曲面断层片怎么看正畸【曲面断层片(全景片)】如何解读和查看:牙周?牙体?牙髓?关节?

新闻资讯2026-04-21 15:48:39

之前我们一起学习分享了头影测量的知识点,

正畸头影测量分析:应用意义、标记点、定平面、常用测量项目

正畸头影测量分析:Downs分析法

下面我们就再来看看曲面断层片(全景片)我们可以解读到哪些关键信息吧~


曲面断层片(全景片)

1) 优点:显示上下颌骨全貌:颌骨形态、牙齿发育、全口牙周病牙槽骨吸收情况、颌骨病变及骨折等。

2) 下颌骨特点:把马蹄弓形的上下颌骨展为平片;骨皮质厚薄不一但光滑连续(对比骨折);骨松质纹理水平;髁突形态多样;下牙槽神经管的特点(分叉位臵多样)。

拍摄全口牙齿,二维成像 ,便于医生快速、全面的掌握患者牙齿情况,如儿童牙齿发育情况(根尖闭合情况等)、成人牙周情况。

曲面断层片怎么看正畸【曲面断层片(全景片)】如何解读和查看:牙周?牙体?牙髓?关节?_https://www.jmylbn.com_新闻资讯_第1张

①颏孔 ②下颌管 ③髁突 ④喙突 ⑤舌骨 ⑥上颌窦底 ⑦硬腭 ⑧鼻腔 ⑨眼窝 ⑩颧弓


可以读取的关键信息
项目
举例

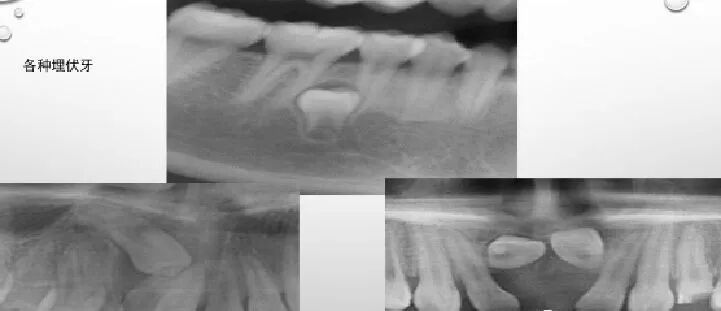
埋伏牙

曲面断层片怎么看正畸【曲面断层片(全景片)】如何解读和查看:牙周?牙体?牙髓?关节?_https://www.jmylbn.com_新闻资讯_第2张

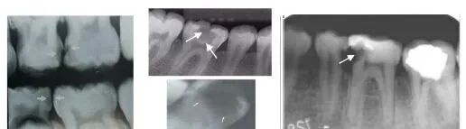
龋齿情况

曲面断层片怎么看正畸【曲面断层片(全景片)】如何解读和查看:牙周?牙体?牙髓?关节?_https://www.jmylbn.com_新闻资讯_第3张

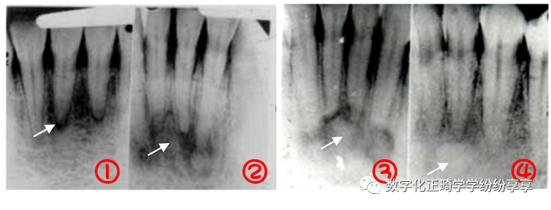
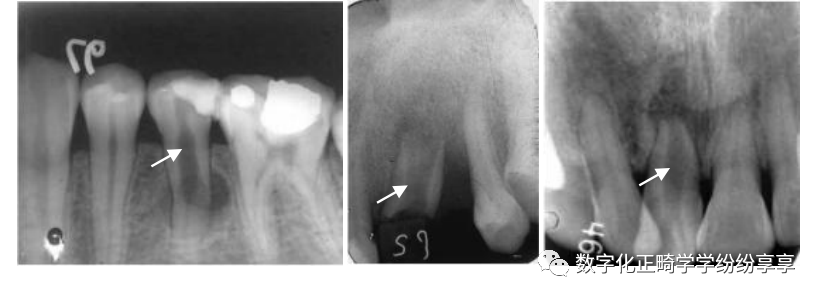
牙髓疾病 dental pulp disease:
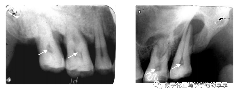
牙内吸收

