扎骨针怎么装髌骨下极粉碎骨折怎么办?7种固定技术详解与术式选择

新闻资讯2026-04-21 14:12:56

持续学习,每日进步!星标我们,每日推送不错过!操作方法:公众号主页 右上角三个点 设为星标


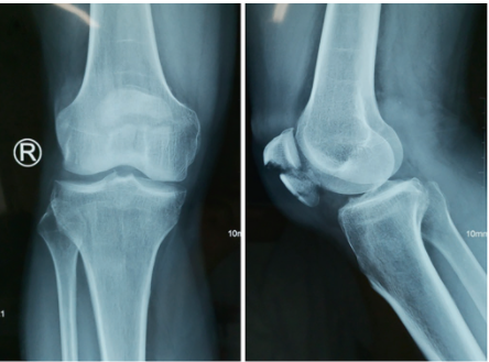
髌骨骨折是一种常见的关节内骨折,约占全身骨折的1%。髌骨下极骨折(Inferior pole fracture of the patella, IPFP)是一种发生在髌骨远端1/4,即髌腱附着点的特殊类型髌骨骨折,主要由松质骨构成,无关节面覆盖,不参与髌股关节的组成。IPFP是一种关节外骨折,占髌骨骨折的9.3 ~ 22.4%。造成这种骨折最常见的机制是直接撞击屈曲的膝盖,同时本能地导致股四头肌的强烈收缩。由于其机制,撕脱力和直接打击导致髌极碎片粉碎。

在过去的几十年里,髌骨部分切除术已作为治疗髌骨下极骨折的一种选择应用于临床。然而,髌骨部分切除术由于增加了骨关节炎和低位髌骨的风险,往往效果不佳。因此,在目前的临床实践中,应避免采用保骨手术。尽管国内外学者报道了多种手术技术,但目前尚无一种手术技术被认为是治疗髌骨下极骨折的金标准。最近的文献报道了几种手术方法,介绍如下。



手术技术1

在我们的研究中,用于固定的锚状钢板是通过折弯t形钢板制成的(图1)。麻醉满意后,将患者置于仰卧位,预防性使用抗生素,并在大腿近端放置止血带。经膝关节中线纵行切口打开皮瓣,暴露骨折,清除骨折断端血凝块。术中避免剥离髌前筋膜和骨膜,防止骨折块分离。确定骨折类型及移位程度。

然后在髌腱表面用刀连接髌骨下极做一个小开口,t形钢板通过这个小开口穿过髌腱,将钢板的t形端牢固地固定在下极骨折块表面(图1a -b)。此时髌腱向钢板被牵拉的方向移动。在此手术中,我们不仅治疗下极骨折,而且还抵消了髌腱对下极骨折块的牵拉作用。钢板t形端部的宽度必须大于远端骨折块的宽度,以防止骨折块从钢板边缘穿透。术中需进一步塑形钢板角度,使钢板贴近髌骨表面,钢板位置需保证t形端部贴近下极骨折块表面(图2 -d);另一端靠近髌骨上极表面(钢板切至合适长度)。然后将直径1.0mm的钛缆或钢丝穿过钢板的t端,借助腰椎穿形针通过髌骨周围的软组织交替进行环扎固定(图2e)。环扎固定后,钛缆或钢丝拧紧加压,钢板依次用螺钉固定于髌骨表面。

所有螺钉均为2.7个系统螺钉。一般我们建议垂直于髌骨上表面的螺钉为皮质螺钉,其余为锁头螺钉;所有螺钉均采用单皮质固定(图2f)。采用c型臂透视评估骨折复位情况;屈曲膝关节,观察骨折块固定的稳定性。确认骨折固定满意后,在创面保留引流管,逐层闭合创面。

