怎么自助取胶片医院【便民服务】快看!昌邑市人民医院“电子胶片”上线了!手机扫一扫,取片不用跑!

新闻资讯2026-04-21 12:49:57
怎么自助取胶片医院【便民服务】快看!昌邑市人民医院“电子胶片”上线了!手机扫一扫,取片不用跑!_https://www.jmylbn.com_新闻资讯_第1张

点击上方蓝字可以订阅哟

怎么自助取胶片医院【便民服务】快看!昌邑市人民医院“电子胶片”上线了!手机扫一扫,取片不用跑!_https://www.jmylbn.com_新闻资讯_第2张


    以前,患者去医院做影像检查,总要排队等待打印一张张塑料胶片,塑料胶片不仅携带不方便,还容易丢失。

    为了实现让数据多跑路、群众少跑腿,更好的为患者提供便利和服务,我院“电子胶片”上线了!患者在完成影像检查后,只要手机扫一扫,就能随时随地查看检查报告和影像资料,再也不用拎着一大袋胶片和报告到处跑了。不怕丢片,随时看。


一、什么是“电子胶片”



     电子胶片是基于移动互联网和云存储的新型的医学影像服务,是相对于传统塑料胶片的一种信息化升级,它由数字化的影像取代传统的物理胶片,就相当于用数码相机取代胶片相机。

    患者在完成影像检查后,只要手机扫一扫,就能随时“取”片子,实现胶片的即存即取、即用即看。






二、“电子胶片的优势



    与传统物理胶片相比,电子胶片是图像存储和共享的数字化胶片,影像报告审核完成后自动传送至云端,可实现即存即取、即用即看,还可以将检查结果直接发给亲朋或者异地专家咨询,极大的方便患者携带和远程会诊使用。

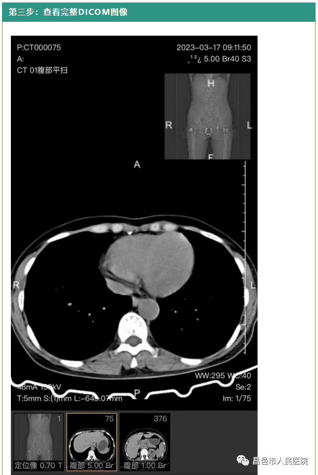
    电子胶片使图像信息更完整、更连续,传统胶片只包含部分压缩图像,且无法进行参数调节、放大等动态显示;需要到外院就诊时,医生很可能要求患者重新做检查,不仅不方便,费用支出也会相应增加;云胶片突破了传统物理胶片对于图像帧数的限制,能够为患者提供此次检查的全部 DICOM 原始影像,并具备缩放、移动、窗宽调节等多种图片处理功能,高清晰的原始图像方便患者查看,也更利于医生对病灶进行细节分析,提高诊断效率和精准度。

    传统物理胶片怕湿、怕热、且有一定的污染,容易出现折损、老化、丢失等情况,不利于存放、复诊携带,云胶片便捷环保,储存时间长。

    电子胶片使用方法简单,通过微信扫码即可随时随地查看、分享影像资料,大大方便患者,改善患者的就医体验。






三、“电子胶片”获取方式



    1.患者登记时,放射科/CT室/磁共振室预约登记室发放含二维码的“登记小条/云胶片使用说明”,在规定的时间后直接用手机扫描“登记小条/云胶片使用说明”的二维码即可调阅完整的高清数字影像;

怎么自助取胶片医院【便民服务】快看!昌邑市人民医院“电子胶片”上线了!手机扫一扫,取片不用跑!_https://www.jmylbn.com_新闻资讯_第3张

怎么自助取胶片医院【便民服务】快看!昌邑市人民医院“电子胶片”上线了!手机扫一扫,取片不用跑!_https://www.jmylbn.com_新闻资讯_第4张

    2.扫报告单上的电子胶片“二维码”即可调阅完整的高清数字影像;

怎么自助取胶片医院【便民服务】快看!昌邑市人民医院“电子胶片”上线了!手机扫一扫,取片不用跑!_https://www.jmylbn.com_新闻资讯_第5张

    3.关注“医院公众号” ,在“查询报告结果界面”点“查询影像”也可调阅完整的高清数字影像。

怎么自助取胶片医院【便民服务】快看!昌邑市人民医院“电子胶片”上线了!手机扫一扫,取片不用跑!_https://www.jmylbn.com_新闻资讯_第6张






四、电子胶片查询方式



    1.扫电子胶片“二维码”进入电子胶片查询界面

怎么自助取胶片医院【便民服务】快看!昌邑市人民医院“电子胶片”上线了!手机扫一扫,取片不用跑!_https://www.jmylbn.com_新闻资讯_第7张

    2.点击查询电子胶片

怎么自助取胶片医院【便民服务】快看!昌邑市人民医院“电子胶片”上线了!手机扫一扫,取片不用跑!_https://www.jmylbn.com_新闻资讯_第8张

怎么自助取胶片医院【便民服务】快看!昌邑市人民医院“电子胶片”上线了!手机扫一扫,取片不用跑!_https://www.jmylbn.com_新闻资讯_第9张





供 稿 | 信息科

编 辑 | 刘晓媛

初 审 | 赵林平

 审 | 菅凤国

怎么自助取胶片医院【便民服务】快看!昌邑市人民医院“电子胶片”上线了!手机扫一扫,取片不用跑!_https://www.jmylbn.com_新闻资讯_第10张

怎么自助取胶片医院【便民服务】快看!昌邑市人民医院“电子胶片”上线了!手机扫一扫,取片不用跑!_https://www.jmylbn.com_新闻资讯_第11张

怎么自助取胶片医院【便民服务】快看!昌邑市人民医院“电子胶片”上线了!手机扫一扫,取片不用跑!_https://www.jmylbn.com_新闻资讯_第12张

怎么自助取胶片医院【便民服务】快看!昌邑市人民医院“电子胶片”上线了!手机扫一扫,取片不用跑!_https://www.jmylbn.com_新闻资讯_第13张

怎么自助取胶片医院【便民服务】快看!昌邑市人民医院“电子胶片”上线了!手机扫一扫,取片不用跑!_https://www.jmylbn.com_新闻资讯_第14张

怎么自助取胶片医院【便民服务】快看!昌邑市人民医院“电子胶片”上线了!手机扫一扫,取片不用跑!_https://www.jmylbn.com_新闻资讯_第15张

怎么自助取胶片医院【便民服务】快看!昌邑市人民医院“电子胶片”上线了!手机扫一扫,取片不用跑!_https://www.jmylbn.com_新闻资讯_第16张

怎么自助取胶片医院【便民服务】快看!昌邑市人民医院“电子胶片”上线了!手机扫一扫,取片不用跑!_https://www.jmylbn.com_新闻资讯_第17张

(点击即可搜索位置)


怎么自助取胶片医院【便民服务】快看!昌邑市人民医院“电子胶片”上线了!手机扫一扫,取片不用跑!_https://www.jmylbn.com_新闻资讯_第18张