拍胃肠机怎么收费【医学影像科普】腰疼想拍片检查,您拍对了吗?

新闻资讯2026-04-21 14:34:38

拍胃肠机怎么收费【医学影像科普】腰疼想拍片检查,您拍对了吗?_https://www.jmylbn.com_新闻资讯_第1张

拍胃肠机怎么收费【医学影像科普】腰疼想拍片检查,您拍对了吗?_https://www.jmylbn.com_新闻资讯_第2张

医学影像

科普



腰疼想拍片检查,该怎么选择?


“医生,我腰疼,疼的站不起来了,是怎么回事啊”

“医生,我腰疼,从屁股串到腿都是麻的,我该检查什么部位?” 

“医生,我腰疼,是拍片好,还是CT 好;CT和核磁哪个更清楚?”

这估计是腰疼患者来医院问门诊医生最多的问题,那么,腰疼患者的朋友们我们了解多少呢?

拍胃肠机怎么收费【医学影像科普】腰疼想拍片检查,您拍对了吗?_https://www.jmylbn.com_新闻资讯_第3张

我们要了解腰疼的原因,腰疼是一种常见的症状,不管男女老少,查关键原因比如肌肉拉伤、腰椎间盘突出、腰椎退行性变、腰椎外伤、骨折等。医生会根据情况进行影像检查,腰部检查最常见的就是X光、CT、和磁共振MRI检查。那么,腰出了问题,拍哪种片子合适呢?

拍胃肠机怎么收费【医学影像科普】腰疼想拍片检查,您拍对了吗?_https://www.jmylbn.com_新闻资讯_第4张






一、X线:往往是初步检查的首选。腰椎的X线检查一般拍摄腰椎正侧位,还有双斜位和过伸过屈位;

拍胃肠机怎么收费【医学影像科普】腰疼想拍片检查,您拍对了吗?_https://www.jmylbn.com_新闻资讯_第5张

拍胃肠机怎么收费【医学影像科普】腰疼想拍片检查,您拍对了吗?_https://www.jmylbn.com_新闻资讯_第6张
优点:主要用来观察腰椎的骨质情况,可观察到腰椎曲度、增生、椎体滑脱、峡部裂、肿瘤、腰椎骨折等。
缺点:X线检查不能显示软组织结构,如椎间盘、神经根、肌肉等。对腰椎间盘突出或者神经根受压的诊断价值不大。另外,X光是有一定辐射剂量的,不适合孕妇及反复拍摄。
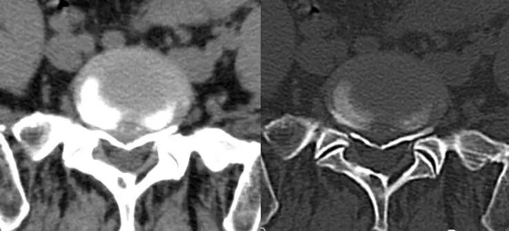
二、CT:也是利用x光扫描,可以围绕人体360度无死角的进行扫描。

拍胃肠机怎么收费【医学影像科普】腰疼想拍片检查,您拍对了吗?_https://www.jmylbn.com_新闻资讯_第7张

拍胃肠机怎么收费【医学影像科普】腰疼想拍片检查,您拍对了吗?_https://www.jmylbn.com_新闻资讯_第8张

拍胃肠机怎么收费【医学影像科普】腰疼想拍片检查,您拍对了吗?_https://www.jmylbn.com_新闻资讯_第9张

(椎间盘突出,后纵韧带骨化)
 优点:CT扫描能观察到横断面的细节,能了解腰椎的骨质情况、椎间盘突出和硬膜囊神经根的关系,椎间关节之间的情况等;可以做到薄层几百幅图像能更好的看清细小的病变,特别是微小的骨折;在扫描结束后可以通过影像后处理的方法,把腰椎图像重建成矢状位或冠状位,可从多个平面的不同角度去观察腰椎的影像情况。
缺点:辐射量相比DR成倍增加,而且还是不能很好的显示软组织结构、韧带及椎管内情况等。
三、核磁共振(MRI):这是一种利用强磁场和射频信号的高级检查方法。

拍胃肠机怎么收费【医学影像科普】腰疼想拍片检查,您拍对了吗?_https://www.jmylbn.com_新闻资讯_第10张

拍胃肠机怎么收费【医学影像科普】腰疼想拍片检查,您拍对了吗?_https://www.jmylbn.com_新闻资讯_第11张
拍胃肠机怎么收费【医学影像科普】腰疼想拍片检查,您拍对了吗?_https://www.jmylbn.com_新闻资讯_第12张
优点:磁共振检查在软组织成像上更胜于腰椎CT。可以很好地观察腰椎间盘的情况,更清晰地显示椎间盘的形态及其与硬膜囊、神经根等周围组织的关系。在脊髓病变、炎性病变、出血性病变及腰部肌肉病变等方面也具有优势。此外,磁共振检查不存在X线辐射,是较为安全可靠的检查。
缺点:价格较高,时间较长,有明确的限制人群,如有金属植入物、胰岛素泵或者心脏起搏器的患者。此外,因磁共振机器的孔径一般都不是很大,所以患有幽闭恐惧症的患者,也不建议首选腰椎MRI。
最后,简单总结下,如果您只是轻微的腰痛,没有神经根受压的迹象(如下肢放射痛、麻木等),可以先做X线检查;如果有外伤或是评估骨质结构或是否有钙化,建议做CT检查;如果有神经根受压、软组织损伤或者怀疑肿瘤等严重情况,建议做MRI检查。
腰椎的X线、CT和MRI三项检查,是不能够互相代替的。不管是腰椎X光片还是CT或者MRI,这三项检查都有它们各自的优缺点。就诊时医生需要通过查体,结合临床症状,才能为患者选出最合适的检查。


拍胃肠机怎么收费【医学影像科普】腰疼想拍片检查,您拍对了吗?_https://www.jmylbn.com_新闻资讯_第13张


济源市妇幼保健院放射科



拍胃肠机怎么收费【医学影像科普】腰疼想拍片检查,您拍对了吗?_https://www.jmylbn.com_新闻资讯_第14张
拍胃肠机怎么收费【医学影像科普】腰疼想拍片检查,您拍对了吗?_https://www.jmylbn.com_新闻资讯_第15张

放射科是医院重要的辅助检查科室,临床多种疾病都需要通过放射科设备检查达到明确的诊断。

全科现有成员9人,中级职称3人,技师6人。科室配备飞利浦core128层CT,该机扫描覆盖范围广、速度快、空间分辨率高,适用于全身各部位的检查及血管成像等。两台全自动DR,具有高灵敏度、高分辨率的特点,适用于新生儿和普通门诊病人的胸部、腹部、脊柱、四肢关节等各部位检查。可清楚显示细微病灶为临床提供准确的诊断信息。数字化胃肠机可做各种特殊造影检查(子宫输卵管造影、下肢静脉造影及消化道造影)。同时拥有意大利数字化钼靶机,图像清晰对各类乳腺疾病的早期诊断具有较高的诊断价值。

咨询电话:

汤帝路院区 0391-6688606

市中心院区 0391-6699033





END



供稿 | 放射科 刘会会
编辑 | 宣传科 郝雯茜

拍胃肠机怎么收费【医学影像科普】腰疼想拍片检查,您拍对了吗?_https://www.jmylbn.com_新闻资讯_第16张

拍胃肠机怎么收费【医学影像科普】腰疼想拍片检查,您拍对了吗?_https://www.jmylbn.com_新闻资讯_第17张