www.jmylbn.com_新闻资讯_第4张

01.病情介绍

桡动脉鞘怎么读桡胜一筹丨牛猛教授团队:应用Brite Tip RADIANZ长鞘经桡动脉入路治疗脾动脉瘤一例_https://www.jmylbn.com_新闻资讯_第4张

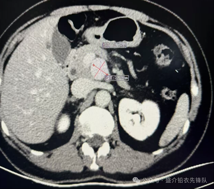
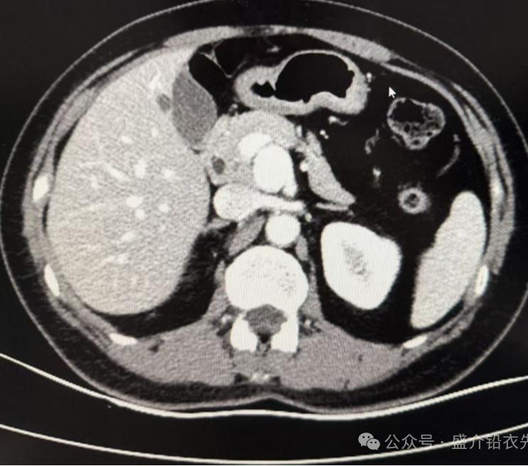
中年女性患者,乳腺癌切除术后复查。发现脾动脉瘤1年。增强CT可见:胰腺颈部后方软组织密度结节,增强动脉期明显强化。大小约:24mm×20mm,与肠系膜上动脉相连接。

桡动脉鞘怎么读桡胜一筹丨牛猛教授团队:应用Brite Tip RADIANZ长鞘经桡动脉入路治疗脾动脉瘤一例_https://www.jmylbn.com_新闻资讯_第6张
桡动脉鞘怎么读桡胜一筹丨牛猛教授团队:应用Brite Tip RADIANZ长鞘经桡动脉入路治疗脾动脉瘤一例_https://www.jmylbn.com_新闻资讯_第7张


桡动脉鞘怎么读桡胜一筹丨牛猛教授团队:应用Brite Tip RADIANZ长鞘经桡动脉入路治疗脾动脉瘤一例_https://www.jmylbn.com_新闻资讯_第4张

02.手术过程 经桡动脉入路

桡动脉鞘怎么读桡胜一筹丨牛猛教授团队:应用Brite Tip RADIANZ长鞘经桡动脉入路治疗脾动脉瘤一例_https://www.jmylbn.com_新闻资讯_第4张

1、患者取仰卧位,局麻后采用seldinger穿刺右侧桡动脉,成功置入6F桡动脉鞘,在DSA引导下,沿鞘送入单弯导管,在导丝引导下将导管送至升主动脉,造影确认后置入6F长鞘,在导丝引导下将导管及血管鞘送至将主动脉,造影,明确动脉瘤瘤体部位、形态、载瘤动脉、侧支血管及脾显影情况。根据造影结果使用瘤腔填塞法:位于脾动脉近中段的真性动脉瘤,直接行弹簧圈瘤腔填塞即可达到治疗效果,术中需要注意的是弹簧圈直径选择需大小适宜,致密栓塞的同时防止动脉瘤破裂,同时释放要精准,防止弹簧圈移位;弹簧圈作为动脉瘤最常用的栓塞材料,较颗粒栓塞剂和生物胶更安全,不易栓塞胰腺、脾动脉分支及脾实质,因此作为SAA栓塞的首选。弹簧圈瘤腔填塞可在SAA内形成血栓,尽量减少栓塞对载瘤动脉的通畅性进而保证脾的供血。

桡动脉鞘怎么读桡胜一筹丨牛猛教授团队:应用Brite Tip RADIANZ长鞘经桡动脉入路治疗脾动脉瘤一例_https://www.jmylbn.com_新闻资讯_第10张


2、经桡动脉入路:较少出血量,避免损失周围神经。患者体验感舒适。

桡动脉鞘怎么读桡胜一筹丨牛猛教授团队:应用Brite Tip RADIANZ长鞘经桡动脉入路治疗脾动脉瘤一例_https://www.jmylbn.com_新闻资讯_第11张


3、术后给予压力可调节止血器,安全可靠,不影响患者活动,给予医疗专业关怀。

桡动脉鞘怎么读桡胜一筹丨牛猛教授团队:应用Brite Tip RADIANZ长鞘经桡动脉入路治疗脾动脉瘤一例_https://www.jmylbn.com_新闻资讯_第12张


4、患者术后可在医务人员陪同下自行返回病房,进一步推进微创介入治疗的先进性与人文关怀。


桡动脉鞘怎么读桡胜一筹丨牛猛教授团队:应用Brite Tip RADIANZ长鞘经桡动脉入路治疗脾动脉瘤一例_https://www.jmylbn.com_新闻资讯_第4张

03.小结

桡动脉鞘怎么读桡胜一筹丨牛猛教授团队:应用Brite Tip RADIANZ长鞘经桡动脉入路治疗脾动脉瘤一例_https://www.jmylbn.com_新闻资讯_第14张

