新华 dr 怎么样冠县新华医院丨科普 — 脊柱全长DR摄影,让脊柱侧弯发现的早一点

新闻资讯2026-04-21 15:06:47

新华 dr 怎么样冠县新华医院丨科普 — 脊柱全长DR摄影,让脊柱侧弯发现的早一点_https://www.jmylbn.com_新闻资讯_第1张

脊柱侧弯畸形是指脊柱一个或数个椎体在冠状面上偏离中线向侧方弯曲,形成一个带有弧度的脊柱畸形,常伴有脊柱的旋转和矢状面上后突或前突的增加或减少,同时还常有肋骨高低不等平、骨盆的旋转倾斜畸形。通常发生于胸椎、腰椎。侧弯出现在脊柱一侧,呈“C”型,或双侧出现,呈“S”型。


脊柱侧弯是一种危害青少年健康最常见的脊柱疾病,已逐渐成为继肥胖、近视之后,影响青少年健康的第三大“杀手”。


脊柱侧弯早期体征并不明显,常不容易被发现,生长发育会逐渐导致侧弯畸形发展迅速。如不及时发现,可发展成严重的畸形,如脊柱后突畸形,斜肩,骨盆偏斜等,侧弯的脊柱,不仅影响外观形象,还会引起疼痛,心肺及胃肠系统受压、功能受损,危害身体健康,影响生活质量。因此,早期诊断及治疗尤为重要。





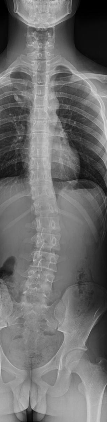
脊柱全长DR摄影技术

脊柱全长DR摄影技术是一种先进的检查方式,解决了全脊柱不能一次成像的问题,经过4-5次的曝光后,可以完成脊柱全长的站立负重位摄影,通过拼接技术,将多张X线片进行拼接,形成一个完整的脊柱全长影像,这种技术可以更直观、更全面、更准确的观察脊柱的整体形态,帮助评估侧弯的程度,极大的方便了病情的分析,为临床的诊断和治疗提供了重要的影像学依据。对侧弯的治疗方式和治疗后的评估提供了极为重要的参考价值。





脊柱全长DR摄影
新华 dr 怎么样冠县新华医院丨科普 — 脊柱全长DR摄影,让脊柱侧弯发现的早一点_https://www.jmylbn.com_新闻资讯_第2张
新华 dr 怎么样冠县新华医院丨科普 — 脊柱全长DR摄影,让脊柱侧弯发现的早一点_https://www.jmylbn.com_新闻资讯_第3张
新华 dr 怎么样冠县新华医院丨科普 — 脊柱全长DR摄影,让脊柱侧弯发现的早一点_https://www.jmylbn.com_新闻资讯_第4张

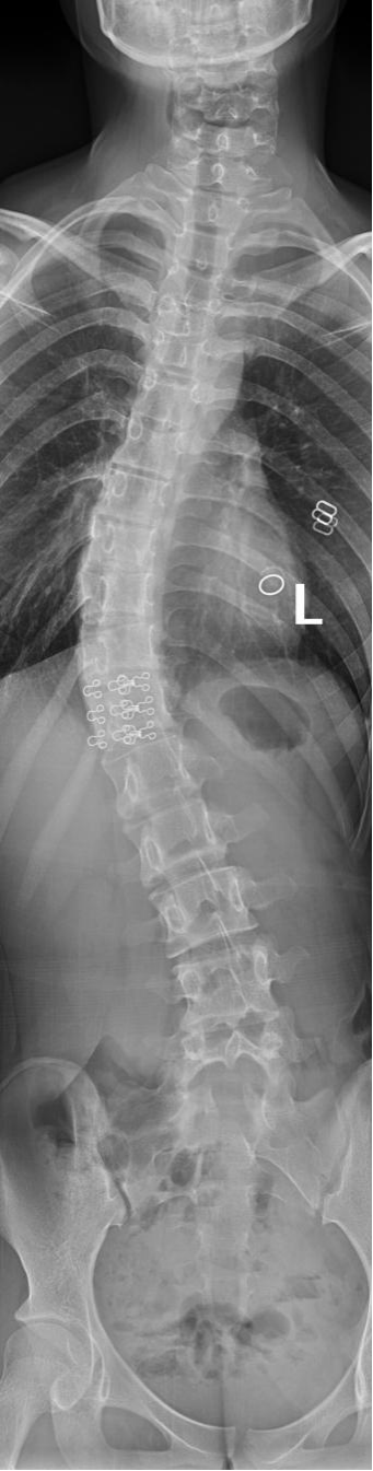
Cobb角是评估脊柱侧弯严重程度的一个重要指标,角度越大,代表侧弯越严重,治疗难度也会随之增加。国际脊柱侧弯研究会规定,站立位时Cobb角大于10°称为脊柱侧弯。

新华 dr 怎么样冠县新华医院丨科普 — 脊柱全长DR摄影,让脊柱侧弯发现的早一点_https://www.jmylbn.com_新闻资讯_第5张





Cobb角测量方法:

先确定侧弯的上下端椎,就是侧弯中倾斜角度最大的椎体,在上端椎的上缘和下端椎的下缘各划一条横线,两条横线的各做一条垂线,这两条垂线的夹角就是Cobb角。





Cobb角参考意义:

1、Cobb角<10°时为阴性。

2、Cobb角>10°且<25°时应随访观察。

3、Cobb角25°~40°时应行支具治疗。

4、Cobb角40°~50°时,如果患者发育未成熟,建议手术治疗。对于发育成熟的患者,随访发现侧弯有明显进展,也应手术治疗。

5、Cobb角>50°,采取手术治疗。

6、如果存在多个侧弯曲线,分别对每个曲线测量 Cobb角。





脊柱全长DR摄影技术的应用:

1、脊柱侧弯:显示侧弯的角度和弯曲的部位,根据弯曲的程度制定治疗方案。

2、脊柱骨折:当出现脊柱骨折时,尤其是出现脊椎压缩性骨折时,椎体形状一般为发生改变,多为楔形压缩骨折。

3、脊柱滑脱:当出现脊椎滑脱时,椎体前后连接出现了中断和错位,滑脱比较严重时,断裂的间隙会明显增宽。

4、脊柱增生:脊柱出现增生,可以在相应的位置上形成骨刺。

5、脊柱侧弯矫正效果的评估,定期的复查,医生可以观察侧弯程度的变化,评估矫正的效果,从而调整治疗方案。

6、发现脊柱的其他异常:如椎体是否畸形,椎间隙是否狭窄等。


新华 dr 怎么样冠县新华医院丨科普 — 脊柱全长DR摄影,让脊柱侧弯发现的早一点_https://www.jmylbn.com_新闻资讯_第6张

冠县新华医院放射科拥有先进的DR设备,开展的脊柱全长DR摄影技术已经成熟掌握,随着这项技术的广泛运用,对脊柱侧弯等疾病提供更准确的影像学信息。先进的设备,优秀的团队,正确的诊断,为临床及患者保驾护航。

咨询电话:

李主任:18663025997

放射科:0635-5868201

科室地址:冠县新华医院 医技楼一楼西·放射科



点击地图 自动导航


|编辑:宣传科

|文:放射科 徐春秋

新华 dr 怎么样冠县新华医院丨科普 — 脊柱全长DR摄影,让脊柱侧弯发现的早一点_https://www.jmylbn.com_新闻资讯_第7张