悬吊DR怎么安装放射科再添“利器”|我院引进一台悬吊式无线双板电动DR拍片设备

新闻资讯2026-04-21 13:19:12

悬吊DR怎么安装放射科再添“利器”|我院引进一台悬吊式无线双板电动DR拍片设备_https://www.jmylbn.com_新闻资讯_第1张

悬吊DR怎么安装放射科再添“利器”|我院引进一台悬吊式无线双板电动DR拍片设备_https://www.jmylbn.com_新闻资讯_第2张


为提高我院医疗服务水平,满足人民群众不断增长的医疗需求,促进医疗技术快速发展,我院新引进一台悬吊式无线双板电动DR拍片设备(DRX-Compass),目前已在新院区投入使用。

悬吊式无线双板电动DR(DRX-Compass)


放射科新设备


悬吊DR怎么安装放射科再添“利器”|我院引进一台悬吊式无线双板电动DR拍片设备_https://www.jmylbn.com_新闻资讯_第3张

悬吊DR怎么安装放射科再添“利器”|我院引进一台悬吊式无线双板电动DR拍片设备_https://www.jmylbn.com_新闻资讯_第4张


DRX-Compass具有一体化触摸屏设计.众多的临床高级应用,AI辅助成像功能,更便捷的操作和人性化平台,更好的优化工作流程,降低辐射剂量的同时提高图像质量。

悬吊DR怎么安装放射科再添“利器”|我院引进一台悬吊式无线双板电动DR拍片设备_https://www.jmylbn.com_新闻资讯_第5张

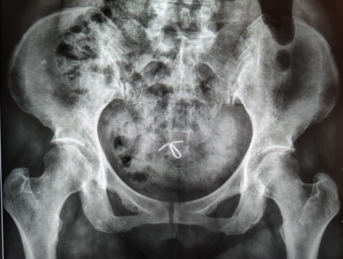
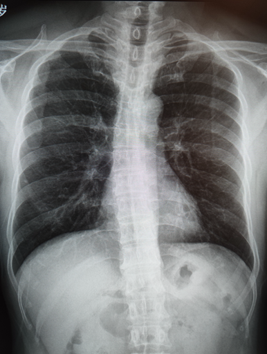
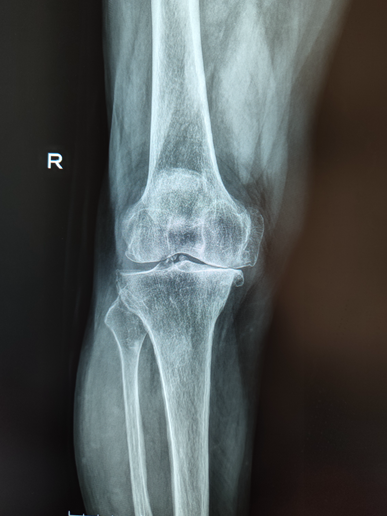
检查样片

悬吊DR怎么安装放射科再添“利器”|我院引进一台悬吊式无线双板电动DR拍片设备_https://www.jmylbn.com_新闻资讯_第5张
悬吊DR怎么安装放射科再添“利器”|我院引进一台悬吊式无线双板电动DR拍片设备_https://www.jmylbn.com_新闻资讯_第7张
悬吊DR怎么安装放射科再添“利器”|我院引进一台悬吊式无线双板电动DR拍片设备_https://www.jmylbn.com_新闻资讯_第8张
悬吊DR怎么安装放射科再添“利器”|我院引进一台悬吊式无线双板电动DR拍片设备_https://www.jmylbn.com_新闻资讯_第9张
悬吊DR怎么安装放射科再添“利器”|我院引进一台悬吊式无线双板电动DR拍片设备_https://www.jmylbn.com_新闻资讯_第10张


DRX-Compass

可以检查哪些疾病?

此设备集拍片、造影于一体,可检查多类疾病:

1.可检查患者的呼吸系统疾病,比如是否有肺炎、肺肿瘤、肺结核、肺脓肿、胸腔积液以及气胸等。

2.可检查纵隔以及心脏系统的疾病、骨关节系统的疾病。

3.可做泌尿系统造影,子宫输卵管造影、胃肠道造影,比如做钡餐的检查,观察胃肠道是否有炎症、肿瘤以及溃疡等。

4.有职业病体检筛查尘肺病功能,及发现区别肺部小结节功能。

新设备的优点

1.图像更清晰:比原来的DR图像更清晰,密度分辨率及空间分辨率优于原来的DR。

2.辐射量减少:病人受到的辐射剂量比原来的DR少,可减少受照剂量50%,尤其是对儿童及多部位摄影患者。

3.后处理能力强、图像质量高:强大的后处理功能,增大图像信息的质量控制模块和后处理技术,保证了图像质量的稳定性,操作的简易型和图像质量的稳定性。

4.方便病人:该设备可360°旋转球管配合病人体位投照,主要方便外伤、骨科、理疗科的病人,无需过床,就可直接在车上拍片,减少搬动病人,减少二次伤害,减轻病人痛苦。

2

0

2

3

悬吊DR怎么安装放射科再添“利器”|我院引进一台悬吊式无线双板电动DR拍片设备_https://www.jmylbn.com_新闻资讯_第11张

公众号:龙州县中医医院

悬吊DR怎么安装放射科再添“利器”|我院引进一台悬吊式无线双板电动DR拍片设备_https://www.jmylbn.com_新闻资讯_第12张         

长按二维码关注我们吧








不要错过


关注龙州县中医医院订阅号,获取更多医院资讯。

24小时急诊电话:0771-8816120


旧院区(城北路60号)
新院区(龙水大道81号)
内二科:
0771-8814721
体检中心:
0771-8876966
骨伤科:
0771-8868611
康复壮医科:
0771-8871903
普外科:
0771-8868616
儿童康复中心:
0771-8871502
妇产科:
0771-8822211
脾胃病科:
0771-8823729
口腔科:
0771-8836204
血液透析室:
0771-8835149
发热门诊:
0771-8868871

客服部:
0771-8868001