曲面断层片怎么看正畸【曲面断层片(全景片)】如何解读和查看:牙周?牙体?牙髓?关节?_https://www.jmylbn.com_新闻资讯_第4张

患牙髓腔扩大,呈圆形/卵圆形/不规则形密度减低透射影。发生于根管者有长短不一、粗细不均、沿根管的扩大影。髓室壁或根管壁变薄。可伴有根尖吸收/感染/折断。

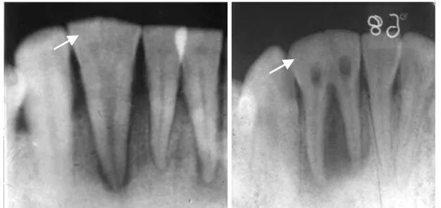
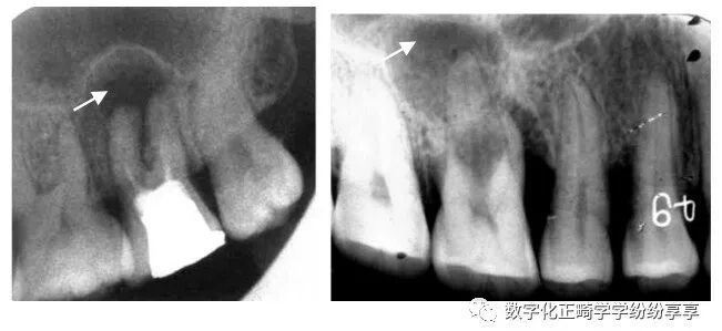
牙髓钙化

曲面断层片怎么看正畸【曲面断层片(全景片)】如何解读和查看:牙周?牙体?牙髓?关节?_https://www.jmylbn.com_新闻资讯_第5张

阻射影;后牙为圆形、卵圆形,可游离于髓室内,也可附着于髓室壁;前牙为条状或针状,充满于髓室或根管内,周围有线状低密度影像环绕。

曲面断层片怎么看正畸【曲面断层片(全景片)】如何解读和查看:牙周?牙体?牙髓?关节?_https://www.jmylbn.com_新闻资讯_第6张

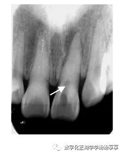
正常髓室及根管影像完全消失,不能辨别出髓腔界线,有的尚可见,但很细。

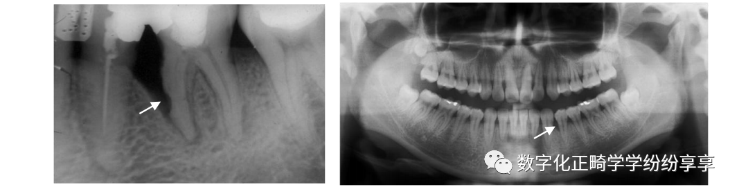
根尖周疾病 periapical disease:
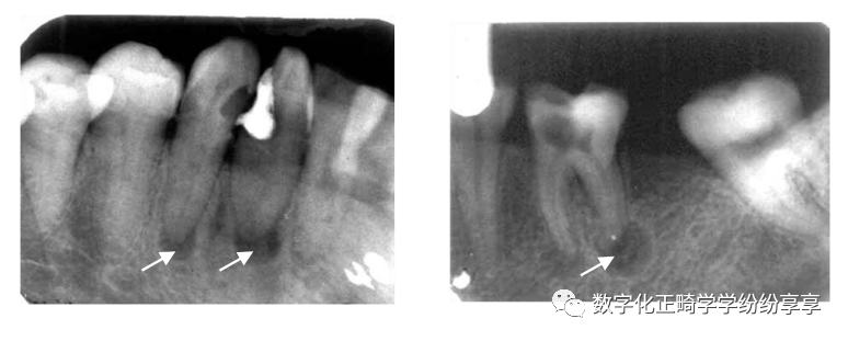
根尖周脓肿