扎骨针怎么装髌骨下极粉碎骨折怎么办?7种固定技术详解与术式选择_https://www.jmylbn.com_新闻资讯_第1张

图1. 通过对t型板进行塑形的锚样板。

扎骨针怎么装髌骨下极粉碎骨折怎么办?7种固定技术详解与术式选择_https://www.jmylbn.com_新闻资讯_第2张

图2. 定制锚钉式钢板治疗髌骨下极骨折术中情况。

a.用手术刀在下极的髌腱处切开一个小口。

b钢板穿过髌腱小切口。

c-d术中钢板进一步塑形。

e组合钢丝的附加环扎。

f抱箍加压后,依次用螺丝固定。

扎骨针怎么装髌骨下极粉碎骨折怎么办?7种固定技术详解与术式选择_https://www.jmylbn.com_新闻资讯_第3张

图3. 一名53岁男性因摔伤致左侧髌骨下极骨折。

a-b术前三维CT;术后第2天患肢膝关节.

c-d正、侧位x线片;术后1年复查患者膝关节前、侧位x线片;术后1年复查膝关节功能。

扎骨针怎么装髌骨下极粉碎骨折怎么办?7种固定技术详解与术式选择_https://www.jmylbn.com_新闻资讯_第4张

图4. 46岁女性髌骨远端骨折患者。

a-b术前膝关节三维CT和侧位x线片;术后第2天患肢膝关节

c-d正、侧位x线片。


手术技术2

该无张力外固定装置主要由克氏针、螺纹针、外固定环(包括和1/2环和1/ 3环)、螺纹杆、平螺栓、通针螺栓、螺纹针垫、连接铰链和垂直连接器组成(图1)。患者仰卧位全身麻醉、常规消毒、悬吊后,将无菌止血带置于患侧大腿根部并充气。髌骨前正中纵向切口显露IPFP末端(图1A)。在直视下处理骨折断端。若撕脱骨折块较大,则采用橄榄针或克氏针带阻断头进行骨折固定复位。使用可吸收缝线固定(图1B)。

经皮在髌骨腰段垂直方向交叉置入2枚1.5 mm克氏针,用穿针螺栓固定克氏针和1/2环(图1C)。将1根2.0 mm克氏针经胫骨水平插入胫骨结节下方,1根4.0 mm螺纹针在该平面垂直于胫骨前方,将克氏针、螺纹针及2/3环连接固定,并使用穿针螺栓和螺纹针垫固定。在距2/3环远端约12 cm的胫骨前方垂直插入1枚4.0 mm螺纹针,用螺纹针、穿针螺栓和螺纹针垫桥接固定2/3环(图1D)。然后使用关节铰链连接骨折两端的装置,并调整关节铰链,使膝关节活动良好,骨折端缝线无张力(图1E)。最后松开止血带,冲洗切口,停止出血,关闭手术切口。

扎骨针怎么装髌骨下极粉碎骨折怎么办?7种固定技术详解与术式选择_https://www.jmylbn.com_新闻资讯_第5张

图1. 无张力外固定手术流程。

A髌骨前正中切口显露骨折端。

B骨折端伸直位缝合。

C在髌骨腰段垂直方向交叉置入克氏针,用1/2环固定。

D在胫骨结节平面和两个远端平面上用克氏针和螺纹针桥接固定2个2/3环。

E采用关节铰链连接固定髌骨端和胫骨端装置,维持骨折端关节活动和无张力状态。

扎骨针怎么装髌骨下极粉碎骨折怎么办?7种固定技术详解与术式选择_https://www.jmylbn.com_新闻资讯_第6张

图2. 18岁男性患者因跌倒导致右侧IPFP。

A术前右膝关节正侧位x线片。

B撕脱骨折复位后,使用克氏针固定骨折块,使用1号可吸收缝线进行缝线固定。

C术后无张力外固定装置。

D术后右膝关节正侧位x线片。

E术后外架情况。

F外固定架拆除后膝关节功能良好。

G外固定架拆除后右膝关节正侧位x线片。


手术技术3

手术在腰麻下进行,患者仰卧位。在患侧臀部下方放置一个折叠垫,患侧髌骨抬高。在膝关节屈曲15 ~ 30度的情况下,在腘窝下放置卷垫。在大腿上常规放置止血带。采用髌骨近端至髌腱止点近端2 cm的中线纵行切口。无需显露髌腱止点。确定骨折并清除血块和撕脱的支持带。垫高同侧足跟,使膝关节充分伸展,从而使伸肌机构放松,促进骨折复位。不可吸收的缝线(#5 Ethibond®)环扎预先定位,不打结。

