日本光电脑电图怎么样神经外科机器人精准定位治疗难治性癫痫

新闻资讯2026-04-21 15:30:33

日本光电脑电图怎么样神经外科机器人精准定位治疗难治性癫痫_https://www.jmylbn.com_新闻资讯_第1张

01
病例背景

小李(化名)已患有癫痫20年,病情较为严重,发作频繁且经常大发作,癫痫发作时旁人稍照看不到便会发生跌倒导致头部损伤等危险事件。小李六年前曾在医院接受过检查但未能确定致痫灶,为减少癫痫发作次数,医院对其实行了胼胝体前部切开手术,术后两年病情有所缓解癫痫发作次数减少,但两年后病情恶化癫痫仍频繁发作,服用多种药物但治疗效果不佳。小李父母已年迈,考虑到其因长期癫痫发作难以独自生活而倍感焦虑,于是来到南京医科大学第四附院神经外科就诊并要求进行进一步的检查与治疗。



机器人辅助+立体定向脑电图



神经外科学科带头人孙康健主任接诊后,详细询问了患者病史并对其进行了长程脑电图检查及头部癫痫核磁共振检查。发现患者脑电图异常范围较广但癫痫发作起始考虑范围为额叶,为准确定位患者的致痫灶决定实行机器人辅助下的立体定向脑电图检查。



日本光电脑电图怎么样神经外科机器人精准定位治疗难治性癫痫_https://www.jmylbn.com_新闻资讯_第2张


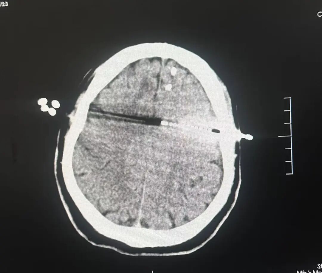
在手术室内,孙康健主任团队在神经外科机器人辅助下为患者植入了多个电极,后在脑电监测下通过检查及电刺激的方式确定了患者的致痫灶位于左侧额叶靠近功能区处,确定位置后为患者进行了二次的立体定向脑电图毁损治疗。现患者恢复良好,手术后癫痫无发作。

日本光电脑电图怎么样神经外科机器人精准定位治疗难治性癫痫_https://www.jmylbn.com_新闻资讯_第3张
机器人辅助植入电极
日本光电脑电图怎么样神经外科机器人精准定位治疗难治性癫痫_https://www.jmylbn.com_新闻资讯_第4张
PET和核磁共振融合确定致痫灶
日本光电脑电图怎么样神经外科机器人精准定位治疗难治性癫痫_https://www.jmylbn.com_新闻资讯_第5张
毁损致痫灶



专家解读



孙康健主任介绍,长期采用药物治疗但效果不佳仍有反复发作的癫痫患者在精神健康及社会生活方面均面临极大考验。对于癫痫治疗而言考虑治愈即无发作仍是医生考虑的首选目标,但因脑电的复杂性和结构的不确定性致使癫痫致痫灶的确定较为困难,特别是位于脑深部的致痫灶如只单纯通过普通脑电图难以确定。

机器人辅助立体定向脑电图对于复杂的难于定位的癫痫有极大的帮助,可以通过非常精准的小损伤记录深部难以到达的脑电情况,并且可以刺激相关部位记录脑功能的情况,在确定致痫灶的同时可以通过毁损的方式治疗癫痫,如果毁损后仍有发作可以采用手术切除。目前,南京医科大学第四附属医院神经外科已通过机器人辅助立体定向脑电图的方式治疗多例难治性癫痫患者,效果良好。



科室介绍——神经外科
01
学科概况:

开展床位40张。医生现有高级职称8名,博士3名,专业护理16名,专业电生理人员1名。开展神经肿瘤及功能外科(癫痫外科)、脑血管病的介入及手术、颅脑外伤的综合治疗3个亚专业方向。具有丰富的临床技能及科研能力,发表SCI文章最高影响因子20。

02
特色医疗:

神经外科带头人具有在原南京军区总医院神经外科工作近40年丰富经验。科室在神经肿瘤方面:对复杂的脑膜瘤(蝶岩斜脑膜瘤,鞍结节脑膜瘤,蝶骨嵴内侧脑膜瘤等)外科治疗,颅内复杂的胶质瘤的外科手术及药物的综合治疗(MDT),垂体腺瘤及颅咽管瘤的内镜及微创治疗,听神经瘤(三叉神经鞘瘤等)电生理检测下的手术治疗,面肌痉挛及三叉神经痛的微血管减压手术等有着丰富经验;在功能神经外科方面:对癫痫的基础及临床有深入研究,开展电生理检测下功能性大脑半球切除术(离断术),选择性海马杏仁核切除术,颞叶切除术,致痫灶切除术,胼胝体切开术,迷走神经刺激术,立体定向脑电图手术(SEEG手术)等;开展电生理监测下的神经肿瘤切除,脑电图描记下癫痫灶切除,电生理监测下功能性脊髓手术等;在血管病方面:开展动脉瘤的手术及各种复杂的介入治疗,复杂的缺血性脑血管病及出血性脑血管病(微创手术)的外科治疗;在神经重症方面:开展快速治疗通道,利用医院杂交手术室,治疗合并动脉瘤及血管畸形等复杂疾病的快速一站式手术,在神经系统感染方面亦有丰富经验。

