明胶在血管怎么降解脾脏破裂必须要切掉脾脏吗?医生:不一定!它可以保你脾脏一命

新闻资讯2026-04-21 15:36:47

明胶在血管怎么降解脾脏破裂必须要切掉脾脏吗?医生:不一定!它可以保你脾脏一命_https://www.jmylbn.com_新闻资讯_第1张

半个月前

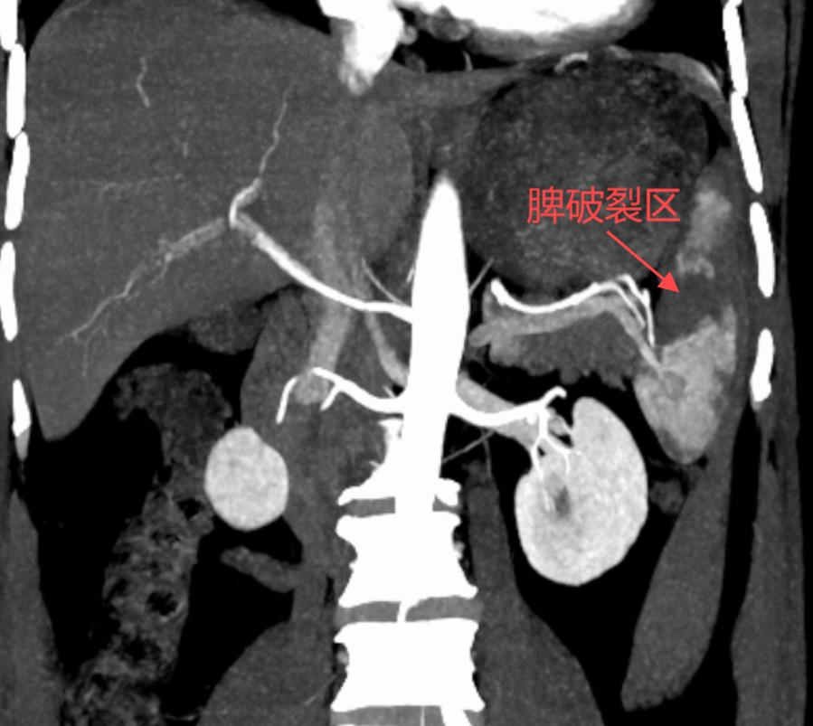
急诊来了一名小伙

因撞伤导致脾脏破裂和脾脏出血

这波属于“人体血库”炸了

(脾脏是人体免疫和储血器官)


明胶在血管怎么降解脾脏破裂必须要切掉脾脏吗?医生:不一定!它可以保你脾脏一命_https://www.jmylbn.com_新闻资讯_第2张


明胶在血管怎么降解脾脏破裂必须要切掉脾脏吗?医生:不一定!它可以保你脾脏一命_https://www.jmylbn.com_新闻资讯_第3张



按老剧本得开刀切脾脏

但松岗人民医院介入科医生

给出惊喜建议:

切脾?不一定。

我们还能“原装保修”




用介入栓塞手术

给脾脏止血


明胶在血管怎么降解脾脏破裂必须要切掉脾脏吗?医生:不一定!它可以保你脾脏一命_https://www.jmylbn.com_新闻资讯_第4张


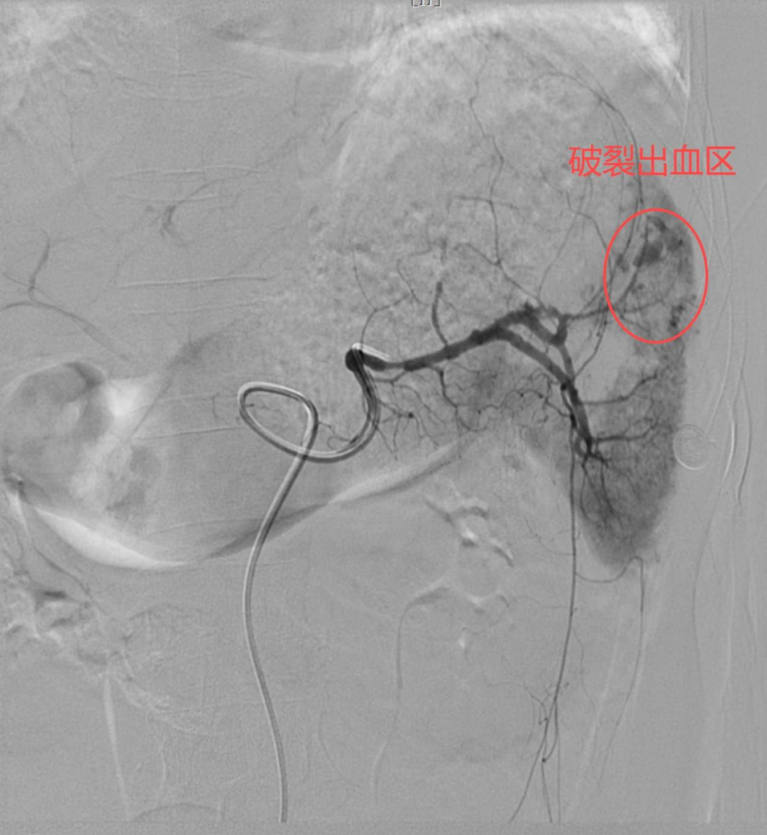
介入栓塞手术分两步走,过程就像修水管:


1、找到“漏水点(出血点)”。


2、用两种“堵水神器”解决问题:


▶ 明胶海绵颗粒

用吸收性明胶海绵来堵住血管后,它可以帮助血液凝结,形成血栓,从而暂时把血管堵住。


因为这种明胶海绵是可以被身体吸收的材料,所以被堵住的血管不会一直被堵着,过一段时间会重新通开。


一般来说,血管从部分通开到完全通开需要大概30到35天,也有些情况下只需要3周左右。


虽然明胶海绵颗粒的堵塞强度没其他材料强,但正因如此,使用明胶海绵颗粒时并发症的发生率低。


▶ 弹簧圈

这像“小塞子”,医生把“塞子”送到出血的地方,把出血的“洞”堵住,以此来止血。



不管是哪种神器,堵住的只是一条出血的分支,其它血管分支还在正常运行,因此脾脏不会“死掉”。


而且,介入栓塞手术比脾切除及脾修补术更节省时间,抢救成功率也更高。


明胶在血管怎么降解脾脏破裂必须要切掉脾脏吗?医生:不一定!它可以保你脾脏一命_https://www.jmylbn.com_新闻资讯_第5张




01

脾脏出血的情况下

介入手术好在这三点


明胶在血管怎么降解脾脏破裂必须要切掉脾脏吗?医生:不一定!它可以保你脾脏一命_https://www.jmylbn.com_新闻资讯_第6张

精准止血


通过血管造影定位破裂血管,用栓塞材料封堵出血点,避免开腹手术。 



明胶在血管怎么降解脾脏破裂必须要切掉脾脏吗?医生:不一定!它可以保你脾脏一命_https://www.jmylbn.com_新闻资讯_第7张

器官保留


最大限度保护脾脏功能,降低术后感染风险,尤其适合儿童及免疫力低下患者。


明胶在血管怎么降解脾脏破裂必须要切掉脾脏吗?医生:不一定!它可以保你脾脏一命_https://www.jmylbn.com_新闻资讯_第8张

恢复快


仅需局部麻醉,创口仅针眼大小,住院时间缩短至3-5天。 


明胶在血管怎么降解脾脏破裂必须要切掉脾脏吗?医生:不一定!它可以保你脾脏一命_https://www.jmylbn.com_新闻资讯_第9张




02

介入手术的

适用人群

▶ 外伤性脾破裂(Ⅰ-Ⅲ级),脾蒂大血管未受损,脾脏无广泛挤压伤;  

▶ 无空腔脏器损伤及腹腔感染;


▶ 自发性脾出血(如血液病、肿瘤);  

▶ 高龄或合并基础疾病不耐受手术者 。 



明胶在血管怎么降解脾脏破裂必须要切掉脾脏吗?医生:不一定!它可以保你脾脏一命_https://www.jmylbn.com_新闻资讯_第10张


参考文献:

[1]张孔玺, 李小红, 李越洲, 等. 选择性脾动脉栓塞术与传统开腹手术治疗外伤性脾破裂安全性和有效性的Meta分析[J/CD]. 中华普通外科学文献(电子版), 2022, 16(6): 452-460.

[2]马龙洋 , 刘建敏 , 杜工亮 , 等 . 脾动脉栓塞与开腹手术治疗多发伤合并脾破裂的有效性和安全性 [J]. 创伤外科杂志 , 2020, 22(5): 395-396.

[3]赵涛 , 陈秋星 , 王高生 , 等 . 两种手术方式治疗Ⅲ、Ⅳ级创伤性脾破裂伴休克的疗效比较 [J]. 中华急诊医学杂志 , 2018, 27(6): 679-682.



微信改版了

刷到我们的科普/福利贴全凭缘分

每次做这2步

收看更多内容

(一般每周五更新)



明胶在血管怎么降解脾脏破裂必须要切掉脾脏吗?医生:不一定!它可以保你脾脏一命_https://www.jmylbn.com_新闻资讯_第11张


审核:文政伟

责编:蒋娇

审校:梁久平

编辑:刁艺琴

校对:朱堃祯

来源:医学影像科白雄军

部分图片来源于网络

如涉侵权请联系删除