操作缝线臂有助于骨折复位,并防止髌骨下极进一步断裂,如果使用钳子进行,很可能发生碎裂的情况。在伸肌机构恢复连续性后,用骨剥进行微调复位。然后,临时固定通过收紧预先定位的缝合环扎代替点式复位钳,因为后者可能无法有效地抓住粉碎碎片(图1)。

扎骨针怎么装髌骨下极粉碎骨折怎么办?7种固定技术详解与术式选择_https://www.jmylbn.com_新闻资讯_第7张

图1. 手术技术示意图。

术中透视确认解剖复位后,通过硬膜外套管引导1.0 mm钛索(Synthes GmbH, Switzerland)环扎术环绕整个髌骨。将3.5 mm的钩钢板(Synthes GmbH,瑞士)修整并预塑形,以适应髌骨的长度和轮廓(图2)。然后用钩的尖端穿透钢缆环扎的远端及其下方的髌腱,以防止髌腱纤维撕裂。然后,使用滑动加压技术将3.5 mm的皮质螺钉偏心地固定于钢板的最近端孔。

根据需要,将4.0 mm空心半螺纹螺钉由远端向近端置入,并结合垫圈通过钢板两个钩之间的远端孔置入。这是由于钩钢板远端孔的直径接近于从远端向近端置入的空心螺钉的外径。因此,没有垫圈螺钉将通过远端孔

此外,垫圈可以防止螺钉头成为应力提升器,穿透粉碎的髌骨下极,并让压缩力通过垫圈和钢板的两个挂钩传递。值得注意的是,这一步骤是由x线透视引导的,这对于确认可用的轨迹是必要的。修复支持带撕裂。通过目测和透视检查进行全范围被动运动。伤口用可吸收缝线(#2 Vicryl®)分层缝合。患者离开手术室前常规获得患膝的标准正侧位片。(图3和4)。

扎骨针怎么装髌骨下极粉碎骨折怎么办?7种固定技术详解与术式选择_https://www.jmylbn.com_新闻资讯_第8张

图2. 最短的3.5 mm钩钢板(Synthes GmbH,瑞士)经过裁剪和预成形,以适应髌骨的长度和形状(A-F)。

扎骨针怎么装髌骨下极粉碎骨折怎么办?7种固定技术详解与术式选择_https://www.jmylbn.com_新闻资讯_第9张

图3. 病例(例4,55岁,男性,右侧)。术前正位(A)和侧位(B) x线片显示髌骨下极移位骨折。术后正位(C)和侧位(D) x线片。2年随访时的x线片(E-F)和功能(G-I)。

扎骨针怎么装髌骨下极粉碎骨折怎么办?7种固定技术详解与术式选择_https://www.jmylbn.com_新闻资讯_第10张

图4. 病例示例(45岁,女性,右侧)。术前正位(A)和侧位(B) x线片显示髌骨下极移位骨折。术后正位(C)和侧位(D) x线片。术后19个月复查x线片(E、F)和功能(G-I)。


手术技术4

麻醉及体位(步骤1):所有患者均行全身麻醉,并采用仰卧位。在大腿上使用气压止血带以减少出血。在止血带充气前30 min内,预防性静脉抗生素治疗(头孢呋辛1.5 g)。

入路显露(步骤2):从髌骨上缘正中切口延伸至胫骨结节。内侧和外侧暴露时,将皮肤和皮下组织组成的皮瓣提起,暴露髌腱和骨折。对骨折部位和关节腔内的血肿进行盐水冲洗,以保护髌腱处的骨折碎片。

