原创 Cell Press CellPress细胞科学 =
交叉学科
Interdisciplinary
放射治疗 (下文简称“放疗”)在肿瘤临床治疗中占有举足轻重的地位,是继手术之后的第二大治疗手段,约70%的患者在治疗过程中需要放疗。放疗可以明显降低肿瘤的局部复发率,提高肿瘤的局部控制率和生存率,但常造成口腔黏膜损伤。本篇病例报告报道了3名头颈癌患者使用数字化3D打印口腔器械优化头颈癌症放疗效果、降低不良事件发生、助力治疗后复健。2023年4月17日,这项文章以“Digital fabrication of customized intraoral appliances for head and neck radiotherapy”为题,发表在Cell Press细胞出版社期刊Heliyon上。
论文摘要
简介:头颈部癌症患者接受的放疗常常对口腔组织和咀嚼肌产生不良影响。本文描述了用于放疗和肌肉锻炼的口腔内部器械的数字化制造方法。
方法:三名被诊断为舌鳞状细胞癌的患者通过不同的放射治疗技术进行治疗规划。患者接受口腔扫描和数字咬合记录,该器械由放射肿瘤科医师、牙医和实验室技术人员共同设计。该器械覆盖了剩余牙齿的咬合面,咬合面与器械之间有1毫米的接触。舌板位于咬合平面以下2毫米,并向远端延伸4毫米,张口程度为20毫米。这些器械使用坚硬但生物相容性良好的3D打印材料打印完成。
结果:器械插入简便,可轻松调整以适应口腔。患者在培训后能够自行插入器械。舌头在日常放疗过程中保持预定位置,健康组织与放射区域分离。患者口腔粘膜出现轻微不良反应。此外,放疗结束后,这些器械可用于肌肉锻炼,以预防张口受限。
结论:通过跨学科合作,利用数字工作流程制作定制口腔内部器械,可以使患者受益。
简介
头颈部癌症(HNC)常常采用放疗。放疗可以作为辅助治疗用于术后肿瘤切除的患者,也可以作为无法手术切除的肿瘤、以及保留器官的治疗方法。放疗会对HNC患者产生一些常见的与辐射有关的毒性反应,包括口腔粘膜、唾液腺和牙槽骨的组织损伤,进而影响患者治疗后的疗效和生活质量。
放射性口腔粘膜炎(RIOM)是放疗后的急性不良反应,其特点是红斑和口腔粘膜溃疡,导致刺激、疼痛、吞咽和言语困难。口腔粘膜在累积照射剂量达到20Gy时,上皮增殖减少;当累积剂量超过30Gy时,可以在临床上观察到粘膜损伤;剂量≥50Gy会不可逆地损伤唾液腺和周围骨骼,有导致骨放射性坏死的风险。唾液腺损伤导致唾液分泌减少、口腔免疫球蛋白A水平降低以及抗菌机制受损。这些变化使口腔更容易受到感染、龋齿和牙周病的影响。因此,在放疗治疗计划中,保护正常口腔组织是一个首要考虑因素。
对于接受放疗的HNC患者,口腔内部定位托槽可以有效保护健康组织,大大降低辐射引起的毒性反应。然而,制作托槽需要放射科医生、牙医和牙科实验室的跨学科团队合作。在使用传统技术时,患者需要去牙医那里进行口腔印模和咬合记录制作牙模。牙科实验室的技术人员会使用丙烯酸树脂材料根据口腔开口和舌头位置制作托槽蜡模板。这种设计和工作流程需要多天甚至数周的沟通和处理时间。