曲面断层片怎么看正畸【曲面断层片(全景片)】如何解读和查看:牙周?牙体?牙髓?关节?_https://www.jmylbn.com_新闻资讯_第7张

随病情发展可见病原牙为中心、骨质破坏较重、弥散性破坏、边界不清的投射区。骨硬板消失,病变一般较局限,外周可有骨质增生反应。越靠近患牙破坏越严重,密度越低

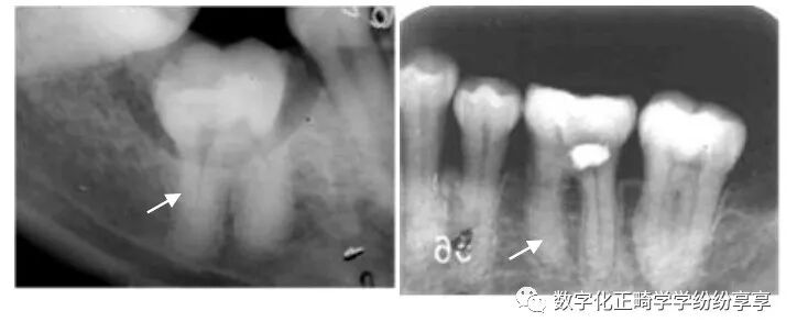
根尖周肉芽肿

曲面断层片怎么看正畸【曲面断层片(全景片)】如何解读和查看:牙周?牙体?牙髓?关节?_https://www.jmylbn.com_新闻资讯_第8张

在病原牙根尖根侧方或根分叉有圆形或卵圆形的密度减低区,病变范围较小,直径一般不超过 1cm,周界清楚,无质密骨硬板,病变周围骨质正常或稍变致密。

根尖周囊肿

曲面断层片怎么看正畸【曲面断层片(全景片)】如何解读和查看:牙周?牙体?牙髓?关节?_https://www.jmylbn.com_新闻资讯_第9张

曲面断层片怎么看正畸【曲面断层片(全景片)】如何解读和查看:牙周?牙体?牙髓?关节?_https://www.jmylbn.com_新闻资讯_第10张

以病原牙尖为中心形成大小不等的圆形或卵圆形、骨质破坏低密度病变区,密度均匀。边缘清晰锐利,周围骨质长期受刺激而在囊肿边缘有致密线条影。可致骨膨隆。

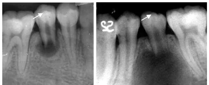
牙骨质增生

曲面断层片怎么看正畸【曲面断层片(全景片)】如何解读和查看:牙周?牙体?牙髓?关节?_https://www.jmylbn.com_新闻资讯_第11张

由于增生牙骨质沿牙根不断沉积,使牙根变粗增大,如仅位于根尖,则表现为根尖球状增生;若波及整个牙根,则牙根体积膨大,有的病例可见牙周膜间隙消失,与牙槽骨发生粘连。

牙骨质结构不良

曲面断层片怎么看正畸【曲面断层片(全景片)】如何解读和查看:牙周?牙体?牙髓?关节?_https://www.jmylbn.com_新闻资讯_第12张

①下前牙根尖区骨质溶解破坏,类似根尖周炎;②牙骨质小体形成;③④根尖形成团状钙化影像

牙周病 Periodontitis:
牙槽骨水平型吸收 

曲面断层片怎么看正畸【曲面断层片(全景片)】如何解读和查看:牙周?牙体?牙髓?关节?_https://www.jmylbn.com_新闻资讯_第13张

多数牙或全口牙槽骨从嵴顶呈水平方向向根尖高度减低,吸收程度较均匀,早期表现牙槽嵴顶骨硬板模糊,继而前牙区牙槽嵴顶由尖变平,后牙区牙槽嵴顶由梯形变凹陷,边缘模糊粗糙呈虫蚀样;随疾病进一步发展,牙槽嵴逐渐向根尖方向吸收。

牙槽骨垂直型吸收

曲面断层片怎么看正畸【曲面断层片(全景片)】如何解读和查看:牙周?牙体?牙髓?关节?_https://www.jmylbn.com_新闻资讯_第14张

表现为局部牙槽骨或牙槽间隔的一侧,沿牙体长轴方向向根端吸收,病变早期造成牙槽骨壁吸收,骨硬板消失,牙周间隙增宽;随病变加重,牙槽骨垂直吸收明显,呈楔形,若同一牙齿近远中均有垂直吸收,牙槽骨可见弧形吸收(吸收区域包绕两个及以上牙面)。