固定或重建(第三步):图1为改良张力带固定技术的手术步骤。使用Krachow缝线将第一个不可吸收的编织缝线(丝绸或聚酯)沿髌韧带两侧放置到髌骨下极的骨性表面,并在骨-肌腱结合处从髌腱后方穿过;第二条不可吸收编织缝线(丝线或聚酯线)从髌腱的骨-肌腱愈合处直接向后穿过(图2A、B)。

翻转髌骨近端,用2.5 mm克氏针从关节软骨前表面向髌骨前上缘钻孔,形成第一骨隧道。这样,第2骨道与第1骨道平行,两者之间的宽度不小于髌骨下极的宽度(图2C)。通过腰椎穿针管后,通过两根缝线(A、B线)穿过髌骨近端隧道(图2D);复位髌骨下极,先固定第二缝线(B线)并使用Nice结打紧。然后,第一根缝线(线A)穿过髌骨近端,用外科结和三个方结打在一起(图2E)。术中在c型臂透视下控制骨折复位,在膝关节屈曲45 ~ 60°时,从髌骨下极至髌骨上极,距髌骨关节面5 mm处钻取2个平行的骨针孔(2.0 mm)(图2F)。

然后将1.2 mm的钢丝穿过骨针孔,形成8字形张力带布线结构,将应力施加到骨折处(图2G)。值得注意的是,骨针不是从髌骨下极插入,而是从髌骨下极下方插入近端骨折块(图3B)。在直视下进行被动膝关节屈曲,判断骨折是否稳定,内固定是否安全。然后用可吸收缝线缝合关节囊、皮下组织和皮肤。

扎骨针怎么装髌骨下极粉碎骨折怎么办?7种固定技术详解与术式选择_https://www.jmylbn.com_新闻资讯_第11张

图1. 简单骨折中B线的相交方式如图A所示,粉碎性骨折中B线的相交方式如图B所示。线a通过Krachow缝线从髌韧带两侧穿过,与髌骨-肌腱连接处相连,而线B也从髌骨下极(a)后方的区域穿过。线B用于与线a在骨-肌腱连接面上使用连续缝合(B)形成一个网格。在髌骨近端部分创建两个骨隧道。线A和线B通过骨隧道引入髌骨近端表面(C)。当髌骨下极复位时,线B使用Nice结收紧以固定骨折块(D)。一名外科结和3个方形结用于收紧线A (E)。

扎骨针怎么装髌骨下极粉碎骨折怎么办?7种固定技术详解与术式选择_https://www.jmylbn.com_新闻资讯_第12张

图2. 线A和B从髌股骨-肌腱连接处穿过髌骨下极(A, B),在髌骨近端用2.0 mm克氏针建立两个骨隧道(C),线A和B穿过骨隧道(D),在复位骨折块(E)后,使用Nice结来收紧线B。在髌腱的张力(E)下,使用外科结和3个方形结来收紧线a。在膝关节屈曲(F)下插入骨针,在屈曲状态下骨折块不发生移位(黑色箭头)。

扎骨针怎么装髌骨下极粉碎骨折怎么办?7种固定技术详解与术式选择_https://www.jmylbn.com_新闻资讯_第13张

图3. 一名53岁男性患者被诊断为髌骨下极骨折(A)。术后膝关节侧位x线片。骨针没有通过髌骨下极插入,而是在髌骨下极下方插入近端骨折块(B);术后9周CT显示骨折线完全消失,骨折愈合。

扎骨针怎么装髌骨下极粉碎骨折怎么办?7种固定技术详解与术式选择_https://www.jmylbn.com_新闻资讯_第14张

图4. 术后膝关节侧位x线片显示髌骨下极骨折块前移(红色箭头)(A)。术后1个月的侧位x线片显示骨折线模糊,向前移位的骨折块解剖复位(B)。


手术技术5

“T形”和“Y形”HPS接骨板(OsteoMed, Addison, TX, USA)的远端带有三个锁定孔,将起到加压和固定的作用(图2)。T型内固定是大多数下极骨折的最佳固定方式。Y型适合于骨折块靠近关节面者。