03
先进设备:

莱卡手术显微镜,蔡司手术显微镜,美敦力动力系统,史赛克动力系统,超声外科吸引器,床旁牵开器,DORO手术头架系统,神经外科杂交手术室(飞利浦FD20悬吊式平板血管造影系统),日本光电32导脑电图仪,日本光电192导脑电图仪,日本光电术中电生理监测系统,颅内压监测系统,亚低温治疗系统。

专家介绍
日本光电脑电图怎么样神经外科机器人精准定位治疗难治性癫痫_https://www.jmylbn.com_新闻资讯_第6张
专家介绍

孙康健

学科带头人、神经外科副主任、医学博士

点击可直接预约挂号

从医经历:原南京军区总院神经外科胶质瘤及功能神经外科病区大主任,南京军区总医院神经外科工作37年,日本静冈国立癫痫中心访问学者。 

擅长项目:在脑肿瘤(脑胶质瘤,脑膜瘤,听神经瘤及面听神经保护,三叉神经鞘瘤,垂体腺瘤及其他各种复杂脑肿瘤)方面有深入研究;在功能神经外科的难治性癫痫治疗方面,对癫痫致病灶定位有深刻研究,熟练掌握大脑半球切除术,选择性海马杏仁核切除术,颞叶切除术,胼胝体切开术,迷走神经刺激术,致痫灶切除等;熟练掌握三叉神经痛微血管减压术,面肌痉挛微血管减压术;对脑血管疾病的动脉瘤夹闭术,脑血管畸形切除治疗,椎管内各种肿瘤及血管疾病及骨疾病的外科治疗有丰富临床经验。

学术任职:江苏省抗癫痫学会副会长;中国抗癫痫协会理事;江苏省神经外科学会功能组委员;江苏省非公立医院神经外科学会常务理事。

科研成果:发表SCI文章十余篇,单篇IF>19,;有关脑肿瘤、脑外伤及难治性癫痫外科治疗方面获得军队科技进步三等奖三项(第一完成人);获得军队科技进步二等奖二项(第三、第四完成人);国家科技进步二等奖一项(第七完成人),参与编写多部著作。 

