

X光/CT/核磁/B超是影像医生的四大诊断法宝,但这些检查分别针对什么问题?哪个有辐射哪个没有?让人傻傻分不清楚。我们特邀专业医生为大家解答。在进入今天的科普之前,先来猜猜上面三张影像↑哪张是超声?哪张是CT?哪张是核磁?

正确答案

▲ 这是核磁共振对比影像
成像原理:探测人体水分子的变化。核磁共振机用较强大的磁场,使人体中所有水分子磁场的磁力线方向一致,这时磁共振机的磁场突然消失,身体中水分子的磁力线方向,突然恢复到原来随意排列的状态。反复多次施加磁场又突然消失,就会得到充分的数据并运算后成像。

▲ 这是CT断层扫描影像
成像原理:记录分层穿过人体的X光,通过电脑计算后二次成像,优点是可以分层看,显示出更多的组织信息,但也有一定的局限性。

▲ 这是超声扫描影像
成像原理:用超声波穿透人体,当声波遇到不同的组织会产生反射波,超声探头一面发出超声,一面接受反射波,通过计算反射波成像。

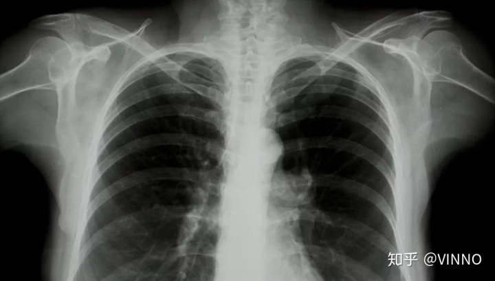
▲ 这是X光影像
成像原理:X光射线透过人体,被遮挡的部位会显示白色。X光是疾病初筛的首选检查方式,费用低廉,但影像相互重叠,组织显像不清晰,无法辨认细微结构。
好的,大家看到这四张同样是骨科影像,但不同检查手段具体针对的问题是不一样的,所以问题来了:
Q1: 这些检查分别针对哪些问题?
这里啰嗦两句:国内医院非常少见专门的肌骨超声,大部分骨科医生会直接开核磁的单子,病人有时需要预约等一个月才能检查和复诊。在国外,肌骨超声是很多资深骨科医生的基本技能,即快速又安全。所以如果你遇到一个为你看B超的骨科医生,一定要珍惜TA!骨关节外伤
X光片看大体、CT看细节
软组织损伤
首选核磁、肌骨超声辅助
颈腰椎椎间盘
首选核磁、次选CT
胸部疾病
X光看大体、CT看细节
腹部盆腔
B超筛查、特定脏器看CT
心脏疾病
CTA+冠脉造影看冠心病、超声看心功能
头颅疾病
急诊看CT、具体病变看核磁
血管疾病
筛查看超声、明确诊断看DSA
这里啰嗦两句:国内医院非常少见专门的肌骨超声,大部分骨科医生会直接开核磁的单子,病人有时需要预约等一个月才能检查和复诊。在国外,肌骨超声是很多资深骨科医生的基本技能,即快速又安全。所以如果你遇到一个为你看B超的骨科医生,一定要珍惜TA!
Q2: 哪些有辐射?哪些没有?
1)超声、B超
无辐射,非常安全
超声是高频率声波,无辐射,对人体无害,对孕妇和小孩都非常安全。
2)X射线、X光、DR
有辐射,单次剂量小
有辐射,但单次照射辐射剂量小,限制在安全剂量之内,致癌机率微乎其微,不需要因此而担心而拒绝检查。
3)CT、计算机断层扫描
有辐射,剂量相对较大
有辐射,辐射剂量相对较大,但必要时不能讳疾忌医以免耽误病情,需听从专业医生建议。
4)核磁共振、MRI
无辐射,对成人安全
无辐射,对成人安全。但是妊娠三个月的孕妇需要经过医生专业指导权衡轻重后再决定是否采用核磁,且不建议使用增强型核磁。
所以,辐射程度由低到高排列:
超声/B超 < 核磁共振/MRI < X射线/X光/DR < CT/计算机断层扫描
特别注意:虽然核磁没有任何辐射,但是体内有心脏起搏器等一些精密植入物的病人不能做。骨科手术植入的钢板、钢钉、人工关节对核磁共振没有影响,可以做。90%以上的冠脉支架也可以做核磁共振,但请咨询你的主治医师。
Q3: 拜托医生看片子要做怎样的准备?
很多人会拜托医生朋友帮忙看片子,如果你有影像的电子版本那最好,如果没有,那就请老老实实用下面的土办法。不要总拿着模模糊糊的手机翻拍照来问,医生通常视力都不好...
方法一:手机+电脑
方法二:手机+窗户