为放疗患者制作定位托槽需要多次口腔就诊、一个经验丰富的团队以及临床和牙科实验室之间的有效沟通。因此,在紧急需要放疗以防止癌症进展的情况下,定位托槽可能无法及时交付,其可用性、可靠性和重复性也会存在问题。
使用计算机辅助设计(CAD)和计算机辅助制造,可以通过数字方式获取牙印并进行义齿加工。数字化制作牙齿修复和义齿的准确度与传统技术制作相似。数字化流程也减少了患者的不适、就诊时间和临床到实验室的交通时间。然而数字工作流程的临床评估仍然不足。在本文中,我们展示了使用数字工作流程以及包括口腔内部扫描与CAD和3D打印技术,为三名HNC患者设计、制作和植入口腔内部器械的可行性。
方法
1.肿瘤特征和治疗
放射治疗科收治了三名被诊断为舌鳞癌的患者。每位患者的肿瘤位置、癌症分期、根治性手术和放疗计划如下所述。
患者1:62岁,男性,主诉5月前舌部左侧溃疡。有吸烟史(20包/年)和饮酒史。检查发现:舌腹侧出现一个溃疡性肿块(4×2 cm)肿块跨越中线并涉及舌根部。左侧IA水平可触及1厘米的颈部淋巴结。颈部的CT断层扫描示舌腹侧有一个3.7×2.1×3.7 cm异质性增强溃疡性肿块,并经活检报告证实为分化良好的鳞状细胞癌(SCCA),无转移。该患者被转诊进行舌部广泛切除和左侧改良根治性颈淋巴结清扫术。右侧I-III水平的前哨淋巴结清扫术同时进行,术中行左侧PMF重建和气管切开术。最终诊断为5.5 cm和1 cm的浸润性中度分化SCCA。病理分析发现右侧IB水平淋巴结存在淋巴血管和神经侵犯,并发现1.3cm的转移性SCCA,伴有淋巴结外扩。II-V水平的双侧淋巴结未受累。肿瘤分期估计为T4aN3bM0。手术后采用三维适形放射治疗(3D-CRT)技术,进行术后放疗,总剂量为66Gy,共33次分次放疗。
患者2:66岁,男性,主诉左侧口腔舌部溃疡和吞咽疼痛2月余。有吸烟史(40包/年),但已戒烟1年,社交性饮酒。检查发现左侧舌侧出现一个3 cm的溃疡性肿块,有接触出血。未触及淋巴结。颈部的CT断层扫描显示左侧舌腹侧有一个2.7厘米的不规则异质性增强肿块,无淋巴结肿大。舌部肿块活检证实为中度分化SCCA。该患者接受左侧半舌切除术,同时进行I-III水平选择性淋巴结清扫术。最终诊断为4.5cm和10mm的浸润性中度分化SCCA,伴有淋巴血管和神经侵犯。在切除的24个淋巴结中未发现恶性病变。肿瘤分期估计为T4aN0M0。手术后采用调强放疗(IMRT)技术,进行术后化疗放疗,总剂量为66 Gy,共33次分次放疗。
患者3:64岁,男性,9年前曾患鼻咽癌,接受了化疗放疗治疗,现出现第二原发性舌癌。核磁共振扫描显示舌腹侧有一个新的2.6×3.2×2.9 cm的病变。给予顺铂、5-氟尿嘧啶和彭伯罗单抗的姑息性化疗免疫疗法,随后进行了手术。病理报告证实了一个1.5cm的中度分化SCCA,手术切缘受累。肿瘤分期估计为复发性T1N0M0。采用质子放疗进行再次放疗,总剂量为70 Gy,共35次分次放疗。
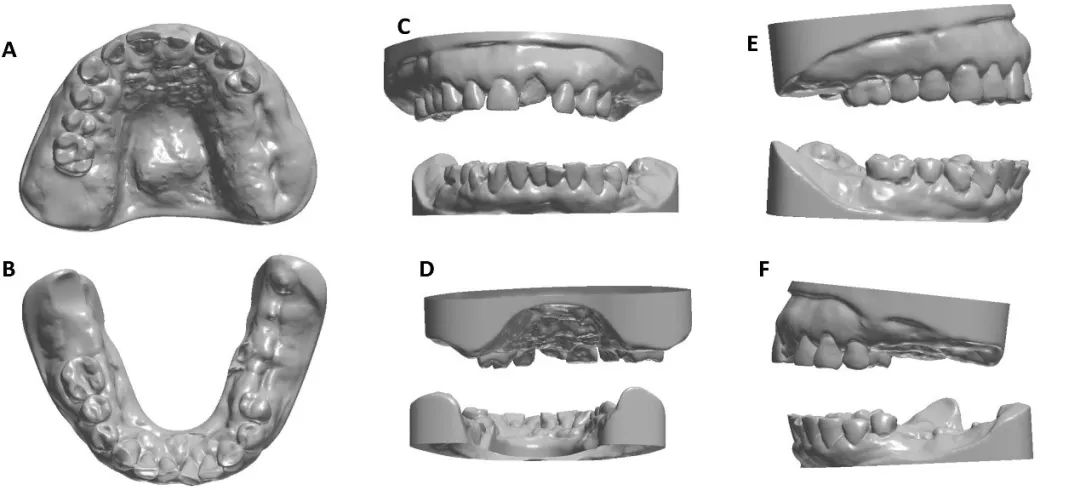
2.个性化口腔器械的设计、制作和植入
