怎么买病理图文这些影像征象背后的病理基础,今天才知道!

新闻资讯2026-04-21 11:03:00

怎么买病理图文这些影像征象背后的病理基础,今天才知道!_https://www.jmylbn.com_新闻资讯_第1张

医影出品

很多干了十几年影像诊断的同行朋友们,对一些影像征象很了解,但是要问他们,为什么会出现这些影像征象,以及这些征象背后的病理基础,相信很多人都回答不出来!

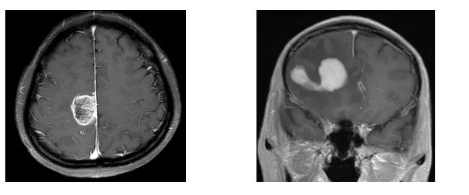
先看病例!下图哪个是胶质母细胞瘤,哪个是淋巴瘤吗?
怎么买病理图文这些影像征象背后的病理基础,今天才知道!_https://www.jmylbn.com_新闻资讯_第2张

应该难不住大家。明显坏死、毛线磨玻璃样强化的是胶质母细胞瘤(左),均匀强化、有脐凹征的是淋巴瘤(右)。


但是你不一定知道这些影像征象背后的病理基础。跟着医影,带你领略影像表面下的病理魅力,让你知其然,也知所以然


胶质母细胞瘤:WHO IV的高度恶性弥漫性胶质瘤,组织学上有细胞密集,有奇形核,巨形核,核分裂象,有典型的微血管增生和假栅栏样坏死,IDH野生型(IDH突变型有以上特点的,归于星形细胞瘤 CNS WHO IV,不再用胶质母细胞瘤 IDH突变型这一称呼);或者组织学上属于WHO II级或III级的IDH野生型弥漫性性形细胞瘤,伴EGFTR扩增、第7号染色体扩增/第10号染色体缺失、TERT启动子突变以上3种变异之一。

怎么买病理图文这些影像征象背后的病理基础,今天才知道!_https://www.jmylbn.com_新闻资讯_第3张


再继续看!


怎么买病理图文这些影像征象背后的病理基础,今天才知道!_https://www.jmylbn.com_新闻资讯_第4张

A、假栅栏的绘图,说明了环绕坏死区域的花环状核阵列


怎么买病理图文这些影像征象背后的病理基础,今天才知道!_https://www.jmylbn.com_新闻资讯_第5张

B、神经胶质母细胞瘤中的“伪足性坏死”是一种包含核固缩的不规则肿瘤坏死灶,周围的多细胞肿瘤核(箭头)的环状(假栅栏样)排列拥有属性。注意肿瘤血管(v)。


怎么买病理图文这些影像征象背后的病理基础,今天才知道!_https://www.jmylbn.com_新闻资讯_第6张

C、用图示的方式描绘了一个假栅栏形成的过程。胶质母细胞瘤的生长刺激新生血管生成。血管紧张素2的表达导致内皮损伤,进而引起血管闭塞和缺氧。细胞无法抵抗缺氧,形成凝固性坏死的病灶。然而,其他细胞以波动形式迁移到缺氧区的周围,形成假分化。迁移性缺氧细胞分泌血管内皮生长因子,蛋白酶和其他因素,进一步引起微血管增殖和增强对缺氧区域的侵袭力。后者的影响促使胶质母细胞瘤细胞进一步向外扩张。


坏死:病理:(无细胞结构的红染物质,假栅栏样坏死不断融合成大坏死)——MR:(增强无强化区)

怎么买病理图文这些影像征象背后的病理基础,今天才知道!_https://www.jmylbn.com_新闻资讯_第7张

实质区:微血管增生,围绕在血管旁的,养分足的存活的细胞——MR:毛线样、磨玻璃样强化


栅栏样坏死

怎么买病理图文这些影像征象背后的病理基础,今天才知道!_https://www.jmylbn.com_新闻资讯_第8张

病理学家在检查某些肿瘤的显微镜下,注意到细长的细胞核排列整齐,并根据它们与这些强化物的相似性,附加了描述性的术语“栅栏”。当核栅栏反映出细胞核发展出这种独特的生长模式的自然趋势时,它们可被视为”原生”; 当核栅栏排列形成对坏死等外部影响的反应时,它们可被视为”次生”。


胶质母细胞瘤呈节律性栅栏样改变(肿瘤细胞核线性波),这个是胶质母细胞瘤原生的生长方式之一,不具特异性,类似的还有神经鞘瘤、室管膜瘤、脑膜瘤等。


为什么这些恶性肿瘤的坏死边缘这么不规则,不如脓肿和囊变那么清晰规则呢?

怎么买病理图文这些影像征象背后的病理基础,今天才知道!_https://www.jmylbn.com_新闻资讯_第9张


肿瘤的血管是参差不齐的,如同树根一样,攀枝错节,细胞围绕在血管周围获取养分,当一根血管堵塞(内皮损伤、癌栓形成、压迫、侵犯等),所供应的周围细胞就会缺血坏死(凝固性坏死或液化坏死),血管闭塞的越多,坏死越明显,而后互相融合成影像上所见的大坏死了;不规则的血管分布,是坏死不规则的基础。

怎么买病理图文这些影像征象背后的病理基础,今天才知道!_https://www.jmylbn.com_新闻资讯_第10张


经常听到肿瘤长太快,血管跟不上而发生坏死,这个是坏死的重要原因之一,长太快说明肿瘤生长旺盛,核分裂象明显,KI-67高,这个好理解,那么为什么同样高增殖,KI-67甚至可达90%的淋巴瘤,坏死反而少呢?


再问几个问题给大家:

1、为什么淋巴瘤叫小圆细胞肿瘤?

2、为什么淋巴瘤可以包绕血管,而不明显侵犯血管?

3、为什么中枢神经系统淋巴瘤明显强化,而纵隔肺腹部的淋巴瘤强化弱呢?

4、为什么骨原发性淋巴瘤会形成肉包骨?

5、当淋巴瘤发生坏死的时候,为什么可以形成“内环征”呢?

6、…………

备注:部分资料来源推特病理学


以上知识都在我们前几期课程讲解过。近期,我们医影《第四期影像与病理学习班》即将开班,依然由学员认可的郑道练老师主讲,第四期学习班以腹盆部病例影像与病理结合讲解,共计24节课,每周一到两次,采用群内语音+图文授课,课后有收集整理,可随时回看,全部课程为期4-6个月


病理一通百通,知道了一个系统的某个肿瘤的病理基础和影像学表现,就会知道同类型其他系统疾病的表现,知道了病理基础,影像表现将难以忘记,学习效率大大提高,何乐不为?


第三期骨肉瘤讲解试看

识别二维码即可试看

怎么买病理图文这些影像征象背后的病理基础,今天才知道!_https://www.jmylbn.com_新闻资讯_第11张

仅微信群图文授课


第四期《影像与病理结合学习班》费用259元,两人拼团,每人享受199元优惠价。本课程仅限招生480人,目前仅剩100个名额,人满即止。


识别下方二维码即可购买

怎么买病理图文这些影像征象背后的病理基础,今天才知道!_https://www.jmylbn.com_新闻资讯_第12张


购买后加管理员微信入群

微信:yxyxfwzx

开始日期:2023年6月中旬

怎么买病理图文这些影像征象背后的病理基础,今天才知道!_https://www.jmylbn.com_新闻资讯_第13张


关注【医学影像服务中心】,有你想要的精彩!小编微信:yxyxfwzx

怎么买病理图文这些影像征象背后的病理基础,今天才知道!_https://www.jmylbn.com_新闻资讯_第14张

↓↓欢迎进入医影学院