牙槽骨混合型吸收

曲面断层片怎么看正畸【曲面断层片(全景片)】如何解读和查看:牙周?牙体?牙髓?关节?_https://www.jmylbn.com_新闻资讯_第15张

牙槽骨在水平吸收的基础上,同时伴有个别牙或多数牙的牙槽骨垂直吸收。多见于牙周炎晚期。

牙发育异常 Dental anomalies:
畸形中央尖 曲面断层片怎么看正畸【曲面断层片(全景片)】如何解读和查看:牙周?牙体?牙髓?关节?_https://www.jmylbn.com_新闻资讯_第16张
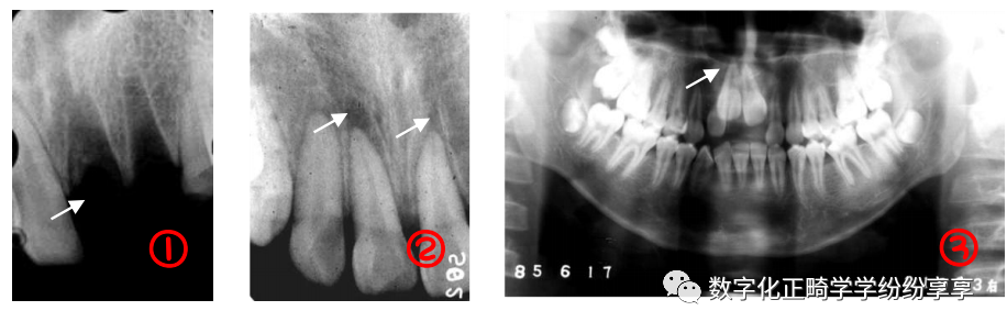
牙内陷

曲面断层片怎么看正畸【曲面断层片(全景片)】如何解读和查看:牙周?牙体?牙髓?关节?_https://www.jmylbn.com_新闻资讯_第17张

①右上 2 畸形舌侧尖(伴阻生牙);②左上 2 畸形舌侧窝;③右上 2 牙中牙

融合牙 

曲面断层片怎么看正畸【曲面断层片(全景片)】如何解读和查看:牙周?牙体?牙髓?关节?_https://www.jmylbn.com_新闻资讯_第18张

分别为右下 1、2 的完全性融合和不完全性(牙冠)融合

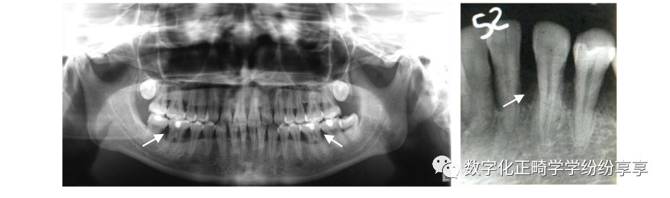
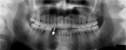
阻生牙

曲面断层片怎么看正畸【曲面断层片(全景片)】如何解读和查看:牙周?牙体?牙髓?关节?_https://www.jmylbn.com_新闻资讯_第19张

拍片注意:阻生牙位臵、方向、本身情况、与邻牙关系、数目及形态、与下牙槽神经管距离和磨牙后间隙大小等。

牙外伤 Traumatic Injuries of the teeth:
牙折

曲面断层片怎么看正畸【曲面断层片(全景片)】如何解读和查看:牙周?牙体?牙髓?关节?_https://www.jmylbn.com_新闻资讯_第20张

牙根折裂

曲面断层片怎么看正畸【曲面断层片(全景片)】如何解读和查看:牙周?牙体?牙髓?关节?_https://www.jmylbn.com_新闻资讯_第21张

牙脱位 

曲面断层片怎么看正畸【曲面断层片(全景片)】如何解读和查看:牙周?牙体?牙髓?关节?_https://www.jmylbn.com_新闻资讯_第22张

颌骨骨岛 曲面断层片怎么看正畸【曲面断层片(全景片)】如何解读和查看:牙周?牙体?牙髓?关节?_https://www.jmylbn.com_新闻资讯_第23张
骨折问题:
颏部骨折        