麻醉和体位:在脊椎麻醉或全身麻醉下,患者被置于仰卧位。患肢被消毒、铺巾,在手术过程中可以自由活动。充气止血带充气后,膝关节处于伸直位。

入路和暴露:在膝关节前方做一个长约8cm的纵行正中切口。随后,游离皮下内外侧皮瓣,使髌骨下半部分和髌腱上半部分完全暴露。采用复位钳解剖复位髌骨碎片,克氏针临时固定。如果骨折类型适合骨折块间固定,则首先使用拉力螺钉(2.0/2.4 mm, Osteomed)稳定粉碎性骨折。

内固定:HPS接骨板精确折弯以匹配髌骨形态和轮廓。髌腱部分断裂后,将钢板置于髌骨上方,钢板远端位于髌腱下方,沿下极冠状面放置(图3A)。对于髌骨下极粉碎性骨折,不切除髌腱,钢板可直接固定下极。

在合适的皮质螺钉植入后,将HPS钢板远端孔的锁定螺钉固定于髌骨近端骨块的软骨下骨,以固定髌骨近端骨块,并对髌骨近端骨块加压。如果HPS钢板螺钉提供的拉力不足,则在骨折线垂直位置插入3.0/4.0 mm的Osteomed空心螺钉进行静态加压,以促进骨愈合。如果HPS接骨板无法将粉碎的远端骨块构建成一个整体,则使用额外的拉力螺钉(2.0/2.4 mm)固定小的骨块。

螺钉的数量不仅取决于AO分型或骨折块的数量,还取决于骨折线的位置和钢板覆盖的面积。所有下极骨折块应采用HPS或单独螺钉的远端固定于原位置,防止远端移位。内固定完成后(图3B),通过支持带裂孔触诊关节面,确认解剖复位,有无螺钉穿入关节。重建:修复支持带,紧密缝合髌腱切口。最后,手术切口在负压吸引下分层闭合。

扎骨针怎么装髌骨下极粉碎骨折怎么办?7种固定技术详解与术式选择_https://www.jmylbn.com_新闻资讯_第15张
扎骨针怎么装髌骨下极粉碎骨折怎么办?7种固定技术详解与术式选择_https://www.jmylbn.com_新闻资讯_第16张

图1. 患者术前影像学检查示髌骨下极多发骨折,AO分型为C1.3;

(A) x线片正、侧位片;(C)髌骨三维重建;(D)矢状面断层图像显示远端碎片的细节。

扎骨针怎么装髌骨下极粉碎骨折怎么办?7种固定技术详解与术式选择_https://www.jmylbn.com_新闻资讯_第17张

图2. HPS钢板(左侧为“Y”形,右侧为“T”形)固定髌骨下段骨折。

扎骨针怎么装髌骨下极粉碎骨折怎么办?7种固定技术详解与术式选择_https://www.jmylbn.com_新闻资讯_第18张

图3. HPS“T”形接骨板复位髌骨骨折术中照片;(A)复位后置入预塑形钢板,克氏针临时固定;(B)钢板、螺钉固定完成情况。

扎骨针怎么装髌骨下极粉碎骨折怎么办?7种固定技术详解与术式选择_https://www.jmylbn.com_新闻资讯_第19张

图4. HPS术后2天x线片。(A)患者AO分型为C1.3,空心螺钉加拉力螺钉固定的正、侧位像;(C)患者5的正位和(D)侧位图像,AO分型为C1.3,没有补充螺钉固定;(E)患者25的正位和(F)侧位图像,AO分型为A1,没有补充螺钉固定。

