悬吊DR怎么安装悬吊动态三维DR 开启精准影像诊疗

新闻资讯2026-04-21 13:19:06

悬吊DR怎么安装悬吊动态三维DR  开启精准影像诊疗_https://www.jmylbn.com_新闻资讯_第1张



悬吊DR怎么安装悬吊动态三维DR  开启精准影像诊疗_https://www.jmylbn.com_新闻资讯_第2张

近日,我院医学影像学中心正式启用悬吊动态三维DR系统,该设备通过动态功能成像与灵活操作设计,实现了影像诊断从“静态形态学”向“动态功能学”的跨越,为多学科精准诊疗提供技术支撑。


优化检查流程,提升就医体验

该系统采用悬吊式机架结构,球管与探测器可进行360度多角度自由转动,实现“患者不动设备动”的人性化操作。针对脊柱损伤、骨折等行动不便患者,无需频繁调整体位即可完成全身检查,有效降低二次伤害风险;在急诊场景下可快速完成大范围成像,缩短救治响应时间。医学影像中心陈敬锋表示,设备投入使用后,比同类可缩短检查时长40%,患者满意度显著提升。

突破技术壁垒,强化诊断效能

悬吊DR怎么安装悬吊动态三维DR  开启精准影像诊疗_https://www.jmylbn.com_新闻资讯_第3张
悬吊DR怎么安装悬吊动态三维DR  开启精准影像诊疗_https://www.jmylbn.com_新闻资讯_第4张
悬吊DR怎么安装悬吊动态三维DR  开启精准影像诊疗_https://www.jmylbn.com_新闻资讯_第5张
悬吊DR怎么安装悬吊动态三维DR  开启精准影像诊疗_https://www.jmylbn.com_新闻资讯_第6张

该系统核心优势在于整合动态透视与三维成像技术。在脊柱全长摄影、双下肢负重位检查中,可一次性获取颈椎至骶尾椎的高清全景影像,避免传统分段拍摄的拼接误差,为脊柱侧弯、关节畸形等疾病的力线测量和手术规划提供精准数据。其动态功能成像模块能实时捕捉关节运动状态下的解剖结构变化,清晰显示膝关节屈伸、肩关节活动时的软组织动态,显著提高韧带损伤、关节不稳等隐匿性病变的检出率。

促进学科协同,推动精准医疗

医院将以该设备为依托,构建“影像检查-功能评估-治疗方案”一体化诊疗路径。如针对脊柱侧弯患者,可同步完成影像采集与三维力线分析,关节术后患者可通过动态成像评估康复进展,实现个性化治疗方案优化,进一步深化影像科与骨科、康复科、运动医学科的多学科协作。

悬吊动态三维DR系统是我院提升医疗服务能力的重要举措,通过精准影像支持为临床诊疗提供更全面的技术保障,惠及广大患者。

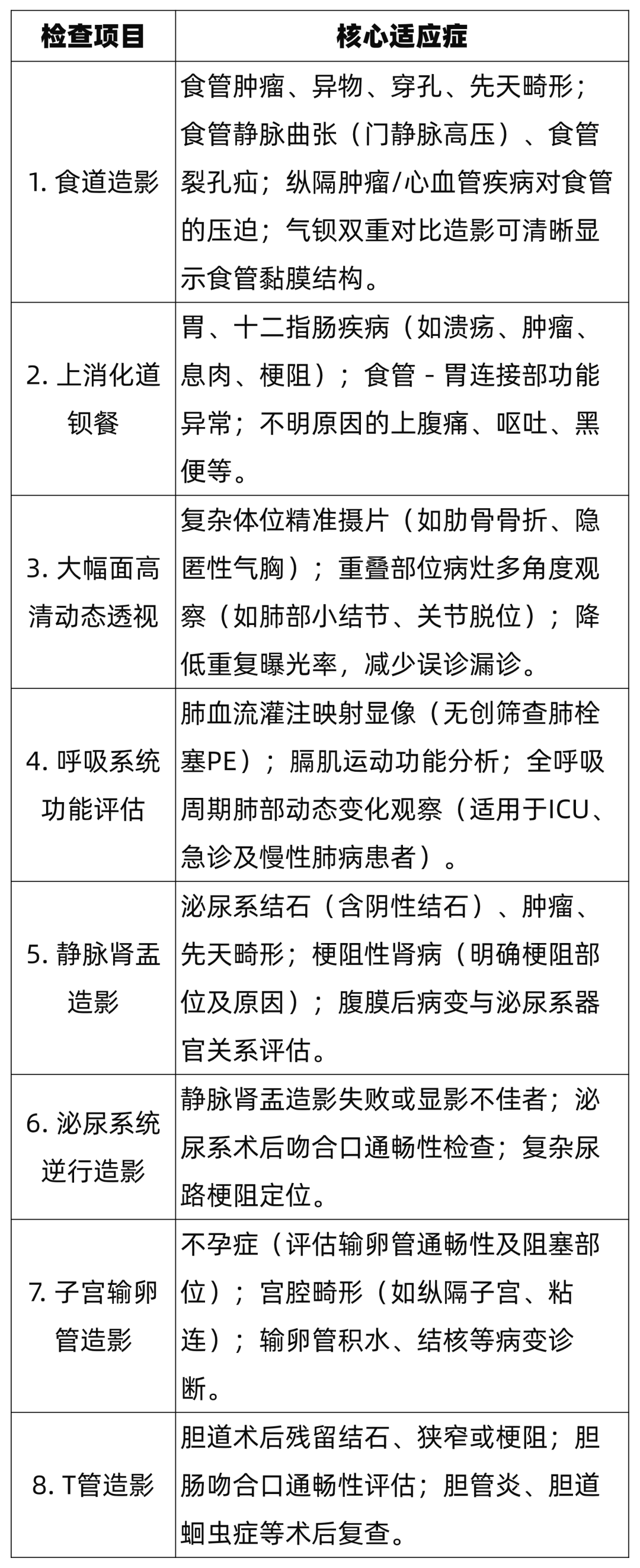
适应症



悬吊DR怎么安装悬吊动态三维DR  开启精准影像诊疗_https://www.jmylbn.com_新闻资讯_第7张


悬吊DR怎么安装悬吊动态三维DR  开启精准影像诊疗_https://www.jmylbn.com_新闻资讯_第8张



来源/医学影像中心

编辑/胡芷雅 杨宇峰 

初审/丁   蓓

终审/李晓斌


悬吊DR怎么安装悬吊动态三维DR  开启精准影像诊疗_https://www.jmylbn.com_新闻资讯_第9张



广东省第一荣军优抚医院

悬吊DR怎么安装悬吊动态三维DR  开启精准影像诊疗_https://www.jmylbn.com_新闻资讯_第10张

1

地理位置

2

开设科室

内科、外科、重症医学科、神经(脑卒中)康复科、脊髓损伤康复科、老年康复科、心肺康复科、颅脑损伤康复科、骨与关节康复科、疼痛康复科、妇科、门急诊、口腔科、耳鼻咽喉科、心理科、体检科、康复治疗中心、血液透析室、高压氧科、综合护理门诊等

3

出诊时间

上午8:00-12:00,下午14:30-17:30;

急诊24小时开诊(急诊电话:020-84190722)。

4

咨询电话

020-84187600-2101。