随着医疗技术的持续发展与临床实践的不断深入,经桡动脉穿刺技术日益成熟,凭借独特优势受到临床医生的广泛关注。与经股动脉穿刺相比,经桡动脉穿刺的 优势主要体现在以下方面:第一,桡动脉位置表浅,易于触摸定位和穿刺操作,且周围无重要神经及血管结构,能显著降低穿刺相关风险,安全性更高。第二,经桡动脉穿刺后,患者无需长时间卧床制动,可有效缩短术后卧床时间及住院周期,间接降低医疗成本。第三, 经桡动脉穿刺还能减少股动脉穿刺可能引发的血管并发症(如血肿、假性动脉瘤等),进一步提升安全性与患者舒适度。 综上所述,经桡动脉穿刺在外周血管介入诊疗中相较于经股动脉穿刺具有更高的穿刺成功率、更短的穿刺 及恢复时间,以及更低的并发症发生率,值得临床推广。



首款经桡长鞘BRITE TIP RADIANZ™

上肢入路专用通路器械:

  • 安全:桡动脉入路损伤小

  • 有效:为治疗器械提供支撑力

  • 快速:便于术者操作



桡动脉鞘怎么读桡胜一筹丨牛猛教授团队:应用Brite Tip RADIANZ长鞘经桡动脉入路治疗脾动脉瘤一例_https://www.jmylbn.com_新闻资讯_第15张


减少桡动脉痉挛风险

  • 亲水涂层全管身包被

  • 薄壁鞘设计

  • 可视高亮柔软的无创头端


强支撑的稳定通路

  • 钢丝编织中层保证支撑性

  • 大内腔提供治疗器械操作便利平台


便于术者操作的扭控性能

  • 钢丝编织中层保证支撑性

  • 长鞘近端10-20mm的非亲水结构

专家介绍

牛猛

中国医科大学附属盛京医院

桡动脉鞘怎么读桡胜一筹丨牛猛教授团队:应用Brite Tip RADIANZ长鞘经桡动脉入路治疗脾动脉瘤一例_https://www.jmylbn.com_新闻资讯_第16张

介入科主任,教授,主任医师,博士生导师,中国妇儿介入联盟副主席,中华放射学生殖与泌尿系统疾病介入专委会委员,中国医学会救援协会影像分会介入学组副主任委员

第一作者发表包括SCI收录与核心期刊30余篇,IF值共97.8分,单篇最高分18.6分(ACS-NANO).十大以上文章5篇,高引用文章两篇,参编重点出版物 2部。


马少卫

中国医科大学附属盛京医院

桡动脉鞘怎么读桡胜一筹丨牛猛教授团队:应用Brite Tip RADIANZ长鞘经桡动脉入路治疗脾动脉瘤一例_https://www.jmylbn.com_新闻资讯_第17张

中国医科大学附属盛京医院介入科主治医师,讲师,医学博士,美国阿拉巴马大学访问学者,参与多项国家自然科学基金项目,发表多篇SCI及核心期刊论文。


王宏博

中国医科大学附属盛京医院

桡动脉鞘怎么读桡胜一筹丨牛猛教授团队:应用Brite Tip RADIANZ长鞘经桡动脉入路治疗脾动脉瘤一例_https://www.jmylbn.com_新闻资讯_第18张

介入科,医学博士,副主任医师、副教授

中国救援青年科学家委员会第二届委员会 委员;辽宁省红十字基金会妇儿微创介入治疗专家委员会 委员兼秘书;辽宁省免疫学会放射介入与免疫分会第一届委员会常务委员;辽宁省防痨协会结核病与肺血管疾病专业委员会常务委员;辽宁省抗癌协会肝癌专业委员会委员。

沈阳市科协科技创新智库入库专家主持国家自然科学基金青年基金项目一项;主持国家自然科学基金区域联合项目一项;辽宁省自然科学基金博士启动基金一项。


辛鹤

中国医科大学附属盛京医院

桡动脉鞘怎么读桡胜一筹丨牛猛教授团队:应用Brite Tip RADIANZ长鞘经桡动脉入路治疗脾动脉瘤一例_https://www.jmylbn.com_新闻资讯_第19张

介入科,医学博士,博士后,讲师,主治医师

擅长良恶性肿瘤、梗阻性黄疸、血管相关疾病等介入治疗。

辽宁省免疫学会放射介入与免疫分会委员;辽宁省红十字会基金会妇儿微创介入治疗专委会委员。

中国医科大学附属盛京医院345人才

参与多项国家自然科学基金项目

以第一作者发表多篇SCI

版权声明:本平台旨在帮助医疗卫生专业人士更好地了解相关疾病领域最新进展。本平台对发布的资讯内容,并不代表同意其描述和观点,仅为提供更多信息。若涉及版权问题,烦请权利人与我们联系,我们将尽快处理。仅供医疗卫生专业人士为了解资讯使用,该等信息不能以任何方式取代专业的医疗指导,也不应被视为诊疗建议。如该等信息被用于了解资讯以外的目的,本平台及作者不承担相关责任。合作联系邮箱:vascular@edoctor.work。

桡动脉鞘怎么读桡胜一筹丨牛猛教授团队:应用Brite Tip RADIANZ长鞘经桡动脉入路治疗脾动脉瘤一例_https://www.jmylbn.com_新闻资讯_第20张