曲面断层片怎么看正畸【曲面断层片(全景片)】如何解读和查看:牙周?牙体?牙髓?关节?_https://www.jmylbn.com_新闻资讯_第24张

颏孔区骨折

曲面断层片怎么看正畸【曲面断层片(全景片)】如何解读和查看:牙周?牙体?牙髓?关节?_https://www.jmylbn.com_新闻资讯_第25张

关节相关常见疾病:

颞下颌关节紊乱病 TMJD:

1)分类: 

(1)功能性紊乱:关节区神经肌肉功能的紊乱;

(2)结构性紊乱:关节盘移位(间隙改变)、关节囊扩张及关节盘附着松弛等(多为位臵改变);

(3)器质性破坏:关节骨质改变、关节盘穿孔、撕裂等。

2)临床表现:弹响、疼痛、功能障碍,部分患者可伴头痛、耳鸣等症状。

3)X 线: 

(1)关节间隙改变:前大后小,前小后大,整体变窄,整体变宽;

(2)髁突运动度改变:临床检查即可;

(3)两侧关节形态发育不对称; 

(4)骨质改变

关节

(1) 关节间隙改变:前大后小,前小后大,整体变窄,整体变宽;

(2) 两侧关节形态发育不对称;

曲面断层片怎么看正畸【曲面断层片(全景片)】如何解读和查看:牙周?牙体?牙髓?关节?_https://www.jmylbn.com_新闻资讯_第26张

(3) 骨质改变:(可追加薛氏位片或MRI)

髁突硬化

曲面断层片怎么看正畸【曲面断层片(全景片)】如何解读和查看:牙周?牙体?牙髓?关节?_https://www.jmylbn.com_新闻资讯_第27张

髁突经咽侧位片示髁突前斜面密质骨不规则增生硬化

髁突前斜面模糊不清

曲面断层片怎么看正畸【曲面断层片(全景片)】如何解读和查看:牙周?牙体?牙髓?关节?_https://www.jmylbn.com_新闻资讯_第28张

髁突经咽侧位片示髁突前斜面密质骨致密影像消失,边缘模糊粗糙

髁突小凹陷缺损

曲面断层片怎么看正畸【曲面断层片(全景片)】如何解读和查看:牙周?牙体?牙髓?关节?_https://www.jmylbn.com_新闻资讯_第29张

髁突经咽侧位片示髁突前斜面骨质呈小的凹陷状缺损,周围骨质密度减低

髁突前斜面广泛破坏

曲面断层片怎么看正畸【曲面断层片(全景片)】如何解读和查看:牙周?牙体?牙髓?关节?_https://www.jmylbn.com_新闻资讯_第30张

髁突经咽侧位片示髁突前斜面密质骨边缘消失,表面不整齐,有较广泛的骨质侵蚀及破坏

髁突磨平、变短小

曲面断层片怎么看正畸【曲面断层片(全景片)】如何解读和查看:牙周?牙体?牙髓?关节?_https://www.jmylbn.com_新闻资讯_第31张

髁突骨质增生

曲面断层片怎么看正畸【曲面断层片(全景片)】如何解读和查看:牙周?牙体?牙髓?关节?_https://www.jmylbn.com_新闻资讯_第32张

以上图片内容源自网络文献资料,仅供参考学习~



正畸前拍摄全景片,检查患者牙体、牙髓、牙周、关节等情况,可以帮助正畸医生更好的把握患者正畸前情况,合理制定方案,对于全景片无法清晰显示的位置,可以再通过拍摄cbct或者单牙位片的方式进行诊断。原则是尽可能在正畸前完成全面的检查并记录,既是对患者负责,又是对我们方案、治疗过程的有效信息的掌握。避免纠纷和风险。你懂~~~~~



曲面断层片怎么看正畸【曲面断层片(全景片)】如何解读和查看:牙周?牙体?牙髓?关节?_https://www.jmylbn.com_新闻资讯_第33张