日本光电脑电图怎么样神经外科机器人精准定位治疗难治性癫痫_https://www.jmylbn.com_新闻资讯_第7张
专家介绍

赵应群

主任医师

点击可直接预约挂号

从医经历:从事临床工作近20年,积累了丰富的临床工作经验,理论知识丰富,业务能力突出。

擅长项目:颅脑外伤、脑出血的救治和手术治疗、颅脑外伤患者及脑出血患者的抢救治疗和手术治疗。

科研成果:近年来在省级期刊发表学术论文六篇。

日本光电脑电图怎么样神经外科机器人精准定位治疗难治性癫痫_https://www.jmylbn.com_新闻资讯_第8张
专家介绍

耿建国

神经外科副主任

主任医师

点击可直接预约挂号

从医经历:从事神经外科临床诊疗工作26年。 

擅长项目:擅长各种复杂颅脑创伤,各种类型脑出血,各种原因引起的脑积水、颅骨缺损的手术治疗,能熟练开展常见脑肿瘤,脑血管疾病及椎管肿瘤的手术治疗。

科研项目:主持完成市级科研“氨基胍对兔蛛网膜下腔出血后迟发型脑血管痉挛的影响”课题,在省级、国家级专业核心期刊发表论文10余篇。

学术任职:南京市医学会神经外科专业委员会委员,南通医科大学临床教学基地兼职副教授,江苏省神经外科专业质控委员会委员。

日本光电脑电图怎么样神经外科机器人精准定位治疗难治性癫痫_https://www.jmylbn.com_新闻资讯_第9张
专家介绍

宋永福

神经外科副主任

副主任医师

点击可直接预约挂号

擅长项目:动脉瘤、脑血管畸形、颈动脉狭窄等脑血管病介入治疗,重症颅脑损伤手术及脑出血微创手术治疗。 

日本光电脑电图怎么样神经外科机器人精准定位治疗难治性癫痫_https://www.jmylbn.com_新闻资讯_第10张
专家介绍

赵伟

医务部副主任

副主任医师

点击可直接预约挂号

擅长项目:颅脑损伤、脑出血、脑积水、颅骨疾病、颅内肿瘤的诊断及手术治疗,脑血管病诊断与微创血管内介入治疗。

学术任职:南京医院协会医疗质量与安全管理专业委员会委员。

科研成果:在国家级期刊、核心期刊发表论文数篇。

日本光电脑电图怎么样神经外科机器人精准定位治疗难治性癫痫_https://www.jmylbn.com_新闻资讯_第11张
专家介绍

张玉勇

副主任医师

点击可直接预约挂号

从医经历:从事神经外科临床诊疗工作20余年。 

擅长项目:神经外科各种疾病,擅长神经外科脑血管病外科,各种出血性和缺血性脑血管病的手术治疗,包括烟雾病、脑动脉瘤、颈动脉狭窄、脑血管畸形、脑出血等。另外也擅长各种难治性癫痫,颅脑肿瘤、颅脑外伤的手术治疗。 

学术任职:江苏省研究型医院学会烟雾病专业委员会委员。 

科研成果:发表省级、国家级专业核心期刊文章数篇。

日本光电脑电图怎么样神经外科机器人精准定位治疗难治性癫痫_https://www.jmylbn.com_新闻资讯_第12张
专家介绍

黄培赞

副主任医师,医学博士

点击可直接预约挂号

从医经历:从事神经外科临床诊疗工作17年。

擅长项目:各种危重颅脑损伤及复杂脑血管疾病的手术综合治疗,各种原因引起的脑积水、颅骨缺损的手术治疗,各种颅脑肿瘤的的诊断和治疗。

科研成果:发表国内外专业期刊数篇,其中影响因子最高的一篇SCI文章为:7.675。

日本光电脑电图怎么样神经外科机器人精准定位治疗难治性癫痫_https://www.jmylbn.com_新闻资讯_第13张
专家介绍

蒋顶

副主任医师

点击可直接预约挂号

从医经历:从事神经外科工作15年。曾于北京天坛医院神经外科进修学习。长期从事南京医科大学临床教学工作。 

擅长项目:对大脑胶质瘤、脑膜瘤、三叉神经痛、面肌痉挛、癫痫、脑血管病、重型颅脑损伤等有深入的研究,擅长颅内肿瘤、癫痫、神经功能疾病外科手术治疗,对疑难、复杂的神经外科疾病有丰富的临床诊治经验,特别对于难治性癫痫外科手术前的评估有丰富经验。 

学术任职:江苏省抗癫痫协会理事。 

科研成果:发表有关脑肿瘤、神经功能外科及脑血管病论文数篇。

日本光电脑电图怎么样神经外科机器人精准定位治疗难治性癫痫_https://www.jmylbn.com_新闻资讯_第14张
专家介绍

黄启化

副主任医师

点击可直接预约挂号

从医经历:从事神经外科临床工作11年。 

擅长项目:功能神经外科癫痫方面,能够熟练掌握癫痫规范化的诊断、药物治疗及手术治疗。各种脑出血、颅脑外伤的微创手术及保守治疗。各种脑积水、颅骨缺损的手术治疗。能够熟练掌握脑肿瘤、脑血管病、三叉神经痛、面肌痉挛、椎管肿瘤的诊断治疗。对于神经外科常见病多发病的诊疗有丰富的临床经验。 

学术任职:现任江苏省神经科学学会神经肿瘤与神经损伤分会委员、中国抗癫痫协会会员、江苏省抗癫痫协会会员。 

科研成果:发表国家级核心期刊数篇。




供稿 | 钱红娇

编辑 | 马梦琪

责编 | 戴   鹏

审核 | 仲济凯



扫码关注
南京医科大学第四附属医院




日本光电脑电图怎么样神经外科机器人精准定位治疗难治性癫痫_https://www.jmylbn.com_新闻资讯_第15张




订阅号




日本光电脑电图怎么样神经外科机器人精准定位治疗难治性癫痫_https://www.jmylbn.com_新闻资讯_第16张




服务号




日本光电脑电图怎么样神经外科机器人精准定位治疗难治性癫痫_https://www.jmylbn.com_新闻资讯_第17张




视频号


京新院区地址:江北新区南浦路298号

浦园院区地址:江北新区浦园路18号

南苑院区地址:江北新区浦珠中路204号

网址:http://www.jsnydsfy.com

患者服务中心:025-56680746


日本光电脑电图怎么样神经外科机器人精准定位治疗难治性癫痫_https://www.jmylbn.com_新闻资讯_第18张