患者被转诊到牙科诊所进行放射治疗前的口腔准备。首次就诊时,进行了全面的口腔检查,拍摄了口腔内照片,并使用Trios 3口腔内扫描仪在5-10min内完成了口腔扫描。咬合扫描时使用自固化丙烯酸树脂制作的开口位夹具分离上颌和下颌。颌骨关系数字模型提交给实验室。使用3Shape Dental Software设计口腔器械。该器械覆盖了剩余牙齿的全牙合面,并接触了舌侧和颊侧牙齿表面1 mm。设计了一个从左到右的前磨牙区域的开口窗口,以促进呼吸和放射治疗期间的患者舒适度。舌板位于咬合平面下2 mm处,并向第二颌下磨牙区域向后延伸4 mm,以定位舌头。放射科医师、牙医和实验室技师在线沟通。口腔器械采用生物相容性透明丙烯酸复合材料打印制作。总打印时间为5小时,随后在405 nm紫外线光下在80℃下固化60 min。
第二次牙科就诊在第二天进行,进行口腔适合度调整。牙医将口腔器械在口腔内植入和调整。患者通过自行植入口腔器械来练习日常放疗治疗,并在同一天接受CT模拟进行放疗计划。

3.器械在放疗和肌肉锻炼中的应用
在模拟过程中,口腔器械在施加热塑性头肩面罩之前引导下颌和舌头达到期望位置。然后,患者接受CT和磁共振(MR)模拟扫描。所获得的CT和MR图像用于放疗计划。使用Eclipse™治疗计划系统为各个患者计算治疗方案。患者接受三维适形放疗(3D-CRT)、调强放疗(IMRT)和调强质子疗法(IMPT),具体情况如表1所示。在接受每日放疗剂量时,使用口腔器械来定位下颌和舌头。此外,患者被指导在家中使用器械进行肌肉拉伸运动,以预防牵引肌痉挛。根据不良事件的通用毒性标准(CTCAE)(第4.03版),每周对患者进行评估以识别任何不良事件,包括放射性口腔黏膜炎、口干和体重减轻。
结果
根据适配器的安装、咬合准确性和安装时间三个参数评估了工作流效能。器械安装在咬合面后,临床评估显示其适配度与数字模型中的预计准确性相当。接下来,确定了咬合时开口2 mm的数字记录的准确性。使用定制的前夹具进行数字咬合扫描成功地复制了咬合关系。因此,这些器械可以轻松地插入到计划位置,并具有所需的开放垂直维度。器械的插入过程中的工作时间不超过15分钟。患者佩戴器械舒适,并能在被告知如何操作后的几分钟内自行插入器械。每个病例的插入就诊期间总的工作时间不超过30分钟。
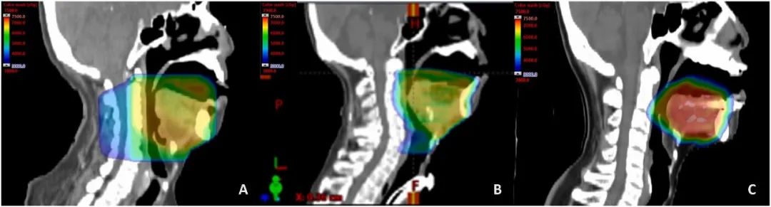
下图分别展示了病例1、2和3的辐射剂量分布情况。插入定位器械时,舌头被压低。20 mm的开口使硬腭、软腭和上颌骨突远离辐射区域。与3D-CRT相比,IMRT和IMPT向双侧腮腺和下颌骨后部输送了较低的辐射剂量。
在接受放射治疗期间和治疗过程中,患者在家中使用口腔器械进行肌肉锻炼。每周评估中观察到放射治疗的轻度不良反应。患者出现了0-1级的口干和体重减轻。第1位患者在第4周表现出3级的放射性口腔黏膜炎,而第2和第3位患者分别经历了1级和2级的放射性口腔黏膜炎。没有患者出现腭黏膜炎。
讨论
