放射科怎么打印便民服务|放射科“云胶片”上线了,可随时随地查看影像数据

新闻资讯2026-04-21 14:47:26



放射科怎么打印便民服务|放射科“云胶片”上线了,可随时随地查看影像数据_https://www.jmylbn.com_新闻资讯_第1张


放射科“云胶片”上线了
放射科怎么打印便民服务|放射科“云胶片”上线了,可随时随地查看影像数据_https://www.jmylbn.com_新闻资讯_第2张


“传统胶片+影像袋”

成为了很多患者就医看病时的“标配”

随身拎着一袋X线片、CT或者磁共振胶片

来回奔走于各诊室之间

携带非常不便

“云胶片”将传统的实体胶片数字化

并上传至云端储存

方便医生、患者和医疗机构

随时随地访问和共享影像数据。


重钢总医院放射科磁共振(MRI)、CT检查默认不再提供实体胶片,并直接减收15元/次的胶片打印费,“云胶片”实实在在地惠及患者。与此同时,医院提供数字影像服务,在完成影像检查、医生出具报告后,患者即可在手机上查看原始影像数据和报告

放射科怎么打印便民服务|放射科“云胶片”上线了,可随时随地查看影像数据_https://www.jmylbn.com_新闻资讯_第3张


放射科怎么打印便民服务|放射科“云胶片”上线了,可随时随地查看影像数据_https://www.jmylbn.com_新闻资讯_第4张
主要特点:


1、数字化存储:将X光、CT、MRI等影像数据存储在云端,取代传统胶片。


2、便捷访问:患者和医生可通过手机、电脑等设备随时查看影像,无需携带实体胶片。


3、高效共享:影像数据可快速分享给其他医生或医疗机构,专家可远程查看影像,提供诊断意见,提升会诊和转诊效率。


4、环保节约:减少胶片和打印耗材的使用,更加环保。


5、数据安全:采用加密和权限管理,确保患者隐私和数据安全。


6、提升效率:减少等待时间,加快诊断和治疗进程。


7、降低成本:减少胶片和存储费用。


8、改善体验:患者无需携带大量胶片,影像可长期保存。


9、随访:患者复查时,医生可随时调阅历史影像。


温馨提示:如果您仍然需要实体胶片,请住院或门诊医生帮助开具胶片打印医嘱,然后到放射科人工登记窗口办理缴费后打印。



放射科怎么打印便民服务|放射科“云胶片”上线了,可随时随地查看影像数据_https://www.jmylbn.com_新闻资讯_第5张
获取报告方式:


查看报告诊断:搜索关注“重钢总医院”微信公众号,点击“微官网”→报告查询。


放射科怎么打印便民服务|放射科“云胶片”上线了,可随时随地查看影像数据_https://www.jmylbn.com_新闻资讯_第6张



查看原始胶片:第一步,请在自助机上扫描“报告条码”打印纸质报告。


放射科怎么打印便民服务|放射科“云胶片”上线了,可随时随地查看影像数据_https://www.jmylbn.com_新闻资讯_第7张


第二步:请用微信扫描纸质报告左上角“二维码”。


放射科怎么打印便民服务|放射科“云胶片”上线了,可随时随地查看影像数据_https://www.jmylbn.com_新闻资讯_第8张



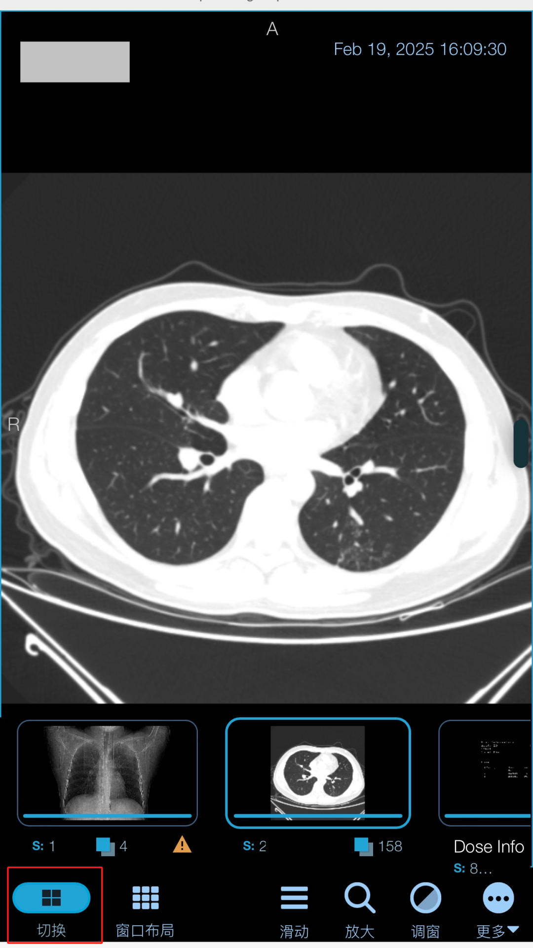
第三步:点击“序列胶片”查看原始胶片记录。




第四步:点击“切换”可查看多张胶片信息,本胶片信息可反复查看,易于长期保存,长按也可保存至手机相册。


放射科怎么打印便民服务|放射科“云胶片”上线了,可随时随地查看影像数据_https://www.jmylbn.com_新闻资讯_第9张
放射科怎么打印便民服务|放射科“云胶片”上线了,可随时随地查看影像数据_https://www.jmylbn.com_新闻资讯_第10张


供稿:放射科

编辑:党群工作部

审核:党群工作部

放射科怎么打印便民服务|放射科“云胶片”上线了,可随时随地查看影像数据_https://www.jmylbn.com_新闻资讯_第11张