扎骨针怎么装髌骨下极粉碎骨折怎么办?7种固定技术详解与术式选择_https://www.jmylbn.com_新闻资讯_第20张

图5. 术后12个月随访情况。

(A)患者的正、侧位x线片显示骨愈合良好,植入物位置良好。

(E)正位和(F)侧位x线片显示患者5的骨愈合和植入物位置良好。

(G)正位和(H)侧位x线片显示患者25的骨愈合良好,内固定位置良好。


手术技术6

由于无法进行张力带钢丝固定,所有髌骨远端骨折均采用髌腱再固定治疗。在不牺牲远端骨块的情况下,术中获得骨折生长面的接触。采用正中纵行入路显露髌骨,通过皮下游离仔细保留支持带。在清除血肿后,暴露骨折部位。髌骨远端骨块尽量保留,除非它太粉碎,有成为关节内游离体的风险,或者已经成为游离的骨块,失活的碎片。不进行关节囊切开术,因为关节面没有受累,所以不需要确认关节复位。髌骨血流灌注基本不受影响。采用Krackow技术,将2根用于修复的5号Ethibond缝线穿过髌骨下极的内外侧半部分和髌腱(图1)。

采用克氏针(2.0 mm或2.5 mm)从骨折面穿过髌骨上部纵向钻取3个隧道。将Ethibond缝线的四端穿过钻孔隧道,在膝关节完全伸展的情况下,牢固地系在髌骨上极完整的边缘上(图2)。

之后,采用No. 1可吸收Vicryl缝合线修复撕裂的内侧和外侧支持带。对于使用钢丝加强器的患者,钢丝通过胫骨结节和髌骨上段形成袢。然后,钢丝被扭转和收紧,同时膝关节保持在90°屈曲,以抵抗使骨折分离的力量(图3)。

扎骨针怎么装髌骨下极粉碎骨折怎么办?7种固定技术详解与术式选择_https://www.jmylbn.com_新闻资讯_第21张

图1. 在不牺牲远端骨块的情况下,通过髌骨下极和髌腱编织两根5号Ethibond缝线。缝线的四端穿过钻孔隧道,并牢固地系在完整的髌骨上极边缘。

扎骨针怎么装髌骨下极粉碎骨折怎么办?7种固定技术详解与术式选择_https://www.jmylbn.com_新闻资讯_第22张

图2. 1例髌骨远端极骨折因无法进行张力带钢丝固定而行髌腱再固定。

扎骨针怎么装髌骨下极粉碎骨折怎么办?7种固定技术详解与术式选择_https://www.jmylbn.com_新闻资讯_第23张

图3.髌骨远端极骨折采用髌腱再固定术,钢丝横向穿过胫骨结节和髌骨上段形成袢进行减张。


手术技术7

腰硬联合麻醉成功后,患者取仰卧位,术中使用止血带,压力300 ~ 337.5 mmHg。所有病例均采用前正中髌骨入路,暴露股四头肌肌腱至髌腱。特别注意避免在暴露骨折位置时对周围筋膜的过度损伤。对照组:将聚合器下端插入髌骨下极附近。

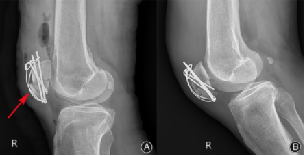
然后,用锋利的爪将股四头肌肌腱靠近髌骨上缘,插入髌骨聚合器上部区域。随后,使用镊子复位骨折,并在髌骨聚合器的上、下两个区域分别置入两枚螺钉。通过c型臂x线机检查骨折复位质量和髌骨聚合器位置。术后膝关节至少屈曲90°,以确定骨折的固定稳定性。实验组:首先在髌骨近端钻孔,置入直径2.0 mm的克氏针。接下来,将带缝合针的钢丝穿过骨孔(图1b),并使用缝线穿透髌骨周围(图1c-e)。值得注意的是,髌骨远端也在髌腱下穿透(图1d)。