口腔黏膜损伤是头颈部癌症放疗患者常见的不良事件,包括放射性口腔黏膜炎(RIOM)、口干症、牙咬不开和皮炎。RIOM具有剂量限制性毒性,其在局部晚期疾病和术后高风险患者中与同步化疗联合应用时增强。在放疗过程中,RIOM和口干症的发生和严重程度、治疗依从性差、计划治疗中断、延长住院时间、依赖营养和镇痛支持以及局部和全身感染风险增加有关。这些后果导致疾病控制不佳和生活质量降低。
牙咬不开是一种迟发性辐射影响,受肿瘤位置和涉及咀嚼肌的辐射区域的影响。这种影响导致许多口腔和牙齿问题,例如口腔卫生不良、口腔检查和牙科操作困难以及口腔摄入不足。这些不良事件的多学科管理至关重要,包括肿瘤学家、牙医、康复治疗师和护士。有几种方法可以预防和治疗这些不良反应,例如改进的放疗技术用于保护正常结构、口腔内器械用于保护健康口腔组织和肌肉锻炼干预。
一项回顾性研究表明,口腔内器械显著降低了放射性口腔黏膜炎的发生率(81%降至33%)。三位患者仅报告了轻度的放射性毒性不良事件。接受3D-CRT技术的患者在第4周出现了3级的RIOM,比没有使用支架的患者晚了大约一周。此外,定制的口腔器械可以在放疗结束后用作肌肉锻炼和牙咬不开的预防装置,具有多种用途,并且与商业器械相比可能具有成本效益。
口腔器械的设计是根据肿瘤位置进行定制的。对于舌癌,我们设计了舌板以压低舌头,同时将硬腭、软腭和上颌骨突远离辐射区域,从而使正常组织受到最小的辐射剂量和毒性。此外,最小咬合接触设计使器械易于插入,并在放疗期间精确保持器械位置。与商业口腔定位支架相比,本报告中使用的器械提供了全面定制的设计,具有刚性材料的稳定咬合接触,可在整个放疗过程中舒适贴合在同一位置,并在放疗后进行肌肉锻炼。然而,商业器械的优点在于其灵活的使用。患者可以在不进行牙科就诊的情况下自行调整口腔开口距离。
尽管本报告仅描述了三例使用不同放疗技术治疗的病例,但人们普遍认为口腔支架有益于保护健康组织。使用数字工作流程减少了制作步骤和插入的时间。患者可以在前一晚制作器械,并在第二天进行CT模拟。口腔调整是一次性的过程,材料可以通过普通牙科程序轻松调整。因此,数字工作流程可以鼓励器械使用、方便牙医、放射科医生和牙科技术人员的合作。
结论
使用CAD和3D打印技术进行定制口腔器械的数字化工作流是可行和高效的。在放射治疗期间和之后使用口腔器械可以有效保护健康的邻近组织,并且可能减少放疗的不良事件。
* 参考文献见原文
相关论文信息
论文原文刊载于CellPress细胞出版社旗下期刊Heliyon上,点击“阅读原文”查看论文
▌论文标题:
Digital fabrication of customized intraoral appliances for head and neck radiotherapy
▌论文网址:
https://www.cell.com/heliyon/fulltext/S2405-8440(23)02581-1
▌DOI:
https://doi.org/10.1016/j.heliyon.2023.e15374
1974年,我们出版了首本旗舰期刊《细胞》。如今,CellPress已发展为拥有50多本期刊的全科学领域国际前沿学术出版社。我们坚信,科学的力量将永远造福人类。
CellPress细胞出版社
推荐阅读
阅读原文