对于“All in two+亲水种植体植入术",患者只需两次就诊,第一次就诊即可完成种植体植入术(同期拔牙)、数字化印模并戴入个性化愈合基台,第二次戴入最终修复体。本技术可大大减少患者就诊次数,降低患者痛苦,将治疗周期缩短为6-12周。
一图带你快速了解“All in two"的优势

“All in two +亲水种植体植入术"病例分享
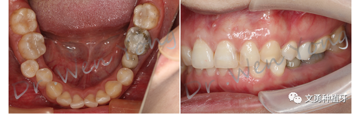
Part1 拔牙+即刻种植+数字化印模+个性化愈合基台
1、术前口内照片:75乳牙滞留

2、术前CBCT示:75根尖周低密度影,颊侧骨板完整

3、手术过程:
①微创拔除75,搔刮牙槽窝

②植入士卓曼亲水BLT种植体4.1mm*12mm1枚

③初期稳定性35N·cm

④种植体位于龈下3-4mm

⑤放置临时基台

⑥3M流体树脂制作个性化愈合基台,用于维持穿龈轮廓形态

4、术后即刻3Shape口扫

5、戴个性化愈合基台,颈袖口完整;术后影像学照片示:个性化愈合基台就位
Part2 术后38天永久修复
1、3D打印模型

2、戴牙
①取出个性化愈合基台后,植体袖口健康

②修复体就位

③附着龈充足

3、CBCT回顾整个治疗过程

近年来,通过种植体表面改性的方法提高种植体表面的亲水性以加速骨结合,已成为研究的热点。亲水种植体可抑制免疫炎症反应、促进血管生成、促进骨生成、减少骨吸收。亲水种植体于植入后第4 ~ 6周即可达到理想的骨结合;同时亲水性表面也增加了骨结合早期的新骨沉积量,大大提高了种植体总稳定性,减少了种植体骨结合时间长或结合不良导致的种植体发生失败的可能性。
利用“All in two+亲水种植体植入术"治疗周期大大缩短,对患者而言,满足了短期内拥有牙齿的需求,有效的缩短了缺牙空窗期,提高患者的满意度。
专家介绍:文勇,医学博士、副教授、硕士生导师。齐鲁卫生与健康杰出青年人才、山东大学未来计划学者、山东大学青年岗位能手、哈佛大学牙学院访问学者、医疗卫生援黔专家团核心专家。擅长人工牙种植及齿槽外科手术,精于数字化导航微创种植、重度骨缺损、牙周病、全口和部分牙缺失种植。