最后,在膝关节伸直位缓慢收紧钢丝,特别注意骨折断端的相应位置(图1f)。随后的髌骨聚合器过程遵循与对照组相同的程序。

扎骨针怎么装髌骨下极粉碎骨折怎么办?7种固定技术详解与术式选择_https://www.jmylbn.com_新闻资讯_第24张

图1. 演示用金属丝穿过尸体上生成的骨孔缝合和环扎的过程

a钢丝与缝合针。

b骨孔用直径为2.0 mm的克氏针钻孔并插入金属丝。

c第一针穿过髌旁韧带下靠近骨面。

d第二针在髌腱下穿刺。

e将第三根针与第一根针放置在同一位置。

f拧紧金属丝,密切注意骨折复位。

扎骨针怎么装髌骨下极粉碎骨折怎么办?7种固定技术详解与术式选择_https://www.jmylbn.com_新闻资讯_第25张

图2. 术中复位。

a-b术前CT检查。

c复位前拍摄的术中图像。

d复位后的术中图像。

e-f复位后的术中c型臂透视。

扎骨针怎么装髌骨下极粉碎骨折怎么办?7种固定技术详解与术式选择_https://www.jmylbn.com_新闻资讯_第26张

图3. 对照组和实验组患者复位前后的比较。

a - f : 38岁,男性,入院前3小时因摔伤导致骨折入院。a-b术前CT检查矢状面。c-d术前冠状面CT检查。e-f术后x线片。

g-l:一名65岁女性,入院前5小时因跌倒导致骨折。g-h术前矢状面CT检查。i-j术前冠状面CT检查。k-l术后x线片。

扎骨针怎么装髌骨下极粉碎骨折怎么办?7种固定技术详解与术式选择_https://www.jmylbn.com_新闻资讯_第27张

图4. 对照组和实验组患者术后骨折愈合情况比较a-d。患者男,42岁,入院前4 h因跌倒致骨折入院。

a.术前x线侧位片

b.术后x线侧位片

c.术后12周随访x线侧位片。患者女,38岁,入院前3 h因跌倒致骨折入院

d.术前矢状面CT检查

e.术后x线侧位片

f.术后12周随访x线侧位片

髌骨下极骨折可以通过生成的骨孔进行简单的钢丝环扎术轻松复位。然而,需要特别注意避免剥离骨折周围多余的软组织,以防止粉碎性骨块移位和增加复位难度。与单独使用髌骨聚合器相比,钢丝环扎联合髌骨聚合器复位髌骨下极骨折更满意,固定可靠,早期功能锻炼,骨折愈合快。

目前髌骨下极骨折的手术术式多种多样,从较早的去除骨折碎块,到目前的多种方式复位骨折碎块,并进行有效的骨折碎块的固定,最大限度的减少伸膝装置的损害,目前仍没有一种术式并誉为“金标准”,对多种术式也没有多中心横向比较的文献。在临床操作过程中,根据患者骨折的类型,具体情况具体分析,仔细甄别,选择合适术式,应用合适内固定材料,最终达到骨折愈合、功能恢复、患者满意的手术疗效



  END


扫码添加


骨科小助手


加入学术交流群

扎骨针怎么装髌骨下极粉碎骨折怎么办?7种固定技术详解与术式选择_https://www.jmylbn.com_新闻资讯_第28张


扎骨针怎么装髌骨下极粉碎骨折怎么办?7种固定技术详解与术式选择_https://www.jmylbn.com_新闻资讯_第29张
骨今中外&征稿邀请

投稿内容

征稿主题丰富多样,包括但不限于最新研究进展、科研团队成果展示、临床用药心得体会、典型病例深度解读、疾病诊治实践经验等内容。

投稿方式

投稿微信:闫女士 gujinkefu2016

投稿邮箱:gujinzw@163.com

学术推广及商务合作:

骨科小助手 13240217330


声明:本文信息不能以任何方式取代专业的医疗指导,也不应被视为诊疗建议,仅供医学专业人士阅读参考,不代表骨今中外平台观点,希望大家理性判断,有针对性地应用。如有侵权请联系删除。